Loading...

Skip to main content
Call us at +1-800-604-9114 for more information about our products or contact us online Need help? +1-800-604-9114 or contact us

Filters


Clonality

Type

Reactivity

Gene Name

Isotype

Host

Application

Clone

Monoclonal Antibodies

Get accurate results in your research with our Monoclonal Antibodies, which are specially made to target exactly what you require for your research, and will produce consistent, reliable performance in lab tests.


Viewing 7650-7700 of 27647 product results


product-image-AAA52535_WB10.jpg WB (Western Blot) (HEK293T cells were transfected with the pCMV6-ENTRY control (Left lane) or pCMV6-ENTRY ENG (Right lane) cDNA for 48 hrs and lysed. Equivalent amounts of cell lysates (5 ug per lane) were separated by SDS-PAGE and immunoblotted with anti-ENG.)

CD105, Monoclonal Antibody (Cat# AAA52535)

No reviews yet
Full Name
Mouse Monoclonal [clone 8A1] (IgG2b) to Human CD105
Gene Names
ENG; END; HHT1; ORW1
Reactivity
Dog, Human, Monkey, Mouse, Rat
Applications
Western Blot, Immunofluorescence, Immunohistochemistry
Purity
Protein A/G Purified
Pricing
product-image-AAA59352_IHC13.jpg IHC (Immunohiostchemistry) (TNFa-IP2 Antibody Immunohistochemistry on a FFPE SARS-CoV-2 Infected Lung Tissue)

TNFa, Monoclonal Antibody (Cat# AAA59352)

No reviews yet
Full Name
TNFa (BSB-141)
Reactivity
Human, Mouse, Rat
Pricing
product-image-AAA51899_WB11.jpg WB (Western Blot) (Cell lysates of mouse brain (60 ug) were resolved by SDS-PAGE, transferred to NC membrane and probed with anti-human FABP7 (1:1000). Proteins were visualized using a goat anti-mouse secondary antibody conjugated to HRP and an ECL detection system.)

FABP7 / BLBP / MRG, Monoclonal Antibody (Cat# AAA51899)

No reviews yet
Full Name
Mouse Monoclonal [clone AT1D1] (IgG2b,k) to Human FABP7 / BLBP / MRG
Gene Names
FABP7; MRG; BLBP; FABPB; B-FABP; LTR2-FABP7
Reactivity
Human, Mouse
Applications
Western Blot, Immunohistochemistry
Purity
Protein G Purified
Pricing
product-image-AAA51809_WB10.jpg WB (Western Blot) ( )

STEAP1 / STEAP, Monoclonal Antibody (Cat# AAA51809)

No reviews yet
Full Name
Mouse Monoclonal [clone J2D2] (IgG2b,k) to Human STEAP1 / STEAP
Gene Names
STEAP1; STEAP; PRSS24
Reactivity
Human
Applications
Western Blot, Immunofluorescence, Immunocytochemistry, Immunohistochemistry
Purity
Protein G Purified
Pricing

TNF-alpha (Tumor Necrosis Factor alpha), Monoclonal Antibody (Cat# AAA62523)

No reviews yet
Full Name
TNF-alpha (Tumor Necrosis Factor alpha) Mouse Monoclonal Antibody
Gene Names
TNF; DIF; TNFA; TNFSF2; TNLG1F; TNF-alpha
Reactivity
Human, Mouse, Rat, Rabbit, Cat, Dog, Zebrafish
Applications
Immunohistochemistry, Immunofluorescence, Flow Cytometry
Pricing
product-image-AAA62363_FCM11.jpg FCM/FACS (Flow Cytometry) (Flow cytometric analysis of 2% paraformaldehyde-fixed THP1 (Human acute monocytic leukemia cell line) cells labeling ADT2 with M25202 at 1/200 dilution (red) compared with a mouse monoclonal IgG isotype control (black) and an unlabelled control (cells without incubation with primary antibody, blue). Goat anti-mouse IgG (FITC) at 1/300 dilution was used as the secondary antibody.)

ADP/ATP translocase 2, Monoclonal Antibody (Cat# AAA62363)

No reviews yet
Full Name
ADP/ATP translocase 2 (458) Mouse mAb
Gene Names
SLC25A5; T2; T3; 2F1; AAC2; ANT2
Reactivity
Human
Applications
Flow Cytometry, Immunoprecipitation, Western Blot
Pricing
product-image-AAA74721_IF11.jpg IF (Immunofluorescence) (Immunofluorescent staining of COS7 cells transiently transfected with recombinant CRYAB protein using CRYAB antibody)

CRYAB, Monoclonal Antibody (Cat# AAA74721)

No reviews yet
Full Name
CRYAB antibody
Applications
Western Blot, Immunohistochemistry, Immunofluorescence
Purity
CRYAB antibody was purified by affinity chromatography.
Pricing

Dengue NS1, Monoclonal Antibody (Cat# AAA36562)

No reviews yet
Full Name
Dengue NS1 Ab
Purity
Iron Exchange
Pricing
product-image-AAA40478_ELISA13.jpg ELISA (Sandwich ELISA analysis of recombinant p24 proteins using capture antibody [7F4] and biotin labeled detection antibody [8G9]. (Assay sensitivity = 2.5 pg of recombinant p24 protein).)

