Loading...

Skip to main content
Call us at +1-800-604-9114 for more information about our products or contact us online Need help? +1-800-604-9114 or contact us

Filters


Clonality

Type

Reactivity

Gene Name

Isotype

Host

Application

Clone

Phospho Antibodies

Phospho-specific antibodies’ typical purpose is to enable researchers to detect changes in proteins. They will exclusively bind to the amino acid sequence on a protein that has been phosphorylated (which is both a physical & chemical change) and do not bind to the same amino acid sequence on said protein if it lacks said phosphorylation. This aids in being able to clearly see and understand the data produced from this particular protein modification.


Viewing 2750-2800 of 5299 product results


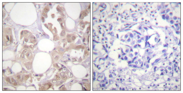
product-image-AAA243113_IHC13.jpg IHC (Immunohiostchemistry) (Immunohistochemical analysis of paraffin-embedded human tonsil tumor tissue using Bcr(Phospho-Tyr177) Antibody(left) or the same antibody preincubated with blocking peptide(right).)

BCR, Polyclonal Antibody (Cat# AAA243113)

Full Name
Phospho-BCR (Tyr177) Antibody
Gene Names
BCR; ALL; CML; PHL; BCR1; D22S11; D22S662
Reactivity
Human, Mouse
Applications
Immunohistochemistry, Western Blot
Purity
Antibodies were produced by immunizing rabbits with synthetic phosphopeptide and KLH conjugates. Antibodies were purified by affinity-chromatography using epitope-specific phosphopeptide. Non-phospho specific antibodies were removed by chromatography usin
Pricing
product-image-AAA243163_WB13.jpg WB (Western Blot) (Western blot analysis of extracts from HT29 cells, treated with PMA or calf intestinal phosphatase (CIP), using Cdc25B (Phospho-Ser149) Antibody.)

Cdc25b, Polyclonal Antibody (Cat# AAA243163)

Full Name
Phospho-Cdc25b (Ser149) Antibody
Gene Names
Cdc25b; AI604853
Reactivity
Mouse, Rat
Applications
Western Blot
Purity
Antibodies were produced by immunizing rabbits with synthetic peptide and KLH conjugates. Antibodies were Purified by affinity-chromatography using epitope-specific peptide.
Pricing
product-image-AAA243198_IF13.jpg IF (Immunofluorescence) (Immunofluorescence staining of methanol-fixed HeLa cells using EPHA2/3/4 (Phospho-Tyr588/596) Antibody.)

EPHA2/EPHA3/EPHA4, Polyclonal Antibody (Cat# AAA243198)

Full Name
Phospho-EPHA2/EPHA3/EPHA4 (Tyr588/596) Antibody
Gene Names
EPHA2; ECK; CTPA; ARCC2; CTPP1; CTRCT6
Reactivity
Human, Mouse
Applications
Immunofluorescence, Western Blot
Purity
Antibodies were produced by immunizing rabbits with synthetic phosphopeptide and KLH conjugates. Antibodies were purified by affinity-chromatography using epitope-specific phosphopeptide. Non-phospho specific antibodies were removed by chromatography usin
Pricing
product-image-AAA243203_IHC13.jpg IHC (Immunohiostchemistry) (Immunohistochemical analysis of paraffin-embedded human breast carcinoma tissue, using c-Jun (Phospho-Ser63) antibody (left)or the same antibody preincubated with blocking peptide (right).)

JUN, Polyclonal Antibody (Cat# AAA243203)

Full Name
Phospho-JUN (Ser63) Antibody
Gene Names
JUN; AP1; AP-1; c-Jun
Reactivity
Human, Mouse, Rat
Applications
Immunohistochemistry, Western Blot
Purity
Antibodies were produced by immunizing rabbits with synthetic phosphopeptide and KLH conjugates. Antibodies were purified by affinity-chromatography using epitope-specific phosphopeptide. Non-phospho specific antibodies were removed by chromatography usin
Pricing
product-image-AAA243208_IHC13.jpg IHC (Immunohiostchemistry) (Immunohistochemical analysis of paraffin-embedded human brain tissue using MER/SKY (Phospho-Tyr749/681) antibody (left)or the same antibody preincubated with blocking peptide (right).)

MERTK/TYRO3, Polyclonal Antibody (Cat# AAA243208)

Full Name
Phospho-MERTK/TYRO3 (Tyr749/681) Antibody
Gene Names
MERTK; MER; RP38; c-mer
Reactivity
Human, Mouse, Rat
Applications
Immunohistochemistry, Western Blot
Purity
Antibodies were produced by immunizing rabbits with synthetic phosphopeptide and KLH conjugates. Antibodies were purified by affinity-chromatography using epitope-specific phosphopeptide. Non-phospho specific antibodies were removed by chromatography usin
Pricing
product-image-AAA316444_WB13.jpg WB (Western Blot) (Western blot analysis of lysates from HT29 cells, using SNAI1 (Phospho-Ser246) Antibody. The lane on the right is blocked with the phospho peptide.)

