Loading...

Skip to main content
Call us at +1-800-604-9114 for more information about our products or contact us online Need help? +1-800-604-9114 or contact us

Filters


Clonality

Type

Reactivity

Gene Name

Isotype

Host

Application

Clone

Monoclonal Antibodies

Get accurate results in your research with our Monoclonal Antibodies, which are specially made to target exactly what you require for your research, and will produce consistent, reliable performance in lab tests.


Viewing 7550-7600 of 27647 product results


product-image-AAA48143_IHC10.jpg IHC (Immunohistochemistry) (Paraffin embedded sections of human colorectal cancer tissue were incubated with anti-human CD46 (1:100) for 2 hours at room temperature. Antigen retrieval was performed in 0.1M sodium citrate buffer and detected using Diaminobenzidine(DAB).)

CD46, Monoclonal Antibody (Cat# AAA48143)

No reviews yet
Full Name
CD46 antibody
Gene Names
CD46; MCP; TLX; AHUS2; MIC10; TRA2.10
Reactivity
Human
Applications
Immunohistochemistry, Immunofluorescence, Immunocytochemistry, Flow Cytometry, Western Blot
Purity
By protein-A affinity chromatography
Pricing

Metalloreductase STEAP1, Monoclonal Antibody (Cat# AAA37957)

No reviews yet
Full Name
Mouse Anti Human Metalloreductase STEAP1
Gene Names
STEAP1; STEAP; PRSS24
Applications
Immunocytochemistry, Immunohistochemistry, Immunofluorescence, Western Blot
Purity
STEAP1 antibody was purification by protein-G affinity chromatography.
Pricing
product-image-AAA47005_WB13.jpg WB (Western Blot) (Western blot analysis of HSP70 expression in (1) K562 cell lysate; (2) 293T cell lysate (AAA47005).Electrophoresis was performed on a 5-20% SDS-PAGE gel at 70V (Stacking gel) / 90V (Resolving gel) for 2-3 hours. The sample well of each lane was loaded with 50ug of sample under reducing conditions.After Electrophoresis, proteins were transferred to a Nitrocellulose membrane at 150mA for 50-90 minutes. Blocked the membrane with 5% Non-fat Milk/ TBS for 1.5 hour at RT. The membrane was incubated with rabbit anti-HSPA1A monoclonal antibody overnight at 4 degree C, then washed with TBS-0.1%Tween 3 times with 5 minutes each and probed with a goat anti-rabbit IgG-HRP secondary antibody at a dilution of 1:10000 for 1.5 hour at RT. The signal is developed using an Enhanced Chemiluminescent detection (ECL) kit with Tanon 5200 system. A specific band was detected for HSPA1A)

Hsp70, Monoclonal Antibody (Cat# AAA47005)

No reviews yet
Full Name
Anti-Hsp70 Rabbit Monoclonal Antibody
Gene Names
HSPA1A; HSP72; HSPA1; HSP70I; HSP70-1; HSP70.1; HSP70-1A; HEL-S-103
Reactivity
Human, Mouse, Rat
Applications
Western Blot, Immunocytochemistry, Immunohistochemistry, Immunofluorescence, Flow Cytometry
Purity
Affinity-chromatography
Pricing
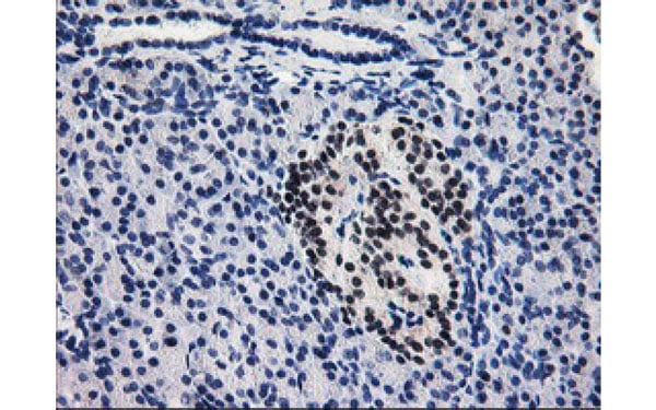
product-image-AAA47101_IHC11.jpg IHC (Immunohistochemisry) (Immunohistochemical analysis of paraffin-embeddedrat pancreas, using Collagen VI Antibody.)

Collagen VI, Monoclonal Antibody (Cat# AAA47101)

No reviews yet
Full Name
Anti-Collagen VI Rabbit Monoclonal Antibody
Gene Names
COL6A1; OPLL; BTHLM1; UCHMD1
Reactivity
Human, Mouse, Rat
Applications
Western Blot, Immunocytochemistry, Immunohistochemistry, Immunofluorescence
Purity
Affinity-chromatography
Pricing
product-image-AAA49271_AD8.gif Application Data (Staining of human peripheral blood granulocytes with Mouse anti Human CD10:APC)

CD10, Monoclonal Antibody (Cat# AAA49271)

No reviews yet
Full Name
MOUSE ANTI HUMAN CD10
Gene Names
MME; NEP; SFE; CD10; CALLA
Applications
Western Blot, Immunoprecipitation, Flow Cytometry, Immunohistochemistry
Pricing
product-image-AAA47760_AD15.jpg Application Data (IP western blot analysis was performed on human leukemia cell lines that harbor MLL chromosomal translocations and express MLL chimeric oncoproteins (indicated at tops). IP was performed with the antibodies indicated on the top of the gels, and the precipitates were immunoblotted with the antibodies indicated on the right. Antibody AAA47760 is shown as AF4. Anti-GST antibodies served as negative controls. Positive control: K562 cell lysates.Optimal dilutions/concentrations should be determined by the end user.)

