Loading...

Skip to main content
Call us at +1-800-604-9114 for more information about our products or contact us online Need help? +1-800-604-9114 or contact us

Filters


Clonality

Type

Reactivity

Gene Name

Isotype

Host

Application

Clone

Monoclonal Antibodies

Get accurate results in your research with our Monoclonal Antibodies, which are specially made to target exactly what you require for your research, and will produce consistent, reliable performance in lab tests.


Viewing 9800-9850 of 27645 product results


product-image-AAA71496_AD13.jpg Application Data (Fig.2: CGE analysis of purified BGC-6F6 monoclonal antibody. Lane 1: molecular weight marker, Lane 2: 2 mug of purified BGC-6F6 antibody. Proteins were separated by CGE (capillary gel electrophoresis, Agilent 2100 Bioanalyzer). Internal control bands (240 kDa / 7 kDa / 4,5 kDa).)

Ectodysplasin A Receptor (EDAR), Monoclonal Antibody (Cat# AAA71496)

No reviews yet
Full Name
Rat anti-human Ectodysplasin A Receptor (EDAR) monoclonal antibody
Gene Names
EDAR; DL; ED3; ED5; ED1R; EDA3; HRM1; EDA1R; ECTD10A; ECTD10B; EDA-A1R
Applications
Flow Cytometry
Purity
Protein G
Pricing
product-image-AAA71497_AD13.jpg Application Data (Fig.2: CGE analysis of purified GM1201 monoclonal antibody. Lane 1: molecular weight marker, Lane 2: 2 mug of purified GM1201 antibody. Proteins were separated by CGE (capillary gel electrophoresis, Agilent 2100 Bioanalyzer). Internal control bands (240 kDa / 7 kDa / 4,5 kDa).)

Epo-R, Monoclonal Antibody (Cat# AAA71497)

No reviews yet
Full Name
Rat anti-human Epo-R monoclonal antibody
Gene Names
EPOR; EPO-R
Applications
Immunoprecipitation, Western Blot, Immunohistochemistry, Competitive ELISA, Flow Cytometry
Purity
Protein G
Pricing
product-image-AAA71561_ICC13.jpg ICC (Immunocytochemistry) (Immunocytochemical labeling of ATM phosphorylation in control (Top row) or calyculin A-treated A431 cells (Bottom row). The cells were labeled with mouse monoclonal ATM (C-terminal region) (AM3611) and ATM (Ser-1981) (AM3661). The antibodies were detected using goat anti-mouse-DyLight 594.)

ATM, Monoclonal Antibody (Cat# AAA71561)

No reviews yet
Full Name
ATM (C-terminal region) Antibody
Gene Names
ATM; AT1; ATA; ATC; ATD; ATE; ATDC; TEL1; TELO1
Reactivity
Human
Applications
Flow Cytometry, Immunocytochemistry, Immunoprecipitation, Western Blot
Pricing
product-image-AAA71562_ICC13.jpg ICC (Immunocytochemistry) (Immunocytochemical labeling of ATM phosphorylation in control (Top row) or calyculin A-treated A431 cells (Bottom row). The cells were labeled with mouse monoclonal ATM (C-terminal region) (AM3611) and ATM (Ser-1981) (AM3661). The antibodies were detected using goat anti-mouse-DyLight 594.)

ATM, Monoclonal Antibody (Cat# AAA71562)

No reviews yet
Full Name
ATM (Ser-1981), phospho-specific Antibody
Gene Names
ATM; AT1; ATA; ATC; ATD; ATE; ATDC; TEL1; TELO1
Reactivity
Human, Rat, Mouse
Applications
Immunocytochemistry, Immunoprecipitation, Western Blot
Pricing
product-image-AAA71350_WB15.jpg WB (Western Blot) (The cell lysate derived from 1) SW620, 2) Hela cells were immunoprobed by Mouse anti-CK8(AAA71350) at 1:500. An immunoreactive band is observed around ~58kDa.)

Keratin 8 (pS431), Monoclonal Antibody (Cat# AAA71350)

No reviews yet
Full Name
Mouse Anti Keratin 8 (pS431) Monoclonal Antibody
Reactivity
Human, Mouse, Rat
Applications
Immunofluorescence, Immunohistochemistry, Western Blot
Purity
Protein A Chromatography
Pricing
product-image-AAA72470_IF13.png IF (Immunofluorescence) (Immunofluorescencestainingoffixedratsplenocytecellswithanti-CD147(Basigin)antibodyOX-47(AAA72470) Immunofluorescenceanalysisofparaformaldehydefixedrat(Rattusnorvegicus)splenocytesonShi-fixcoverslips,permeabilizedwith0.15%TritonstainedwiththechimericrabbitversionofOX-47(AAA72470)at10ug/mlfor1hfollowedbyAlexaFluor 488secondaryantibody(1ug/ml),showingmembranestainingofasubsetofcells.ThenuclearstainisDAPI(blue).Panelsshowfromleft-right,top-bottomAAA72470,DAPI,mergedchannelsandanisotypecontrol.Theisotypecontrolwasstainedwithananti-FluoresceinantibodyfollowedbyAlexaFluor 488secondaryantibody.)