SNAI1, Polyclonal Antibody (Cat# AAA316444)

Full Name
SNAI1 (Phospho-Ser246) Antibody
Gene Names
SNAI1; SNA; SNAH; SNAIL; SLUGH2; SNAIL1; dJ710H13.1
Reactivity
Human, Mouse
Applications
Immunofluorescence, Western Blot
Purity
Purified from rabbit antiserum by affinity-chromatography using phospho peptide. The antibody against non-phospho peptide was removed by chromatography using corresponding non-phospho peptide.
Pricing
product-image-AAA316463_WB13.jpg WB (Western Blot) (Western blot analysis of lysates from 293 cells treated with Forskolin, using BAD (Phospho-Ser155) Antibody. The lane on the left is blocked with the phospho peptide.)

BAD, Polyclonal Antibody (Cat# AAA316463)

Full Name
BAD (Phospho-Ser155) Antibody
Gene Names
BAD; BBC2; BCL2L8
Reactivity
Human, Mouse, Rat
Applications
Immunohistochemistry, Western Blot
Purity
Purified from rabbit antiserum by affinity-chromatography using phospho peptide. The antibody against non-phospho peptide was removed by chromatography using corresponding non-phospho peptide.
Pricing
product-image-AAA316478_WB13.jpg WB (Western Blot) (Western blot analysis of lysates from 293 cells, using Cortactin (Phospho-Tyr466) Antibody. The lane on the right is blocked with the phospho peptide.)

Cortactin, Polyclonal Antibody (Cat# AAA316478)

Full Name
Cortactin (Phospho-Tyr466) Antibody
Gene Names
Cttn; Ems1; 1110020L01Rik
Reactivity
Mouse, Rat
Applications
Immunohistochemistry, Western Blot
Purity
Purified from rabbit antiserum by affinity-chromatography using phospho peptide. The antibody against non-phospho peptide was removed by chromatography using corresponding non-phospho peptide.
Pricing
product-image-AAA316504_WB13.jpg WB (Western Blot) (Western blot analysis of lysates from NIH/3T3 cells, using HDAC8 (Phospho-Ser39) Antibody. The lane on the right is blocked with the phospho peptide.)

HDAC8, Polyclonal Antibody (Cat# AAA316504)

Full Name
HDAC8 (Phospho-Ser39) Antibody
Gene Names
HDAC8; HD8; WTS; RPD3; CDA07; CDLS5; MRXS6; HDACL1
Reactivity
Human, Mouse, Rat
Applications
Immunohistochemistry, Western Blot
Purity
Purified from rabbit antiserum by affinity-chromatography using phospho peptide. The antibody against non-phospho peptide was removed by chromatography using corresponding non-phospho peptide.
Pricing
product-image-AAA316540_WB13.jpg WB (Western Blot) (Western blot analysis of lysates from HeLa and Jurkat cells, using NF-kappaB p65 (Phospho-Ser529) Antibody. The lane on the right is blocked with the phospho peptide.)

NF-kappaB p65, Polyclonal Antibody (Cat# AAA316540)

Full Name
NF-kappaB p65 (Phospho-Ser529) Antibody
Gene Names
RELA; p65; NFKB3
Reactivity
Human, Mouse
Applications
Immunohistochemistry, Western Blot
Purity
Purified from rabbit antiserum by affinity-chromatography using phospho peptide. The antibody against non-phospho peptide was removed by chromatography using corresponding non-phospho peptide.
Pricing
product-image-AAA316543_WB13.jpg WB (Western Blot) (Western blot analysis of lysates from MDA-MB-435 cells treated with TNF-alpha, using NF-kappaB p100/p52 (Phospho-Ser869) Antibody. The lane on the left is blocked with the phospho peptide.)

NF-kappaB p100/p52, Polyclonal Antibody (Cat# AAA316543)

Full Name
NF-kappaB p100/p52 (Phospho-Ser869) Antibody
Gene Names
NFKB2; p52; p100; H2TF1; LYT10; CVID10; LYT-10; NF-kB2; p49/p100
Reactivity
Human, Mouse, Rat
Applications
Immunoprecipitation, Immunohistochemistry, Western Blot
Purity
Purified from rabbit antiserum by affinity-chromatography using phospho peptide. The antibody against non-phospho peptide was removed by chromatography using corresponding non-phospho peptide.
Pricing
product-image-AAA316571_WB13.jpg WB (Western Blot) (Western blot analysis of lysates from LOVO cells and RAW264.7 cells, using RelB (Phospho-Ser552) Antibody. The lane on the right is blocked with the phospho peptide.)

RelB, Polyclonal Antibody (Cat# AAA316571)

Full Name
RelB (Phospho-Ser552) Antibody
Gene Names
RELB; IREL; I-REL; IMD53; REL-B
Reactivity
Human, Mouse
Applications
Immunohistochemistry, Western Blot
Purity
Purified from rabbit antiserum by affinity-chromatography using phospho peptide. The antibody against non-phospho peptide was removed by chromatography using corresponding non-phospho peptide.
Pricing
product-image-AAA316580_WB13.jpg WB (Western Blot) (Western blot analysis of lysates from HeLa cells, using STAT3 (Phospho-Tyr705) Antibody. The lane on the right is blocked with the phospho peptide.)

