Rabbit anti-Human C12orf75 Polyclonal Antibody | anti-C12orf75 antibody
C12orf75 Antibody
Gene Names
C12orf75; AGD3; OCC1; OCC-1
Reactivity
Human
Applications
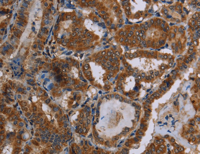
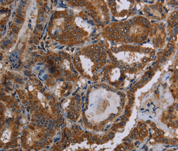
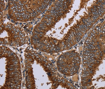
Immunohistochemistry
Purity
Antigen affinity purification.
Synonyms
C12orf75, Antibody; C12orf75 Antibody; AGD3; OCC1; OCC-1; anti-C12orf75 antibody
Host
Rabbit
Reactivity
Human
Clonality
Polyclonal
Specificity
The antibody detects endogenous levels of total C12orf75 protein.
Purity/Purification
Antigen affinity purification.
Form/Format
Rabbit IgG in pH7.3 PBS, 0.05% NaN3, 50% Glycerol.
Concentration
0.6 mg/ml (varies by lot)
Sequence Length
63
Applicable Applications for anti-C12orf75 antibody
IHC (Immunohistochemistry)
Immunogen Type
Peptide
Immunogen Description
Synthetic peptide corresponding to residues near the C terminal of human chromosome 12 open reading frame 75
Target Name
C12orf75
Preparation and Storage
Store at -20 degree C
Related Product Information for anti-C12orf75 antibody
C12orf75 (chromosome 12 open reading frame 75), also known as AGD3 or OCC1, is a protein that in humans is encoded by the C12orf75 gene. C12orf75 is high expression in placenta, skeletal muscle, kidney and pancreas tissues.
Product Categories/Family for anti-C12orf75 antibody
NCBI and Uniprot Product Information
NCBI GI #
NCBI GeneID
NCBI Accession #
NCBI GenBank Nucleotide #
UniProt Accession #
Molecular Weight
6,407 Da
NCBI Official Full Name
overexpressed in colon carcinoma 1 protein
NCBI Official Synonym Full Names
chromosome 12 open reading frame 75
NCBI Official Symbol
C12orf75
NCBI Official Synonym Symbols
AGD3; OCC1; OCC-1
NCBI Protein Information
overexpressed in colon carcinoma 1 protein
UniProt Protein Name
Overexpressed in colon carcinoma 1 protein
UniProt Gene Name
OCC1
UniProt Synonym Gene Names
C12orf75; OCC-1
UniProt Entry Name
OCC1_HUMAN
Customer Reviews
Loading reviews...
Share Your Experience
Similar Products
Product Notes
The C12orf75 occ1 (Catalog #AAA302554) is an Antibody produced from Rabbit and is intended for research purposes only. The product is available for immediate purchase. The C12orf75 Antibody reacts with Human and may cross-react with other species as described in the data sheet. AAA Biotech's C12orf75 can be used in a range of immunoassay formats including, but not limited to, IHC (Immunohistochemistry). Researchers should empirically determine the suitability of the C12orf75 occ1 for an application not listed in the data sheet. Researchers commonly develop new applications and it is an integral, important part of the investigative research process. It is sometimes possible for the material contained within the vial of "C12orf75, Polyclonal Antibody" to become dispersed throughout the inside of the vial, particularly around the seal of said vial, during shipment and storage. We always suggest centrifuging these vials to consolidate all of the liquid away from the lid and to the bottom of the vial prior to opening. Please be advised that certain products may require dry ice for shipping and that, if this is the case, an additional dry ice fee may also be required.Precautions
All products in the AAA Biotech catalog are strictly for research-use only, and are absolutely not suitable for use in any sort of medical, therapeutic, prophylactic, in-vivo, or diagnostic capacity. By purchasing a product from AAA Biotech, you are explicitly certifying that said products will be properly tested and used in line with industry standard. AAA Biotech and its authorized distribution partners reserve the right to refuse to fulfill any order if we have any indication that a purchaser may be intending to use a product outside of our accepted criteria.Disclaimer
Though we do strive to guarantee the information represented in this datasheet, AAA Biotech cannot be held responsible for any oversights or imprecisions. AAA Biotech reserves the right to adjust any aspect of this datasheet at any time and without notice. It is the responsibility of the customer to inform AAA Biotech of any product performance issues observed or experienced within 30 days of receipt of said product. To see additional details on this or any of our other policies, please see our Terms & Conditions page.Item has been added to Shopping Cart
If you are ready to order, navigate to Shopping Cart and get ready to checkout.