CD147, Monoclonal Recombinant Antibody (Cat# AAA72470)

No reviews yet
Full Name
Anti-CD147 [OX-47], Mouse IgG1, kappa
Gene Names
Bsg; CE9; HT7; 5A11; Ox47R; EMMPRIN; basignin
Reactivity
Rat
Applications
Western Blot, Immunohistochemistry, Flow Cytometry, Radioimmunoassay
Purity
Protein A affinity purified
Pricing
product-image-AAA72471_WB11.png WB (Western Blot) (Western Blotusinganti-CD147(Basigin)antibodyOX-47(AAA72471)Ratthymustissuelysate(35ugproteininRIPAbuffer)wasresolvedona10%SDSPAGEgelandblotsprobedwiththechimericrabbitversionofOX-47(AAA72471)at0.1ug/mlbeforedetectionusingananti-rabbitsecondaryantibody.Aprimaryincubationof1hwasusedandproteinwasdetectedbychemiluminescence.TheexpectedbandsizeforCD147is42.4kDa.AAA72471successfullydetectedCD147inratthymustissuelysate.)

CD147, Monoclonal Recombinant Antibody (Cat# AAA72471)

No reviews yet
Full Name
Anti-CD147 [OX-47], Rabbit IgG, kappa
Gene Names
Bsg; CE9; HT7; 5A11; Ox47R; EMMPRIN; basignin
Reactivity
Rat
Applications
Western Blot, Immunohistochemistry, Flow Cytometry, Radioimmunoassay
Purity
Protein A affinity purified
Pricing
product-image-AAA72473_WB13.png WB (Western Blot) (Western Blotusinganti-CD48antibodyOX-78(AAA72473) Mousespleen(A),thymus(B)andlymphnode(C)tissuelysatesamples(35ugproteininRIPAbuffer)wereresolvedona10%SDSPAGEgelandblotsprobedwiththechimericrabbitversionofOX-78(AAA72473)at0.0001ug/mlbeforedetectionusingananti-rabbitsecondaryantibody.Aprimaryincubationof1hwasusedandproteinwasdetectedbychemiluminescence.TheexpectedrunningsizeforCD48is~37-56kDaanditisheavilyglycosylated,aswellaslipidated(UniProtID:P18181).AAA72473successfullydetectedCD48inmousespleen,thymusandlymphnodetissuelysates.)

CD48, Monoclonal Recombinant Antibody (Cat# AAA72473)

No reviews yet
Full Name
Anti-CD48 [OX-78], Rat IgG2a, kappa
Gene Names
Cd48; BCM1; BLAST; Bcm-1; BLAST1; SLAMF2; Sgp-60; BLAST-1; MEM-102; AI449234; AW610730
Reactivity
Mouse
Applications
Immunoprecipitation, Flow Cytometry
Purity
Protein A affinity purified
Pricing
product-image-AAA72500_IF11.png IF (Immunofluorescence) (ImmunofluorescencestainingofMolt4cellswithanti-CD25(AAA72500)7G7/B6 ImmunofluorescenceanalysisofparaformaldehydefixedMolt4cellsonShi-fixcover-slipsstainedwiththechimericrabbitIgGversionof7G7/B6(AAA72500)(1:100dilution)for1hfollowedbyAlexaFluor488secondaryantibody(1:1000dilution),showingmembranestaining.ThenuclearstainisDAPI(blue).Panelsshowfromleft-right,top-bottomAAA72500,DAPI,mergedchannelsandanisotypecontrol.TheisotypecontrolwasanunknownspecificityantibodyfollowedbystainingwithAlexaFluor488secondaryantibody.)

CD25, Monoclonal Recombinant Antibody (Cat# AAA72500)

No reviews yet
Full Name
Anti-CD25 [7G7/B6], Rabbit IgG, kappa
Gene Names
IL2RA; CD25; IL2R; TCGFR; IDDM10
Reactivity
Human
Applications
Immunoprecipitation, Flow Cytometry, Immunofluorescence
Purity
Protein A affinity purified
Pricing
product-image-AAA72503_FCM11.png FCM/FACS (Flow Cytometry) (FlowcytometryusingtheAnti-CD34antibodyQBEND/10(AAA72503). ParaformaldehydefixedK562cellswerestainedwithanti-unknownspecificityantibodyorthemouseIgG1versionofQBEND/10(AAA72503-1.1,blueline)atadilutionof1:100for1hatRT.Afterwashing,theboundantibodywasdetectedusingagoatanti-mouseIgGAlexaFluor488antibodyatadilutionof1:1000andcellsanalyzedusingaFACSCantoflow-cytometer.)