STAT3, Polyclonal Antibody (Cat# AAA316580)

Full Name
STAT3 (Phospho-Tyr705) Antibody
Gene Names
STAT3; APRF; HIES; ADMIO; ADMIO1
Reactivity
Human, Mouse, Rat
Applications
Immunoprecipitation, Immunohistochemistry, Western Blot
Purity
Purified from rabbit antiserum by affinity-chromatography using phospho peptide. The antibody against non-phospho peptide was removed by chromatography using corresponding non-phospho peptide.
Pricing
product-image-AAA316085_WB11.jpg WB (Western Blot) (Western blot analysis of lysates from 293 cells treated with Insulin 0.01U/ml 30', using Tyrosine Hydroxylase (Phospho-Ser19) Antibody. The lane on the right is blocked with the phospho peptide.)

Tyrosine Hydroxylase, Polyclonal Antibody (Cat# AAA316085)

Full Name
Tyrosine Hydroxylase (Phospho-Ser19) Antibody
Gene Names
TH; TYH; DYT14; DYT5b
Reactivity
Human, Mouse, Rat
Applications
Immunofluorescence, Immunohistochemistry, Western Blot
Purity
Purified from rabbit antiserum by affinity-chromatography using phospho peptide. The antibody against non-phospho peptide was removed by chromatography using corresponding non-phospho peptide.
Pricing
product-image-AAA316101_WB11.jpg WB (Western Blot) (Western blot analysis of lysates from NIH/3T3 cells treated with Serum 10% 30', using eEF2 (Phospho-Thr56) Antibody. The lane on the right is blocked with the phospho peptide.)

eEF2, Polyclonal Antibody (Cat# AAA316101)

Full Name
eEF2 (Phospho-Thr56) Antibody
Gene Names
EEF2; EF2; EF-2; EEF-2; SCA26
Reactivity
Human, Mouse, Rat
Applications
Immunofluorescence, Immunohistochemistry, Western Blot
Purity
Purified from rabbit antiserum by affinity-chromatography using phospho peptide. The antibody against non-phospho peptide was removed by chromatography using corresponding non-phospho peptide.
Pricing
product-image-AAA316118_WB13.jpg WB (Western Blot) (Western blot analysis of lysates from LOVO cells treated with Serum 10% 15', using SRF (Phospho-Ser99) Antibody. The lane on the right is blocked with the phospho peptide.)

SRF, Polyclonal Antibody (Cat# AAA316118)

Full Name
SRF (Phospho-Ser99) Antibody
Gene Names
SRF; MCM1
Reactivity
Human, Mouse, Rat
Applications
Immunohistochemistry, Western Blot
Purity
Purified from rabbit antiserum by affinity-chromatography using phospho peptide. The antibody against non-phospho peptide was removed by chromatography using corresponding non-phospho peptide.
Pricing
product-image-AAA316237_WB13.jpg WB (Western Blot) (Western blot analysis of lysates from HepG2 cells, using WASP (Phospho-Tyr290) Antibody. The lane on the right is blocked with the phospho peptide.)

WASP, Polyclonal Antibody (Cat# AAA316237)

Full Name
WASP (Phospho-Tyr290) Antibody
Gene Names
WAS; THC; IMD2; SCNX; THC1; WASP; WASPA
Reactivity
Human, Mouse
Applications
Immunohistochemistry, Western Blot
Purity
Purified from rabbit antiserum by affinity-chromatography using phospho peptide. The antibody against non-phospho peptide was removed by chromatography using corresponding non-phospho peptide.
Pricing
product-image-AAA316241_WB11.jpg WB (Western Blot) (Western blot analysis of lysates from HepG2 cells treated with EGF 200ng/ml 30', using ACK1 (Phospho-Tyr284) Antibody. The lane on the right is blocked with the phospho peptide.)

ACK1, Polyclonal Antibody (Cat# AAA316241)

Full Name
ACK1 (Phospho-Tyr284) Antibody
Gene Names
TNK2; ACK; ACK1; ACK-1; p21cdc42Hs
Reactivity
Human, Mouse
Applications
Immunofluorescence, Immunohistochemistry, Western Blot
Purity
Purified from rabbit antiserum by affinity-chromatography using phospho peptide. The antibody against non-phospho peptide was removed by chromatography using corresponding non-phospho peptide.
Pricing
product-image-AAA316270_WB13.jpg WB (Western Blot) (Western blot analysis of lysates from HepG2 cells treated with EGF 200ng/ml 30' and A549 cells treated with PMA 125ng/ml 30', using p130 Cas (Phospho-Tyr249) Antibody. The lane on the right is blocked with the phospho peptide.)

p130 Cas, Polyclonal Antibody (Cat# AAA316270)

Full Name
p130 Cas (Phospho-Tyr249) Antibody
Gene Names
BCAR1; CAS; CAS1; CASS1; CRKAS; P130Cas
Reactivity
Human, Mouse, Rat
Applications
Immunohistochemistry, Western Blot
Purity
Purified from rabbit antiserum by affinity-chromatography using phospho peptide. The antibody against non-phospho peptide was removed by chromatography using corresponding non-phospho peptide.
Pricing
product-image-AAA316271_WB13.jpg WB (Western Blot) (Western blot analysis of lysates from HeLa cells treated with TNF 2500U/ML 30', using p63 (Phospho-Ser455) Antibody. The lane on the right is blocked with the phospho peptide.)