HIV-1 p24, Monoclonal Antibody (Cat# AAA40478)

No reviews yet
Full Name
HIV-1 p24 Antibody [8G9]
Reactivity
Virus
Applications
Western Blot
Purity
HIV-1 p24 Monoclonal Antibody is immunoaffinity chromotography purified IgG.
Pricing
product-image-AAA41005_ELISA13.jpg ELISA (Figure 2 ELISA Validation of HIV-1 p24 Antibody with HIV-1 p24 Protein Coating Antigen: HIV-1 p24 recombinant protein, 1ug/mL, incubated at 4 degree C overnight. Detection Antibodies: HIV-1 p24 antibody, PM-7369, dilution: 0.3-1000 ng/mL, incubated at RT for 1 hr. Secondary Antibodies: Goat anti-mouse HRP at 1:5,000, incubated at RT for 1 hr.)

HIV-1 p24, Monoclonal Antibody (Cat# AAA41005)

No reviews yet
Full Name
HIV-1 p24 Antibody [9D2F6](biotin)
Reactivity
Virus
Applications
Western Blot
Purity
Anti-HIV-1 p24 antibody is immunoaffinity chromatography purified IgG.
Pricing
product-image-AAA78431_FCM15.jpg FCM/FACS (Flow Cytometry) (Fig-1: Cell Surface FLOW analysis of PD-L1- PE in PHA treated human PBMC using 1 ug of PE conjugated PD-L1 antibody (Clone: ABM4E54). Green represents isotype control; red represents anti-PD-L1-PE (10-7562-PE) antibody.)

hPD-L1, Monoclonal Antibody (Cat# AAA78431)

No reviews yet
Full Name
Monoclonal Antibody to hPD-L1 (Clone: ABM4E54) PE Conjugated
Gene Names
CD274; B7-H; B7H1; PDL1; PD-L1; PDCD1L1; PDCD1LG1
Reactivity
Human
Applications
Flow Cytometry
Purity
Protein G Chromatography
Pricing
product-image-AAA78647_AD15.jpg Application Data

Rat Anti-Mouse IgM (u chain specific), Monoclonal Secondary Antibody (Cat# AAA78647)

No reviews yet
Full Name
Rat Anti-Mouse IgM-PE
Reactivity
Mouse
Applications
Immunofluorescence, Flow Cytometry
Pricing
product-image-AAA48178_IF13.jpg IF (Immunofluorescence) (ICC/IF analysis of S100A4 in A549 cells line, stained with DAPI (Blue) for nucleus staining and monoclonal anti-human S100A4 antibody (1:100) with goat anti-mouse IgG-Alexa fluor 488 conjugate (Green). ICC/IF analysis of S100A4 in HeLa cells line, stained with DAPI (Blue) for nucleus staining, Wheat germ agglutinin (WGA) with fluorescein conjugate (Red) for plasma membrane staining and monoclonal anti-human S100A4 antibody (1:500) with goat anti-mouse IgG-Alexa fluor 488 conjugate (Green).)

S100A4, Monoclonal Antibody (Cat# AAA48178)

No reviews yet
Full Name
S100A4 antibody
Gene Names
S100A4; 42A; 18A2; CAPL; FSP1; MTS1; P9KA; PEL98
Reactivity
Human
Applications
Immunofluorescence, Immunocytochemistry, Flow Cytometry, Western Blot
Purity
By protein-A affinity chromatography
Pricing
product-image-AAA107301_IF11.jpg IF (Immunofluorescence) (Immunofluorescent staining of COS7 cells transiently transfected with recombinant NUMB protein using NUMB antibody)

NUMB, Monoclonal Antibody (Cat# AAA107301)

No reviews yet
Full Name
NUMB antibody
Gene Names
NUMB; S171; C14orf41; c14_5527
Applications
Western Blot, Immunofluorescence, Flow Cytometry
Purity
NUMB antibody was purified by affinity chromatography.
Pricing
product-image-AAA108105_IHC11.jpg IHC (Immunohistochemisry) (Immunohistochemical analysis of PLK1 protein in paraffin embedded Human liver tissue using PLK1 antibody)

PLK1, Monoclonal Antibody (Cat# AAA108105)

No reviews yet
Full Name
PLK1 antibody
Applications
Western Blot, Immunohistochemistry
Purity
PLK1 antibody was purified by affinity chromatography.
Pricing
product-image-AAA47305_FCM10.png FCM/FACS (Flow Cytometry) (Figure 3. Flow cytometry data of serially titrated Rabbit anti-MSLN monoclonal antibody ( clone: DM73) on Hela cells. The Y-axis represents the mean fluorescence intensity (MFI) while the X-axis represents the concentration of IgG used.)

mesothelin, Monoclonal Antibody (Cat# AAA47305)

No reviews yet
Full Name
Anti-mesothelin antibody (DM73), Rabbit mAb
Gene Names
MSLN; MPF; SMRP
Reactivity
Human
Applications
Flow Cytometry
Purity
Purified from cell culture supernatant by affinity chromatography
Pricing
product-image-AAA47453_FCM13.jpg FCM/FACS (Flow Cytometry) (Figure 1. ELISA plate pre-coated by 1 ug/ml (100 ul/well) Human HVEM protein, His tagged protein PME100273 can bind Rabbit anti-HVEM monoclonal antibody (clone: DM131) in a linear range of 0. 1-12 ng/ml.)