AF4, Monoclonal Antibody (Cat# AAA47760)

No reviews yet
Full Name
Anti-AF4 Monoclonal Antibody
Gene Names
AFF1; AF4; PBM1; MLLT2
Applications
Western Blot
Purity
Purified by Protein G
Pricing

Hsp60, Monoclonal Antibody (Cat# AAA47732)

No reviews yet
Full Name
Anti-Hsp60 Monoclonal Antibody
Applications
Immunoprecipitation, Immunoblot, Flow Cytometry
Pricing
product-image-AAA36473_ICC10.gif ICC (Immunocytochemistry) (Immunostaining analysis in HeLa cells. HeLa cells were fixed with 4% paraformaldehyde and permeabilized with 0.1% Triton X-100 in PBS. The cells were immunostained with anti-HEXIM1 mAb. [Lot No. 2416C2a-1])

HEXIM1, Monoclonal Antibody (Cat# AAA36473)

No reviews yet
Full Name
Mouse monoclonal antibody Anti-Human HEXIM1
Gene Names
HEXIM1; CLP1; EDG1; HIS1; MAQ1
Reactivity
Human
Applications
Western Blot, Immunocytochemistry, Dot Blot
Pricing

Mucin 1, Monoclonal Antibody (Cat# AAA106303)

No reviews yet
Full Name
Mucin 1 antibody
Gene Names
MUC1; EMA; MCD; PEM; PUM; KL-6; MAM6; MCKD; PEMT; CD227; H23AG; MCKD1; MUC-1; ADMCKD; ADMCKD1; CA 15-3; MUC-1/X; MUC1/ZD; MUC-1/SEC
Applications
Western Blot, Immunohistochemistry
Pricing
product-image-AAA106337_IF13.jpg IF (Immunofluorescence) (Immunofluorescent staining of COS7 cells transiently transfected with recombinant ACO2 protein using ACO2 antibody)

ACO2, Monoclonal Antibody (Cat# AAA106337)

No reviews yet
Full Name
ACO2 antibody
Gene Names
ACO2; ICRD; OCA8; ACONM
Applications
Western Blot, Immunofluorescence, Flow Cytometry
Purity
ACO2 antibody was purified by affinity chromatography.
Pricing
product-image-AAA102841_IHC10.png IHC (Immunohistochemistry) (Immunohistochemistry analysis using Mouse Anti-CaV1.2 Calcium channel Monoclonal Antibody, Clone S57-47. Tissue: Brain Tissue. Species: Mouse. Fixation: Formalin. Primary Antibody: Mouse Anti-CaV1.2 Calcium channel Monoclonal Antibody at 1:10000 for 12 hours at 4 degree C. Secondary Antibody: Biotin Goat Anti-Mouse at 1:2000 for 1 hour at RT. Counterstain: Mayer Hematoxylin (purple/blue) nuclear stain at 200 ul for 2 minutes at RT. Magnification: 40x.)

Cav1.2, Monoclonal Antibody (Cat# AAA102841)

No reviews yet
Full Name
CaV1.2 Antibody: HRP
Gene Names
CACNA1C; CACB
Reactivity
Human, Mouse, Rat
Applications
Immunofluorescence, Immunohistochemistry, Immunoprecipitation, Western Blot
Pricing
product-image-AAA102860_IHC8.png IHC (Immunohistochemistry) (Immunohistochemistry analysis using Mouse Anti-Hsp90 Monoclonal Antibody, Clone 4F3.E8. Tissue: backskin. Species: Mouse. Fixation: Bouin's Fixative and paraffin-embedded. Primary Antibody: Mouse Anti-Hsp90 Monoclonal Antibody at 1:100 for 1 hour at RT. Secondary Antibody: FITC Goat Anti-Mouse (green) at 1:50 for 1 hour at RT.)

Hsp90, Monoclonal Antibody (Cat# AAA102860)

No reviews yet
Full Name
Hsp90 (total) Antibody: FITC
Gene Names
HSP90AA1; EL52; HSPN; LAP2; HSP86; HSPC1; HSPCA; Hsp89; Hsp90; LAP-2; HSP89A; HSP90A; HSP90N; HSPCAL1; HSPCAL4
Reactivity
Human, Mouse, Rat, Wheat
Applications
Immunofluorescence, Immunohistochemistry, Immunocytochemistry, Immunoprecipitation, Western Blot
Pricing
product-image-AAA102665_WB13.jpg WB (Western Blot) (K-562 cells were subjected to SDS PAGE followed by western blot with AAA102665 (4EBP1 antibody) at dilution of 1:2000)

4EBP1, Monoclonal Antibody (Cat# AAA102665)

No reviews yet
Full Name
anti- 4EBP1 antibody
Reactivity
Human
Applications
Immunofluorescence, Western Blot
Purity
Purification: Protein A+G purification
Purity: > = 95% as determined by SDS-PAGE
Pricing
product-image-AAA103888_WB13.png WB (Western Blot) (Western Blot analysis of Mouse Whole kidney homogenates showing detection of ~85kDa ENaC alpha protein using Mouse Anti-ENaC alpha Monoclonal Antibody, Clone 2G4. Lane 1: Molecular Weight Ladder (MW). Lane 2: Low-salt diet. Lane 3: Normal-salt diet. Load: 20 ug. Primary Antibody: Mouse Anti-ENaC alpha Monoclonal Antibody at 1:1000. Predicted/Observed Size: ~85kDa.)