p63, Polyclonal Antibody (Cat# AAA316271)

Full Name
p63 (Phospho-Ser455) Antibody
Gene Names
TP63; AIS; KET; LMS; NBP; RHS; p40; p51; p63; EEC3; OFC8; p73H; p73L; SHFM4; TP53L; TP73L; p53CP; TP53CP; B(p51A); B(p51B)
Reactivity
Human
Applications
Immunohistochemistry, Western Blot
Purity
Purified from rabbit antiserum by affinity-chromatography using phospho peptide. The antibody against non-phospho peptide was removed by chromatography using corresponding non-phospho peptide.
Pricing
product-image-AAA316370_WB11.jpg WB (Western Blot) (Western blot analysis of lysates from HUVEC cells treated with EGF 200ng/ml 30', using HER4 (Phospho-Tyr1284) Antibody. The lane on the right is blocked with the phospho peptide.)

HER4, Polyclonal Antibody (Cat# AAA316370)

Full Name
HER4 (Phospho-Tyr1284) Antibody
Gene Names
ERBB4; HER4; ALS19; p180erbB4
Reactivity
Human, Mouse, Rat
Applications
Immunofluorescence, Immunohistochemistry, Western Blot
Purity
Purified from rabbit antiserum by affinity-chromatography using phospho peptide. The antibody against non-phospho peptide was removed by chromatography using corresponding non-phospho peptide.
Pricing
product-image-AAA316391_WB13.jpg WB (Western Blot) (Western blot analysis of lysates from 293 cells, using Caspase 1 (Phospho-Ser376) Antibody. The lane on the right is blocked with the phospho peptide.)

Caspase 1, Polyclonal Antibody (Cat# AAA316391)

Full Name
Caspase 1 (Phospho-Ser376) Antibody
Gene Names
CASP1; ICE; P45; IL1BC
Reactivity
Human, Mouse, Rat
Applications
Immunohistochemistry, Western Blot
Purity
Purified from rabbit antiserum by affinity-chromatography using phospho peptide. The antibody against non-phospho peptide was removed by chromatography using corresponding non-phospho peptide.
Pricing
product-image-AAA316293_IHC13.jpg IHC (Immunohiostchemistry) (Immunohistochemistry analysis of paraffin-embedded human colon carcinoma, using BCL-2 (Phospho-Thr69) Antibody. The picture on the right is blocked with the phospho peptide.)

BCL-2, Polyclonal Antibody (Cat# AAA316293)

Full Name
BCL-2 (Phospho-Thr69) Antibody
Gene Names
BCL2; Bcl-2; PPP1R50
Reactivity
Human
Applications
Immunofluorescence, Immunohistochemistry
Purity
Purified from rabbit antiserum by affinity-chromatography using phospho peptide. The antibody against non-phospho peptide was removed by chromatography using corresponding non-phospho peptide.
Pricing
product-image-AAA316301_WB13.jpg WB (Western Blot) (Western blot analysis of lysates from Jurkat cells, using p38 MAPK (Phospho-Tyr322) Antibody. The lane on the right is blocked with the phospho peptide.)

p38 MAPK, Polyclonal Antibody (Cat# AAA316301)

Full Name
p38 MAPK (Phospho-Tyr322) Antibody
Gene Names
MAPK14; RK; p38; CSBP; EXIP; Mxi2; CSBP1; CSBP2; CSPB1; PRKM14; PRKM15; SAPK2A; p38ALPHA
Reactivity
Human, Mouse, Rat
Applications
Immunohistochemistry, Western Blot
Purity
Purified from rabbit antiserum by affinity-chromatography using phospho peptide. The antibody against non-phospho peptide was removed by chromatography using corresponding non-phospho peptide.
Pricing
product-image-AAA316333_WB13.jpg WB (Western Blot) (Western blot analysis of lysates from HeLa cells treated with Calyculin A 50nM 30', using CDK7 (Phospho-Thr170) Antibody. The lane on the right is blocked with the phospho peptide.)

CDK7, Polyclonal Antibody (Cat# AAA316333)

Full Name
CDK7 (Phospho-Thr170) Antibody
Gene Names
CDK7; CAK; CAK1; HCAK; MO15; STK1; CDKN7; p39MO15
Reactivity
Human, Mouse
Applications
Immunohistochemistry, Western Blot
Purity
Purified from rabbit antiserum by affinity-chromatography using phospho peptide. The antibody against non-phospho peptide was removed by chromatography using corresponding non-phospho peptide.
Pricing
product-image-AAA316612_WB13.jpg WB (Western Blot) (Western blot analysis of lysates from HepG2 cells treated with Na3VO4 0.3mM 40', using FLT3 (Phospho-Tyr969) Antibody. The lane on the right is blocked with the phospho peptide.)

FLT3, Polyclonal Antibody (Cat# AAA316612)

Full Name
FLT3 (Phospho-Tyr969) Antibody
Gene Names
FLT3; FLK2; STK1; CD135; FLK-2
Reactivity
Human
Applications
Immunohistochemistry, Western Blot
Purity
Purified from rabbit antiserum by affinity-chromatography using phospho peptide. The antibody against non-phospho peptide was removed by chromatography using corresponding non-phospho peptide.
Pricing
product-image-AAA316624_WB13.jpg WB (Western Blot) (Western blot analysis of lysates from NIH/3T3 cells treated with UV 15', using PAK1 (Phospho-Ser204) Antibody. The lane on the right is blocked with the phospho peptide.)

