Loading...

Skip to main content
Call us at +1-800-604-9114 for more information about our products or contact us online Need help? +1-800-604-9114 or contact us

Filters


Clonality

Type

Reactivity

Gene Name

Isotype

Host

Application

Clone

Monoclonal Antibodies

Get accurate results in your research with our Monoclonal Antibodies, which are specially made to target exactly what you require for your research, and will produce consistent, reliable performance in lab tests.


Viewing 7450-7500 of 27647 product results


product-image-AAA78619_FCM15.jpg FCM/FACS (Flow Cytometry)

ZAP-70 (TCR zeta), Monoclonal Antibody (Cat# AAA78619)

No reviews yet
Full Name
Mouse Anti-Human ZAP-70-BIOT
Gene Names
Zap70; Srk; TZK; mur; 70kDa; mrtle; ZAP-70; AI327364
Reactivity
Human
Applications
Flow Cytometry
Pricing
product-image-AAA78178_AD15.jpg Application Data

CD81, Monoclonal Antibody (Cat# AAA78178)

No reviews yet
Full Name
anti-human CD81-Biotin
Gene Names
CD81; S5.7; CVID6; TAPA1; TSPAN28
Reactivity
Human
Applications
Western Blot, Flow Cytometry
Pricing
product-image-AAA77489_AD13.jpg Application Data (Figure 2: Immunohistochemistry on frozen section of swine brain)

Reticulon-1A / NSP-A, Monoclonal Antibody (Cat# AAA77489)

No reviews yet
Full Name
Mouse anti Reticulon-1A / NSP-A
Reactivity
Hamster, Human, Mouse, Rat
Applications
Western Blot, Immunohistochemistry, Immunohistochemistry, Immunocytochemistry
Pricing
product-image-AAA48224_IF13.jpg IF (Immunofluorescence) (ICC/IF analysis of SHMT1 in Hep3B cells line, stained with DAPI (Blue) for nucleus staining and monoclonal anti-human SHMT1 antibody (1:100) with goat anti-mouse IgG-Alexa fluor 488 conjugate (Green).)

SHMT1, Monoclonal Antibody (Cat# AAA48224)

No reviews yet
Full Name
SHMT1 antibody
Gene Names
SHMT1; SHMT; CSHMT
Reactivity
Human
Applications
Immunofluorescence, Immunocytochemistry, Flow Cytometry, Western Blot
Purity
By protein-A affinity chromatography
Pricing
product-image-AAA48246_IF13.jpg IF (Immunofluorescence) (ICC/IF analysis of CDC37 in Balb/3T3 cells line, stained with DAPI (Blue) for nucleus staining and monoclonal anti-human CDC37 antibody (1:100) with goat anti-mouse IgG-Alexa fluor 488 conjugate (Green).)

CDC37, Monoclonal Antibody (Cat# AAA48246)

No reviews yet
Full Name
CDC37 antibody
Gene Names
CDC37; P50CDC37
Reactivity
Human
Applications
Immunofluorescence, Immunocytochemistry, Western Blot
Purity
By protein-A affinity chromatography
Pricing
product-image-AAA106839_WB13.jpg WB (Western Blot) (Western Blot analysis of HEK293T cell lysates (5 ug) transfected with either recombinant SulT1C2 protein (Right) or empty vector (Left) detected with SulT1C2 antibody)

SulT1C2, Monoclonal Antibody (Cat# AAA106839)

No reviews yet
Full Name
SulT1C2 antibody
Gene Names
SULT1C2; ST1C1; ST1C2; SULT1C1; humSULTC2
Applications
Western Blot, Flow Cytometry
Purity
SulT1C2 antibody was purified by affinity chromatography.
Pricing
product-image-AAA107515_WB13.jpg WB (Western Blot) (Western Blot analysis using SERPINB2 antibodyWestern Blot analysis of HEK293T cell lysates (5 ug) transfected with either recombinant SERPINB2 protein (Right) or empty vector (Left) detected with SERPINB2 antibody)

SERPINB2, Monoclonal Antibody (Cat# AAA107515)

No reviews yet
Full Name
SERPINB2 antibody
Gene Names
SERPINB2; PAI; PAI2; PAI-2; PLANH2; HsT1201
Applications
Western Blot, Flow Cytometry
Purity
SERPINB2 antibody was purified by affinity chromatography.
Pricing
product-image-AAA106444_IF11.jpg IF (Immunofluorescence) (Immunofluorescence analysis of Hela cells using SCGB2A2 antibody (green). Blue: DRAQ5 fluorescent DNA dye. Red: Actin filaments have been labeled with Alexa Fluor-555 phalloidin.)