CD34, Monoclonal Recombinant Antibody (Cat# AAA72503)

No reviews yet
Full Name
Anti-CD34 [QBEND/10], Mouse IgG1, kappa
Reactivity
Human
Applications
Immunoprecipitation, Western Blot, Immunohistochemistry
Purity
Protein A affinity purified
Pricing
product-image-AAA72524_FCM13.png FCM/FACS (Flow Cytometry) (Flowcytometryusingtheanti-betacateninantibody15B8(AAA72524). HeLacellswerefixedusing2%PFAandstainedwithanti-unknownspecificityantibodyortherabbitIgG1versionof15B8(AAA72524,blueline)atadilutionof1:100for1hatRT.Afterwashing,theboundantibodywasdetectedusingagoatanti-rabbitIgGAlexaFluor488antibodyatadilutionof1:1000andcellsanalyzedusingaFACSCantoflow-cytometer.)

beta catenin, Monoclonal Recombinant Antibody (Cat# AAA72524)

No reviews yet
Full Name
Anti-beta catenin [15B8], Mouse IgG1, kappa
Gene Names
CTNNB1; CTNNB; MRD19; armadillo
Reactivity
Human, Mouse, Rat, Cow, Dog, Chicken
Applications
Immuno-ElectronMicroscopy, Immunohistochemistry, Immunofluorescence, Flow Cytometry, Western Blot
Purity
Protein A affinity purified
Pricing
product-image-AAA72530_FCM13.png FCM/FACS (Flow Cytometry) (Flowcytometryusinganti-IL-4antibodySB240683(Pascolizumab,humanized3B9)(AAA72530). Humanbloodleukocytesrestedfor4hoursat37°C,thenfixedwith2%PFAandpermeabilizedwith0.5%Triton,werestainedwiththeanti-unknownspecificityantibodyortherabbitIgGversionofSB240683(AAA72530,left)atadilutionof1:100overnightat4°C.Afterwashing,theboundantibodywasdetectedusingagoatanti-rabbitIgGAlexaFluor488antibodyatadilutionof1:1000,andthecellswereanalyzedusingaFACSCantoflow-cytometer.)

IL-4, Monoclonal Recombinant Antibody (Cat# AAA72530)

No reviews yet
Full Name
Anti-IL-4 [SB240683 (Pascolizumab, humanized 3B9)], Human IgG1, kappa
Gene Names
IL4; BSF1; IL-4; BCGF1; BSF-1; BCGF-1
Reactivity
Human, cynomolgus monkeys
Applications
Functional Assay, Inhibition Assay
Purity
Protein A affinity purified
Pricing
product-image-AAA72438_WB11.png WB (Western Blot) (Western Blotusinganti-MHCclassII(CD74)antibodyOX-6(AAA72438) Ratspleen(A),ratthymus(B)andratlymphnode(C)lysatesamples(35ugproteininRIPAbuffer)wereresolvedona10%SDSPAGEgelandblotsprobedwiththechimericrabbitversionofOX-6(AAA72438)at1ug/mlbeforedetectionusingananti-rabbitsecondaryantibody.Aprimaryincubationof1hwasusedandproteinwasdetectedbychemiluminescence.TheexpectedrunningsizeforCD74is~24.5-31.6kDa,dependingontheisoformandpost-translationalmodification.AAA72438successfullydetectedCD74inratspleen,thymusandlymphnodelysates.)

MHC II, Monoclonal Recombinant Antibody (Cat# AAA72438)

No reviews yet
Full Name
Anti-MHC II [OX-6], Mouse IgG1, kappa
Reactivity
Rat, Mouse
Applications
Immunocytochemistry, Immunohistochemistry, Flow Cytometry, Western Blot, Immunofluorescence, Immunoprecipitation, Radioimmunoassay
Purity
Protein A affinity purified
Pricing
product-image-AAA72439_WB11.png WB (Western Blot) (Western Blotusinganti-MHCclassII(CD74)antibodyOX-6(AAA72439) Ratspleen(A),ratthymus(B)andratlymphnode(C)lysatesamples(35ugproteininRIPAbuffer)wereresolvedona10%SDSPAGEgelandblotsprobedwiththechimericrabbitversionofOX-6(AAA72439)at1ug/mlbeforedetectionusingananti-rabbitsecondaryantibody.Aprimaryincubationof1hwasusedandproteinwasdetectedbychemiluminescence.TheexpectedrunningsizeforCD74is~24.5-31.6kDa,dependingontheisoformandpost-translationalmodification.AAA72439successfullydetectedCD74inratspleen,thymusandlymphnodelysates.)