HVEM, Monoclonal Antibody (Cat# AAA47453)

No reviews yet
Full Name
Anti-HVEM antibody (DM131), Rabbit mAb
Gene Names
TNFRSF14; TR2; ATAR; HVEA; HVEM; CD270; LIGHTR
Reactivity
Human
Applications
Flow Cytometry
Purity
Purified from cell culture supernatant by affinity chromatography
Pricing

STAPHYLOCOCCUS ENTEROTOXIN A/B/C1/C2/D/E, Monoclonal Antibody (Cat# AAA49214)

No reviews yet
Full Name
MOUSE ANTI STAPHYLOCOCCUS ENTEROTOXIN A/B/C1/C2/D/E
Applications
ELISA
Pricing
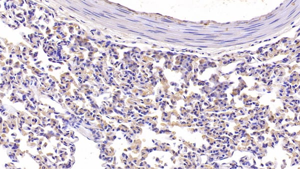
product-image-AAA49277_AD15.jpg Application Data (Staining of paraffin embedded human thyroid with Mouse anti Human TSH receptor)

THYROID STIMULATING HORMONE RECEPTOR, Monoclonal Antibody (Cat# AAA49277)

No reviews yet
Full Name
MOUSE ANTI HUMAN THYROID STIMULATING HORMONE RECEPTOR
Gene Names
TSHR; LGR3; CHNG1; hTSHR-I
Applications
Western Blot, Immunohistochemistry, Immunoprecipitation, Flow Cytometry, Immunohistochemistry
Pricing
product-image-AAA47009_WB13.jpg WB (Western Blot) (Western blot analysis of GRP78 BiP expression in (1) HeLa cell lysate; (2) C6 cell lysate (AAA47009).Electrophoresis was performed on a 5-20% SDS-PAGE gel at 70V (Stacking gel) / 90V (Resolving gel) for 2-3 hours. The sample well of each lane was loaded with 50ug of sample under reducing conditions.After Electrophoresis, proteins were transferred to a Nitrocellulose membrane at 150mA for 50-90 minutes. Blocked the membrane with 5% Non-fat Milk/ TBS for 1.5 hour at RT. The membrane was incubated with rabbit anti-HSPA5 monoclonal antibody overnight at 4 degree C, then washed with TBS-0.1%Tween 3 times with 5 minutes each and probed with a goat anti-rabbit IgG-HRP secondary antibody at a dilution of 1:10000 for 1.5 hour at RT. The signal is developed using an Enhanced Chemiluminescent detection (ECL) kit with Tanon 5200 system. A specific band was detected for HSPA5)

GRP78 BiP, Monoclonal Antibody (Cat# AAA47009)

No reviews yet
Full Name
Anti-GRP78 BiP Rabbit Monoclonal Antibody
Gene Names
HSPA5; BIP; MIF2; GRP78; HEL-S-89n
Reactivity
Human, Mouse, Rat
Applications
Western Blot, Immunohistochemistry
Purity
Affinity-chromatography
Pricing
product-image-AAA46911_IHC13.jpg IHC (Immunohiostchemistry) (Immunohistochemical analysis of paraffin-embedded human prostate carcinoma, using Tuberin Antibody.)

Tuberin, Monoclonal Antibody (Cat# AAA46911)

No reviews yet
Full Name
Anti-Tuberin Rabbit Monoclonal Antibody
Gene Names
TSC2; LAM; TSC4; PPP1R160
Reactivity
Human, Mouse, Rat
Applications
Western Blot, Immunohistochemistry, Flow Cytometry
Purity
Affinity-chromatography
Pricing
product-image-AAA46967_IHC13.jpg IHC (Immunohiostchemistry) (Immunohistochemical analysis of paraffin-embedded human spleen, using LEF1 Antibody(AAA46967)LEF1 was detected in paraffin-embedded tissue section. Heat mediated antigen retrieval was performed in citrate buffer (pH6, epitope retrieval solution) for 20 mins. The tissue section was blocked with 10% goat serum. The tissue section was then incubated with 1ug/ml rabbit anti-LEF1 Antibody (AAA46967)overnight at 4 degree C. Biotinylated goat anti-rabbit IgG was used as secondary antibody and incubated for 30 minutes at 37 degree C. The tissue section was developed using Strepavidin-Biotin-Complex (SABC) with DAB as the chromogen.)

