Rabbit anti-Human, Mouse TRIM24 Polyclonal Antibody | anti-TRIM24 antibody
TRIM24 Antibody
Phosphate buffered saline, pH 7.4, 150mM NaCl, 0.02% sodium azide and 50% glycerol.
WB (Western Blot)
(Western blot analysis on Jurkat and K562 cell lysate using TRIM24 Antibody.The lane on the left is treated with the antigen-specific peptide.)
IF (Immunofluorescence)
(AAA320957 staining COLO205 by IF/ICC. The sample were fixed with PFA and permeabilized in 0.1% Triton X-100, then blocked in 10% serum for 45 minutes at 25 degree C. The primary antibody was diluted at 1/200 and incubated with the sample for 1 hour at 37 degree C. An Alexa Fluor 594 conjugated goat anti-rabbit IgG (H+L) Ab, diluted at 1/600, was used as the secondary antibody.)
WB (Western Blot)
(Western blot analysis of extracts from various samples, using TRIM24 Antibody. Lane 1: 293 treated with blocking peptide. Lane 2: 293; Lane 3: hela;)
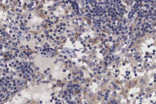
IHC (Immunohistochemistry)
(AAA320957 at 1/100 staining human lymph node tissue sections by IHC-P. The tissue was formaldehyde fixed and a heat mediated antigen retrieval step in citrate buffer was performed. The tissue was then blocked and incubated with the antibody for 1.5 hours at 22 degree C. An HRP conjugated goat anti-rabbit antibody was used as the secondary.)
Function: Transcriptional coactivator that interacts with numerous nuclear receptors and coactivators and modulates the transcription of target genes. Interacts with chromatin depending on histone H3 modifications, having the highest affinity for histone H3 that is both unmodified at 'Lys-4' (H3K4me0) and acetylated at 'Lys-23' (H3K23ac). Has E3 protein-ubiquitin ligase activity. Promotes ubiquitination and proteasomal degradation of p53/TP53. Plays a role in the regulation of cell proliferation and apoptosis, at least in part via its effects on p53/TP53 levels. Up-regulates ligand-dependent transcription activation by AR, GCR/NR3C1, thyroid hormone receptor (TR) and ESR1. Modulates transcription activation by retinoic acid (RA) receptors, including RARA. Plays a role in regulating retinoic acid-dependent proliferation of hepatocytes (By similarity).
Subunit Structure: Interacts with CARM1, NCOA2/GRIP1, PML, KAT5/TIP60, BRD7, CBX1, CBX3 and CBX5. Part of a coactivator complex containing TRIM24, NCOA2 and CARM1 (By similarity). Interacts with NR3C2/MCR. Interacts with the ligand-binding domain of estrogen receptors (in vitro). Interaction with DNA-bound estrogen receptors requires the presence of estradiol. Interacts with AR and p53/TP53. Interacts (via bromo domain) with histone H3 (via N-terminus), provided that it is not methylated at 'Lys-4' (H3K4me0). Does not interact with histone H3 that is methylated at 'Lys-4' (H3K4me1, H3K4me2 or H3K4me3). Interacts (via bromo domain) with histone H3 (via N-terminus) that is acetylated at 'Lys-23' (H3K23ac). Has the highest affinity for histone H3 that is both unmodified at 'Lys-4' (H3K4me0) and acetylated at 'Lys-23' (H3K23ac). Has very low affinity for histone H3 that is methylated at 'Lys-9' (H3K9me), or acetylated at both 'Lys-9' (H3K9ac) and 'Lys-14' (H3K14ac), or acetylated at 'Lys-27' (H3K27ac) (in vitro).
Post-translational Modifications: Sumoylated.
NCBI and Uniprot Product Information
Predicted: 117 kDa
Customer Reviews
Loading reviews...
Share Your Experience
Similar Products
Product Notes
The TRIM24 trim24 (Catalog #AAA320957) is an Antibody produced from Rabbit and is intended for research purposes only. The product is available for immediate purchase. The TRIM24 Antibody reacts with Human, Mouse and may cross-react with other species as described in the data sheet. AAA Biotech's TRIM24 can be used in a range of immunoassay formats including, but not limited to, ELISA, ICC (Immunocytochemistry), IF (Immunofluorescence), IHC (Immunohistochemistry), WB (Western Blot). Researchers should empirically determine the suitability of the TRIM24 trim24 for an application not listed in the data sheet. Researchers commonly develop new applications and it is an integral, important part of the investigative research process. It is sometimes possible for the material contained within the vial of "TRIM24, Polyclonal Antibody" to become dispersed throughout the inside of the vial, particularly around the seal of said vial, during shipment and storage. We always suggest centrifuging these vials to consolidate all of the liquid away from the lid and to the bottom of the vial prior to opening. Please be advised that certain products may require dry ice for shipping and that, if this is the case, an additional dry ice fee may also be required.Precautions
All products in the AAA Biotech catalog are strictly for research-use only, and are absolutely not suitable for use in any sort of medical, therapeutic, prophylactic, in-vivo, or diagnostic capacity. By purchasing a product from AAA Biotech, you are explicitly certifying that said products will be properly tested and used in line with industry standard. AAA Biotech and its authorized distribution partners reserve the right to refuse to fulfill any order if we have any indication that a purchaser may be intending to use a product outside of our accepted criteria.Disclaimer
Though we do strive to guarantee the information represented in this datasheet, AAA Biotech cannot be held responsible for any oversights or imprecisions. AAA Biotech reserves the right to adjust any aspect of this datasheet at any time and without notice. It is the responsibility of the customer to inform AAA Biotech of any product performance issues observed or experienced within 30 days of receipt of said product. To see additional details on this or any of our other policies, please see our Terms & Conditions page.Item has been added to Shopping Cart
If you are ready to order, navigate to Shopping Cart and get ready to checkout.