MHC II, Monoclonal Recombinant Antibody (Cat# AAA72439)

No reviews yet
Full Name
Anti-MHC II [OX-6], Rabbit IgG, kappa
Reactivity
Rat, Mouse
Applications
Immunocytochemistry, Immunohistochemistry, Flow Cytometry, Western Blot, Immunofluorescence, Immunoprecipitation, Radioimmunoassay
Purity
Protein A affinity purified
Pricing
product-image-AAA72440_IF11.png IF (Immunofluorescence) (Immunofluorescencestainingoffixedratsplenocytescwithanti-CD8aantibodyOX-8(AAA72440). ImmunofluorescenceanalysisofparaformaldehydefixedratsplenocytesonShi-fixcover-slipsstainedwiththechimericrabbitIgGversionofOX-8(AAA72440)(1:100dilution)for1hfollowedbyAlexaFluor488secondaryantibody(1:1000dilution),showingmembraneandcytoplasmicstaining.ThenuclearstainisDAPI(blue).Panelsshowfromleft-right,top-bottomAAA72440,DAPI,mergedchannelsandanisotypecontrol.TheisotypecontrolwasanunknownspecificityantibodyfollowedbystainingwithAlexaFluor488secondaryantibody.)

CD8a, Monoclonal Recombinant Antibody (Cat# AAA72440)

No reviews yet
Full Name
Anti-CD8a [OX-8], Mouse IgG1, kappa
Reactivity
Rat
Applications
Immunohistochemistry, Immunofluorescence, Functional Assay, Flow Cytometry, Immunoprecipitation, Western Blot
Purity
Protein A affinity purified
Pricing
product-image-AAA72460_WB13.png WB (Western Blot) (Western Blotusinganti-CD244antibodyOX-122(AAA72460) Mousethymuslysate(A)andmousespleenlysate(B)samples(35ugproteininRIPAbuffer)wereresolvedona10%SDSPAGEgelandblotsprobedwiththechimericrabbitIgGversionofOX-122(AAA72460)at2and1ug/ml,respectively,beforedetectionusingananti-rabbitsecondaryantibody.Aprimaryincubationof1hwasusedandproteinwasdetectedbychemiluminescence.TheexpectedrunningsizeforCD244is44.8kDa.)

CD244, Monoclonal Recombinant Antibody (Cat# AAA72460)

No reviews yet
Full Name
Anti-CD244 [OX-122], Rabbit IgG, kappa
Gene Names
Cd244; 2B4; C9.1; Ly90; NAIL; Nmrk; NKR2B4; SLAMF4; F730046O15Rik
Reactivity
Mouse
Applications
Western Blot, Flow Cytometry
Purity
Protein A affinity purified
Pricing
product-image-AAA72466_FCM13.png FCM/FACS (Flow Cytometry) (Flow-cytometryusingtheanti-CD86antibodyOX-48(AAA72466). Ratsplenocyteswerestainedwithanti-FluoresceinIgGantibody(4-4-20;isotypecontrol,shadedline)ortherabbitIgG1versionofOX-48(AAA72466,blueline)atadilutionof1:100for1hatRT.Afterwashing,boundantibodywasdetectedusingagoatanti-mouseIgGAlexaFluor488antibodyatadilutionof1:1000andcellsanalyzedusingaFACSCantoflow-cytometer.)

CD86, Monoclonal Recombinant Antibody (Cat# AAA72466)

No reviews yet
Full Name
Anti-CD86 [OX-48], Mouse IgG1, kappa
Gene Names
Cd86; B7-2
Reactivity
Rat
Applications
Immunofluorescence, Flow Cytometry
Purity
Protein A affinity purified
Pricing

CA 19-9, Monoclonal Antibody (Cat# AAA74840)

No reviews yet
Full Name
CA 19-9 antibody
Reactivity
Specific to human GI tumor antigen (CA19-9)
Applications
Immunoassay
Purity
Protein G column chromatography purified
Pricing
product-image-AAA74841_WB15.jpg WB (Western Blot) (Western Blot analysis using C1S antibodyWestern Blot analysis of HEK293T cell lysates (5 ug) transfected with either recombinant C1S protein (Right) or empty vector (Left) detected with C1S antibody)

C1S, Monoclonal Antibody (Cat# AAA74841)

