Loading...

Skip to main content
Call us at +1-800-604-9114 for more information about our products or contact us online Need help? +1-800-604-9114 or contact us

Filters


Clonality

Type

Reactivity

Gene Name

Isotype

Host

Application

Clone

Monoclonal Antibodies

Get accurate results in your research with our Monoclonal Antibodies, which are specially made to target exactly what you require for your research, and will produce consistent, reliable performance in lab tests.


Viewing 7500-7550 of 10000 product results


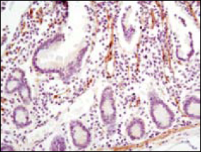
product-image-AAA320218_IHC13.png IHC (Immunohiostchemistry) (Immunohistochemistry analysis of paraffin-embedded human esophageal squamous cell carcinoma (A). colon adenocarcinoma (B). liver carcinoma (C). skin carcinoma (D). breast ductal tumor (E) and brain tumor (F). showing nuclear localization with DAB staining)

Rsk-1, Monoclonal Antibody (Cat# AAA320218)

Full Name
Rsk-1 Monoclonal Antibody
Gene Names
RPS6KA1; RSK; HU-1; RSK1; MAPKAPK1A
Reactivity
Human
Applications
Immunofluorescence, Immunohistochemistry, Western Blot
Purity
Affinity purification
Pricing
product-image-AAA320227_FCM10.png FCM/FACS (Flow Cytometry) (Flow cytometric analysis of K562 cells using Smad4 Monoclonal Antibody (green) and negative control (purple).)

Smad4, Monoclonal Antibody (Cat# AAA320227)

Full Name
Smad4 Monoclonal Antibody
Gene Names
SMAD4; JIP; DPC4; MADH4; MYHRS
Reactivity
Human
Applications
Flow Cytometry, Immunocytochemistry, Immunofluorescence, Immunohistochemistry, Western Blot
Purity
Affinity purification
Pricing
product-image-AAA320076_AD13.png Application Data

FoxP2, Monoclonal Antibody (Cat# AAA320076)

Full Name
FoxP2 Monoclonal Antibody
Gene Names
FOXP2; SPCH1; CAGH44; TNRC10
Reactivity
Human
Applications
Western Blot
Purity
Affinity purification
Pricing
product-image-AAA320078_AD11.png Application Data

Fucokinase, Monoclonal Antibody (Cat# AAA320078)

Full Name
Fucokinase Monoclonal Antibody
Gene Names
FUK; 1110046B12Rik
Reactivity
Human, Mouse, Rat, Monkey
Applications
Flow Cytometry, Western Blot
Purity
Affinity purification
Pricing
product-image-AAA320079_AD8.png Application Data

Fyn, Monoclonal Antibody (Cat# AAA320079)

Full Name
Fyn Monoclonal Antibody
Gene Names
FYN; SLK; SYN; p59-FYN
Reactivity
Human
Applications
Flow Cytometry, Immunocytochemistry, Immunofluorescence, Immunohistochemistry, Western Blot
Purity
Affinity purification
Pricing
product-image-AAA320082_IF13.png IF (Immunofluorescence) (Confocal immunofluorescence analysis of Hela cells using GABP-? Monoclonal Antibody (green). Red: Actin filaments have been labeled using DY-554 phalloidin. Blue: DRAQ5 fluorescent DNA dye.)

GABP-alpha, Monoclonal Antibody (Cat# AAA320082)

Full Name
GABP-alpha Monoclonal Antibody
Gene Names
GABPA; NFT2; NRF2; NRF2A; E4TF1A; E4TF1-60; RCH04A07
Reactivity
Human, Mouse
Applications
Immunocytochemistry, Immunofluorescence, Western Blot
Purity
Affinity purification
Pricing
product-image-AAA320111_IHC13.png IHC (Immunohiostchemistry) (Immunohistochemistry analysis of paraffin-embedded human gastric adenocarcinoma(A). colon adenocarcinoma(B). endometrial carcinoma(uterus)(C). ovary adenocarcinoma(D). lung squamous cell carcinoma(E). stomach epithelium mucosae(F). showing membrane locali)

IGF-IR, Monoclonal Antibody (Cat# AAA320111)

Full Name
IGF-IR Monoclonal Antibody
Gene Names
IGF1R; IGFR; CD221; IGFIR; JTK13
Reactivity
Human
Applications
Immunofluorescence, Immunohistochemistry, Western Blot
Purity
Affinity purification
Pricing
product-image-AAA320120_IHC13.png IHC (Immunohiostchemistry) (Immunohistochemistry analysis of paraffin-embedded human brain tissue (A) and stomach tissue (B). showing cytoplasmic localization with DAB staining using IRE1? Monoclonal Antibody.)