SCGB2A2, Monoclonal Antibody (Cat# AAA106444)

No reviews yet
Full Name
SCGB2A2 antibody
Gene Names
SCGB2A2; MGB1; UGB2
Applications
Western Blot, Immunohistochemistry, Immunofluorescence
Pricing
product-image-AAA106620_IF11.jpg IF (Immunofluorescence) (Immunofluorescent staining of COS7 cells transiently transfected with recombinant SSX5 protein using SSX5 antibody)

SSX5, Monoclonal Antibody (Cat# AAA106620)

No reviews yet
Full Name
SSX5 antibody
Applications
Western Blot, Immunofluorescence, Flow Cytometry
Purity
SSX5 antibody was purified by affinity chromatography.
Pricing
product-image-AAA106718_WB13.jpg WB (Western Blot) (Western Blot analysis of HEK293T cell lysates (5 ug) transfected with either recombinant PDIA4 protein (Right) or empty vector (Left) detected with PDIA4 antibody)

PDIA4, Monoclonal Antibody (Cat# AAA106718)

No reviews yet
Full Name
PDIA4 antibody
Gene Names
PDIA4; ERP70; ERP72; ERp-72
Applications
Western Blot, Immunohistochemistry
Purity
PDIA4 antibody was purified by affinity chromatography.
Pricing
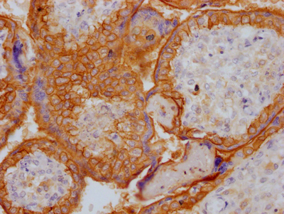
product-image-AAA108291_IHC13.jpg IHC (Immunohiostchemistry) (Immunohistochemical analysis of ALG2 protein in paraffin embedded Human endometrium tissue using ALG2 antibody)

ALG2, Monoclonal Antibody (Cat# AAA108291)

No reviews yet
Full Name
ALG2 antibody
Applications
Western Blot, Immunohistochemistry, Immunofluorescence
Purity
ALG2 antibody was purified by affinity chromatography.
Pricing

PEPSINOGEN I, Monoclonal Antibody (Cat# AAA49202)

No reviews yet
Full Name
MOUSE ANTI HUMAN PEPSINOGEN I
Applications
Radioimmunoassay, Immunohistochemistry
Pricing
product-image-AAA49100_AD10.gif Application Data (Staining of human peripheral blood lymphocytes with Mouse anti Human CD305:RPE)

CD305, Monoclonal Antibody (Cat# AAA49100)

No reviews yet
Full Name
MOUSE ANTI HUMAN CD305:FITC
Gene Names
LAIR1; CD305; LAIR-1
Applications
Flow Cytometry
Pricing
product-image-AAA103920_FCM13.png FCM/FACS (Flow Cytometry) (Flow Cytometry analysis using Mouse Anti-N-terminal Arginylation Monoclonal Antibody, Clone 4A9 . Tissue: Neuroblastoma cells (SH-SY5Y). Species: Human. Fixation: 90% Methanol. Primary Antibody: Mouse Anti-N-terminal Arginylation Monoclonal Antibody at 1:50 for 30 min on ice. Secondary Antibody: Goat Anti-Mouse: PE at 1:100 for 20 min at RT. Isotype Control: Non Specific IgG. Heat stressed cells were subject to heat shock at 42 degree C for 2 hours.)

Arginylation, Monoclonal Antibody (Cat# AAA103920)

No reviews yet
Full Name
N-terminal Arginylation Antibody, Clone 4A9: HRP
Reactivity
Species Independent
Applications
Flow Cytometry, Western Blot
Purity
Protein G Purified
Pricing
product-image-AAA48000_IF11.jpg IF (Immunofluorescence) (ICC/IF analysis of Clusterin in U87MG cells line, stained with DAPI (Blue) for nucleus staining and monoclonal anti-human Clusterin antibody (1:100) with goat anti-mouse IgG-Alexa fluor 488 conjugate (Green).)