ENaC alpha, Monoclonal Antibody (Cat# AAA103888)

No reviews yet
Full Name
ENaC alpha Antibody, Clone 2G4: ATTO 390
Gene Names
Scnn1a; ENaCA
Reactivity
Mouse; Rat
Applications
Immunohistochemistry, Western Blot
Purity
Protein G Purified
Pricing
product-image-AAA104156_ICC11.png ICC (Immunocytochemistry) (Immunocytochemistry/Immunofluorescence analysis using Mouse Anti-Alpha Synuclein Monoclonal Antibody, Clone 4F1. Tissue: Primary hippocampal neurons treated with active Alpha Synuclein Protein Aggregate (SPR-322) at 4 ug/ml to induce fibrils. Species: Rat. Fixation: 4% paraformaldehyde. Primary Antibody: Mouse Anti-Alpha Synuclein Monoclonal Antibody at 1:200 for 24 hours at 4 degree C. Secondary Antibody: Goat Anti-Mouse Alexa Fluor 488 at 1:700 for 1 hour at RT. Counterstain: Guinea Pig Anti-NeuN (red) neuronal marker (Donkey Anti-Guinea Pig Alexa Fluor 647 1:700); DAPI (blue) nuclear stain at 1:6000, 1:3000 for 60 min at RT, 5 min at RT. Magnification: 20X. (A) DAPI (blue) nuclear stain. (B) NeuN neuronal marker (red). (C) Alpha Synuclein Antibody. (D) Composite.)

Alpha Synuclein, Monoclonal Antibody (Cat# AAA104156)

No reviews yet
Full Name
Alpha Synuclein Antibody, Clone 4F1
Gene Names
Snca; NACP; alphaSYN; alpha-Syn
Reactivity
Human; Mouse; Rat
Applications
Immunofluorescence, Immunocytochemistry, Immunohistochemistry, Dot Blot, Western Blot
Purity
Protein G Purified
Pricing
product-image-AAA78241_IHC13.jpg IHC (Immunohiostchemistry) (Immunohistochemical analysis of CDC25A in human tonsil tissue using CDC25A antibody (Clone: ABM4A46) at 5 ug/ml.)

CDC25A, Monoclonal Antibody (Cat# AAA78241)

No reviews yet
Full Name
CDC25A Monoclonal Antibody
Gene Names
CDC25A; CDC25A2
Reactivity
Human
Applications
Immunohistochemistry, Western Blot
Pricing
product-image-AAA107181_IF11.jpg IF (Immunofluorescence) (Immunofluorescent staining of COS7 cells transiently transfected with recombinant NSMCE2 protein using NSMCE2 antibody)

NSMCE2, Monoclonal Antibody (Cat# AAA107181)

No reviews yet
Full Name
NSMCE2 antibody
Gene Names
NSMCE2; NSE2; MMS21; ZMIZ7; C8orf36
Applications
Western Blot, Immunofluorescence, Flow Cytometry
Purity
NSMCE2 antibody was purified by affinity chromatography.
Pricing
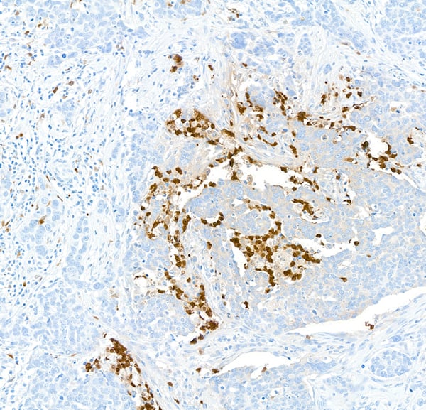
product-image-AAA107193_IHC13.jpg IHC (Immunohiostchemistry) (Immunohistochemical analysis of NT5DC1 protein in paraffin embedded Adenocarcinoma of Human colon tissue using NT5DC1 antibody)

NT5DC1, Monoclonal Antibody (Cat# AAA107193)

No reviews yet
Full Name
NT5DC1 antibody
Gene Names
NT5DC1; LP2642; NT5C2L1; C6orf200
Applications
Western Blot, Immunohistochemistry, Flow Cytometry
Purity
NT5DC1 antibody was purified by affinity chromatography.
Pricing
product-image-AAA106640_WB13.jpg WB (Western Blot) (Western Blot analysis of HEK293T cell lysates (5 ug) transfected with either recombinant MAGEB18 protein (Right) or empty vector (Left) detected with MAGEB18 antibody)

MAGEB18, Monoclonal Antibody (Cat# AAA106640)

No reviews yet
Full Name
MAGEB18 antibody
Applications
Western Blot, Immunohistochemistry
Purity
MAGEB18 antibody was purified by affinity chromatography.
Pricing
product-image-AAA106879_FCM15.jpg FCM/FACS (Flow Cytometry) (Staining of mouse platelets with CD61 antibody (FITC) and 0.125 ug of Rat IgG1K isotype Contol (PE) (left) or 0.06 ug of CD41 antibody (PE) (right). Total viable cells were used for analysis.)