IRE1alpha, Monoclonal Antibody (Cat# AAA320120)

Full Name
IRE1alpha Monoclonal Antibody
Gene Names
ERN1; IRE1; IRE1P; IRE1a; hIRE1p
Reactivity
Human
Applications
Immunofluorescence, Immunohistochemistry, Western Blot
Purity
Affinity purification
Pricing
product-image-AAA320124_IF11.png IF (Immunofluorescence) (Immunofluorescence analysis of NTERA-2 cells using JMJD2A Monoclonal Antibody (green). Red: Actin filaments have been labeled with Alexa Fluor-555 phalloidin.)

JMJD2A, Monoclonal Antibody (Cat# AAA320124)

Full Name
JMJD2A Monoclonal Antibody
Gene Names
KDM4A; JMJD2; JHDM3A; JMJD2A; TDRD14A
Reactivity
Human
Applications
Immunocytochemistry, Immunofluorescence, Immunohistochemistry, Western Blot
Purity
Affinity purification
Pricing
product-image-AAA320127_IF13.png IF (Immunofluorescence) (Immunofluorescence analysis of NIH/3T3 cells using KLHL1 Monoclonal Antibody (green). Red: Actin filaments have been labeled with Alexa Fluor-555 phalloidin.)

KLHL1, Monoclonal Antibody (Cat# AAA320127)

Full Name
KLHL1 Monoclonal Antibody
Gene Names
KLHL1; MRP2
Reactivity
Human
Applications
Immunocytochemistry, Immunofluorescence, Western Blot
Purity
Affinity purification
Pricing
product-image-AAA320130_FCM10.png FCM/FACS (Flow Cytometry) (Flow cytometric analysis of 3T3/L1 cells using KLHL13 Monoclonal Antibody (green) and negative control (purple).)

KLHL13, Monoclonal Antibody (Cat# AAA320130)

Full Name
KLHL13 Monoclonal Antibody
Gene Names
KLHL13; BKLHD2
Reactivity
Human
Applications
Flow Cytometry, Immunocytochemistry, Immunofluorescence, Immunohistochemistry, Western Blot
Purity
Affinity purification
Pricing
product-image-AAA320134_ICC13.png ICC (Immunocytochemistry) (Immunocytochemistry analysis of TPA induced BCBL-1 cells (A) and uninduced BCBL-1 cells (B) using KSHV ORF45 Monoclonal Antibody with AEC staining.)

KSHV ORF45, Monoclonal Antibody (Cat# AAA320134)

Full Name
KSHV ORF45 Monoclonal Antibody
Reactivity
KsheepV
Applications
Immunocytochemistry, Western Blot
Purity
Affinity purification
Pricing
product-image-AAA320144_AD10.png Application Data

LMP7A, Monoclonal Antibody (Cat# AAA320144)

Full Name
LMP7A Monoclonal Antibody
Gene Names
PSMB8; JMP; ALDD; LMP7; NKJO; D6S216; PSMB5i; RING10; D6S216E
Reactivity
Human, Rat
Applications
Immunocytochemistry, Immunofluorescence, Immunohistochemistry, Western Blot
Purity
Affinity purification
Pricing
product-image-AAA320145_IF11.png IF (Immunofluorescence) (Confocal immunofluorescence analysis of COS cells using LPP Monoclonal Antibody (green). Red: Actin filaments have been labeled using DY-554 phalloidin. Blue: DRAQ5 fluorescent DNA dye.)