Clusterin, Monoclonal Antibody (Cat# AAA48000)

No reviews yet
Full Name
Clusterin antibody
Gene Names
CLU; CLI; AAG4; APOJ; CLU1; CLU2; KUB1; SGP2; APO-J; SGP-2; SP-40; TRPM2; TRPM-2; NA1/NA2
Reactivity
Human
Applications
Immunohistochemistry, Immunofluorescence, Immunocytochemistry, Flow Cytometry, Western Blot
Purity
By protein-G affinity chromatography
Pricing
product-image-AAA103254_IHC10.png IHC (Immunohistochemistry) (Immunohistochemistry analysis using Mouse Anti-Nav1.7 Sodium Channel Monoclonal Antibody, Clone S68-6. Tissue: backskin. Species: Mouse. Fixation: Bouin's Fixative and paraffin-embedded. Primary Antibody: Mouse Anti-Nav1.7 Sodium Channel Monoclonal Antibody at 1:100 for 1 hour at RT. Secondary Antibody: FITC Goat Anti-Mouse (green) at 1:50 for 1 hour at RT.)

Nav1.7, Monoclonal Antibody (Cat# AAA103254)

No reviews yet
Full Name
Nav1.7 Antibody: ATTO 594
Gene Names
SCN9A; PN1; ETHA; NENA; SFNP; FEB3B; NE-NA; GEFSP7; Nav1.7
Reactivity
Human, Mouse, Rat
Applications
Immunofluorescence, Immunocytochemistry, Immunoprecipitation, Western Blot
Pricing
product-image-AAA102713_WB13.jpg WB (Western Blot) (fetal human brain tissue were subjected to SDS PAGE followed by western blot with AAA102713 (BRD8 Antibody) at dilution of 1:1000)

BRD8, Monoclonal Antibody (Cat# AAA102713)

No reviews yet
Full Name
BRD8 Mouse Monoclonal
Reactivity
Human
Applications
Western Blot
Purity
>=95% as determined by SDS-PAGE
Protein A+G purification
Pricing
product-image-AAA49425_AD11.gif Application Data (Staining of human peripheral blood lymphocytes with Mouse anti Human CD35)

CD35, Monoclonal Antibody (Cat# AAA49425)

No reviews yet
Full Name
MOUSE ANTI HUMAN CD35
Gene Names
CR1; KN; C3BR; C4BR; CD35
Applications
Western Blot, Immunohistochemistry, Flow Cytometry, Immunohistochemistry
Pricing
product-image-AAA49427_AD11.jpg Application Data (Immunoperoxidase staining of rat lymph node cryosection with Mouse anti Rat CD11b antibody, clone ED7 followed by horseradish peroxidsase conjugated Goat anti Mouse IgG1 as a detection reagent. High power)

CD11b, Monoclonal Antibody (Cat# AAA49427)

No reviews yet
Full Name
MOUSE ANTI RAT CD11b
Gene Names
ITGAM; CD11B
Applications
Functional Assay, Flow Cytometry, Immunohistochemistry
Pricing
product-image-AAA49512_AD13.gif Application Data (Staining of human peripheral blood granulocytes with Rat anti Human CD59)

CD59, Monoclonal Antibody (Cat# AAA49512)

No reviews yet
Full Name
RAT ANTI HUMAN CD59:RPE
Gene Names
CD59; 1F5; EJ16; EJ30; EL32; G344; MIN1; MIN2; MIN3; MIRL; HRF20; MACIF; MEM43; MIC11; MSK21; 16.3A5; HRF-20; MAC-IP; p18-20
Applications
Flow Cytometry
Pricing
product-image-AAA50241_FCM10.jpg FCM/FACS (Flow Cytometry) (Published customer image:Mouse anti Rabbit CD4 antibody, clone KEN-4 (AAA50241) used for the evaluation of rabbit lymphoblastoid phenotype by flow cytometry.Image caption:Lymphoblastoid cell lines (LCLs) phenotypic analysis.LCLs were propagated from peripheral blood mononuclear cells of rabbits developing MCF after infection with Delta-GE or Delta-GE-rev viruses in Iscove’s modified Dulbecco’s medium (IMDM) containing 10% FCS and supplemented with recombinant human interleukin 2 (Roche, 10 IU/mL). Cells were maintained in medium replaced every 3–4 days and analyzed by flow cytometry for IgM+ B cells, CD8+ T cells and CD4+ T cells after 3 weeks culture (A).)