PAK1, Polyclonal Antibody (Cat# AAA316624)

Full Name
PAK1 (Phospho-Ser204) Antibody
Gene Names
PAK1; PAKalpha
Reactivity
Human, Mouse, Rat
Applications
Immunohistochemistry, Western Blot
Purity
Purified from rabbit antiserum by affinity-chromatography using phospho peptide. The antibody against non-phospho peptide was removed by chromatography using corresponding non-phospho peptide.
Pricing
product-image-AAA316636_WB13.jpg WB (Western Blot) (Western blot analysis of lysates from HT29 cells treated with serum 20% 15', using GRB2 (Phospho-Ser159) Antibody. The lane on the right is blocked with the phospho peptide.)

GRB2, Polyclonal Antibody (Cat# AAA316636)

Full Name
GRB2 (Phospho-Ser159) Antibody
Reactivity
Human, Mouse, Rat
Applications
Immunohistochemistry, Western Blot
Purity
Purified from rabbit antiserum by affinity-chromatography using phospho peptide. The antibody against non-phospho peptide was removed by chromatography using corresponding non-phospho peptide.
Pricing

c-Abl, Polyclonal Antibody (Cat# AAA312722)

Full Name
c-Abl (Phospho-Tyr412) Polyclonal Conjugated Antibody
Gene Names
ABL1; ABL; JTK7; p150; c-ABL; v-abl; bcr/abl
Reactivity
Human, Mouse, Rat
Pricing
product-image-AAA314863_IHC13.jpg IHC (Immunohiostchemistry) (Immunohistochemical analysis of paraffin-embedded human breast carcinoma, using Phospho-Tau (S396) Antibody.)

Tau, Monoclonal Recombinant Antibody (Cat# AAA314863)

Full Name
Tau (Phospho-Ser396) Rabbit mAb
Gene Names
MAPT; TAU; MSTD; PPND; DDPAC; MAPTL; MTBT1; MTBT2; FTDP-17
Reactivity
Human, Mouse, Rat
Applications
Immunohistochemistry, Western Blot
Purity
Affinity-chromatography
Pricing
product-image-AAA314865_IHC13.jpg IHC (Immunohiostchemistry) (Immunohistochemical analysis of paraffin-embedded human bladder cancer, using Phospho-SMC1 (S957) Antibody.)

SMC1, Monoclonal Recombinant Antibody (Cat# AAA314865)

Full Name
SMC1 (Phospho-Ser957) Rabbit mAb
Gene Names
SMC1A; SMC1; SMCB; CDLS2; SB1.8; SMC1L1; DXS423E; SMC1alpha
Reactivity
Human
Applications
Immunofluorescence, Immunocytochemistry, Immunohistochemistry, Western Blot
Purity
Affinity-chromatography
Pricing
product-image-AAA314866_IHC13.jpg IHC (Immunohiostchemistry) (Immunohistochemical analysis of paraffin-embedded human colon, using Phospho-SIRT1 (S47) Antibody.)

SIRT1, Monoclonal Recombinant Antibody (Cat# AAA314866)

Full Name
SIRT1 (Phospho-Ser47) Rabbit mAb
Gene Names
SIRT1; SIR2L1
Reactivity
Human
Applications
Immunofluorescence, Immunocytochemistry, Immunohistochemistry, Western Blot
Purity
Affinity-chromatography
Pricing
product-image-AAA314868_IHC13.jpg IHC (Immunohiostchemistry) (Immunohistochemical analysis of paraffin-embedded human stomach, using Phospho-YAP1 (S127) Antibody.)

YAP1, Monoclonal Recombinant Antibody (Cat# AAA314868)

Full Name
YAP1 (Phospho-Ser127) Rabbit mAb
Gene Names
YAP1; YAP; YKI; YAP2; YAP65
Reactivity
Human, Mouse, Rat
Applications
Immunohistochemistry, Western Blot
Purity
Affinity-chromatography
Pricing
product-image-AAA314873_IF11.jpg IF (Immunofluorescence) (Immunofluorescent analysis of NIH/3T3 cells treated with PDGF, using Phospho-Akt(Ser473) Antibody.)

Akt, Monoclonal Recombinant Antibody (Cat# AAA314873)

Full Name
Akt (Phospho-Ser473) Rabbit mAb
Gene Names
AKT1; AKT; PKB; RAC; CWS6; PRKBA; PKB-ALPHA; RAC-ALPHA
Reactivity
Human, Mouse, Rat
Applications
Immunofluorescence, Immunocytochemistry, Immunohistochemistry, Western Blot
Purity
Affinity-chromatography
Pricing
product-image-AAA314876_IF11.jpg IF (Immunofluorescence) (Immunofluorescent analysis of HeLa cells treated with H2O2, using Phospho-Histone H2A.X (S139) Antibody.)