LPP, Monoclonal Antibody (Cat# AAA320145)

Full Name
LPP Monoclonal Antibody
Reactivity
Human, Mouse, Monkey, Hamster
Applications
Immunocytochemistry, Immunofluorescence, Immunohistochemistry, Western Blot
Purity
Affinity purification
Pricing
product-image-AAA320344_ICC13.png ICC (Immunocytochemistry) (Immunocytochemistry staining of C6 cells fixed by anhydrous methanol for 2 h at -20? and using anti-CSK mouse mAb (dilution 1:50).)

CSK, Monoclonal Antibody (Cat# AAA320344)

Full Name
CSK Mouse mAb
Reactivity
Human, Rat
Applications
Immunocytochemistry, Western Blot
Purity
The antibody was affinity-purified from mouse ascites by affinity-chromatography using epitope-specific immunogen.
Pricing
product-image-AAA320367_IF13.png IF (Immunofluorescence) (Immunofluorescent analysis of Hela cells fixed fixed by anhydrous methanol at -20? and using FAK mouse mAb (dilution 1:200).)

FAK, Monoclonal Antibody (Cat# AAA320367)

Full Name
FAK Mouse mAb
Gene Names
PTK2; FAK; FADK; FAK1; FRNK; PPP1R71; p125FAK; pp125FAK
Reactivity
Human
Applications
Immunocytochemistry, Immunofluorescence, Western Blot
Purity
The antibody was affinity-purified from mouse ascites by affinity-chromatography using epitope-specific immunogen.
Pricing
product-image-AAA320368_IP13.png IP (Immunoprecipitation) (Immunoprecipitation analysis of THP-1 cell lysates using CD31 mouse mAb.)

CD31, Monoclonal Antibody (Cat# AAA320368)

Full Name
CD31 Mouse mAb
Gene Names
PECAM1; CD31; PECA1; GPIIA'; PECAM-1; endoCAM; CD31/EndoCAM
Reactivity
Human
Applications
Immunoprecipitation, Western Blot
Purity
The antibody was affinity-purified from mouse ascites by affinity-chromatography using epitope-specific immunogen.
Pricing
product-image-AAA320372_ICC8.png ICC (Immunocytochemistry) (Immunocytochemistry staining of HeLa cells fixed in 1% Paraformaldehyde and using RPA70 mouse mAb (dilution 1:100).)

RPA70, Monoclonal Antibody (Cat# AAA320372)

Full Name
RPA70 Mouse mAb
Gene Names
RPA1; HSSB; RF-A; RP-A; REPA1; RPA70; MST075
Reactivity
Human, Monkey, Mouse, Rat
Applications
Immunoprecipitation, Immunocytochemistry, Western Blot
Purity
The antibody was affinity-purified from mouse ascites by affinity-chromatography using epitope-specific immunogen.
Pricing
product-image-AAA320373_ICC13.png ICC (Immunocytochemistry) (Immunocytochemistry staining of HeLa cells fixed in 1% Paraformaldehyde and then permeabilized in 0.1% Triton X-100.next using WDR77 mouse mAb (dilution 1:100).)

WDR77, Monoclonal Antibody (Cat# AAA320373)

Full Name
WDR77 Mouse mAb
Gene Names
WDR77; p44; MEP50; MEP-50; HKMT1069; Nbla10071; p44/Mep50
Reactivity
Human, Mouse, Rat
Applications
Immunocytochemistry, Western Blot
Purity
The antibody was affinity-purified from mouse ascites by affinity-chromatography using epitope-specific immunogen.
Pricing
product-image-AAA320383_IF11.png IF (Immunofluorescence) (Immunofluorescent analysis of 3T3 cells fixed by anhydrous methanol for 2 h at -20? and using anti-JNK1 mouse mAb (dilution 1:100).)

JNK1, Monoclonal Antibody (Cat# AAA320383)

Full Name
JNK1 Mouse mAb
Gene Names
MAPK8; JNK; JNK1; PRKM8; SAPK1; JNK-46; JNK1A2; SAPK1c; JNK21B1/2
Reactivity
Human, Mouse, Rat
Applications
Immunocytochemistry, Immunofluorescence, Western Blot
Purity
The antibody was affinity-purified from mouse ascites by affinity-chromatography using epitope-specific immunogen.
Pricing
product-image-AAA320390_ICC11.png ICC (Immunocytochemistry) (Immunocytochemistry staining of HeLa cells fixed with 4% Paraformaldehyde and using DDX3 mouse mAb (dilution 1:200).)