CD4, Monoclonal Antibody (Cat# AAA50241)

No reviews yet
Full Name
MOUSE ANTI RABBIT CD4
Reactivity
Brown Hare (Lepus europeus)
Applications
Immunoprecipitation, Immunohistochemistry, Flow Cytometry
Pricing
product-image-AAA50221_AD8.gif Application Data (Staining of thrombin activated platelets with Mouse anti Human CD62P)

CD62P, Monoclonal Antibody (Cat# AAA50221)

No reviews yet
Full Name
MOUSE ANTI HUMAN CD62P:Preservative Free
Gene Names
SELP; CD62; GRMP; PSEL; CD62P; GMP140; LECAM3; PADGEM
Applications
Western Blot, Immunohistochemistry, Immunofluorescence, Flow Cytometry, Immunohistochemistry
Pricing

D-Dimer (Fibrin Degradation Product), Monoclonal Antibody (Cat# AAA57866)

No reviews yet
Full Name
MAb to D-dimer
Applications
Western Blot
Purity
>90% pure (SDS-PAGE). Protein A Chromatography
Pricing

SNAI1/Snail, Monoclonal Antibody (Cat# AAA60013)

No reviews yet
Full Name
SNAI1/Snail antibody (mAb)(Clone 9H2)
Gene Names
SNAI1; SNA; SNAH; SNAIL; SLUGH2; SNAIL1; dJ710H13.1
Reactivity
Human
Applications
Western Blot, Immunohistochemistry
Purity
Protein G Chromatography
Pricing
product-image-AAA59824_WB13.jpg WB (Western Blot) (RNA pol II antibody tested by Western blot. RNA pol II detection by Western blot analysis. RNA pol II is detected in HeLa nuclear extracts using RNA pol II mouse monoclonal antibody at a 1:2,000 dilution.)

RNA pol II, Monoclonal Antibody (Cat# AAA59824)

No reviews yet
Full Name
RNA pol II antibody (mAb)(Clone 4H8)
Gene Names
POLR2A; RPB1; RPO2; POLR2; POLRA; RPBh1; RPOL2; RpIILS; hsRPB1; hRPB220
Reactivity
Budding Yeast, C. elegans, Human, Mouse, Rat
Applications
Western Blot, Immunofluorescence, Immunocytochemistry, Chromatin immunoprecipitation, Chromatin immunoprecipitation
Purity
Affinity Purified
Pricing
product-image-AAA59574_AD13.jpg Application Data (Lipoprotein Lipase Monoclonal Antibody [5D2]: Biotin)

Lipoprotein Lipase, Monoclonal Antibody (Cat# AAA59574)

No reviews yet
Full Name
Lipoprotein Lipase Monoclonal Antibody [5D2]: Biotin
Gene Names
LPL; LIPD; HDLCQ11
Reactivity
Human, Mouse, Rat, Syrian Hamster, Cat
Applications
Flow Cytometry, Western Blot, Immunofluorescence
Purity
Protein G
Pricing
product-image-AAA309491_IHC11.jpg IHC (Immunohistochemisry) (Immunohistochemical analysis of paraffin-embedded Human Stomach Carcinoma Tissue using GSK3b Mouse mAb diluted at 1:200.)

GSK3beta, Monoclonal Antibody (Cat# AAA309491)

No reviews yet
Full Name
GSK3beta Mouse Monoclonal Antibody(1A6)
Gene Names
GSK3B; GSK3beta
Reactivity
Human, Rat, Mouse
Applications
Immunohistochemistry, Western Blot
Pricing
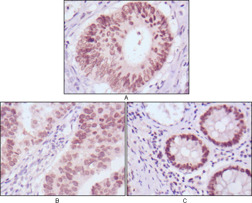
product-image-AAA312656_IHC8.jpg IHC (Immunohistochemistry) (Immunohistochemical analysis of paraffin-embedded mouse colon tissue using anti-Oct-1 antibody. Counter stained with hematoxylin.)

Oct-1, Monoclonal Antibody (Cat# AAA312656)

No reviews yet
Full Name
Oct-1 Antibody
Gene Names
POU2F1; OCT1; OTF1; oct-1B
Reactivity
Human, Mouse, Rat
Applications
Immunohistochemistry, Western Blot
Purity
ProA affinity purified
Pricing
product-image-AAA310242_IHC13.jpg IHC (Immunohiostchemistry) (Immunohistochemical analysis of paraffin-embedded Human Lung Carcinoma Tissue using Acetyl NF kB P65 (K314/K315) Mouse mAb diluted at 1:200.)