No reviews yet
Full Name
C1S antibody
Applications
Western Blot, Flow Cytometry
Purity
C1S antibody was purified by affinity chromatography.
Pricing
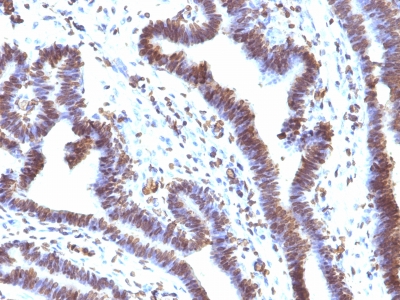
product-image-AAA74849_IHC13.jpg IHC (Immunohiostchemistry) (Immunohistochemical analysis of HARS2 protein in paraffin embedded Adenocarcinoma of Human breast tissue using HARS2 antibody)

HARS2, Monoclonal Antibody (Cat# AAA74849)

No reviews yet
Full Name
HARS2 antibody
Gene Names
HARS2; HO3; HARSL; HARSR; PRLTS2
Applications
Western Blot, Immunohistochemistry, Flow Cytometry
Purity
HARS2 antibody was purified by affinity chromatography.
Pricing
product-image-AAA74851_ELISA15.jpg ELISA (Sandwich ELISA using antibody Clone KT58 coated plate and HRP conjugated antibody Clone KT60)

Endostatin, Monoclonal Antibody (Cat# AAA74851)

No reviews yet
Full Name
Endostatin antibody
Gene Names
COL18A1; KS; KNO; KNO1
Applications
ELISA
Purity
Endostatin antibody was purified by Protein A chromatography.
Pricing
product-image-AAA74856_FCM10.jpg FCM/FACS (Flow Cytometry)

HSPA1A, Monoclonal Antibody (Cat# AAA74856)

No reviews yet
Full Name
HSPA1A antibody
Gene Names
HSPA1A; HSP72; HSPA1; HSP70I; HSP70-1; HSP70.1; HSP70-1A; HEL-S-103
Applications
Western Blot, Immunohistochemistry, Immunofluorescence, Flow Cytometry
Purity
HSPA1A antibody was purified by affinity chromatography.
Pricing
product-image-AAA74861_IHC13.jpg IHC (Immunohiostchemistry) (Immunohistochemical analysis of BRAF protein in paraffin embedded Human colon tissue using BRAF antibody)

BRAF, Monoclonal Antibody (Cat# AAA74861)

No reviews yet
Full Name
BRAF antibody
Applications
Western Blot, Immunohistochemistry
Purity
BRAF antibody was purified by affinity chromatography.
Pricing
product-image-AAA74882_IHC13.jpg IHC (Immunohiostchemistry) (Immunohistochemical analysis of FCGR2A protein in paraffin embedded Human endometrium tissue using FCGR2A antibody)

FCGR2A, Monoclonal Antibody (Cat# AAA74882)

No reviews yet
Full Name
FCGR2A antibody
Applications
Western Blot, Immunohistochemistry, Immunofluorescence
Purity
FCGR2A antibody was purified by affinity chromatography.
Pricing
product-image-AAA74884_IHC13.jpg IHC (Immunohiostchemistry) (Immunohistochemical analysis of DAND5 protein in paraffin embedded Adenocarcinoma of Human endometrium tissue using DAND5 antibody)

DAND5, Monoclonal Antibody (Cat# AAA74884)

No reviews yet
Full Name
DAND5 antibody
Gene Names
DAND5; SP1; CER2; COCO; CRL2; CERL2; DANTE; GREM3; CKTSF1B3
Applications
Western Blot, Immunohistochemistry, Flow Cytometry
Purity
DAND5 antibody was purified by affinity chromatography.
Pricing
product-image-AAA74885_IF11.jpg IF (Immunofluorescence) (Immunofluorescent staining of COS7 cells transiently transfected with recombinant GBP2 protein using GBP2 antibody)

GBP2, Monoclonal Antibody (Cat# AAA74885)

No reviews yet
Full Name
GBP2 antibody
Applications
Western Blot, Immunohistochemistry, Immunofluorescence, Flow Cytometry
Purity
GBP2 antibody was purified by affinity chromatography.
Pricing
product-image-AAA74891_IHC13.jpg IHC (Immunohiostchemistry) (Immunohistochemical analysis of AK5 protein in paraffin embedded Adenocarcinoma of Human breast tissue using AK5 antibody)

AK5, Monoclonal Antibody (Cat# AAA74891)

No reviews yet
Full Name
AK5 antibody
Gene Names
AK5; AK6
Applications
Western Blot, Immunohistochemistry, Flow Cytometry
Purity
AK5 antibody was purified by affinity chromatography.
Pricing
product-image-AAA74909_IHC13.jpg IHC (Immunohiostchemistry) (Immunohistochemical analysis of CDH2 protein in paraffin embedded Carcinoma of Human thyroid tissue using CDH2 antibody)