LEF1, Monoclonal Antibody (Cat# AAA46967)

No reviews yet
Full Name
Anti-LEF1 Rabbit Monoclonal Antibody
Gene Names
LEF1; LEF-1; TCF10; TCF7L3; TCF1ALPHA
Reactivity
Human, Rat
Applications
Western Blot, Immunocytochemistry, Immunohistochemistry, Immunofluorescence
Purity
Affinity-chromatography
Pricing
product-image-AAA103473_IHC11.png IHC (Immunohistochemisry) (Immunohistochemistry analysis using Mouse Anti-TrpV3 Monoclonal Antibody, Clone S15-4. Tissue: hippocampus. Species: Human. Fixation: Bouin's Fixative and paraffin-embedded. Primary Antibody: Mouse Anti-TrpV3 Monoclonal Antibody at 1:1000 for 1 hour at RT. Secondary Antibody: FITC Goat Anti-Mouse (green) at 1:50 for 1 hour at RT.)

TrpV3, Monoclonal Antibody (Cat# AAA103473)

No reviews yet
Full Name
TrpV3 Antibody: HRP
Reactivity
Human, Mouse, Rat
Applications
Immunofluorescence, Immunoprecipitation, Immunocytochemistry, Western Blot
Pricing
product-image-AAA48128_WB15.jpg WB (Western Blot) (The lysate of 293T (60ug) were resolved by SDS-PAGE, transferred to PVDF membrane and probed with anti-human ITLN1 antibody (1:250-1:500). Proteins were visualized using a goat anti-mouse secondary antibody conjugated to HRP and an ECL detection system.)

ITLN1, Monoclonal Antibody (Cat# AAA48128)

No reviews yet
Full Name
ITLN1 antibody
Gene Names
ITLN1; HL1; LFR; HL-1; INTL; ITLN; hIntL; omentin
Reactivity
Human
Applications
Western Blot
Purity
By protein-A affinity chromatography
Pricing
product-image-AAA48041_IF13.jpg IF (Immunofluorescence) (ICC/IF analysis of FLIP in HeLa cells line, stained with DAPI (Blue) for nucleus staining and monoclonal anti-human FLIP antibody (1:100) with goat anti-mouse IgG-Alexa fluor 488 conjugate (Green))

FLIP, Monoclonal Antibody (Cat# AAA48041)

No reviews yet
Full Name
FLIP antibody
Gene Names
CFLAR; CASH; FLIP; MRIT; CLARP; FLAME; Casper; FLAME1; c-FLIP; FLAME-1; I-FLICE; c-FLIPL; c-FLIPR; c-FLIPS; CASP8AP1
Reactivity
Human
Applications
Immunofluorescence, Immunocytochemistry, Western Blot
Purity
By protein-G affinity chromatography
Pricing
product-image-AAA103043_IHC8.png IHC (Immunohistochemistry) (Immunohistochemistry analysis using Mouse Anti-Sodium Iodide Symporter Monoclonal Antibody, Clone 14F. Tissue: Thyroid. Species: Mouse. Fixation: 10% Formalin Solution for 12-24 hours at RT. Primary Antibody: Mouse Anti-Sodium Iodide Symporter Monoclonal Antibody at 1:1000 for 1 hour at RT. Secondary Antibody: HRP/DAB Detection System: Biotinylated Goat Anti-Mouse, Streptavidin Peroxidase, DAB Chromogen (brown) for 30 minutes at RT. Counterstain: Mayer Hematoxylin (purple/blue) nuclear stain at 250-500 ul for 5 minutes at RT.)

Sodium-Iodide Symporter, Monoclonal Antibody (Cat# AAA103043)

No reviews yet
Full Name
Sodium-Iodide Symporter Antibody: Biotin
Gene Names
SLC5A5; NIS; TDH1
Reactivity
Human, Mouse, Rat
Applications
Immunofluorescence, Immunohistochemistry, Western Blot
Pricing
product-image-AAA102978_WB13.png WB (Western Blot) (Western Blot analysis of Human Cell lysates showing detection of Rhodopsin protein using Mouse Anti-Rhodopsin Monoclonal Antibody, Clone 1D4. Load: 15 ug. Block: 1.5% BSA for 30 minutes at RT. Primary Antibody: Mouse Anti-Rhodopsin Monoclonal Antibody at 1:1000 for 2 hours at RT. Secondary Antibody: Sheep Anti-Mouse IgG: HRP for 1 hour at RT.)

Rhodopsin, Monoclonal Antibody (Cat# AAA102978)

No reviews yet
Full Name
Rhodopsin Antibody: PerCP
Reactivity
Vertebrates
Applications
Immunofluorescence, Western Blot, Immunoprecipitation, Immunohistochemistry, Immunocytochemistry
Pricing
product-image-AAA103321_WB13.png WB (Western Blot) (Western Blot analysis of Human Cell lysates showing detection of Hsp90 alpha protein using Mouse Anti-Hsp90 alpha Monoclonal Antibody, Clone K41220A. Load: 15 ug. Block: 1.5% BSA for 30 minutes at RT. Primary Antibody: Mouse Anti-Hsp90 alpha Monoclonal Antibody at 1:1000 for 2 hours at RT. Secondary Antibody: Sheep Anti-Mouse IgG: HRP for 1 hour at RT.)