Acetyl NF kB P65, Monoclonal Antibody (Cat# AAA310242)

No reviews yet
Full Name
Acetyl NF kB P65 (K314/K315) Mouse Monoclonal Antibody (2A11)
Reactivity
Human, Mouse, Rat
Applications
Immunohistochemistry
Pricing
product-image-AAA312139_IHC8.jpg IHC (Immunohistochemistry) (Immunohistochemical analysis of paraffin-embedded mouse brain tissue using anti-GFAP antibody. Counter stained with hematoxylin.)

GFAP, Monoclonal Antibody (Cat# AAA312139)

No reviews yet
Full Name
GFAP Antibody
Reactivity
Human, Mouse, Rat
Applications
Immunoprecipitation, Immunohistochemistry, Western Blot
Purity
ProA affinity purified
Pricing
product-image-AAA312484_FCM10.jpg FCM/FACS (Flow Cytometry) (Flow cytometric analysis of Hela cells with Vitamin D Receptor antibody at 1/50 dilution (red) compared with an unlabelled control (cells without incubation with primary antibody; black). Alexa Fluor 488-conjugated goat anti rabbit IgG was used as the secondary antibody.)

Vitamin D, Monoclonal Antibody (Cat# AAA312484)

No reviews yet
Full Name
Vitamin D Receptor Antibody
Gene Names
VDR; NR1I1
Reactivity
Human, Mouse, Rat
Applications
Flow Cytometry, Immunohistochemistry, Western Blot
Purity
ProA affinity purified
Pricing
product-image-AAA312427_FCM13.jpg FCM/FACS (Flow Cytometry) (Flow cytometric analysis of Hela cells with PDI antibody at 1/50 dilution (red) compared with an unlabelled control (cells without incubation with primary antibody; black). Alexa Fluor 488-conjugated goat anti rabbit IgG was used as the secondary antibody)

PDI, Monoclonal Antibody (Cat# AAA312427)

No reviews yet
Full Name
PDI Antibody
Gene Names
P4HB; DSI; GIT; PDI; PHDB; PDIA1; PO4DB; PO4HB; PROHB; ERBA2L; P4Hbeta
Reactivity
Human, Mouse, Rat
Applications
Flow Cytometry, Western Blot
Purity
ProA affinity purified
Pricing
product-image-AAA214386_IHC13.jpg IHC (Immunohiostchemistry) (Formalin-fixed, paraffin-embedded Rat Colon stained with FOXA1 Monoclonal Antibody (FOXA1/1518).)

FOXA1/HNF3A, Monoclonal Antibody (Cat# AAA214386)

No reviews yet
Full Name
FOXA1/HNF3A
Gene Names
FOXA1; HNF3A; TCF3A
Reactivity
Human, Rat. Others not known.
Applications
Immunohistochemistry, Immunofluorescence, Flow Cytometry
Pricing
product-image-AAA315386_IHC13.jpg IHC (Immunohiostchemistry) (Immunohistochemical analysis of paraffin-embedded Human breast, using ATF5 Antibody.)

ATF5, Monoclonal Recombinant Antibody (Cat# AAA315386)

No reviews yet
Full Name
ATF5 Rabbit mAb
Gene Names
ATF5; ATFX; HMFN0395
Reactivity
Human, Mouse, Rat
Applications
Immunoprecipitation, Immunofluorescence, Immunocytochemistry, Immunohistochemistry, Western Blot
Purity
Affinity-chromatography
Pricing
product-image-AAA314968_IF11.jpg IF (Immunofluorescence) (Immunofluorescent analysis of NIH/3T3 cells, using beta Tubulin Antibody .)

beta Tubulin, Monoclonal Recombinant Antibody (Cat# AAA314968)

No reviews yet
Full Name
beta Tubulin Rabbit mAb
Gene Names
TUBB; M40; TUBB1; TUBB5; OK/SW-cl.56
Reactivity
Human, Mouse, Rat
Applications
Flow Cytometry, Immunofluorescence, Immunocytochemistry, Immunohistochemistry, Western Blot
Purity
Affinity-chromatography
Pricing
product-image-AAA319983_FCM11.png FCM/FACS (Flow Cytometry) (Flow cytometric analysis of COS7 cells using CBX1 Monoclonal Antibody (green) and negative control (purple).)