DDX3, Monoclonal Antibody (Cat# AAA320390)

Full Name
DDX3 Mouse mAb
Gene Names
DDX3X; DBX; DDX3; HLP2; DDX14
Reactivity
Human, Rat, Mouse, Monkey
Applications
Immunocytochemistry, Immunoprecipitation, Western Blot
Purity
The antibody was affinity-purified from mouse ascites by affinity-chromatography using epitope-specific immunogen.
Pricing
product-image-AAA320689_AD8.png Application Data

p40, Monoclonal Antibody (Cat# AAA320689)

Full Name
p40 (ABT020) Antibody
Gene Names
TP63; AIS; KET; LMS; NBP; RHS; p40; p51; p63; EEC3; OFC8; p73H; p73L; SHFM4; TP53L; TP73L; p53CP; TP53CP; B(p51A); B(p51B)
Reactivity
Human, Mouse
Applications
Immunofluorescence, Western Blot, Immunohistochemistry
Purity
Protein G
Pricing
product-image-AAA320577_AD13.png Application Data

PKC, Monoclonal Antibody (Cat# AAA320577)

Full Name
PKC (PTR1190) Antibody
Gene Names
PRKCA; AAG6; PKCA; PRKACA; PKC-alpha
Reactivity
Human, Mouse, Rat, Rabbit, Bovine
Applications
Immunofluorescence, Western Blot
Pricing
product-image-AAA320594_AD10.png Application Data

Androgen Receptor, Monoclonal Antibody (Cat# AAA320594)

Full Name
Androgen Receptor (ABT101) Antibody
Gene Names
AR; KD; AIS; TFM; DHTR; SBMA; HYSP1; NR3C4; SMAX1; HUMARA
Reactivity
Human, Mouse, Rat
Applications
Immunofluorescence, Western Blot, Immunohistochemistry
Purity
Protein G
Pricing
product-image-AAA320604_AD8.png Application Data

CD35, Monoclonal Antibody (Cat# AAA320604)

Full Name
CD35 (ABT-CD35) Antibody
Gene Names
CR1; KN; C3BR; C4BR; CD35
Reactivity
Human
Applications
Immunofluorescence, Western Blot, Immunohistochemistry
Purity
Protein G
Pricing
product-image-AAA320607_IHC11.png IHC (Immunohistochemistry) (Human tonsil tissue was stained with Anti-CD44 (ABT147) Antibody)

CD44, Monoclonal Antibody (Cat# AAA320607)

Full Name
CD44 (ABT147) Antibody
Gene Names
CD44; IN; LHR; MC56; MDU2; MDU3; MIC4; Pgp1; CDW44; CSPG8; HCELL; HUTCH-I; ECMR-III
Reactivity
Human
Applications
Immunofluorescence, Western Blot, Immunohistochemistry
Purity
Protein G
Pricing
product-image-AAA320610_AD11.png Application Data

CD61, Monoclonal Antibody (Cat# AAA320610)

Full Name
CD61 (ABT032) Antibody
Gene Names
ITGB3; GT; CD61; GP3A; BDPLT2; GPIIIa; BDPLT16
Reactivity
Human, Mouse
Applications
Immunofluorescence, Western Blot, Immunohistochemistry
Purity
Protein G
Pricing
product-image-AAA320619_AD13.png Application Data

Cytokeratin 17, Monoclonal Antibody (Cat# AAA320619)

Full Name
Cytokeratin 17 (ABT-CK17) Antibody
Gene Names
KRT17; PC; K17; PC2; PCHC1
Reactivity
Human, Mouse, Rat
Applications
Immunofluorescence, Western Blot, Immunohistochemistry
Purity
Protein G
Pricing
product-image-AAA320517_IHC11.png IHC (Immunohistochemisry) (Immunohistochemical analysis of paraffin-embedded Human Brain Tissue using Beclin-1 Mouse mAb diluted at 1:200.)