CDH2, Monoclonal Antibody (Cat# AAA74909)

No reviews yet
Full Name
CDH2 antibody
Gene Names
CDH2; CDHN; NCAD; CD325; CDw325
Applications
Western Blot, Immunohistochemistry, Flow Cytometry
Purity
CDH2 antibody was purified by affinity chromatography.
Pricing
product-image-AAA74910_IHC11.jpg IHC (Immunohistochemisry) (Immunohistochemical analysis of ACSBG1 protein in paraffin embedded Human kidney tissue using ACSBG1 antibody)

ACSBG1, Monoclonal Antibody (Cat# AAA74910)

No reviews yet
Full Name
ACSBG1 antibody
Gene Names
ACSBG1; BG; BG1; BGM; LPD; GR-LACS
Applications
Western Blot, Immunohistochemistry, Immunofluorescence
Purity
ACSBG1 antibody was purified by affinity chromatography.
Pricing

Hemoglobin, Monoclonal Antibody (Cat# AAA74669)

No reviews yet
Full Name
Hemoglobin antibody
Reactivity
Human
Pricing
product-image-AAA74678_IHC13.jpg IHC (Immunohiostchemistry) (Immunohistochemical analysis of FERMT2 protein in paraffin embedded Human pancreas tissue using FERMT2 antibody)

FERMT2, Monoclonal Antibody (Cat# AAA74678)

No reviews yet
Full Name
FERMT2 antibody
Applications
Western Blot, Immunohistochemistry
Purity
FERMT2 antibody was purified by affinity chromatography.
Pricing
product-image-AAA74685_FCM13.jpg FCM/FACS (Flow Cytometry)

DGKA, Monoclonal Antibody (Cat# AAA74685)

No reviews yet
Full Name
DGKA antibody
Gene Names
DGKA; DAGK; DAGK1; DGK-alpha
Applications
Flow Cytometry, Western Blot
Purity
DGKA antibody was purified by affinity chromatography.
Pricing
product-image-AAA74704_IF11.jpg IF (Immunofluorescence) (Immunofluorescent staining of COS7 cells transiently transfected with recombinant FAM40A protein using FAM40A antibody)

FAM40A, Monoclonal Antibody (Cat# AAA74704)

No reviews yet
Full Name
FAM40A antibody
Gene Names
STRIP1; FAM40A; FAR11A
Applications
Western Blot, Immunohistochemistry, Immunofluorescence, Flow Cytometry
Purity
FAM40A antibody was purified by affinity chromatography.
Pricing
product-image-AAA74714_IF11.jpg IF (Immunofluorescence) (Immunofluorescent staining of COS7 cells transiently transfected with recombinant BCAR1 protein using BCAR1 antibody)

BCAR1, Monoclonal Antibody (Cat# AAA74714)

No reviews yet
Full Name
BCAR1 antibody
Gene Names
BCAR1; CAS; CAS1; CASS1; CRKAS; P130Cas
Applications
Western Blot, Immunohistochemistry, Immunofluorescence, Flow Cytometry
Purity
BCAR1 antibody was purified by affinity chromatography.
Pricing
product-image-AAA74736_IF13.jpg IF (Immunofluorescence) (Immunofluorescent staining of COS7 cells transiently transfected with recombinant AK4 protein using AK4 antibody)

AK4, Monoclonal Antibody (Cat# AAA74736)

No reviews yet
Full Name
AK4 antibody
Gene Names
AK4; AK3; AK 4; AK3L1; AK3L2
Applications
Western Blot, Immunofluorescence, Flow Cytometry
Purity
AK4 antibody was purified by affinity chromatography.
Pricing
product-image-AAA74747_IF13.jpg IF (Immunofluorescence) (Immunofluorescent staining of COS7 cells transiently transfected with recombinant BIRC5 protein using BIRC5 antibody)

BIRC5, Monoclonal Antibody (Cat# AAA74747)

No reviews yet
Full Name
BIRC5 antibody
Gene Names
BIRC5; API4; EPR-1
Applications
Western Blot, Immunofluorescence, Flow Cytometry
Purity
BIRC5 antibody was purified by affinity chromatography.
Pricing
product-image-AAA74754_IF13.jpg IF (Immunofluorescence) (Immunofluorescent staining of COS7 cells transiently transfected with recombinant ADI1 protein using ADI1 antibody)

ADI1, Monoclonal Antibody (Cat# AAA74754)

No reviews yet
Full Name
ADI1 antibody
Gene Names
ADI1; ARD; APL1; SIPL; mtnD; Fe-ARD; MTCBP1; Ni-ARD; HMFT1638
Applications
Western Blot, Immunofluorescence, Flow Cytometry
Purity
ADI1 antibody was purified by affinity chromatography.
Pricing
product-image-AAA74761_IF11.jpg IF (Immunofluorescence) (Immunofluorescent staining of COS7 cells transiently transfected with recombinant ATP5B protein using ATP5B antibody)