CBX1, Monoclonal Antibody (Cat# AAA319983)

No reviews yet
Full Name
CBX1 Monoclonal Antibody
Gene Names
CBX1; CBX; M31; MOD1; p25beta; HP1-BETA; HP1Hsbeta; HP1Hs-beta
Reactivity
Human, Monkey
Applications
Flow Cytometry, Immunocytochemistry, Immunofluorescence, Western Blot
Purity
Affinity purification
Pricing
product-image-AAA147961_WB15.jpg WB (Western Blot) (Western Blot: Sample: Recombinant OSCAR, Human.)

Osteoclast Associated Receptor (OSCAR), Monoclonal Antibody (Cat# AAA147961)

No reviews yet
Full Name
Monoclonal Antibody to Osteoclast Associated Receptor (OSCAR)
Gene Names
OSCAR; PIGR3; PIgR-3
Reactivity
Human
Applications
Immunoprecipitation, Immunocytochemistry, Immunohistochemistry, Western Blot
Purity
Protein A + Protein G affinity chromatography
Pricing
product-image-AAA151519_WB8.jpg WB (Western Blot) (Western Blot Sample: Lane1: Rat Serum; Lane2: Rat Spleen lysate Primary Ab: 1ug/ml Mouse AntiMouse b2M Antibody Second Ab: 0.2ug/mL HRPLinked Caprine AntiMouse IgG Polyclonal Antibody (Catalog: SAA544Mu19))

Beta2Microglobulin (b2M), Monoclonal Antibody (Cat# AAA151519)

No reviews yet
Full Name
Monoclonal Antibody to Beta2Microglobulin (b2M)
Gene Names
B2m; Ly-m11; beta2m; beta2-m
Reactivity
Mouse, Rat
Applications
Immunoprecipitation, Immunocytochemistry, Immunohistochemistry, Western Blot
Purity
Protein A + Protein G affinity chromatography
Pricing
product-image-AAA243688_IHC13.jpg IHC (Immunohiostchemistry) (Immunohistochemical analysis of paraffin-embedded Human Colon Carcinoma Tissue using Acetyl P53(K382) Mouse mAb diluted at 1:2000)

TP53, Monoclonal Antibody (Cat# AAA243688)

No reviews yet
Full Name
Acetyl-TP53 (K382) Monoclonal Antibody
Gene Names
TP53; P53; BCC7; LFS1; TRP53
Reactivity
Human, Mouse, Rat
Applications
Immunohistochemistry
Purity
Affinity-purified from mouse ascites by affinity-chromatography using specific immunogen.
Pricing
product-image-AAA152672_WB11.jpg WB (Western Blot) (Western Blot; Sample: Lane1: human Placenta lysate; Lane2: human Milk Primary Ab: 2 ug/ml Mouse Anti-human C1QTNF1 Antibody Second Ab: 0.2ug/mL HRP-Linked Caprine Anti-Mouse IgG Polyclonal Antibody)

C1q And Tumor Necrosis Factor Related Protein 1 (C1QTNF1), Monoclonal Antibody (Cat# AAA152672)

No reviews yet
Full Name
Monoclonal Antibody to C1q And Tumor Necrosis Factor Related Protein 1 (C1QTNF1)
Gene Names
C1QTNF1; GIP; CTRP1; ZSIG37
Reactivity
Human, Pig
Applications
Immunoprecipitation, Immunocytochemistry, Immunohistochemistry, Western Blot
Purity
Affinity Chromatography
Pricing
product-image-AAA128507_FCM13.jpg FCM/FACS (Flow Cytometry) (Flow cytometry surface staining pattern of human peripheral whole blood stained using anti-human CD62L (DREG56) FITC antibody (20 ul reagent / 100 ul of peripheral whole blood).)

CD62L, Monoclonal Antibody (Cat# AAA128507)

No reviews yet
Full Name
Anti-Hu CD62L FITC
Gene Names
SELL; TQ1; LAM1; LEU8; LNHR; LSEL; CD62L; LYAM1; PLNHR; LECAM1
Reactivity
Human
Applications
Flow Cytometry
Purity
The purified antibody is conjugated with fluorescein isothiocyanate (FITC) under optimum conditions. The conjugate is purified by size-exclusion chromatography.
Pricing

CD83, Monoclonal Antibody (Cat# AAA128571)

