Rabbit SRA1/SRA Polyclonal Antibody | anti-SRA1/SRA antibody
Anti-SRA1/SRA Antibody (Internal)
Gene Names
SRA1; SRA; SRAP; STRAA1; pp7684
Reactivity
HumanPredicted: Mouse, Rat
Applications
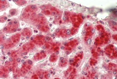
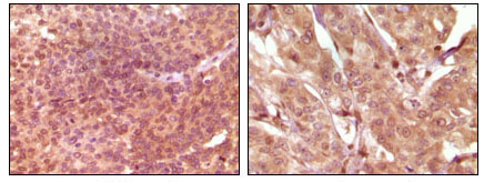
Western Blot, Immunohistochemistry
Purity
Immunoaffinity Purified
Synonyms
SRA1/SRA, Antibody; Anti-SRA1/SRA Antibody (Internal); Mouse Monoclonal [clone 7H1G1] (IgG1) to Human SRA1/SRA; SRA1; SRAP; STRAA1; Pp7684; Steroid receptor coactivator; SRA; anti-SRA1/SRA antibody
Host
Rabbit
Reactivity
Human
Predicted: Mouse, Rat
Predicted: Mouse, Rat
Clonality
Polyclonal
Specificity
Recognizes endogenous levels of SRA protein.
Purity/Purification
Immunoaffinity Purified
Form/Format
PBS, pH 7.3, 0.01% sodium azide, 30% glycerol.
Sequence Length
236
Applicable Applications for anti-SRA1/SRA antibody
WB (Western Blot), IHC (Immunohistochemistry)
Immunogen
KLH-conjugated synthetic peptide encompassing a sequence within the central region of human SRA.
Conjugation
Unconjugated
Epitope
Internal
Preparation and Storage
Store at -20 degree C.
Aliquot to avoid freeze/thaw cycles.
Aliquot to avoid freeze/thaw cycles.
Related Product Information for anti-SRA1/SRA antibody
Functional RNA which acts as a transcriptional coactivator thatselectively enhances steroid receptor-mediated transactivationligand-independently through a mechanism involving the modulatingN-terminal domain (AF-1) of steroid receptors. Also mediatestranscriptional coactivation of steroid receptors ligand-dependentlythrough the steroid-binding domain (AF-2). Enhances cellularproliferation and differentiation and promotes apoptosis in vivo. Mayplay a role in tumorigenesis.
NCBI and Uniprot Product Information
NCBI GI #
NCBI GeneID
NCBI Accession #
NCBI GenBank Nucleotide #
Molecular Weight
25,673 Da
NCBI Official Full Name
steroid receptor RNA activator 1 isoform 1
NCBI Official Synonym Full Names
steroid receptor RNA activator 1
NCBI Official Symbol
SRA1
NCBI Official Synonym Symbols
SRA; SRAP; STRAA1; pp7684
NCBI Protein Information
steroid receptor RNA activator 1
UniProt Protein Name
Steroid receptor RNA activator 1
UniProt Gene Name
SRA1
UniProt Synonym Gene Names
SRAP
Customer Reviews
Loading reviews...
Share Your Experience
Similar Products
Product Notes
The SRA1/SRA sra1 (Catalog #AAA162415) is an Antibody produced from Rabbit and is intended for research purposes only. The product is available for immediate purchase. The Anti-SRA1/SRA Antibody (Internal) reacts with Human Predicted: Mouse, Rat and may cross-react with other species as described in the data sheet. AAA Biotech's SRA1/SRA can be used in a range of immunoassay formats including, but not limited to, WB (Western Blot), IHC (Immunohistochemistry). Researchers should empirically determine the suitability of the SRA1/SRA sra1 for an application not listed in the data sheet. Researchers commonly develop new applications and it is an integral, important part of the investigative research process. It is sometimes possible for the material contained within the vial of "SRA1/SRA, Polyclonal Antibody" to become dispersed throughout the inside of the vial, particularly around the seal of said vial, during shipment and storage. We always suggest centrifuging these vials to consolidate all of the liquid away from the lid and to the bottom of the vial prior to opening. Please be advised that certain products may require dry ice for shipping and that, if this is the case, an additional dry ice fee may also be required.Precautions
All products in the AAA Biotech catalog are strictly for research-use only, and are absolutely not suitable for use in any sort of medical, therapeutic, prophylactic, in-vivo, or diagnostic capacity. By purchasing a product from AAA Biotech, you are explicitly certifying that said products will be properly tested and used in line with industry standard. AAA Biotech and its authorized distribution partners reserve the right to refuse to fulfill any order if we have any indication that a purchaser may be intending to use a product outside of our accepted criteria.Disclaimer
Though we do strive to guarantee the information represented in this datasheet, AAA Biotech cannot be held responsible for any oversights or imprecisions. AAA Biotech reserves the right to adjust any aspect of this datasheet at any time and without notice. It is the responsibility of the customer to inform AAA Biotech of any product performance issues observed or experienced within 30 days of receipt of said product. To see additional details on this or any of our other policies, please see our Terms & Conditions page.Item has been added to Shopping Cart
If you are ready to order, navigate to Shopping Cart and get ready to checkout.