Hsp90 alpha/beta, Monoclonal Antibody (Cat# AAA103321)

No reviews yet
Full Name
Hsp90 alpha/beta Antibody: Biotin
Gene Names
HSP90AB1; HSP84; HSPC2; HSPCB; D6S182; HSP90B
Reactivity
Human, Rat, S. cerevisiae, S. pombe. Limited or no reactivity to mice or P.caudatum
Applications
Immunohistochemistry, Western Blot
Pricing
product-image-AAA103139_IHC8.png IHC (Immunohistochemistry) (Immunohistochemistry analysis using Mouse Anti-Hsp90 Monoclonal Antibody, Clone 4F3.E8. Tissue: backskin. Species: Mouse. Fixation: Bouin's Fixative and paraffin-embedded. Primary Antibody: Mouse Anti-Hsp90 Monoclonal Antibody at 1:100 for 1 hour at RT. Secondary Antibody: FITC Goat Anti-Mouse (green) at 1:50 for 1 hour at RT.)

Hsp90, Monoclonal Antibody (Cat# AAA103139)

No reviews yet
Full Name
Hsp90 (total) Antibody: PerCP
Gene Names
HSP90AA1; EL52; HSPN; LAP2; HSP86; HSPC1; HSPCA; Hsp89; Hsp90; LAP-2; HSP89A; HSP90A; HSP90N; HSPCAL1; HSPCAL4
Reactivity
Human, Mouse, Rat, Wheat
Applications
Immunofluorescence, Immunohistochemistry, Immunocytochemistry, Immunoprecipitation, Western Blot
Pricing
product-image-AAA103334_WB11.png WB (Western Blot) (Western Blot analysis of Rat brain membrane lysate showing detection of SHANK3 protein using Mouse Anti-SHANK3 Monoclonal Antibody, Clone S69-46. Load: 15 ug. Block: 1.5% BSA for 30 minutes at RT. Primary Antibody: Mouse Anti-SHANK3 Monoclonal Antibody at 1:1000 for 2 hours at RT. Secondary Antibody: Sheep Anti-Mouse IgG: HRP for 1 hour at RT.)

SHANK3, Monoclonal Antibody (Cat# AAA103334)

No reviews yet
Full Name
SHANK3 Antibody: ATTO 390
Gene Names
Shank3; Prosap2
Reactivity
Mouse, Human, Rat
Applications
Immunoprecipitation, Immunohistochemistry, Western Blot
Pricing
product-image-AAA103341_IHC8.png IHC (Immunohistochemistry) (Immunohistochemistry analysis using Mouse Anti-Sodium Iodide Symporter Monoclonal Antibody, Clone 14F. Tissue: Thyroid. Species: Mouse. Fixation: 10% Formalin Solution for 12-24 hours at RT. Primary Antibody: Mouse Anti-Sodium Iodide Symporter Monoclonal Antibody at 1:1000 for 1 hour at RT. Secondary Antibody: HRP/DAB Detection System: Biotinylated Goat Anti-Mouse, Streptavidin Peroxidase, DAB Chromogen (brown) for 30 minutes at RT. Counterstain: Mayer Hematoxylin (purple/blue) nuclear stain at 250-500 ul for 5 minutes at RT.)

Sodium-Iodide Symporter, Monoclonal Antibody (Cat# AAA103341)

No reviews yet
Full Name
Sodium-Iodide Symporter Antibody: FITC
Gene Names
SLC5A5; NIS; TDH1
Reactivity
Human, Mouse, Rat
Applications
Immunofluorescence, Immunohistochemistry, Western Blot
Pricing
product-image-AAA103345_ICC8.png ICC (Immunocytochemistry) (Immunocytochemistry/Immunofluorescence analysis using Mouse Anti-CaMKII Monoclonal Antibody, Clone 6G9. Tissue: dissociated hippocampal neurons. Species: Mouse. Fixation: Cold 4% paraformaldehyde/0.2% glutaraldehyde in 0.1M sodium phosphate buffer. Primary Antibody: Mouse Anti-CaMKII Monoclonal Antibody at 1:1000 for 12 hours at 4 degree C. Secondary Antibody: FITC Goat Anti-Mouse IgG (green) at 1:50 for 30 minutes at RT. Magnification: 10X. Courtesy of: Mary Kennedy, Caltech.)

CaMKII (alpha-specific), Monoclonal Antibody (Cat# AAA103345)

No reviews yet
Full Name
CaMKII (Alpha-Specific) Antibody
Gene Names
Camk2a; CaMKII; R74975; mKIAA0968
Reactivity
Mouse, Rat, Bovine, Human
Applications
Radioimmunoassay, Immunohistochemistry, Western Blot, Immunoprecipitation, Immunofluorescence
Pricing
product-image-AAA49382_AD13.jpg Application Data (Published customer image: T lymphocytes in PBLs following DPV gC DNA vaccination. 3, 5, 7, 14, 28, 42 days after vaccination, the isolated PBLs were stained with monoclonal antibodies against duck CD4 (A), and CD8 (B). The results presented are the mean of all specimens of each group +/- SD.From: Lian B, Cheng A, Wang M, Zhu D, Luo Q, Jia R, Liu F, Han X, Chen X. Induction of immune responses in ducks with a DNA vaccine encoding duck plague virus glycoprotein C. Virol J. 2011 May 10;8:214.)