CD41, Monoclonal Antibody (Cat# AAA106879)

No reviews yet
Full Name
CD41 antibody (PE)
Reactivity
Not determined
Applications
Flow Cytometry
Pricing
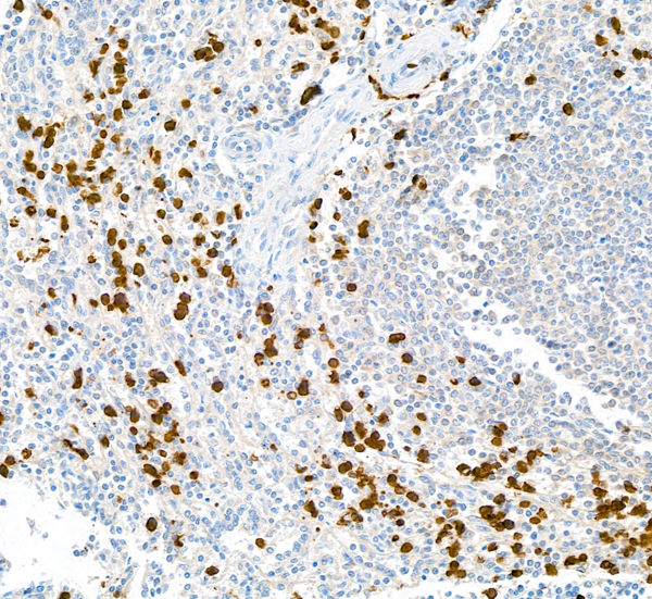
product-image-AAA107129_IHC11.jpg IHC (Immunohistochemisry) (Immunohistochemical analysis of SDS protein in paraffin embedded Carcinoma of Human lung tissue using SDS antibody)

SDS, Monoclonal Antibody (Cat# AAA107129)

No reviews yet
Full Name
SDS antibody
Gene Names
SDS; SDH
Applications
Western Blot, Immunohistochemistry, Flow Cytometry
Purity
SDS antibody was purified by affinity chromatography.
Pricing

Hemoglobin A1c (HbA1c), Monoclonal Antibody (Cat# AAA77314)

No reviews yet
Full Name
Hemoglobin A1c (HbA1c) Antibody
Applications
Chemiluminescence Immunoassay, Lateral Flow
Purity
>95%
Pricing
product-image-AAA162123_WB15.jpg WB (Western Blot) (Western Blot; Sample: Hela cell lysatePrimary Ab: 0.01ug/ml Mouse Anti-Human L1CAM AntibodySecond Ab: 0.2ug/ml HRP-Linked Caprine Anti-Mouse IgG Polyclonal Antibody. Western Blot; Samples: Lane1: Porcine Cerebrum lysate; Lane2: Porcine Cerebellum lysate;Primary Ab: 0.01ug/ml Mouse Anti-Human L1CAM AntibodySecond Ab: 0.2ug/ml HRP-Linked Caprine Anti-Mouse IgG Polyclonal Antibody)

L1-Cell Adhesion Molecule (L1CAM), Monoclonal Antibody (Cat# AAA162123)

No reviews yet
Full Name
Monoclonal Antibody to L1-Cell Adhesion Molecule (L1CAM)
Gene Names
L1CAM; S10; HSAS; MASA; MIC5; SPG1; CAML1; CD171; HSAS1; N-CAML1; NCAM-L1; N-CAM-L1
Reactivity
Human
Applications
Immunoprecipitation, Immunocytochemistry, Immunohistochemistry, Western Blot
Purity
Antigen-specific affinity chromatography followed by Protein A affinity chromatography
Pricing

Glycoprotein C/Gc Broad-Neutralizing, Monoclonal Antibody (Cat# AAA120772)

No reviews yet
Full Name
InVivoMAb Anti-Hantaan virus Glycoprotein C/Gc Broad-Neutralizing Antibody (Iv0260)
Reactivity
Hantaan virus (HTNV), Puumala virus (PUUV), Dobrava-Belgrade virus (DOBV), Seoul virus (SEOV), Andes virus (ANDV), Sin Nombre virus (SNV)
Applications
Neutralization Assay
Purity
>95% as determined by SDS-PAGE.
Protein A/G purified from cell culture supernatant.
Pricing

MPIG6B/G6b, Monoclonal Recombinant Antibody (Cat# AAA120362)

No reviews yet
Full Name
Anti-Human MPIG6B/G6b Antibody (SAA1934)
Gene Names
C6orf25; G6b; NG31
Reactivity
Human
Applications
ELISA
Purity
>95% by SDS-PAGE
Protein A or G purified from cell culture supernatant.
Pricing

COVID 19 Spike RBD Coronavirus, Monoclonal Antibody (Cat# AAA59160)