Histone H2A.X, Monoclonal Recombinant Antibody (Cat# AAA314876)

Full Name
Histone H2A.X (Phospho-Ser139) Rabbit mAb
Gene Names
H2AFX; H2AX; H2A.X; H2A/X
Reactivity
Human, Mouse, Rat
Applications
Immunoprecipitation, Immunofluorescence, Immunocytochemistry, Immunohistochemistry, Western Blot
Purity
Affinity-chromatography
Pricing
product-image-AAA314878_IF11.jpg IF (Immunofluorescence) (Immunofluorescent analysis of HeLa cells treated with anisomycin, using Phospho-c-Jun (S63) Antibody.)

c-Jun, Monoclonal Recombinant Antibody (Cat# AAA314878)

Full Name
c-Jun (Phospho-Ser63) Rabbit mAb
Gene Names
JUN; AP1; AP-1; c-Jun
Reactivity
Human, Mouse, Rat
Applications
Immunofluorescence, Immunocytochemistry, Immunohistochemistry, Western Blot
Purity
Affinity-chromatography
Pricing
product-image-AAA314883_ICC2.jpg ICC (Immunocytochemistry) (Immunocytochemistry/Immunofluorescence - Phospho-MCU(S92) antibody (14297) 14297 staining Phospho-MCU(S92) in the HeLa cell line by ICC/IF. Cells were fixed with 4% Paraformaldehyde permeabilized with 0.1% Triton X-100. Samples were incubated with 14297 at a working dilution of 1/100. The secondary antibody was Alexa Fluor? 488 goat anti rabbit, used at a dilution of 1/500. The negative control is shown in bottom right hand panel - for the negative control, purified 14297 was used at a dilution of 1/100 followed by Alexa Fluor? 647 goat anti- rabbit antibody at a dilution of 1/500. Nuclei were counterstained with DAPI.)

MCU, Polyclonal Antibody (Cat# AAA314883)

Full Name
MCU (Phospho-Ser92) Rabbit pAb
Gene Names
MCU; C10orf42; CCDC109A
Reactivity
Human, Mouse, Rat
Applications
Immunohistochemistry, Immunofluorescence, Western Blot
Purity
Affinity-chromatography
Pricing
product-image-AAA314846_IHC13.jpg IHC (Immunohiostchemistry) (Immunohistochemical analysis of paraffin-embedded human breast, using Phospho-p53 (S392) Antibody.)

p53, Monoclonal Recombinant Antibody (Cat# AAA314846)

Full Name
p53 (Phospho-Ser392) Rabbit mAb
Gene Names
TP53; P53; BCC7; LFS1; TRP53
Reactivity
Human, Mouse, Rat
Applications
Immunoprecipitation, Immunofluorescence, Immunocytochemistry, Immunohistochemistry, Western Blot
Purity
Affinity-chromatography
Pricing
product-image-AAA314847_IHC13.jpg IHC (Immunohiostchemistry) (Immunohistochemical analysis of paraffin-embedded human breast cancer, using Phospho-EGFR (Y1068) Antibody .)

EGFR, Monoclonal Recombinant Antibody (Cat# AAA314847)

Full Name
EGFR (Phospho-Tyr1068) Rabbit mAb
Gene Names
EGFR; ERBB; HER1; mENA; ERBB1; PIG61
Reactivity
Human, Mouse
Applications
Immunofluorescence, Immunocytochemistry, Immunohistochemistry, Western Blot
Purity
Affinity-chromatography
Pricing
product-image-AAA314849_IF11.jpg IF (Immunofluorescence) (Immunofluorescent analysis of A431 cells treated with EGF, using Phospho-STAT3 (S727) Antibody .)

STAT3, Monoclonal Recombinant Antibody (Cat# AAA314849)

Full Name
STAT3 (Phospho-Ser727) Rabbit mAb
Gene Names
STAT3; APRF; HIES
Reactivity
Human, Mouse, Rat
Applications
Immunoprecipitation, Immunofluorescence, Immunocytochemistry, Immunohistochemistry, Western Blot
Purity
Affinity-chromatography
Pricing
product-image-AAA314852_IHC13.jpg IHC (Immunohiostchemistry) (Immunohistochemical analysis of paraffin-embedded rat spleen, using Phospho-Cdk1/2 (T14) Antibody.)

Cdk1/2, Monoclonal Recombinant Antibody (Cat# AAA314852)

Full Name
Cdk1/2 (Phospho-Thr14) Rabbit mAb
Gene Names
CDK1; CDC2; CDC28A; P34CDC2
Reactivity
Human, Mouse, Rat
Applications
Immunoprecipitation, Immunohistochemistry, Western Blot
Purity
Affinity-chromatography
Pricing
product-image-AAA314856_IHC13.jpg IHC (Immunohiostchemistry) (Immunohistochemical analysis of paraffin-embedded human lung carcinoma, using Phospho-c-Myc (S62) Antibody .)

c-Myc, Monoclonal Recombinant Antibody (Cat# AAA314856)

Full Name
c-Myc (Phospho-Ser62) Rabbit mAb
Gene Names
MYC; MRTL; c-Myc; bHLHe39
Reactivity
Human, Mouse, Rat
Applications
Immunoprecipitation, Immunofluorescence, Immunocytochemistry, Immunohistochemistry, Western Blot
Purity
Affinity-chromatography
Pricing
product-image-AAA314726_WB15.jpg WB (Western Blot) (Western blot analysis of extracts from 293 cells, transfected with Tau and treated with calf intestinal phosphatase (CIP) using Tau(Phospho-Thr217) Rabbit mAb.)