CD4, Monoclonal Antibody (Cat# AAA49382)

No reviews yet
Full Name
MOUSE ANTI DUCK CD4
Gene Names
CD4; CD4mut
Applications
Immunoprecipitation, Flow Cytometry
Pricing
product-image-AAA49508_AD8.gif Application Data (Staining of human peripheral blood platelets with Mouse anti Human CD9:Biotin)

CD9, Monoclonal Antibody (Cat# AAA49508)

No reviews yet
Full Name
MOUSE ANTI HUMAN CD9:RPE
Gene Names
CD9; MIC3; MRP-1; BTCC-1; DRAP-27; TSPAN29; TSPAN-29
Applications
Flow Cytometry
Pricing
product-image-AAA50227_AD13.gif Application Data (Human eosinophils stained with Hamster anti Human EMR1:RPE)

EMR1, Monoclonal Antibody (Cat# AAA50227)

No reviews yet
Full Name
HAMSTER ANTI HUMAN EMR1
Gene Names
EMR1; TM7LN3
Applications
Flow Cytometry
Pricing

Chikungunya Virus, Monoclonal Antibody (Cat# AAA58000)

No reviews yet
Full Name
MAb to Chikungunya Virus
Applications
Immunofluorescence, Lateral Flow
Pricing
product-image-AAA248068_WB15.jpg WB (Western Blot) (HepG2 cells were subjected to SDS PAGE followed by western blot with AAA248068 (RBPJ antibody) at dilution of 1:1000)

RBPJ, Monoclonal Antibody (Cat# AAA248068)

No reviews yet
Full Name
RBPJ Mouse Monoclonal
Gene Names
RBPJ; SUH; csl; AOS3; CBF1; KBF2; RBP-J; RBPJK; IGKJRB; RBPSUH; IGKJRB1
Reactivity
Human
Applications
Western Blot
Purity
> 95% as determined by SDS-PAGE
Protein A+G purification
Pricing
product-image-AAA309472_IHC13.jpg IHC (Immunohiostchemistry) (Immunohistochemical analysis of paraffin-embedded Human Kidney Tissue using IL-8 Mouse mAb diluted at 1:200.)

IL-8, Monoclonal Antibody (Cat# AAA309472)

No reviews yet
Full Name
IL-8 Mouse Monoclonal Antibody(14E1)
Gene Names
CXCL8; IL8; AMCF-I
Reactivity
Human, Rat, Mouse
Applications
Immunohistochemistry
Pricing
product-image-AAA312680_FACS8.jpg FCM/FACS (Flow Cytometry) (Flow cytometric analysis of MCF-7 cells with Tropomyosin 1 antibody at 1/100 dilution (purple) compared with an unlabelled control (cells without incubation with primary antibody; yellow). Alexa Fluor 488-conjugated goat anti-rabbit IgG was used as the secondary antibody.)

Tropomyosin 1, Monoclonal Antibody (Cat# AAA312680)

No reviews yet
Full Name
Tropomyosin 1 Antibody
Gene Names
TPM1; CMH3; TMSA; CMD1Y; LVNC9; C15orf13; HTM-alpha
Reactivity
Human, Mouse, Rat
Applications
Flow Cytometry, Immunohistochemistry, Western Blot
Purity
ProA affinity purified
Pricing
product-image-AAA311984_WB13.jpg WB (Western Blot) (Western blot analysis of FOXM1 expression in CCRF-CEM whole cell lysate.)

FOXM1, Monoclonal Antibody (Cat# AAA311984)

No reviews yet
Full Name
FOXM1 Antibody
Gene Names
FOXM1; MPP2; TGT3; HFH11; HNF-3; INS-1; MPP-2; PIG29; FKHL16; FOXM1B; HFH-11; TRIDENT; MPHOSPH2
Reactivity
Human, Mouse, Rat
Applications
Immunofluorescence, Immunoprecipitation, Western Blot
Purity
ProA affinity purified
Pricing
product-image-AAA312360_ICC13.jpg ICC (Immunocytochemistry) (ICC staining JunD in HepG2 cells (green). The nuclear counter stain is DAPI (blue). Cells were fixed in paraformaldehyde, permeabilised with 0.25% Triton X100/PBS.)

JunD, Monoclonal Antibody (Cat# AAA312360)

No reviews yet
Full Name
JunD Antibody
Gene Names
JUND; AP-1
Reactivity
Human
Applications
Immunoprecipitation, Immunofluorescence, Immunocytochemistry, Western Blot
Purity
ProA affinity purified
Pricing
product-image-AAA312385_FACS8.jpg FCM/FACS (Flow Cytometry) (Flow cytometric analysis of Hela cells with CDC42 antibody at 1/50 dilution (red) compared with an unlabelled control (cells without incubation with primary antibody; black). Alexa Fluor 488-conjugated goat anti rabbit IgG was used as the secondary antibody.)