No reviews yet
Full Name
Anti-SARS-CoV-2 S-RBD / COVID-19, mouse monoclonal antibody (Detection Ab)
Reactivity
SARS-CoV-2
Applications
Lateral Flow
Purity
Purity: >95% by HPLC & SDS-PAGE
Purification: Protein A purified
Pricing

DENV-2 Envelope protein E/EDIII, Monoclonal Antibody (Cat# AAA120307)

No reviews yet
Full Name
InVivoMAb Anti-DENV-2 Envelope protein E/EDIII (Iv0124)
Reactivity
Dengue virus type 2 (DENV-2)
Applications
Neutralization Assay
Purity
>95% by SDS-PAGE. Protein A or G purified from cell culture supernatant.
Pricing
product-image-AAA126856_IF11.jpg IF (Immunofluorescence) (Immunofluorescent analysis of MCF-7 cells, using Akt(pan)1/2/3 Antibody.)

Akt(pan) 1/2/3, Monoclonal Antibody (Cat# AAA126856)

No reviews yet
Full Name
Anti-Akt(pan) 1/2/3 Rabbit Monoclonal Antibody
Gene Names
AKT1; AKT; PKB; RAC; CWS6; PRKBA; PKB-ALPHA; RAC-ALPHA
Reactivity
Human, Mouse, Rat
Applications
Flow Cytometry, Immunoprecipitation, Immunofluorescence, Immunocytochemistry, Immunohistochemistry, Western Blot
Purity
Affinity-chromatography
Pricing
product-image-AAA51772_IHC15.jpg IHC (Immunohistochemistry) (Anti-Amylin antibody IHC of human pancreas, islet of Langerhans. Immunohistochemistry of formalin-fixed, paraffin-embedded tissue after heat-induced antigen retrieval. Antibody concentration 5 ug/ml.)

IAPP / Amylin, Monoclonal Antibody (Cat# AAA51772)

No reviews yet
Full Name
Mouse Monoclonal [clone R10/99] (IgG1) to Human IAPP / Amylin
Gene Names
IAPP; DAP; IAP
Reactivity
Human
Applications
Immunofluorescence, Immunohistochemistry, Immunohistochemistry
Purity
Tissue culture supernatant
Pricing
product-image-AAA49444_AD13.jpg Application Data (Staining of human brain showing labelling of neurons with Mouse anti Human TGFbeta)

TGF BETA, Monoclonal Antibody (Cat# AAA49444)

No reviews yet
Full Name
MOUSE ANTI HUMAN TGF BETA
Gene Names
TGFB1; CED; LAP; DPD1; TGFB; TGFbeta
Applications
Immunoprecipitation, Western Blot, Flow Cytometry, Immunohistochemistry, Immunohistochemistry
Pricing
product-image-AAA52533_WB8.jpg WB (Western Blot) (HEK293T cells were transfected with the pCMV6-ENTRY control (Left lane) or pCMV6-ENTRY PECAM1 (Right lane) cDNA for 48 hrs and lysed. Equivalent amounts of cell lysates (5 ug per lane) were separated by SDS-PAGE and immunoblotted with anti-PECAM1.)

PECAM-1 / CD31, Monoclonal Antibody (Cat# AAA52533)

No reviews yet
Full Name
Mouse Monoclonal [clone 1H6] (IgG1) to Human PECAM-1 / CD31
Gene Names
PECAM1; CD31; PECA1; GPIIA'; PECAM-1; endoCAM; CD31/EndoCAM
Reactivity
Human, Dog
Applications
Flow Cytometry, Western Blot, Immunofluorescence, Immunohistochemistry
Purity
Immunoaffinity purified from tissue culture supernatant
Pricing
product-image-AAA315145_IF11.jpg IF (Immunofluorescence) (Immunofluorescent analysis of Hela cells, using CD9 Antibody .)

CD9, Monoclonal Recombinant Antibody (Cat# AAA315145)

No reviews yet
Full Name
CD9 Rabbit mAb
Gene Names
CD9; MIC3; MRP-1; BTCC-1; DRAP-27; TSPAN29; TSPAN-29
Reactivity
Human, Mouse, Rat
Applications
Flow Cytometry, Immunoprecipitation, Immunofluorescence, Immunocytochemistry, Immunohistochemistry, Western Blot
Purity
Affinity-chromatography
Pricing
product-image-AAA151534_WB11.jpg WB (Western Blot) (Western Blot; Sample: Lane1: Mouse Cerebrum lysate; Lane2: Rat Cerebrum lysate Primary Ab: 2ug/mL Mouse AntiHuman NRGN Antibody Second Ab: 0.2ug/mL HRPLinked Caprine AntiMouse IgG Polyclonal Antibody (Catalog: SAA544Mu19))

Neurogranin (NRGN), Monoclonal Antibody (Cat# AAA151534)

No reviews yet
Full Name
Monoclonal Antibody to Neurogranin (NRGN)
Gene Names
NRGN; RC3; hng
Reactivity
Human, Mouse, Rat, Pig
Applications
Immunoprecipitation, Immunocytochemistry, Immunohistochemistry, Western Blot
Purity
Protein A + Protein G affinity chromatography
Pricing

Helios, Monoclonal Antibody (Cat# AAA128288)