Tau, Monoclonal Antibody (Cat# AAA314726)

Full Name
Recombinant Tau (Phospho-Thr217) Rabbit mAb (G122)
Gene Names
MAPT; TAU; MSTD; PPND; DDPAC; MAPTL; MTBT1; MTBT2; FTDP-17
Reactivity
Human, Mouse, Rat
Applications
Western Blot
Purity
Affinity purification
Pricing
product-image-AAA303209_IHC13.jpg IHC (Immunohiostchemistry) (Immunohistochemical analysis of paraffin-embedded human breast carcinoma tissue using Connexin 43(Phospho-Ser367) Antibody (left) or the same antibody preincubated with blocking peptide(right).)

Connexin 43, Polyclonal Antibody (Cat# AAA303209)

Full Name
Connexin 43 (phospho-Ser367) Antibody
Gene Names
GJA1; HSS; CMDR; CX43; EKVP; GJAL; ODDD; AVSD3; HLHS1; PPKCA
Reactivity
Human, Mouse, Rat
Applications
Immunohistochemistry, Western Blot
Purity
Antibodies were produced by immunizing rabbits with synthetic phosphopeptide and KLH conjugates. Antibodies were purified by affinity-chromatography using epitope-specific phosphopeptide. Non-phospho specific antibodies were removed by chromatogramphy usi
Pricing
product-image-AAA311015_IHC10.jpg IHC (Immunohistochemistry) (Immunohistochemical analysis of paraffin-embedded human breast carcinoma tissue using anti- phospho -SMC1 (S957) antibody. Counter stained with hematoxylin.)

SMC1, Monoclonal Antibody (Cat# AAA311015)

Full Name
SMC1 (Phospho-S957) Antibody
Gene Names
SMC1A; SMC1; SMCB; CDLS2; SB1.8; SMC1L1; DXS423E; SMC1alpha
Reactivity
Human
Applications
Immunocytochemistry, Immunohistochemistry, Western Blot
Purity
ProA affinity purified
Pricing
product-image-AAA311025_ICC10.jpg ICC (Immunocytochemistry) (ICC staining phospho -Tau (S396) in PC12 cells (green). The nuclear counter stain is DAPI (blue). Cells were fixed in paraformaldehyde, permeabilised with 0.25% Triton X100/PBS.)

Tau, Monoclonal Antibody (Cat# AAA311025)

Full Name
Tau (Phospho-S396) Antibody
Gene Names
MAPT; TAU; MSTD; PPND; DDPAC; MAPTL; MTBT1; MTBT2; FTDP-17
Reactivity
Human, Mouse, Rat
Applications
Immunoprecipitation, Immunohistochemistry, Immunofluorescence, Immunocytochemistry, Western Blot
Purity
ProA affinity purified
Pricing
product-image-AAA311031_FCM13.jpg FCM/FACS (Flow Cytometry) (Flow cytometric analysis of Hela cells with Phospho-Smad2 (S250) antibody at 1/50 dilution (red) compared with an unlabelled control (cells without incubation with primary antibody; black). Alexa Fluor 488-conjugated goat anti rabbit IgG was used as the secondary antibody)

SMAD2, Monoclonal Antibody (Cat# AAA311031)

Full Name
SMAD2 (Phospho-S250) Antibody
Gene Names
SMAD2; JV18; MADH2; MADR2; JV18-1; hMAD-2; hSMAD2
Reactivity
Human, Mouse, Rat
Applications
Flow Cytometry, Immunohistochemistry, Western Blot
Purity
ProA affinity purified
Pricing
product-image-AAA311037_ICC8.jpg ICC (Immunocytochemistry) (ICC staining Phospho-Hsp27 (S78) in NIH/3T3 cells (green). The nuclear counter stain is DAPI (blue). Cells were fixed in paraformaldehyde, permeabilised with 0.25% Triton X100/PBS.)

Hsp27, Monoclonal Antibody (Cat# AAA311037)

Full Name
Hsp27 (Phospho-S78) Antibody
Gene Names
HSPB1; CMT2F; HMN2B; HSP27; HSP28; Hsp25; SRP27; HS.76067
Reactivity
Human
Applications
Immunoprecipitation, Immunohistochemistry, Immunofluorescence, Immunocytochemistry, Western Blot
Purity
ProA affinity purified
Pricing
product-image-AAA311043_ICC10.jpg ICC (Immunocytochemistry) (ICC staining Phospho-Rac1+Cdc42 (Ser71) in Hela cells (green). The nuclear counter stain is DAPI (blue). Cells were fixed in paraformaldehyde, permeabilised with 0.25% Triton X100/PBS.)

