Rabbit TNK2 Polyclonal Antibody | anti-TNK2 antibody
TNK2 Antibody
Phosphate buffered saline, pH 7.4, 150mM NaCl, 0.02% sodium azide and 50% glycerol.
IF (Immunofluorescence)
(AAA326736 staining HepG2 by IF/ICC. The sample were fixed with PFA and permeabilized in 0.1% Triton X-100, then blocked in 10% serum for 45 minutes at 25 degree C. The primary antibody was diluted at 1/200 and incubated with the sample for 1 hour at 37 degree C. An Alexa Fluor 594 conjugated goat anti-rabbit IgG (H+L) Ab, diluted at 1/600, was used as the secondary antibody.)
WB (Western Blot)
(Western blot analysis of K562 whole cell lysates, using TNK2 Antibody. The lane on the left is treated with the antigen-specific peptide.)
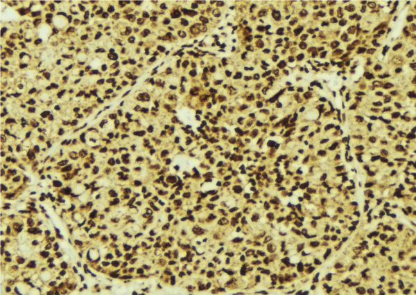
IHC (Immunohistochemistry)
(AAA326736 at 1/100 staining Human breast cancer tissue by IHC-P. The sample was formaldehyde fixed and a heat mediated antigen retrieval step in citrate buffer was performed. The sample was then blocked and incubated with the antibody for 1.5 hours at 22 degree C. An HRP conjugated goat anti-rabbit antibody was used as the secondary.)
Function: Non-receptor tyrosine-protein and serine/threonine-protein kinase that is implicated in cell spreading and migration, cell survival, cell growth and proliferation. Transduces extracellular signals to cytosolic and nuclear effectors. Phosphorylates AKT1, AR, MCF2, WASL and WWOX. Implicated in trafficking and clathrin-mediated endocytosis through binding to epidermal growth factor receptor (EGFR) and clathrin. Binds to both poly-and mono-ubiquitin and regulates ligand-induced degradation of EGFR, thereby contributing to the accumulation of EGFR at the limiting membrane of early endosomes. Downstream effector of CDC42 which mediates CDC42-dependent cell migration via phosphorylation of BCAR1. May be involved both in adult synaptic function and plasticity and in brain development. Activates AKT1 by phosphorylating it on 'Tyr-176'. Phosphorylates AR on 'Tyr-267' and 'Tyr-363' thereby promoting its recruitment to androgen-responsive enhancers (AREs). Phosphorylates WWOX on 'Tyr-287'. Phosphorylates MCF2, thereby enhancing its activity as a guanine nucleotide exchange factor (GEF) toward Rho family proteins. Contributes to the control of AXL receptor levels. Confers metastatic properties on cancer cells and promotes tumor growth by negatively regulating tumor suppressor such as WWOX and positively regulating pro-survival factors such as AKT1 and AR. Phosphorylates WASP (PubMed:20110370).
Subunit Structure: Interacts with NEDD4 (via WW3 domain). NEDD4L and EGF promote association with NEDD4 (By similarity). Homodimer. Interacts with AR, CDC42, WWASL and WWOX. Interacts with CSPG4 (activated). Interacts with MERTK (activated); stimulates autophosphorylation. May interact (phosphorylated) with HSP90AB1; maintains kinase activity. Interacts with NPHP1. Interacts with SNX9 (via SH3 domain). Interacts with SRC (via SH2 and SH3 domain). Interacts with EGFR, and this interaction is dependent on EGF stimulation and kinase activity of EGFR. Interacts (via kinase domain) with AKT1. Part of a collagen stimulated complex involved in cell migration composed of CDC42, CRK, TNK2 and BCAR1/p130cas. Interacts with BCAR1/p130cas via SH3 domains. Forms complexes with GRB2 and numerous receptor tyrosine kinases (RTK) including LTK, AXL or PDGFRL, in which GRB2 promotes RTK recruitment by TNK2.
Post-translational Modifications: Autophosphorylation regulates kinase activity. Phosphorylation on Tyr-518 is required for interaction with SRC and is observed during association with clathrin-coated pits. Polyubiquitinated by NEDD4 and NEDD4L. Degradation can be induced by EGF and is lysosome-dependent (By similarity).
Similarity: The EBD (EGFR-binding domain) domain is necessary for interaction with EGFR.The SAM-like domain is necessary for NEDD4-mediated ubiquitination. Promotes membrane localization and dimerization to allow for autophosphorylation.The UBA domain binds both poly-and mono-ubiquitin. Belongs to the protein kinase superfamily. Tyr protein kinase family.
NCBI and Uniprot Product Information
Predicted: 115 kDa
Customer Reviews
Loading reviews...
Share Your Experience
Similar Products
Product Notes
The TNK2 tnk2 (Catalog #AAA326736) is an Antibody produced from Rabbit and is intended for research purposes only. The product is available for immediate purchase. The TNK2 Antibody reacts with Human, Mouse, Rat and may cross-react with other species as described in the data sheet. AAA Biotech's TNK2 can be used in a range of immunoassay formats including, but not limited to, ELISA, ICC (Immunocytochemistry), IF (Immunofluorescence), IHC (Immunohistochemistry), WB (Western Blot). Researchers should empirically determine the suitability of the TNK2 tnk2 for an application not listed in the data sheet. Researchers commonly develop new applications and it is an integral, important part of the investigative research process. It is sometimes possible for the material contained within the vial of "TNK2, Polyclonal Antibody" to become dispersed throughout the inside of the vial, particularly around the seal of said vial, during shipment and storage. We always suggest centrifuging these vials to consolidate all of the liquid away from the lid and to the bottom of the vial prior to opening. Please be advised that certain products may require dry ice for shipping and that, if this is the case, an additional dry ice fee may also be required.Precautions
All products in the AAA Biotech catalog are strictly for research-use only, and are absolutely not suitable for use in any sort of medical, therapeutic, prophylactic, in-vivo, or diagnostic capacity. By purchasing a product from AAA Biotech, you are explicitly certifying that said products will be properly tested and used in line with industry standard. AAA Biotech and its authorized distribution partners reserve the right to refuse to fulfill any order if we have any indication that a purchaser may be intending to use a product outside of our accepted criteria.Disclaimer
Though we do strive to guarantee the information represented in this datasheet, AAA Biotech cannot be held responsible for any oversights or imprecisions. AAA Biotech reserves the right to adjust any aspect of this datasheet at any time and without notice. It is the responsibility of the customer to inform AAA Biotech of any product performance issues observed or experienced within 30 days of receipt of said product. To see additional details on this or any of our other policies, please see our Terms & Conditions page.Item has been added to Shopping Cart
If you are ready to order, navigate to Shopping Cart and get ready to checkout.