No reviews yet
Full Name
Anti-Helios Purified
Gene Names
IKZF2; ANF1A2; HELIOS; ZNF1A2; ZNFN1A2
Reactivity
Mouse, Human
Applications
Flow Cytometry
Purity
Purified by Protein-A Affinity Chromatography
Pricing
product-image-AAA62386_FCM11.jpg FCM/FACS (Flow Cytometry) (Flow cytometric analysis of 2% paraformaldehyde-fixed Jurkat (Human T cell leukemia cells from peripheral blood) cells labeling CD3E with M25095 at 1/200 dilution (red) compared with a mouse monoclonal IgG isotype control (black) and an unlabelled control (cells without incubation with primary antibody, blue). Goat anti-mouse IgG (FITC) at 1/300 dilution was used as the secondary antibody.)

CD3E, Monoclonal Antibody (Cat# AAA62386)

No reviews yet
Full Name
CD3E (754) Mouse mAb
Gene Names
CD3E; T3E; TCRE; IMD18
Reactivity
Human
Applications
Flow Cytometry, Immunoprecipitation, Western Blot
Pricing
product-image-AAA74844_IHC13.jpg IHC (Immunohiostchemistry) (Immunohistochemical analysis of ANXA10 protein in paraffin embedded Human liver tissue using ANXA10 antibody)

ANXA10, Monoclonal Antibody (Cat# AAA74844)

No reviews yet
Full Name
ANXA10 antibody
Gene Names
ANXA10; ANX14
Applications
Western Blot, Immunohistochemistry, Immunofluorescence
Purity
ANXA10 antibody was purified by affinity chromatography.
Pricing

IL-1 beta, Monoclonal Antibody (Cat# AAA37945)

No reviews yet
Full Name
Mouse Anti Human IL-1 beta
Gene Names
Il1b; Il-1b; IL-1beta
Applications
Immunohistochemistry, Immunoprecipitation, Western Blot
Purity
Ion Exchange.
Pricing
product-image-AAA36334_ICC11.gif ICC (Immunocytochemistry) (Immunostaining analysis in HeLa cells. HeLa cells were fixed with 4% paraformaldehyde and permeabilized with 0.1% Triton X-100 in PBS. The cells were immunostained with anti-BRF1 mAb. [Lot No. BRF1G2A8-2])

BRF1, Monoclonal Antibody (Cat# AAA36334)

No reviews yet
Full Name
Mouse monoclonal antibody Anti-Human BRF1
Gene Names
BRF1; BRF; CFDS; hBRF; BRF-1; GTF3B; TAF3C; TAF3B2; TF3B90; TAFIII90; TFIIIB90; HEL-S-76p
Reactivity
Human
Applications
Immunocytochemistry, Dot Blot
Pricing
product-image-AAA36405_QC13.gif Quality Control #2 (Arrow indicates the region of immunized recombinant protein carrying 50-200 amino acids.)

CSRP2BP, Monoclonal Antibody (Cat# AAA36405)

No reviews yet
Full Name
Mouse monoclonal antibody Anti-Human CSRP2BP
Gene Names
CSRP2BP; ATAC2; KAT14; CRP2BP; PRO1194; dJ717M23.1
Reactivity
Human
Applications
Dot Blot
Pricing
product-image-AAA36464_QC13.gif Quality Control #2 (Arrow indicates the region of immunized recombinant protein carrying 50-200 amino acids.)

HIVEP1, Monoclonal Antibody (Cat# AAA36464)

No reviews yet
Full Name
Mouse monoclonal antibody Anti-Human HIVEP1
Gene Names
HIVEP1; GAAP; ZAS1; CIRIP; MBP-1; ZNF40; CRYBP1; ZNF40A; PRDII-BF1; Schnurri-1
Reactivity
Human
Applications
Dot Blot
Pricing
product-image-AAA36513_ICC11.gif ICC (Immunocytochemistry) (Immunostaining analysis in HeLa cells. HeLa cells were fixed with 4% paraformaldehyde and permeabilized with 0.1% Triton X-100 in PBS. The cells were immunostained with anti-TUPLE1 mAb. [Lot No.374C6a-1])

TUPLE1, Monoclonal Antibody (Cat# AAA36513)

No reviews yet
Full Name
Mouse monoclonal antibody Anti-Human TUPLE1
Gene Names
HIRA; TUP1; DGCR1; TUPLE1
Reactivity
Human
Applications
Immunocytochemistry, Dot Blot
Pricing
product-image-AAA120382_FCM13.jpg FCM/FACS (Flow Cytometry) (Flow-cytometry using anti-human IL11RA antibody.HeLa cells were stained with an irrelevant antibody (Blue Histogram) or an anti-human IL11RA antibody monoclonal antibody (Catalog # RHG84901 ,Green Histogram) at a concentration of 5 ?ug/ml for 30 mins at RT. After washing, bound antibody was detected using a FITC conjugated goat anti-human antibody (Catalog # PHB96441) and cells analysed on a NovoCyte Flow Cytometer.)