ATP5B, Monoclonal Antibody (Cat# AAA74761)

No reviews yet
Full Name
ATP5B antibody
Gene Names
ATP5B; ATPMB; ATPSB; HEL-S-271
Applications
Western Blot, Immunohistochemistry, Immunofluorescence, Flow Cytometry
Purity
ATP5B antibody was purified by affinity chromatography.
Pricing
product-image-AAA74763_IF11.jpg IF (Immunofluorescence) (Immunofluorescent staining of endogenous CHEK2 protein in HT29 cells using CHEK2 antibody)

CHEK2, Monoclonal Antibody (Cat# AAA74763)

No reviews yet
Full Name
CHEK2 antibody
Gene Names
CHEK2; CDS1; CHK2; LFS2; RAD53; hCds1; HuCds1; PP1425
Applications
Western Blot, Immunohistochemistry, Immunofluorescence, Flow Cytometry
Purity
CHEK2 antibody was purified by affinity chromatography.
Pricing
product-image-AAA74777_IHC13.jpg IHC (Immunohiostchemistry) (Immunohistochemical analysis of FDFT1 protein in paraffin embedded Human Kidney tissue using FDFT1 antibody)

FDFT1, Monoclonal Antibody (Cat# AAA74777)

No reviews yet
Full Name
FDFT1 antibody
Gene Names
FDFT1; SS; SQS; DGPT; ERG9
Applications
Western Blot, Immunohistochemistry, Immunofluorescence
Purity
FDFT1 antibody was purified by affinity chromatography.
Pricing
product-image-AAA74822_IF13.jpg IF (Immunofluorescence) (Immunofluorescent staining of COS7 cells transiently transfected with recombinant ANAPC2 protein using ANAPC2 antibody)

ANAPC2, Monoclonal Antibody (Cat# AAA74822)

No reviews yet
Full Name
ANAPC2 antibody
Gene Names
ANAPC2; APC2
Applications
Western Blot, Immunofluorescence, Flow Cytometry
Purity
ANAPC2 antibody was purified by affinity chromatography.
Pricing
product-image-AAA74834_IHC13.jpg IHC (Immunohiostchemistry) (Immunohistochemical analysis of CLPP protein in paraffin embedded Human colon tissue using CLPP antibody)

CLPP, Monoclonal Antibody (Cat# AAA74834)

No reviews yet
Full Name
CLPP antibody
Gene Names
CLPP; DFNB81; PRLTS3
Applications
Western Blot, Immunohistochemistry, Flow Cytometry
Purity
CLPP antibody was purified by affinity chromatography.
Pricing

IGF2, Monoclonal Antibody (Cat# AAA74493)

No reviews yet
Full Name
IGF2 antibody
Gene Names
IGF2; IGF-II; PP9974; C11orf43
Reactivity
Human
Applications
Radioimmunoassay, Immunohistochemistry
Purity
IGF2 antibody was purified by affinity chromatography.
Pricing

Troponin T, Monoclonal Antibody (Cat# AAA74494)

No reviews yet
Full Name
Troponin T antibody (Cardiac)
Gene Names
Tnnt2; Ctt; CTTG; Tnnt3; RATCTTG
Reactivity
Human cardiac Troponin T 100%
Human skeletal Troponin T 0%
Applications
ELISA
Purity
Troponin T antibody (Cardiac) was purified by chromatography on protein A Sepharose.
Pricing

Secobarbital, Monoclonal Antibody (Cat# AAA74501)

No reviews yet
Full Name
Secobarbital antibody
Reactivity
Specific for Barbiturates
Applications
Lateral Flow
Pricing

Salmonella, Monoclonal Antibody (Cat# AAA74503)

No reviews yet
Full Name
Salmonella antibody (LPS core)
Applications
Immunofluorescence
Purity
> 90% pure
Pricing

PSA, Monoclonal Antibody (Cat# AAA74512)

No reviews yet
Full Name
PSA antibody
Reactivity
Human
Applications
Lateral Flow
Purity
PSA antibody was purified by chromatography on protein A Sepharose.
Pricing

Phenytoin, Monoclonal Antibody (Cat# AAA74522)

No reviews yet
Full Name
Phenytoin antibody
Reactivity
To be determined by end-user
Applications
ELISA
Pricing

Chlamydia trachomatis, Monoclonal Antibody (Cat# AAA74523)

No reviews yet
Full Name
Chlamydia trachomatis antibody
Reactivity
Chlamydia trachomatis
Applications
ELISA

Rotavirus, Monoclonal Antibody (Cat# AAA74552)

No reviews yet
Full Name
Rotavirus antibody
Reactivity
This antibody recognizes the p41 capsid protein of Monkey, Pig and Human Rotavirus isolates
Applications
Western Blot
Purity
> 90% pure
Pricing

What are Monoclonal Antibodies?