CDC42, Monoclonal Antibody (Cat# AAA312385)

No reviews yet
Full Name
CDC42 Antibody
Gene Names
CDC42; G25K; CDC42Hs
Reactivity
Human, Mouse, Rat
Applications
Flow Cytometry, Immunoprecipitation, Immunohistochemistry, Western Blot
Purity
ProA affinity purified
Pricing
product-image-AAA312392_IHC13.jpg IHC (Immunohiostchemistry) (Immunohistochemical analysis of paraffin-embedded human kidney tissue using anti-LAMP1 antibody. Counter stained with hematoxylin.)

LAMP1, Monoclonal Antibody (Cat# AAA312392)

No reviews yet
Full Name
LAMP1 Antibody
Gene Names
LAMP1; LAMPA; CD107a; LGP120
Reactivity
Human
Applications
Immunohistochemistry, Western Blot
Purity
ProA affinity purified
Pricing
product-image-AAA312293_ICC10.jpg ICC (Immunocytochemistry) (ICC staining MAP1LC3A in PMVEC cells (green). The nuclear counter stain is DAPI (blue). Cells were fixed in paraformaldehyde, permeabilised with 0.25% Triton X100/PBS.)

MAP1LC3A, Monoclonal Antibody (Cat# AAA312293)

No reviews yet
Full Name
MAP1LC3A Antibody
Gene Names
MAP1LC3A; LC3; LC3A; ATG8E; MAP1ALC3; MAP1BLC3
Reactivity
Human, Mouse, Rat
Applications
Immunoprecipitation, Immunohistochemistry, Immunocytochemistry, Western Blot
Purity
ProA affinity purified
Pricing
product-image-AAA312323_ICC13.jpg ICC (Immunocytochemistry) (ICC staining PSA in PC-3M cells (green). The nuclear counter stain is DAPI (blue). Cells were fixed in paraformaldehyde, permeabilised with 0.25% Triton X100/PBS.)

Prostate Specific Antigen, Monoclonal Antibody (Cat# AAA312323)

No reviews yet
Full Name
Prostate Specific Antigen Antibody
Gene Names
KLK3; APS; PSA; hK3; KLK2A1
Reactivity
Human
Applications
Immunohistochemistry, Immunofluorescence, Immunocytochemistry, Western Blot
Purity
ProA affinity purified
Pricing
product-image-AAA312187_IHC13.jpg IHC (Immunohiostchemistry) (Immunohistochemical analysis of paraffin-embedded human tonsil tissue using anti-PD1 antibody. Counter stained with hematoxylin.)

PD1, Monoclonal Antibody (Cat# AAA312187)

No reviews yet
Full Name
PD1 Antibody
Gene Names
PDCD1; PD1; PD-1; CD279; SLEB2; hPD-1; hPD-l; hSLE1
Reactivity
Human
Applications
Immunohistochemistry, Western Blot
Purity
ProA affinity purified
Pricing
product-image-AAA312192_IHC11.png IHC (Immunohistochemisry) (Immunohistochemical analysis of paraffin-embedded human lung cancer tissue using anti-CD63 antibody. Counter stained with hematoxylin.)

CD63, Monoclonal Antibody (Cat# AAA312192)

No reviews yet
Full Name
CD63 Antibody
Gene Names
CD63; MLA1; ME491; LAMP-3; OMA81H; TSPAN30
Reactivity
Human
Applications
Immunohistochemistry, Western Blot
Purity
ProA affinity purified
Pricing
product-image-AAA312628_FACS8.jpg FCM/FACS (Flow Cytometry) (Flow cytometric analysis of 293T cells with RPA70 antibody at 1/100 dilution (red) compared with an unlabelled control (cells without incubation with primary antibody; black). Alexa Fluor 488-conjugated goat anti rabbit IgG was used as the secondary antibody.)

RPA70, Monoclonal Antibody (Cat# AAA312628)

No reviews yet
Full Name
RPA70 Antibody
Gene Names
RPA1; HSSB; RF-A; RP-A; REPA1; RPA70; MST075
Reactivity
Human
Applications
Flow Cytometry, Immunofluorescence, Immunocytochemistry, Western Blot
Purity
ProA affinity purified
Pricing
product-image-AAA312052_FCM10.jpg FCM/FACS (Flow Cytometry) (Flow cytometric analysis of Jurkat cells with THAP1 antibody at 1/100 dilution (green) compared with an unlabelled control (cells without incubation with primary antibody; red).)