No reviews yet
Full Name
Anti-Hu CD83 PE-Cyanine5
Gene Names
CD83; BL11; HB15
Reactivity
Human, Non-human primates
Applications
Flow Cytometry
Purity
The purified antibody is conjugated with tandem dye PE-Cyanine5 under optimum conditions. The conjugate is purified by size-exclusion chromatography.
Pricing

CD3 epsilon, Monoclonal Antibody (Cat# AAA128420)

No reviews yet
Full Name
Anti-CD3 epsilon (activation epitope) FITC
Gene Names
CD3E; T3E; TCRE; IMD18
Reactivity
Mouse, Human
Applications
Flow Cytometry
Purity
The purified antibody is conjugated with fluorescein isothiocyanate (FITC) under optimum conditions. The conjugate is purified by size-exclusion chromatography.
Pricing

CD122, Monoclonal Antibody (Cat# AAA129002)

No reviews yet
Full Name
Anti-Hu CD122 Purified Low Endotoxin
Gene Names
IL2RB; CD122; IMD63; IL15RB; P70-75
Reactivity
Human
Applications
Functional Assay, Immunoprecipitation, Flow Cytometry
Purity
Purified by Protein-A Affinity Chromatography
Pricing
product-image-AAA162124_IF15.jpg WB (Western Blot) (Western Blot; Samples: Lane1: Rat Liver lysate; Lane2: Porcine Liver lysate;Primary Ab: 0.05ug/ml Mouse Anti-Rat Arg AntibodySecond Ab: 0.2ug/ml HRP-Linked Caprine Anti-Mouse IgG Polyclonal Antibody. AF488 staining on IF;Sample: Hepa1-6 cellPrimary Ab: 20ug/ml Mouse Anti-Rat Arg AntibodySecond Ab: 2ug/ml AF488-Linked Caprine Anti-Mouse IgG Polyclonal Antibody)

Arginase (ARG), Monoclonal Antibody (Cat# AAA162124)

No reviews yet
Full Name
Monoclonal Antibody to Arginase (ARG)
Reactivity
Rat, Mouse, Pig
Applications
Immunoprecipitation, Immunocytochemistry, Immunohistochemistry, Western Blot
Purity
Protein A + Protein G affinity chromatography
Pricing
product-image-AAA268880_AD15.jpg Application Data

COVID 19 Nucleocapsid (NP) Coronavirus, Monoclonal Antibody (Cat# AAA268880)

No reviews yet
Full Name
SARS-CoV Nucleoprotein / NP Antibody, Rabbit MAb
Applications
Immunoprecipitation, Immunofluorescence, Immunocytochemistry, Flow Cytometry, Immunohistochemistry, Western Blot
Pricing
product-image-AAA268904_AD15.jpg Application Data (The original concentration was 1mg/ml. We then tested theactivity of the purified NM01 using the strips kindly provided by acompany. We did 10-fold gradient dilution and then add 1uldiluted IgM on the sample pad. The IgM used on each strip were1000ng, 100ng, 10ng, 1ng and 0.1ng, respectively. As showed bythe figure, a weak but obvious band can be observed at 10ng. Astrong band can be observed when using 100 ng NM01.)

COVID 19 N IgM (NM01) Humanized Coronavirus, Monoclonal Antibody (Cat# AAA268904)

No reviews yet
Full Name
Human anti-2019-nCoV N IgM (NM01) Humanized
Purity
>=85% as determined by SDS-PAGE. Anti-hIgM column
Pricing
product-image-AAA120093_SDS_PAGE13.jpg SDS-PAGE (SDS PAGE for Magrolimab)

Magrolimab, Monoclonal Antibody (Cat# AAA120093)

No reviews yet
Full Name
Research Grade Magrolimab
Gene Names
CD47; IAP; OA3; MER6
Reactivity
Human
Purity
>95%; Protein A or G purified from cell culture supernatant.
Pricing

IGFBP3, Monoclonal Antibody (Cat# AAA108032)

No reviews yet
Full Name
IGFBP3 antibody
Gene Names
IGFBP3; IBP3; BP-53
Reactivity
Recognizes natural and recombinant Human IgFBP-3
Applications
Lateral Flow, Radioimmunoassay
Purity
IGFBP3 antibody was purified by urified by Protein A affinity chromatography
Pricing

IgG1-G2-kappa, Monoclonal Isotype Control (Cat# AAA120198)

No reviews yet
Full Name
Human IgG1-G2-kappa Isotype Control Antibody (HyHEL-10)
Applications
Invivo Control
Purity
>95% by SDS-PAGE
Protein A or G purified from cell culture supernatant.
Pricing

What are Monoclonal Antibodies?