Rac1+Cdc42, Monoclonal Antibody (Cat# AAA311043)

Full Name
Rac1+Cdc42 (Phospho-Ser71) Antibody
Gene Names
CDC42; G25K; CDC42Hs
Reactivity
Human
Applications
Immunohistochemistry, Immunofluorescence, Immunocytochemistry, Immunohistochemistry, Western Blot
Purity
ProA affinity purified
Pricing
product-image-AAA311044_ICC10.jpg ICC (Immunocytochemistry) (ICC staining Phospho-PTEN (S380) in SW480 cells (green). The nuclear counter stain is DAPI (blue). Cells were fixed in paraformaldehyde, permeabilised with 0.25% Triton X100/PBS.)

PTEN, Monoclonal Antibody (Cat# AAA311044)

Full Name
PTEN (Phospho-S380) Antibody
Gene Names
PTEN; BZS; DEC; CWS1; GLM2; MHAM; TEP1; MMAC1; PTEN1; 10q23del
Reactivity
Human, Mouse, Rat
Applications
Flow Cytometry, Immunocytochemistry, Western Blot
Purity
ProA affinity purified
Pricing

What Are Phospho Antibodies?


Protein phosphorylation is a process where a phosphate group is added to certain amino acid residues of a protein – usually serine (S), threonine (T), or tyrosine (Y) - by enzymes called kinases. This process is integral in controlling cellular signaling, cellular growth, and other biological functions.


Our catalog includes a wide range of phospho-specific antibodies that can accurately detect this important marker. They perform strongly in widely-used laboratory applications such as Western blot, flow cytometry, immunohistochemistry, and immunofluorescence microscopy. We value your trust in us and are committed to providing top-quality products and services. All of our antibodies are guaranteed to work for the applications and species indicated on our website & associated product pages.


What Are The Key Applications of Phospho Antibodies?


1. Western Blotting


One of the first steps a researcher can take in utilizing these phospho-specific antibodies, is to check if the antibody works using a technique referred to as “Western blot”. For those unfamiliar, Western Blot aids in showing whether the protein that the antibody recognizes is appearing at the correct/expected size. These phospho-specific antibodies should also be able to detect changes in the target protein’s phosphorylation (on/off state) when cells are stimulated in certain ways.


2. Staining of Fixed Cells (Immunocytochemistry)


Another routine use of these phospho-specific antibodies, is to test if the antibody is able to demonstrate similar performance when used on fixed cells (intact cells that have been preserved) as it did in the Western blot tests. It is an important aspect in many cases to confirm that the antibody works in actual intact cell samples. Ideally, the method used for cellular fixation should be the same as what is used in pathology labs (like using 10% formalin). To check if the antibody works well in tissue sections (FFPE), researchers will often test it on fixed cells that are processed similar to tissue samples.


3. Specificity Tests Using Peptides


In order to make sure that the antibody is only binding to the right target:


  • Laboratory technicians will mix the antibody with phospho-peptides (short segments of the protein containing the phosphate group modification).

  • If the antibody signal disappears, it is confirmation that it is binding to the correct phosphorylated location.

  • A more robust test is to use both the phosphorylated and non-phosphorylated (dephosphorylated) versions of the protein. The antibody should react only with the phosphorylated one.

  • Another method sometimes utilized is to treat the sample with an enzyme, such as alkaline phosphatase, that specifically removes phosphate groups. If the antibody signal disappears after this, it also confirms specificity.


4. Genetic Confirmation


As a final step, scientists can genetically manipulate the nucleotide sequence and alter the target protein by removing the exact site where phosphorylation happens. If the antibody no longer appears to detect the modified protein, it is strong evidence supporting the antibody being specific for that phosphorylated site.


Why Buy Phospho Antibodies Through Us?


  • The production laboratory adheres to strict and consistent protocols prior to releasing any of these phospho-specific antibodies:

  • Standard methods and proper controls in all tests to ensure high quality.

  • These antibodies are tested and validated in different cell types and species.

  • High quality control criterion to ensure each batch is consistent, so you will obtain reliable results every time.


FAQ


1. What Are Phospho-Specific Antibodies?


Phospho-specific antibodies are made to detect proteins only when they have a phosphate group linked to a specific amino acid residue. This empowers scientists understand if a protein is "turned on" or active, based on its phosphorylation state.


2. How to Detect Phosphorylated Proteins in a Western Blot?


To find out if a protein is phosphorylated using Western blot:


  • Use a phospho-specific antibody that binds only to the phosphorylated form of the protein.

  • You can also use a “regular” antibody for the same amino acid sequence of the protein that the phospho-specific antibody is binding to (but in this case, this antibody will not bind if there is a phosphate group present) in order to compare how much of it is phosphorylated versus how much is non-phosphorylated (or “total” protein, if the “normal” antibody’s epitopes are non-phospho-site-specific).


3. How to Choose the Best Antibody?


Here are some simple tips to help you pick the right antibody:


  • Know your target

  • Match your sample characteristics

  • Confirm the intended use is appropriate

  • Check “host” and “type”

  • Check the “quality” of the presented data/images

  • Appraise whether the available validation meets your needs


Submit a Question

Please complete the form below and a representative will contact you as soon as possible.

Request more Information

Please complete the form below and a representative will contact you as soon as possible.

Request a Manual

Please complete the form below and a representative will contact you as soon as possible.

Request a Quote

Please complete the form below and a representative will contact you as soon as possible.