Beclin-1, Monoclonal Antibody (Cat# AAA320517)

Full Name
Beclin-1 Mouse Monoclonal Antibody (5C2)
Gene Names
BECN1; ATG6; VPS30; beclin1
Reactivity
Human, Rat, Mouse, Bovine
Applications
Immunofluorescence, Immunohistochemistry, Western Blot
Purity
The antibody was affinity-purified from mouse ascites by affinity-chromatography using specific immunogen.
Pricing
product-image-AAA320544_IHC11.png IHC (Immunohistochemistry) (Human stoamch tissue was stained with MUC5AC (ABT302) Antibody)

MUC5AC, Monoclonal Antibody (Cat# AAA320544)

Full Name
MUC5AC (ABT302) Antibody
Gene Names
MUC5AC; TBM; leB; MUC5
Reactivity
Human
Applications
Immunofluorescence, Immunohistochemistry
Purity
The antibody was affinity-purified from ascites by affinity-chromatography using specific immunogen.
Pricing
product-image-AAA320552_AD13.png Application Data

PSCA, Monoclonal Antibody (Cat# AAA320552)

Full Name
PSCA (PT2119) Antibody
Reactivity
Human
Applications
Immunofluorescence, Western Blot
Purity
Protein G
Pricing
product-image-AAA320554_AD13.png Application Data

R-Cadherin, Monoclonal Antibody (Cat# AAA320554)

Full Name
R-Cadherin (PT2127) Antibody
Gene Names
CDH4; CAD4; RCAD
Reactivity
Human, Mouse, Rat
Applications
Immunofluorescence, Western Blot
Purity
Protein G
Pricing
product-image-AAA320419_IHC8.png IHC (Immunohistochemistry) (Immunohistochemical analysis of paraffin-embedded Rat-liver tissue. 1.CK8 Monoclonal Antibody(8G8) was diluted at 1:200(4 degree C.overnight). 2. Sodium citrate pH 6.0 was used for antibody retrieval(>98 degree C.20min). 3.Secondary antibody was diluted at 1:200(room temperature. 30min). Negative control was used by secondary antibody only.)

CK8, Monoclonal Antibody (Cat# AAA320419)

Full Name
CK8 Monoclonal Antibody (8G8)
Gene Names
KRT8; K8; KO; CK8; CK-8; CYK8; K2C8; CARD2
Reactivity
Human, Mouse, Rat
Applications
Immunohistochemistry, Western Blot, Immunocytochemistry, Immunofluorescence
Purity
The antibody was affinity-purified from mouse ascites by affinity-chromatography using specific immunogen.
Pricing
product-image-AAA320447_IF10.png IF (Immunofluorescence) (Immunofluorescence analysis of human-liver-cancer tissue. 1.Cleaved PARP Monoclonal Antibody(Mix)(red) was diluted at 1:200(4 degree C.overnight). 2. Cy3 labled Secondary antibody was diluted at 1:300(room temperature. 50min).3. Picture B: DAPI(blue) 10min. Picture A:Target. Picture B: DAPI. Picture C: merge of A+B)

Cleaved PARP, Monoclonal Antibody (Cat# AAA320447)

Full Name
Cleaved PARP Monoclonal Antibody (Mix)
Gene Names
PARP1; PARP; PPOL; ADPRT; ARTD1; ADPRT1; PARP-1; ADPRT 1; pADPRT-1
Reactivity
Human
Applications
Immunohistochemistry, Western Blot, Immunocytochemistry, Immunofluorescence
Purity
The antibody was affinity-purified from mouse ascites by affinity-chromatography using specific immunogen.
Pricing
product-image-AAA320450_IF13.png IF (Immunofluorescence) (Immunofluorescence analysis of human-lung-cancer tissue. 1.Lactoferrin Monoclonal Antibody(Q100)(red) was diluted at 1:200(4 degree C.overnight). 2. Cy3 labled Secondary antibody was diluted at 1:300(room temperature. 50min).3. Picture B: DAPI(blue) 10min. Picture A:Target. Picture B: DAPI. Picture C: merge of A+B)

Lactoferrin, Monoclonal Antibody (Cat# AAA320450)

Full Name
Lactoferrin Monoclonal Antibody (Q100)
Gene Names
LTF; LF; HLF2; GIG12
Reactivity
Human
Applications
Immunohistochemistry, Immunocytochemistry, Immunofluorescence
Purity
The antibody was affinity-purified from mouse ascites by affinity-chromatography using specific immunogen.
Pricing
product-image-AAA320477_AD13.png Application Data

