Rabbit TGFA Polyclonal Antibody | anti-TGFA antibody
TGFA Polyclonal Antibody
Gene Names
TGFA; TFGA
Reactivity
Human, Mouse, Rat
Applications
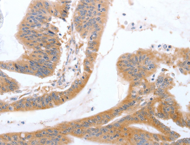
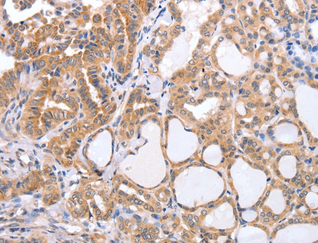
Immunohistochemistry, ELISA
Purity
Affinity purification
Synonyms
TGFA, Antibody; TGFA Polyclonal Antibody; TFGA; anti-TGFA antibody
Host
Rabbit
Reactivity
Human, Mouse, Rat
Clonality
Polyclonal
Isotype
IgG
Purity/Purification
Affinity purification
Form/Format
PBS with 0.05% sodium azide, 50% glycerol, pH7.4
Concentration
1.8mg/mL (varies by lot)
Sequence Length
160
Applicable Applications for anti-TGFA antibody
IHC (Immunohistochemistry), ELISA
Immunogen
Recombinant protein of human TGFA
Preparation and Storage
Store at -20 degree C. Avoid freeze / thaw cycles.
Related Product Information for anti-TGFA antibody
This gene encodes a growth factor that is a ligand for the epidermal growth factor receptor, which activates a signaling pathway for cell proliferation, differentiation and development. This protein may act as either a transmembrane-bound ligand or a soluble ligand. This gene has been associated with many types of cancers, and it may also be involved in some cases of cleft lip/palate. Alternatively spliced transcript variants encoding different isoforms have been found for this gene.
Product Categories/Family for anti-TGFA antibody
NCBI and Uniprot Product Information
NCBI GI #
NCBI GeneID
NCBI Official Full Name
transforming growth factor-alpha
NCBI Official Synonym Full Names
transforming growth factor, alpha
NCBI Official Symbol
TGFA
NCBI Official Synonym Symbols
TFGA
NCBI Protein Information
protransforming growth factor alpha; TGF-alpha
UniProt Protein Name
Protransforming growth factor alpha
UniProt Gene Name
TGFA
UniProt Synonym Gene Names
TGF-alpha; ETGF
UniProt Entry Name
TGFA_HUMAN
Similar Products
Product Notes
The TGFA tgfa (Catalog #AAA168994) is an Antibody produced from Rabbit and is intended for research purposes only. The product is available for immediate purchase. The TGFA Polyclonal Antibody reacts with Human, Mouse, Rat and may cross-react with other species as described in the data sheet. AAA Biotech's TGFA can be used in a range of immunoassay formats including, but not limited to, IHC (Immunohistochemistry), ELISA. Researchers should empirically determine the suitability of the TGFA tgfa for an application not listed in the data sheet. Researchers commonly develop new applications and it is an integral, important part of the investigative research process. It is sometimes possible for the material contained within the vial of "TGFA, Polyclonal Antibody" to become dispersed throughout the inside of the vial, particularly around the seal of said vial, during shipment and storage. We always suggest centrifuging these vials to consolidate all of the liquid away from the lid and to the bottom of the vial prior to opening. Please be advised that certain products may require dry ice for shipping and that, if this is the case, an additional dry ice fee may also be required.Precautions
All products in the AAA Biotech catalog are strictly for research-use only, and are absolutely not suitable for use in any sort of medical, therapeutic, prophylactic, in-vivo, or diagnostic capacity. By purchasing a product from AAA Biotech, you are explicitly certifying that said products will be properly tested and used in line with industry standard. AAA Biotech and its authorized distribution partners reserve the right to refuse to fulfill any order if we have any indication that a purchaser may be intending to use a product outside of our accepted criteria.Disclaimer
Though we do strive to guarantee the information represented in this datasheet, AAA Biotech cannot be held responsible for any oversights or imprecisions. AAA Biotech reserves the right to adjust any aspect of this datasheet at any time and without notice. It is the responsibility of the customer to inform AAA Biotech of any product performance issues observed or experienced within 30 days of receipt of said product. To see additional details on this or any of our other policies, please see our Terms & Conditions page.Item has been added to Shopping Cart
If you are ready to order, navigate to Shopping Cart and get ready to checkout.
