Rabbit anti-Human Estrogen Receptor, alpha Monoclonal Antibody | anti-ESR1 antibody
Estrogen Receptor, alpha (Marker of Estrogen Dependence) Recombinant Rabbit Monoclonal Antibody [Clone ESR1/6811R]
Gene Names
ESR1; ER; ESR; Era; ESRA; NR3A1
Reactivity
Human
Applications
Immunohistochemistry
Synonyms
Estrogen Receptor, alpha, Antibody; Estrogen Receptor, alpha (Marker of Estrogen Dependence) Recombinant Rabbit Monoclonal Antibody [Clone ESR1/6811R]; Estrogen Receptor, alpha (Marker of Estrogen Dependence); Estrogen Receptor alpha delta 4*5,6,7*/654 isoform; Estrogen Receptor alpha delta 4 +49 isoform; Nuclear receptor subfamily 3 group A member 1; anti-ESR1 antibody
Host
Rabbit
Reactivity
Human
Clonality
Monoclonal
Isotype
Rabbit/IgG, kappa
Clone Number
ESR1/6811R
Form/Format
200ug/ml of Ab purified by Protein A/G. Prepared in 10mM PBS with 0. 05% BSA & 0. 05% azide. Also available WITHOUT BSA & azide at 1.0mg/ml.
Concentration
Purified Ab with BSA and Azide at 200ug/ml
OR
Purified Ab WITHOUT BSA and Azide at 1.0mg/ml (varies by lot)
OR
Purified Ab WITHOUT BSA and Azide at 1.0mg/ml (varies by lot)
Applicable Applications for anti-ESR1 antibody
IHC (Immunohistochemistry)
Antibody Type
Recombinant Antibody
Immunogen
Recombinant fragment corresponding to C-terminus of human ER-α
Cellular Localization
Nuclear
Positive Control
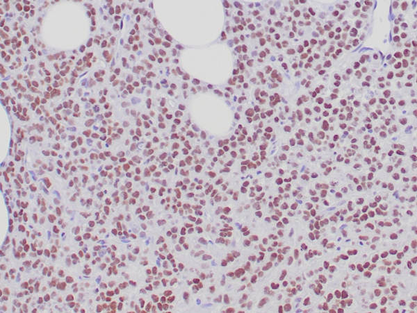
Human breast or endometrial carcinoma.
Hu-chromosome Location
6q25.1
Unigene
208124
Preparation and Storage
Antibody with azide: store at 2 to 8 degree C
Antibody without azide: store at -20 to -80 degree C
Antibody is stable for 24 months. Non-hazardous. No MSDS required.
Antibody without azide: store at -20 to -80 degree C
Antibody is stable for 24 months. Non-hazardous. No MSDS required.
Related Product Information for anti-ESR1 antibody
Recognizes a protein of 67kDa, which is identified as estrogen receptor (ER) alpha. The ER gene consists of more than 140kb of genomic DNA divided into 8 exons, being translated into a protein with six functionally discrete domains, labeled A through F. This antibody strongly stains the nucleus of epithelial cells in breast carcinomas. The ER is an important regulator of growth and differentiation in the mammary gland. Presence of ER in breast tumors indicates an increased likelihood of response to antiestrogen (e. g. tamoxifen) therapy.
NCBI and Uniprot Product Information
NCBI GI #
NCBI GeneID
NCBI Accession #
NCBI GenBank Nucleotide #
Molecular Weight
66,216 Da
NCBI Official Full Name
estrogen receptor
NCBI Official Synonym Full Names
estrogen receptor 1
NCBI Official Symbol
ESR1
NCBI Official Synonym Symbols
ER; ESR; Era; ESRA; NR3A1
NCBI Protein Information
estrogen receptor; ER-alpha; estradiol receptor; estrogen nuclear receptor alpha; estrogen receptor alpha E1-E2-1-2; estrogen receptor alpha E1-N2-E2-1-2; estrogen receptor alpha delta 4 +49 isoform; nuclear receptor subfamily 3 group A member 1; estrogen
UniProt Protein Name
Estrogen receptor
UniProt Gene Name
ESR1
UniProt Synonym Gene Names
ESR; NR3A1; ER
UniProt Entry Name
ESR1_HUMAN
Customer Reviews
Loading reviews...
Share Your Experience
Similar Products
Product Notes
The ESR1 esr1 (Catalog #AAA215621) is an Antibody produced from Rabbit and is intended for research purposes only. The product is available for immediate purchase. The Estrogen Receptor, alpha (Marker of Estrogen Dependence) Recombinant Rabbit Monoclonal Antibody [Clone ESR1/6811R] reacts with Human and may cross-react with other species as described in the data sheet. AAA Biotech's Estrogen Receptor, alpha can be used in a range of immunoassay formats including, but not limited to, IHC (Immunohistochemistry). Researchers should empirically determine the suitability of the ESR1 esr1 for an application not listed in the data sheet. Researchers commonly develop new applications and it is an integral, important part of the investigative research process. It is sometimes possible for the material contained within the vial of "Estrogen Receptor, alpha, Monoclonal Antibody" to become dispersed throughout the inside of the vial, particularly around the seal of said vial, during shipment and storage. We always suggest centrifuging these vials to consolidate all of the liquid away from the lid and to the bottom of the vial prior to opening. Please be advised that certain products may require dry ice for shipping and that, if this is the case, an additional dry ice fee may also be required.Precautions
All products in the AAA Biotech catalog are strictly for research-use only, and are absolutely not suitable for use in any sort of medical, therapeutic, prophylactic, in-vivo, or diagnostic capacity. By purchasing a product from AAA Biotech, you are explicitly certifying that said products will be properly tested and used in line with industry standard. AAA Biotech and its authorized distribution partners reserve the right to refuse to fulfill any order if we have any indication that a purchaser may be intending to use a product outside of our accepted criteria.Disclaimer
Though we do strive to guarantee the information represented in this datasheet, AAA Biotech cannot be held responsible for any oversights or imprecisions. AAA Biotech reserves the right to adjust any aspect of this datasheet at any time and without notice. It is the responsibility of the customer to inform AAA Biotech of any product performance issues observed or experienced within 30 days of receipt of said product. To see additional details on this or any of our other policies, please see our Terms & Conditions page.Item has been added to Shopping Cart
If you are ready to order, navigate to Shopping Cart and get ready to checkout.