NF kappaB P50, Monoclonal Antibody (Cat# AAA320477)

Full Name
NF kappaB P50 Mouse mAb (5D2)
Gene Names
NFKB1; p50; KBF1; p105; EBP-1; NF-kB1; NFKB-p50; NFkappaB; NF-kappaB; NFKB-p105; NF-kappa-B
Reactivity
Human
Applications
Western Blot, Immunohistochemistry
Purity
The antibody was affinity-purified from mouse ascites by affinity-chromatography using specific immunogen.
Pricing
product-image-AAA320484_IHC13.png IHC (Immunohiostchemistry) (Immunohistochemical analysis of paraffin-embedded Rat Brain Tissue using GAP-43 Monoclonal Antibody.)

GAP-43, Monoclonal Antibody (Cat# AAA320484)

Full Name
GAP-43 Monoclonal Antibody (Mix)
Gene Names
GAP43; B-50; PP46
Reactivity
Human, Mouse, Rat
Applications
Immunofluorescence, Immunohistochemistry, Western Blot
Purity
The antibody was affinity-purified from mouse ascites by affinity-chromatography using epitope-specific immunogen.
Pricing
product-image-AAA320656_IHC13.png IHC (Immunohiostchemistry) (Human ling tissue was stained with Anti-Napsin A (PTR2173) Antibody)

Napsin A, Monoclonal Antibody (Cat# AAA320656)

Full Name
Napsin A (PTR2173) Antibody
Gene Names
NAPSA; KAP; Kdap; NAP1; NAPA; SNAPA
Reactivity
Human
Applications
Immunofluorescence, Western Blot, Immunohistochemistry
Purity
Protein G
Pricing
product-image-AAA320682_AD10.png Application Data

Vimentin, Monoclonal Antibody (Cat# AAA320682)

Full Name
Vimentin (ABT281) Antibody
Reactivity
Human, Mouse, Rat
Applications
Immunofluorescence, Western Blot, Immunohistochemistry
Purity
Protein G
Pricing
product-image-AAA48188_IF13.jpg IF (Immunofluorescence) (ICC/IF analysis of FSCN1 in HeLa cells line, stained with DAPI (Blue) for nucleus staining and monoclonal anti-human FSCN1 antibody (1:100) with goat anti-mouse IgG-Alexa fluor 488 conjugate (Green).)

FSCN1, Monoclonal Antibody (Cat# AAA48188)

Full Name
FSCN1 antibody
Gene Names
FSCN1; HSN; SNL; p55; FAN1
Reactivity
Human
Applications
Flow Cytometry, Immunofluorescence, Immunocytochemistry, Western Blot
Purity
By protein-A affinity chromatography
Pricing

Podoplanin, Monoclonal Antibody (Cat# AAA77823)

Full Name
Podoplanin, Human, mAb LpMab12
Reactivity
Human
Applications
Western Blot, Immunohistochemistry, Immunofluorescence, Immunoassay, Flow Cytometry
Pricing

TSH, Monoclonal Antibody (Cat# AAA77942)

Full Name
HRP conjugated mAb anti-human TSH
Reactivity
Human. Others not tested
Applications
ELISA
Purity
Protein G affinity purified
Pricing

Amyloid Beta Peptide 42, Monoclonal Antibody (Cat# AAA77953)

Full Name
Biotin conjugated mAb anti- Amyloid Beta Peptide 42
Reactivity
Species reactivity: Human, other primates, Mouse, Rat
Applications
ELISA
Purity
Protein G affinity purified
Pricing

Influenza B matrix protein M1, Monoclonal Antibody (Cat# AAA78066)

Full Name
Monoclonal mouse anti-influenza B Matrix protein M1
Purity
Protein A Chromatography.
Pricing
product-image-AAA48938_FCM13.jpg FCM/FACS (Flow Cytometry) (Flow cytometry analysis of CHI3L2 in HeLa cells. The cell was stained with AAA48938 at 2-5ug for 1x10^6cells (red). A Goat anti mouse IgG (Alexa fluor 488) was used as the secondary antibody. Mouse monoclonal IgG was used as the isotype control (dark gray), cells without incubation with primary and secondary antibody was used as the negative control (light gray))

