Rabbit TCP1 theta Polyclonal Antibody | anti-CCT8 antibody
Anti-TCP1 theta Antibody
No cross reactivity with other proteins.
No cross reactivity with other proteins.
IHC (Immunohistochemistry)
(TCP1 theta was detected in paraffin-embedded sections of human mammary cancer tissues using rabbit anti- TCP1 theta Antigen Affinity purified polyclonal antibody at 1ug/mL. The immunohistochemical section was developed using SABC method.)
IHC (Immunohistochemisry)
(TCP1 theta was detected in paraffin-embedded sections of rat testis tissues using rabbit anti- TCP1 theta Antigen Affinity purified polyclonal antibody at 1ug/mL. The immunohistochemical section was developed using SABC method.)
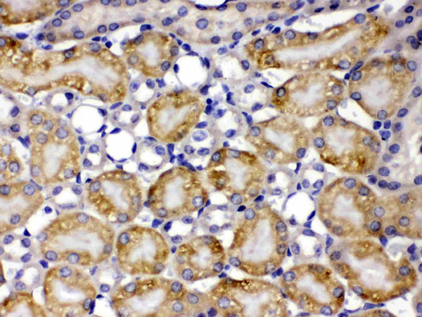
IHC (Immunohiostchemistry)
(TCP1 theta was detected in paraffin-embedded sections of mouse kidney tissues using rabbit anti- TCP1 theta Antigen Affinity purified polyclonal antibody at 1ug/mL. The immunohistochemical section was developed using SABC method.)
WB (Western Blot)
(Western blot analysis of TCP1 theta expression in rat brain extract (lane 1), mouse brain extract (lane 2) and U20S whole cell lysates (lane 3). TCP1 theta at 60KD was detected using rabbit anti- TCP1 theta Antigen Affinity purified polyclonal antibody at 0.5 ug/mL. The blot was developed using chemiluminescence (ECL) method.)
Background: T-complex protein 1 subunit theta is a protein that in humans is encoded by the CCT8 gene. This gene encodes the theta subunit of the CCT chaperonin, which is abundant in the eukaryotic cytosol and may be involved in the transport and assembly of newly synthesized proteins. Alternative splicing results in multiple transcript variants of this gene. A pseudogene related to this gene is located on chromosome 1.
2. Kubota H, Hynes G, Willison K (Apr 1995). "The eighth Cct gene, Cctq, encoding the theta subunit of the cytosolic chaperonin containing TCP-1". Gene 154 (2): 231-6.
NCBI and Uniprot Product Information
Customer Reviews
Loading reviews...
Share Your Experience
Similar Products
Product Notes
The CCT8 cct8 (Catalog #AAA46641) is an Antibody produced from Rabbit and is intended for research purposes only. The product is available for immediate purchase. The Anti-TCP1 theta Antibody reacts with Human, Mouse, Rat No cross reactivity with other proteins. and may cross-react with other species as described in the data sheet. AAA Biotech's TCP1 theta can be used in a range of immunoassay formats including, but not limited to, IHC (Immunohistochemistry), WB (Western Blot). Researchers should empirically determine the suitability of the CCT8 cct8 for an application not listed in the data sheet. Researchers commonly develop new applications and it is an integral, important part of the investigative research process. It is sometimes possible for the material contained within the vial of "TCP1 theta, Polyclonal Antibody" to become dispersed throughout the inside of the vial, particularly around the seal of said vial, during shipment and storage. We always suggest centrifuging these vials to consolidate all of the liquid away from the lid and to the bottom of the vial prior to opening. Please be advised that certain products may require dry ice for shipping and that, if this is the case, an additional dry ice fee may also be required.Precautions
All products in the AAA Biotech catalog are strictly for research-use only, and are absolutely not suitable for use in any sort of medical, therapeutic, prophylactic, in-vivo, or diagnostic capacity. By purchasing a product from AAA Biotech, you are explicitly certifying that said products will be properly tested and used in line with industry standard. AAA Biotech and its authorized distribution partners reserve the right to refuse to fulfill any order if we have any indication that a purchaser may be intending to use a product outside of our accepted criteria.Disclaimer
Though we do strive to guarantee the information represented in this datasheet, AAA Biotech cannot be held responsible for any oversights or imprecisions. AAA Biotech reserves the right to adjust any aspect of this datasheet at any time and without notice. It is the responsibility of the customer to inform AAA Biotech of any product performance issues observed or experienced within 30 days of receipt of said product. To see additional details on this or any of our other policies, please see our Terms & Conditions page.Item has been added to Shopping Cart
If you are ready to order, navigate to Shopping Cart and get ready to checkout.