IL11RA, Monoclonal Recombinant Antibody (Cat# AAA120382)

No reviews yet
Full Name
Anti-Human IL11RA Antibody (SAA2023)
Gene Names
IL11RA; CRSDA
Reactivity
Human
Applications
Flow Cytometry, Western Blot
Purity
>95% by SDS-PAGE
Protein A or G purified from cell culture supernatant.
Pricing
product-image-AAA59316_IHC13.jpg IHC (Immunohiostchemistry) (IHC PRAME on a Testis Tissue)

PRAME, Monoclonal Antibody (Cat# AAA59316)

No reviews yet
Full Name
PRAME, Rmab
Applications
Immunohistochemistry
Pricing
product-image-AAA58852_IHC13.jpg IHC (Immunohiostchemistry)

Epithelial cell adhesion molecule, EP-CAM, Monoclonal Antibody (Cat# AAA58852)

No reviews yet
Full Name
Monoclonal Anti- Epithelial cell adhesion molecule, EP-CAM
Gene Names
EPCAM; ESA; KSA; M4S1; MK-1; DIAR5; EGP-2; EGP40; KS1/4; MIC18; TROP1; EGP314; HNPCC8; TACSTD1
Reactivity
Human, mouse
Applications
Flow Cytometry, Immunocytochemistry, Immunohistochemistry, Western Blot
Purity
Protein affinity purified
Pricing
product-image-AAA62638_IHC13.jpg IHC (Immunohiostchemistry) (Formalin-fixed, paraffin-embedded human Colon Carcinoma stained with Cytokeratin 8 Monoclonal Antibody (K8/383).)

Cytokeratin 8 (KRT8), Monoclonal Antibody (Cat# AAA62638)

No reviews yet
Full Name
Cytokeratin 8 (KRT8) Mouse Monoclonal Antibody
Gene Names
KRT8; K8; KO; CK8; CK-8; CYK8; K2C8; CARD2
Reactivity
Human
Applications
Immunohistochemistry, Immunofluorescence, Flow Cytometry
Pricing
product-image-AAA62658_WB13.jpg WB (Western Blot) (Western Blot of human Intestinal Lysate using Lambda Light Chain Ab (SPM559).)

Lambda Light Chain, Monoclonal Antibody (Cat# AAA62658)

No reviews yet
Full Name
Lambda Light Chain (B-Cell Marker) Mouse Monoclonal Antibody
Reactivity
Human
Applications
Immunohistochemistry, Western Blot, Immunofluorescence, Flow Cytometry
Pricing
product-image-AAA62815_FCM13.jpg FCM/FACS (Flow Cytometry) (Flow Cytometric Analysis of PFA-fixed Raji cells. HLA-DP Mouse Monoclonal Antibody (BRA-FB6) followed by Goat anti-Mouse IgG-CF488 (Blue); Isotype Control (Red).)

HLA-DP, Monoclonal Antibody (Cat# AAA62815)

No reviews yet
Full Name
HLA-DP (MHC II) Mouse Monoclonal Antibody
Gene Names
HLA-DPB1; DPB1; HLA-DP; HLA-DPB; HLA-DP1B
Reactivity
Human
Applications
Immunohistochemistry, Immunofluorescence, Flow Cytometry
Pricing
product-image-AAA62536_SDS_PAGE8.jpg SDS-PAGE (SDS-PAGE Analysis Purified CD86 Mouse Monoclonal Antibody (BU63) Confirmation of Integrity and Purity of Antibody.)

CD86, Monoclonal Antibody (Cat# AAA62536)

No reviews yet
Full Name
CD86 (Dendritic Cells Maturation Marker) Mouse Monoclonal Antibody
Gene Names
CD86; B70; B7-2; B7.2; LAB72; CD28LG2
Reactivity
Human, Mouse, Rat
Applications
Immunohistochemistry, Immunoprecipitation, Western Blot, Immunofluorescence, Flow Cytometry, Functional Assay
Pricing
product-image-AAA62559_IHC13.jpg IHC (Immunohiostchemistry) (Formalin-fixed, paraffin-embedded human Small Cell Lung Carcinoma stained with Chromogranin A Monoclonal Antibody (LK2H10))

Chromogranin A / CHGA, Monoclonal Antibody (Cat# AAA62559)

No reviews yet
Full Name
Chromogranin A / CHGA (Neuroendocrine Marker) Mouse Monoclonal Antibody
Gene Names
CHGA; CGA
Reactivity
Human, Monkey, Pig, Mouse, Rat.
Does not react with Guinea Pig, Sheep and Rabbit
Applications
Immunohistochemistry, Immunofluorescence, Flow Cytometry
Pricing
product-image-AAA44891_WB13.jpg WB (Western Blot) (Figure 2. Western blot analysis of Tyrosine Hydroxylase using anti- Tyrosine Hydroxylase antibody (AAA44891).Electrophoresis was performed on a 5-20% SDS-PAGE gel at 70V (Stacking gel) / 90V (Resolving gel) for 2-3 hours. The sample well of each lane was loaded with 50ug of sample under reducing conditions.Lane 1: rat brain tissue lysates.After Electrophoresis, proteins were transferred to a Nitrocellulose membrane at 150mA for 50-90 minutes. Blocked the membrane with 5% Non-fat Milk/ TBS for 1.5 hour at RT. The membrane was incubated with rabbit anti- Tyrosine Hydroxylase antigen affinity purified polyclonal antibody at 0.5ug/mL overnight at 4 degree C, then washed with TBS-0.1%Tween 3 times with 5 minutes each and probed with a goat anti-rabbit IgG-HRP secondary antibody at a dilution of 1:10000 for 1.5 hour at RT. The signal is developed using an Enhanced Chemiluminescent detection (ECL) kit with Tanon 5200 system. A specific band was detected for Tyrosine Hydroxylase at approximately 59KD. The expected band size for Tyrosine Hydroxylase is at 59KD.)