CHI3L2, Monoclonal Antibody (Cat# AAA48938)

Full Name
CHI3L2 antibody
Gene Names
CHI3L2; CHIL2; YKL39; YKL-39
Reactivity
Human
Applications
Flow Cytometry, Western Blot
Purity
By protein-A affinity chromatography
Pricing
product-image-AAA107536_IF11.jpg IF (Immunofluorescence) (Immunofluorescent staining of COS7 cells transiently transfected with recombinant TTLL12 protein using TTLL12 antibody)

TTLL12, Monoclonal Antibody (Cat# AAA107536)

Full Name
TTLL12 antibody
Gene Names
TTLL12; dJ526I14.2
Applications
Western Blot, Immunofluorescence, Flow Cytometry
Purity
TTLL12 antibody was purified by affinity chromatography.
Pricing
product-image-AAA107549_IF11.jpg IF (Immunofluorescence) (Immunofluorescent staining of COS7 cells transiently transfected with recombinant VWA5A protein using VWA5A antibody)

VWA5A, Monoclonal Antibody (Cat# AAA107549)

Full Name
VWA5A antibody
Gene Names
VWA5A; BCSC1; BCSC-1; LOH11CR2A
Applications
Western Blot, Immunofluorescence, Flow Cytometry
Purity
VWA5A antibody was purified by affinity chromatography.
Pricing
product-image-AAA108033_IF11.jpg IF (Immunofluorescence) (Immunofluorescent staining of COS7 cells transiently transfected with recombinant PRKCE protein using PRKCE antibody)

PRKCE, Monoclonal Antibody (Cat# AAA108033)

Full Name
PRKCE antibody
Gene Names
PRKCE; PKCE; nPKC-epsilon
Applications
Western Blot, Immunohistochemistry, Immunofluorescence
Purity
PRKCE antibody was purified by affinity chromatography.
Pricing
product-image-AAA40985_ELISA13.jpg ELISA (Figure 2 Epitope Mapping of four Spike S2 Antibodies by Direct Competitive ELISA A direct competitive ELISA was developed for the epitope mapping using Spike trimer proteins of SARS-CoV-2 Delta variant at 1ug/ml as the coating antigen and biotinylated Spike S2 single domain antibodies (sdAbs) as the competitive antibodies. The sdAb mixtures (biotinylated and unconjugated sdAbs) were added to ELISA plate and streptavidin-HRP was used to detect the captured biotinylated sdAbs. The assay suggests the antibodies bind to different epitopes of the Spike trimer.)

SARS-CoV-2 (COVID-19) Spike S2, Monoclonal Recombinant Antibody (Cat# AAA40985)

Full Name
SARS-CoV-2 (COVID-19) Spike S2 Single Domain Antibody [P1B8]
Reactivity
Virus
Applications
ELISA
Purity
SARS-CoV-2 (COVID-19) Spike S2 Antibody is affinity chromatography purified via Nickel column. Antibody is supplied as a His-tagged purified protein.  It also contains a myc-tag for detection.
Pricing
product-image-AAA103286_WB11.png WB (Western Blot) (Western Blot analysis of Rat cell lysates showing detection of Hsp90 protein using Mouse Anti-Hsp90 Monoclonal Antibody, Clone D7Alpha. Load: 15 ug. Block: 1.5% BSA for 30 minutes at RT. Primary Antibody: Mouse Anti-Hsp90 Monoclonal Antibody at 1:1000 for 2 hours at RT. Secondary Antibody: Sheep Anti-Mouse IgG: HRP for 1 hour at RT.)

Hsp90, Monoclonal Antibody (Cat# AAA103286)

Full Name
Hsp90 Antibody: ATTO 488
Reactivity
Bovine, Chicken, Human, Mouse, Porcine (Pig), Rat, Rabbit
Applications
Western Blot, Immunohistochemistry, Immunoprecipitation
Pricing

What are Monoclonal Antibodies?