Monoclonal antibodies are specialized laboratory-produced proteins developed for binding to specific biological antigens or other molecular targets. Since they come from a single cell (or clone), they are especially consistent and accurate in the data they are involved in producing.


This type of antibody material has been shown to be a powerful tool in finding and subsequently destroying harmful cells in an organism, such as those found in cancers or various autoimmune diseases. This makes them excellent aids in medical testing and research, which is why they are so widely used.


AAA Biotech offers a comprehensive range of high-quality monoclonal antibodies that perform effectively in various laboratory tests, including (amongst others) ELISA, western blotting, immunohistochemistry, and flow cytometry. All of the products in our catalog are thoroughly quality tested to make sure that they are reliable and will consistently perform well in your research.


What Are The Uses of Monoclonal Antibodies


Monoclonal antibodies are used in many lab tests, including (amongst others) ELISA, western blotting, immunohistochemistry, and flow cytometry.


ELISA is a test that helps detect a specific substance/analyte in a sample. It uses antibodies (often monoclonal) bound to a solid surface (such as the well of a microplate) to “capture” the substance/analyte in the sample and immobilize it so that the detection antibody component can then bind to it and produce a signal, which can then be measured.


Western blotting identifies specific proteins in a sample. The sample is first separated on a gel, and then antibodies are applied that will typically bind to the target, which will all be localized to a single band in a lane.


Immunohistochemistry helps locate specific proteins in cells or tissue samples using antibodies.


Flow cytometry looks at and sorts cells. It uses antibodies that are conjugated to reporter molecules called “fluorophores”, which, under special lights, emit light themselves, which can then be measured by a detector instrument. For a deeper understanding of these techniques, explore our complete guide to monoclonal antibodies and their benefits.


How Monoclonal Antibodies Are Used as Medicine?


Please note that all of the products listed in AAA Biotech’s also known as AAA Bio or AAABio catalog are strictly for research-use only (RUO).


Monoclonal antibodies can also be used as therapeutic/medical treatments, particularly in the context of cancers. They are designed to find and bind to specific cells or proteins, helping the immune system recognize and attack the cancer. These treatments work in different ways, such as:


  • Radioimmunotherapy attaches a small amount of radioactive molecule to the antibody, so it delivers the radiation directly to the cancer cells that the antibody is specifically binding to.

  • Antibody-directed enzyme prodrug therapy uses antibodies that are specifically bound to special enzymes. These enzymes activate a harmless drug in the body and turn it into a cancer-killing drug only near the cancer cells—this helps avoid harming healthy cells.

  • Immunoliposomes are tiny “bubbles” filled with medicine/drug and coated with antibodies. They carry the drug straight to the cancer cells.


Why Buy Monoclonal Antibodies From Us?


At AAA Biotech, we provide high-performance monoclonal antibodies designed to support a wide range of research needs.


1. Validated for Versatile Applications


The antibodies in our catalog are extensively validated and compatible with multiple techniques, including (but not limited to) ELISA, flow cytometry (FC), immunocytochemistry (ICC), immunofluorescence (IF), immunohistochemistry (IHC), immunoprecipitation (IP), and western blotting (WB).


2. Wide Selection & Specialized Options


We offer antibodies for common and rare species, that are available in various conjugated forms, and also in recombinant formats. Essentially, there is almost anything one might need to meet their experimental model’s requirements.


3. High-Quality Proteins


Our proteins meet high purity standards—90% or more as confirmed by SDS-PAGE. Many are available with tags like His, Flag, GST, or MBP, and we also supply native and biologically active proteins for functional studies.


Frequently Asked Questions


1. Are your monoclonal antibodies validated for specific applications?


Yes, our antibodies are tested and validated for use in methods such as ELISA, western blot, IHC, flow cytometry, and more. Refer to specific product pages or datasheets for individual product information.


2. How do I choose the right monoclonal antibody for my application?


Review the product details directly for application validation, species reactivity, and target information. You may also contact our support team at any time for help.


3. How quickly can I receive my order?


Most orders are processed and shipped within 1–3 business days, depending on product availability and your shipping location.


Submit a Question

Please complete the form below and a representative will contact you as soon as possible.

Request more Information

Please complete the form below and a representative will contact you as soon as possible.

Request a Manual

Please complete the form below and a representative will contact you as soon as possible.

Request a Quote

Please complete the form below and a representative will contact you as soon as possible.