THAP1, Monoclonal Antibody (Cat# AAA312052)

No reviews yet
Full Name
THAP1 Antibody
Gene Names
THAP1; DYT6
Reactivity
Human
Applications
Flow Cytometry, Immunocytochemistry, Western Blot
Purity
ProA affinity purified
Pricing
product-image-AAA312453_FCM10.jpg FCM/FACS (Flow Cytometry) (Flow cytometric analysis of Hela cells with Interferon gamma antibody at 1/50 dilution (red) compared with an unlabelled control (cells without incubation with primary antibody; black). Alexa Fluor 488-conjugated goat anti rabbit IgG was used as the secondary antibody.)

Interferon gamma, Monoclonal Antibody (Cat# AAA312453)

No reviews yet
Full Name
Interferon gamma Antibody
Gene Names
IFNG; IFG; IFI
Reactivity
Human, Mouse, Rat
Applications
Flow Cytometry, Immunohistochemistry, Western Blot
Purity
ProA affinity purified
Pricing

What are Monoclonal Antibodies?


Monoclonal antibodies are specialized laboratory-produced proteins developed for binding to specific biological antigens or other molecular targets. Since they come from a single cell (or clone), they are especially consistent and accurate in the data they are involved in producing.


This type of antibody material has been shown to be a powerful tool in finding and subsequently destroying harmful cells in an organism, such as those found in cancers or various autoimmune diseases. This makes them excellent aids in medical testing and research, which is why they are so widely used.


AAA Biotech offers a comprehensive range of high-quality monoclonal antibodies that perform effectively in various laboratory tests, including (amongst others) ELISA, western blotting, immunohistochemistry, and flow cytometry. All of the products in our catalog are thoroughly quality tested to make sure that they are reliable and will consistently perform well in your research.


What Are The Uses of Monoclonal Antibodies


Monoclonal antibodies are used in many lab tests, including (amongst others) ELISA, western blotting, immunohistochemistry, and flow cytometry.


ELISA is a test that helps detect a specific substance/analyte in a sample. It uses antibodies (often monoclonal) bound to a solid surface (such as the well of a microplate) to “capture” the substance/analyte in the sample and immobilize it so that the detection antibody component can then bind to it and produce a signal, which can then be measured.


Western blotting identifies specific proteins in a sample. The sample is first separated on a gel, and then antibodies are applied that will typically bind to the target, which will all be localized to a single band in a lane.


Immunohistochemistry helps locate specific proteins in cells or tissue samples using antibodies.


Flow cytometry looks at and sorts cells. It uses antibodies that are conjugated to reporter molecules called “fluorophores”, which, under special lights, emit light themselves, which can then be measured by a detector instrument.


How Monoclonal Antibodies Are Used as Medicine?


Please note that all of the products listed in AAA Biotech’s also known as AAA Bio or AAABio catalog are strictly for research-use only (RUO).


Monoclonal antibodies can also be used as therapeutic/medical treatments, particularly in the context of cancers. They are designed to find and bind to specific cells or proteins, helping the immune system recognize and attack the cancer. These treatments work in different ways, such as:


  • Radioimmunotherapy attaches a small amount of radioactive molecule to the antibody, so it delivers the radiation directly to the cancer cells that the antibody is specifically binding to.

  • Antibody-directed enzyme prodrug therapy uses antibodies that are specifically bound to special enzymes. These enzymes activate a harmless drug in the body and turn it into a cancer-killing drug only near the cancer cells—this helps avoid harming healthy cells.

  • Immunoliposomes are tiny “bubbles” filled with medicine/drug and coated with antibodies. They carry the drug straight to the cancer cells.


Why Buy Monoclonal Antibodies From Us?


At AAA Biotech, we provide high-performance monoclonal antibodies designed to support a wide range of research needs.


1. Validated for Versatile Applications


The antibodies in our catalog are extensively validated and compatible with multiple techniques, including (but not limited to) ELISA, flow cytometry (FC), immunocytochemistry (ICC), immunofluorescence (IF), immunohistochemistry (IHC), immunoprecipitation (IP), and western blotting (WB).


2. Wide Selection & Specialized Options


We offer antibodies for common and rare species, that are available in various conjugated forms, and also in recombinant formats. Essentially, there is almost anything one might need to meet their experimental model’s requirements.


3. High-Quality Proteins


Our proteins meet high purity standards—90% or more as confirmed by SDS-PAGE. Many are available with tags like His, Flag, GST, or MBP, and we also supply native and biologically active proteins for functional studies.


Frequently Asked Questions


1. Are your monoclonal antibodies validated for specific applications?


Yes, our antibodies are tested and validated for use in methods such as ELISA, western blot, IHC, flow cytometry, and more. Refer to specific product pages or datasheets for individual product information.


2. How do I choose the right monoclonal antibody for my application?


Review the product details directly for application validation, species reactivity, and target information. You may also contact our support team at any time for help.


3. How quickly can I receive my order?


Most orders are processed and shipped within 1–3 business days, depending on product availability and your shipping location.


Submit a Question

Please complete the form below and a representative will contact you as soon as possible.

Request more Information

Please complete the form below and a representative will contact you as soon as possible.

Request a Manual

Please complete the form below and a representative will contact you as soon as possible.

Request a Quote

Please complete the form below and a representative will contact you as soon as possible.