Monoclonal antibodies are specialized laboratory-produced proteins developed for binding to specific biological antigens or other molecular targets. Since they come from a single cell (or clone), they are especially consistent and accurate in the data they are involved in producing.


This type of antibody material has been shown to be a powerful tool in finding and subsequently destroying harmful cells in an organism, such as those found in cancers or various autoimmune diseases. This makes them excellent aids in medical testing and research, which is why they are so widely used.


AAA Biotech offers a comprehensive range of high-quality monoclonal antibodies that perform effectively in various laboratory tests, including (amongst others) ELISA, western blotting, immunohistochemistry, and flow cytometry. All of the products in our catalog are thoroughly quality tested to make sure that they are reliable and will consistently perform well in your research.


What Are The Uses of Monoclonal Antibodies


Monoclonal antibodies are used in many lab tests, including (amongst others) ELISA, western blotting, immunohistochemistry, and flow cytometry.


ELISA is a test that helps detect a specific substance/analyte in a sample. It uses antibodies (often monoclonal) bound to a solid surface (such as the well of a microplate) to “capture” the substance/analyte in the sample and immobilize it so that the detection antibody component can then bind to it and produce a signal, which can then be measured.


Western blotting identifies specific proteins in a sample. The sample is first separated on a gel, and then antibodies are applied that will typically bind to the target, which will all be localized to a single band in a lane.


Immunohistochemistry helps locate specific proteins in cells or tissue samples using antibodies.


Flow cytometry looks at and sorts cells. It uses antibodies that are conjugated to reporter molecules called “fluorophores”, which, under special lights, emit light themselves, which can then be measured by a detector instrument.


How Monoclonal Antibodies Are Used as Medicine?


Please note that all of the products listed in AAA Biotech’s also known as AAA Bio or AAABio catalog are strictly for research-use only (RUO).


Monoclonal antibodies can also be used as therapeutic/medical treatments, particularly in the context of cancers. They are designed to find and bind to specific cells or proteins, helping the immune system recognize and attack the cancer. These treatments work in different ways, such as:


  • Radioimmunotherapy attaches a small amount of radioactive molecule to the antibody, so it delivers the radiation directly to the cancer cells that the antibody is specifically binding to.

  • Antibody-directed enzyme prodrug therapy uses antibodies that are specifically bound to special enzymes. These enzymes activate a harmless drug in the body and turn it into a cancer-killing drug only near the cancer cells—this helps avoid harming healthy cells.

  • Immunoliposomes are tiny “bubbles” filled with medicine/drug and coated with antibodies. They carry the drug straight to the cancer cells.


Why Buy Monoclonal Antibodies From Us?


At AAA Biotech, we provide high-performance monoclonal antibodies designed to support a wide range of research needs.


1. Validated for Versatile Applications


The antibodies in our catalog are extensively validated and compatible with multiple techniques, including (but not limited to) ELISA, flow cytometry (FC), immunocytochemistry (ICC), immunofluorescence (IF), immunohistochemistry (IHC), immunoprecipitation (IP), and western blotting (WB).


2. Wide Selection & Specialized Options


We offer antibodies for common and rare species, that are available in various conjugated forms, and also in recombinant formats. Essentially, there is almost anything one might need to meet their experimental model’s requirements.


3. High-Quality Proteins


Our proteins meet high purity standards—90% or more as confirmed by SDS-PAGE. Many are available with tags like His, Flag, GST, or MBP, and we also supply native and biologically active proteins for functional studies.


Frequently Asked Questions


1. Are your monoclonal antibodies validated for specific applications?


Yes, our antibodies are tested and validated for use in methods such as ELISA, western blot, IHC, flow cytometry, and more. Refer to specific product pages or datasheets for individual product information.


2. How do I choose the right monoclonal antibody for my application?


Review the product details directly for application validation, species reactivity, and target information. You may also contact our support team at any time for help.


3. How quickly can I receive my order?


Most orders are processed and shipped within 1–3 business days, depending on product availability and your shipping location.


Submit a Question

Please complete the form below and a representative will contact you as soon as possible.

Request more Information

Please complete the form below and a representative will contact you as soon as possible.

Request a Manual

Please complete the form below and a representative will contact you as soon as possible.

Request a Quote

Please complete the form below and a representative will contact you as soon as possible.