Monoclonal antibodies are specialized laboratory-produced proteins developed for binding to specific biological antigens or other molecular targets. Since they come from a single cell (or clone), they are especially consistent and accurate in the data they are involved in producing.


This type of antibody material has been shown to be a powerful tool in finding and subsequently destroying harmful cells in an organism, such as those found in cancers or various autoimmune diseases. This makes them excellent aids in medical testing and research, which is why they are so widely used.


AAA Biotech offers a comprehensive range of high-quality monoclonal antibodies that perform effectively in various laboratory tests, including (amongst others) ELISA, western blotting, immunohistochemistry, and flow cytometry. All of the products in our catalog are thoroughly quality tested to make sure that they are reliable and will consistently perform well in your research.


What Are The Uses of Monoclonal Antibodies


Monoclonal antibodies are used in many lab tests, including (amongst others) ELISA, western blotting, immunohistochemistry, and flow cytometry.


ELISA is a test that helps detect a specific substance/analyte in a sample. It uses antibodies (often monoclonal) bound to a solid surface (such as the well of a microplate) to “capture” the substance/analyte in the sample and immobilize it so that the detection antibody component can then bind to it and produce a signal, which can then be measured.


Western blotting identifies specific proteins in a sample. The sample is first separated on a gel, and then antibodies are applied that will typically bind to the target, which will all be localized to a single band in a lane.


Immunohistochemistry helps locate specific proteins in cells or tissue samples using antibodies.


Flow cytometry looks at and sorts cells. It uses antibodies that are conjugated to reporter molecules called “fluorophores”, which, under special lights, emit light themselves, which can then be measured by a detector instrument.


How Monoclonal Antibodies Are Used as Medicine?


Please note that all of the products listed in AAA Biotech’s also known as AAA Bio or AAABio catalog are strictly for research-use only (RUO).


Monoclonal antibodies can also be used as therapeutic/medical treatments, particularly in the context of cancers. They are designed to find and bind to specific cells or proteins, helping the immune system recognize and attack the cancer. These treatments work in different ways, such as:


  • Radioimmunotherapy attaches a small amount of radioactive molecule to the antibody, so it delivers the radiation directly to the cancer cells that the antibody is specifically binding to.

  • Antibody-directed enzyme prodrug therapy uses antibodies that are specifically bound to special enzymes. These enzymes activate a harmless drug in the body and turn it into a cancer-killing drug only near the cancer cells—this helps avoid harming healthy cells.

  • Immunoliposomes are tiny “bubbles” filled with medicine/drug and coated with antibodies. They carry the drug straight to the cancer cells.


Why Buy Monoclonal Antibodies From Us?


At AAA Biotech, we provide high-performance monoclonal antibodies designed to support a wide range of research needs.


1. Validated for Versatile Applications


The antibodies in our catalog are extensively validated and compatible with multiple techniques, including (but not limited to) ELISA, flow cytometry (FC), immunocytochemistry (ICC), immunofluorescence (IF), immunohistochemistry (IHC), immunoprecipitation (IP), and western blotting (WB).


2. Wide Selection & Specialized Options


We offer antibodies for common and rare species, that are available in various conjugated forms, and also in recombinant formats. Essentially, there is almost anything one might need to meet their experimental model’s requirements.


3. High-Quality Proteins


Our proteins meet high purity standards—90% or more as confirmed by SDS-PAGE. Many are available with tags like His, Flag, GST, or MBP, and we also supply native and biologically active proteins for functional studies.


Frequently Asked Questions


1. Are your monoclonal antibodies validated for specific applications?


Yes, our antibodies are tested and validated for use in methods such as ELISA, western blot, IHC, flow cytometry, and more. Refer to specific product pages or datasheets for individual product information.


2. How do I choose the right monoclonal antibody for my application?


Review the product details directly for application validation, species reactivity, and target information. You may also contact our support team at any time for help.


3. How quickly can I receive my order?


Most orders are processed and shipped within 1–3 business days, depending on product availability and your shipping location.


Submit a Question

Please complete the form below and a representative will contact you as soon as possible.

Request more Information

Please complete the form below and a representative will contact you as soon as possible.

Request a Manual

Please complete the form below and a representative will contact you as soon as possible.

Request a Quote

Please complete the form below and a representative will contact you as soon as possible.