Mouse anti-Human Prostate Specific Antigen (PSA) Monoclonal Antibody | anti-KLK3 antibody
Prostate Specific Antigen (PSA) Recombinant Mouse Monoclonal Antibody [Clone rKLK3/4753]
Gene Names
KLK3; APS; PSA; hK3; KLK2A1
Reactivity
Human
Applications
Immunohistochemistry
Synonyms
Prostate Specific Antigen (PSA), Antibody; Prostate Specific Antigen (PSA) Recombinant Mouse Monoclonal Antibody [Clone rKLK3/4753]; Antigen, prostate-specific (APS), Gamma-seminoprotein, hK3, Kallikrein related peptidase 3, Kallikrein-3 (KLK3), KLK2A1, P-30 antigen, Semenogelase, Seminin; anti-KLK3 antibody
Host
Mouse
Reactivity
Human
Clonality
Monoclonal
Isotype
Mouse/IgG2a, kappa
Clone Number
rKLK3/4753
Form/Format
200ug/ml of Ab purified from Bioreactor Concentrate by Protein A/G. Prepared in 10mM PBS with 0. 05% BSA & 0. 05% azide. Also available WITHOUT BSA & azide at 1.0mg/ml.
Concentration
Purified Ab with BSA and Azide at 200ug/ml
OR
Purified Ab WITHOUT BSA and Azide at 1.0mg/ml (varies by lot)
OR
Purified Ab WITHOUT BSA and Azide at 1.0mg/ml (varies by lot)
Applicable Applications for anti-KLK3 antibody
IHC (Immunohistochemistry)
Antibody Type
Recombinant Antibody
Immunogen
Recombinant full-length human KLK3 (PSA) protein
Cellular Localization
Cytoplasmic
Positive Control
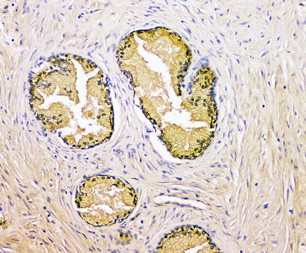
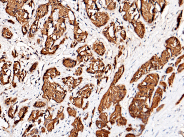
PC12 cells. Normal prostate or prostate carcinoma tissues.
Hu-chromosome Location
19q13.33
Unigene
171995
Preparation and Storage
Antibody with azide: store at 2 to 8 degree C
Antibody without azide: store at -20 to -80 degree C
Antibody is stable for 24 months. Non-hazardous. No MSDS required.
Antibody without azide: store at -20 to -80 degree C
Antibody is stable for 24 months. Non-hazardous. No MSDS required.
Related Product Information for anti-KLK3 antibody
Recognizes a single protein of 33-34kDa, identified as the prostate specific antigen (PSA). This MAb is highly specific to PSA and stains prostatic secretory and ductal epithelium in both normal and neoplastic tissues. PSA is a chymotrypsin-like serine protease (kallikrein family) exclusively produced by the prostate epithelium, and abundant in seminal fluid. PSA can be detected in the sera of patients with prostatic carcinoma. It is predominantly complexed to a liver-derived serine protease inhibitor, alpha-1-antichymotrypsin (ACT). A higher proportion of serum PSA is complexed to ACT in prostate cancer than in benign prostate hyperplasia. This MAb makes an excellent pair with MAb 1A7G6B6 for PSA tests.
NCBI and Uniprot Product Information
NCBI GI #
NCBI GeneID
NCBI Accession #
NCBI GenBank Nucleotide #
Molecular Weight
28,741 Da
NCBI Official Full Name
prostate-specific antigen isoform 3 preproprotein
NCBI Official Synonym Full Names
kallikrein-related peptidase 3
NCBI Official Symbol
KLK3
NCBI Official Synonym Symbols
APS; PSA; hK3; KLK2A1
NCBI Protein Information
prostate-specific antigen; seminin; P-30 antigen; kallikrein-3; semenogelase; gamma-seminoprotein; prostate specific antigen
UniProt Protein Name
Prostate-specific antigen
UniProt Gene Name
KLK3
UniProt Synonym Gene Names
APS; PSA; Seminin
UniProt Entry Name
KLK3_HUMAN
Customer Reviews
Loading reviews...
Share Your Experience
Similar Products
Product Notes
The KLK3 klk3 (Catalog #AAA215733) is an Antibody produced from Mouse and is intended for research purposes only. The product is available for immediate purchase. The Prostate Specific Antigen (PSA) Recombinant Mouse Monoclonal Antibody [Clone rKLK3/4753] reacts with Human and may cross-react with other species as described in the data sheet. AAA Biotech's Prostate Specific Antigen (PSA) can be used in a range of immunoassay formats including, but not limited to, IHC (Immunohistochemistry). Researchers should empirically determine the suitability of the KLK3 klk3 for an application not listed in the data sheet. Researchers commonly develop new applications and it is an integral, important part of the investigative research process. It is sometimes possible for the material contained within the vial of "Prostate Specific Antigen (PSA), Monoclonal Antibody" to become dispersed throughout the inside of the vial, particularly around the seal of said vial, during shipment and storage. We always suggest centrifuging these vials to consolidate all of the liquid away from the lid and to the bottom of the vial prior to opening. Please be advised that certain products may require dry ice for shipping and that, if this is the case, an additional dry ice fee may also be required.Precautions
All products in the AAA Biotech catalog are strictly for research-use only, and are absolutely not suitable for use in any sort of medical, therapeutic, prophylactic, in-vivo, or diagnostic capacity. By purchasing a product from AAA Biotech, you are explicitly certifying that said products will be properly tested and used in line with industry standard. AAA Biotech and its authorized distribution partners reserve the right to refuse to fulfill any order if we have any indication that a purchaser may be intending to use a product outside of our accepted criteria.Disclaimer
Though we do strive to guarantee the information represented in this datasheet, AAA Biotech cannot be held responsible for any oversights or imprecisions. AAA Biotech reserves the right to adjust any aspect of this datasheet at any time and without notice. It is the responsibility of the customer to inform AAA Biotech of any product performance issues observed or experienced within 30 days of receipt of said product. To see additional details on this or any of our other policies, please see our Terms & Conditions page.Item has been added to Shopping Cart
If you are ready to order, navigate to Shopping Cart and get ready to checkout.