Tyrosine Hydroxylase, Monoclonal Antibody (Cat# AAA44891)

No reviews yet
Full Name
Anti-Tyrosine Hydroxylase antibody (monoclonal)
Gene Names
TH; TYH; DYT14; DYT5b
Reactivity
Human, Rat, Rabbit
Applications
Immunohistochemistry, Immunohistochemistry, Western Blot
Purity
Ascites
Pricing

What are Monoclonal Antibodies?


Monoclonal antibodies are specialized laboratory-produced proteins developed for binding to specific biological antigens or other molecular targets. Since they come from a single cell (or clone), they are especially consistent and accurate in the data they are involved in producing.


This type of antibody material has been shown to be a powerful tool in finding and subsequently destroying harmful cells in an organism, such as those found in cancers or various autoimmune diseases. This makes them excellent aids in medical testing and research, which is why they are so widely used.


AAA Biotech offers a comprehensive range of high-quality monoclonal antibodies that perform effectively in various laboratory tests, including (amongst others) ELISA, western blotting, immunohistochemistry, and flow cytometry. All of the products in our catalog are thoroughly quality tested to make sure that they are reliable and will consistently perform well in your research.


What Are The Uses of Monoclonal Antibodies


Monoclonal antibodies are used in many lab tests, including (amongst others) ELISA, western blotting, immunohistochemistry, and flow cytometry.


ELISA is a test that helps detect a specific substance/analyte in a sample. It uses antibodies (often monoclonal) bound to a solid surface (such as the well of a microplate) to “capture” the substance/analyte in the sample and immobilize it so that the detection antibody component can then bind to it and produce a signal, which can then be measured.


Western blotting identifies specific proteins in a sample. The sample is first separated on a gel, and then antibodies are applied that will typically bind to the target, which will all be localized to a single band in a lane.


Immunohistochemistry helps locate specific proteins in cells or tissue samples using antibodies.


Flow cytometry looks at and sorts cells. It uses antibodies that are conjugated to reporter molecules called “fluorophores”, which, under special lights, emit light themselves, which can then be measured by a detector instrument.


How Monoclonal Antibodies Are Used as Medicine?


Please note that all of the products listed in AAA Biotech’s also known as AAA Bio or AAABio catalog are strictly for research-use only (RUO).


Monoclonal antibodies can also be used as therapeutic/medical treatments, particularly in the context of cancers. They are designed to find and bind to specific cells or proteins, helping the immune system recognize and attack the cancer. These treatments work in different ways, such as:


  • Radioimmunotherapy attaches a small amount of radioactive molecule to the antibody, so it delivers the radiation directly to the cancer cells that the antibody is specifically binding to.

  • Antibody-directed enzyme prodrug therapy uses antibodies that are specifically bound to special enzymes. These enzymes activate a harmless drug in the body and turn it into a cancer-killing drug only near the cancer cells—this helps avoid harming healthy cells.

  • Immunoliposomes are tiny “bubbles” filled with medicine/drug and coated with antibodies. They carry the drug straight to the cancer cells.


Why Buy Monoclonal Antibodies From Us?


At AAA Biotech, we provide high-performance monoclonal antibodies designed to support a wide range of research needs.


1. Validated for Versatile Applications


The antibodies in our catalog are extensively validated and compatible with multiple techniques, including (but not limited to) ELISA, flow cytometry (FC), immunocytochemistry (ICC), immunofluorescence (IF), immunohistochemistry (IHC), immunoprecipitation (IP), and western blotting (WB).


2. Wide Selection & Specialized Options


We offer antibodies for common and rare species, that are available in various conjugated forms, and also in recombinant formats. Essentially, there is almost anything one might need to meet their experimental model’s requirements.


3. High-Quality Proteins


Our proteins meet high purity standards—90% or more as confirmed by SDS-PAGE. Many are available with tags like His, Flag, GST, or MBP, and we also supply native and biologically active proteins for functional studies.


Frequently Asked Questions


1. Are your monoclonal antibodies validated for specific applications?


Yes, our antibodies are tested and validated for use in methods such as ELISA, western blot, IHC, flow cytometry, and more. Refer to specific product pages or datasheets for individual product information.


2. How do I choose the right monoclonal antibody for my application?


Review the product details directly for application validation, species reactivity, and target information. You may also contact our support team at any time for help.


3. How quickly can I receive my order?


Most orders are processed and shipped within 1–3 business days, depending on product availability and your shipping location.


Submit a Question

Please complete the form below and a representative will contact you as soon as possible.

Request more Information

Please complete the form below and a representative will contact you as soon as possible.

Request a Manual

Please complete the form below and a representative will contact you as soon as possible.

Request a Quote

Please complete the form below and a representative will contact you as soon as possible.