Mouse Activated CDC42 Kinase 1 (TNK2) ELISA Kit | TNK2 elisa kit
Mouse Activated CDC42 Kinase 1 (TNK2) ELISA Kit
Gene Names
Tnk2; Ack; Ack1; Pyk1; Ack-1; Cdgip
Reactivity
Mouse
Synonyms
Activated CDC42 Kinase 1 (TNK2); N/A; Mouse Activated CDC42 Kinase 1 (TNK2) ELISA Kit; TNK2; ACK; ACK1; FLJ44758; FLJ45547; p21cdc42Hs; activated Cdc42-associated kinase 1; activated p21cdc42Hs kinase; TNK2 elisa kit
Reactivity
Mouse
Specificity
Mouse Activated CDC42 kinase 1 (TNK2) ELISA Kit has high sensitivity and excellent specificity for detection of Mouse TNK2. No significant cross-reactivity or interference between Mouse TNK2 and analogues was observed.
Sequence Length
1008
Assay Type
Sandwich ELISA (Quantitative)
Samples
Cell Culture Supernatants, Serum, Plasma, Other Biological Fluids
Detection Method
Colorimetric
Usage Notes
* Do not mix components from different kit lots or use reagents beyond the kit expiration date.
* Allow all reagents to warm to room temperature for at least 30 minutes before opening.
* Pre-rinse the pipet tip with reagent, use fresh pipet tips for each sample, standard and reagent to avoid contamination.
* Unused wells must be kept desiccated at 4 degree C in the sealed bag provided.
* Mix Thoroughly is very important for the result. It is recommended using low frequency oscillator or slight hand shaking every 10 minutes.
* It is recommended that all samples and standards be assayed in duplicate or triplicate.
* Allow all reagents to warm to room temperature for at least 30 minutes before opening.
* Pre-rinse the pipet tip with reagent, use fresh pipet tips for each sample, standard and reagent to avoid contamination.
* Unused wells must be kept desiccated at 4 degree C in the sealed bag provided.
* Mix Thoroughly is very important for the result. It is recommended using low frequency oscillator or slight hand shaking every 10 minutes.
* It is recommended that all samples and standards be assayed in duplicate or triplicate.
Preparation and Storage
Store at 2-8 degree C.
Related Product Information for TNK2 elisa kit
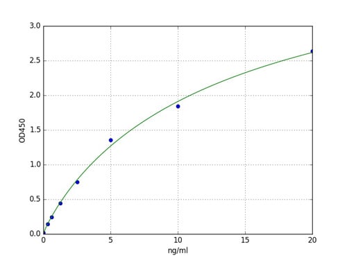
Description: This Mouse Activated CDC42 kinase 1 (TNK2) ELISA Kit employs a two-site sandwich ELISA to quantitate TNK2 in samples. An antibody specific for TNK2 has been pre-coated onto a microplate. Standards and samples are pipetted into the wells and any TNK2 present is bound by the immobilized antibody. After removing any unbound substances, a biotin-conjugated antibody specific for TNK2 is added to the wells. After washing, Streptavidin conjugated Horseradish Peroxidase (HRP) is added to the wells. Following a wash to remove any unbound avidin-enzyme reagent, a substrate solution is added to the wells and color develops in proportion to the amount of TNK2 bound in the initial step. The color development is stopped and the intensity of the color is measured.
Background: Activated CDC42 kinase 1 is a tyrosine kinase that binds Cdc42Hs in its GTP-bound form and inhibits both the intrinsic and GTPase-activating protein (GAP)-stimulated GTPase activity of Cdc42Hs. This binding is mediated by a unique sequence of 47 amino acids C-terminal to an SH3 domain. The protein may be involved in a regulatory mechanism that sustains the GTP-bound active form of Cdc42Hs and which is directly linked to a tyrosine phosphorylation signal transduction pathway. Several alternatively spliced transcript variants have been identified from this gene, but the full-length nature of only two transcript variants has been determined.
Background: Activated CDC42 kinase 1 is a tyrosine kinase that binds Cdc42Hs in its GTP-bound form and inhibits both the intrinsic and GTPase-activating protein (GAP)-stimulated GTPase activity of Cdc42Hs. This binding is mediated by a unique sequence of 47 amino acids C-terminal to an SH3 domain. The protein may be involved in a regulatory mechanism that sustains the GTP-bound active form of Cdc42Hs and which is directly linked to a tyrosine phosphorylation signal transduction pathway. Several alternatively spliced transcript variants have been identified from this gene, but the full-length nature of only two transcript variants has been determined.
NCBI and Uniprot Product Information
NCBI GI #
NCBI GeneID
NCBI Accession #
NCBI GenBank Nucleotide #
UniProt Accession #
NCBI Official Full Name
activated CDC42 kinase 1 isoform 2
NCBI Official Synonym Full Names
tyrosine kinase, non-receptor, 2
NCBI Official Symbol
Tnk2
NCBI Official Synonym Symbols
Ack; Ack1; Pyk1; Ack-1; Cdgip
NCBI Protein Information
activated CDC42 kinase 1
UniProt Protein Name
Activated CDC42 kinase 1
UniProt Gene Name
Tnk2
UniProt Synonym Gene Names
Ack1; ACK-1
Customer Reviews
Loading reviews...
Share Your Experience
Similar Products
Product Notes
The Mouse TNK2 tnk2 (Catalog #AAA332122) is an ELISA Kit and is intended for research purposes only. The product is available for immediate purchase. The AAA332122 ELISA Kit recognizes Mouse TNK2. It is sometimes possible for the material contained within the vial of "Activated CDC42 Kinase 1 (TNK2), ELISA Kit" to become dispersed throughout the inside of the vial, particularly around the seal of said vial, during shipment and storage. We always suggest centrifuging these vials to consolidate all of the liquid away from the lid and to the bottom of the vial prior to opening. Please be advised that certain products may require dry ice for shipping and that, if this is the case, an additional dry ice fee may also be required.Precautions
All products in the AAA Biotech catalog are strictly for research-use only, and are absolutely not suitable for use in any sort of medical, therapeutic, prophylactic, in-vivo, or diagnostic capacity. By purchasing a product from AAA Biotech, you are explicitly certifying that said products will be properly tested and used in line with industry standard. AAA Biotech and its authorized distribution partners reserve the right to refuse to fulfill any order if we have any indication that a purchaser may be intending to use a product outside of our accepted criteria.Disclaimer
Though we do strive to guarantee the information represented in this datasheet, AAA Biotech cannot be held responsible for any oversights or imprecisions. AAA Biotech reserves the right to adjust any aspect of this datasheet at any time and without notice. It is the responsibility of the customer to inform AAA Biotech of any product performance issues observed or experienced within 30 days of receipt of said product. To see additional details on this or any of our other policies, please see our Terms & Conditions page.Item has been added to Shopping Cart
If you are ready to order, navigate to Shopping Cart and get ready to checkout.
