Mouse Cytokeratin, pan Monoclonal Antibody | anti-KRT antibody
Cytokeratin, pan (Epithelial Marker) Mouse Monoclonal Antibody
Gene Names
KRT77; K1B; KRT1B
Reactivity
Human, Monkey, Cow, Dog, Rabbit, Mouse, Rat, Chicken
Applications
Immunohistochemistry, Western Blot, Immunofluorescence, Flow Cytometry, Functional Assay
Synonyms
Cytokeratin, pan, Antibody; Cytokeratin, pan (Epithelial Marker) Mouse Monoclonal Antibody; K1B; KRT1B; Keratin, type II cytoskeletal 1b; K77; CK-1B; Keratin 1B; Keratin-77; Cytokeratin-1B; Type-II Keratin Kb39; anti-KRT antibody
Host
Mouse
Reactivity
Human, Monkey, Cow, Dog, Rabbit, Mouse, Rat, Chicken
Clonality
Monoclonal
Isotype
IgG, kappa
Clone Number
PAN-CK (Cocktail)
Specificity
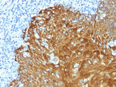
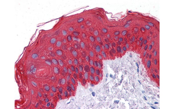
Twenty human keratins are resolved with two-dimensional gel electrophoresis into acidic (pI 6.0) subfamilies. This antibody cocktail recognizes acidic (Type I or LMW) and basic (Type II or HMW) cytokeratins, with 67kDa (CK1); 64kDa (CK3); 59kDa (CK4); 58kDa (CK5); 56kDa (CK6); 55kDa (CK7); 52kDa (CK8); 56.5kDa (CK10); 53kDa (CK13); 50kDa (CK14); 50kDa (CK15); 48kDa (CK16); 46kDa (CK17); 45kDa (CK18) and 40kDa (CK19). Many studies have shown the usefulness of keratins as markers in cancer research and tumor. KRT-PAN is a broad spectrum anti pan-cytokeratin antibody cocktail, which differentiates epithelial tumors from non-epithelial tumors e.g. squamous vs. adenocarcinoma of the lung, liver carcinoma, breast cancer, and esophageal cancer. It is useful in characterizing the source of various neoplasms and to study the distribution of cytokeratin containing cells in epithelia during normal development and during the development of epithelial neoplasms. This antibody stains cytokeratins present in normal and abnormal human tissues and shows high sensitivity in the recognition of epithelial cells and carcinomas.
Form/Format
200ug/ml of Ab purified from Bioreactor Concentrate by Protein A/G. Prepared in 10mM PBS with 0.05% BSA & 0.05% azide. Also available WITHOUT BSA & azide at 1.0mg/ml.
Sequence Length
578
Applicable Applications for anti-KRT antibody
IHC (Immunohistochemistry), WB (Western Blot), IF (Immunofluorescence), FCM/FACS (Flow Cytometry)
Cellular Localization
Cytoplasmic
Immunogen
Human epidermal keratin
Hu-Chromosome Location
17q21.2 (KRT77) & 12q13.13 (KRT76)
Positive Control
Skin, Adeno- or Squamous carcinomas
Preparation and Storage
Antibody with azide - store at 2 to 8 degree C. Antibody without azide - store at -20 to -80 degree C. Antibody is stable for 24 months. Non-hazardous. No MSDS required.
References
Woodock-Mitchell J et. al. Journal of Cell Biology 1982;95:580-8. Tseng SCG et. al. Cell 1982; 30361
NCBI and Uniprot Product Information
NCBI GI #
NCBI GeneID
NCBI Accession #
NCBI GenBank Nucleotide #
Molecular Weight
40-67kDa (Multiple)
NCBI Official Full Name
keratin, type II cytoskeletal 1b
NCBI Official Synonym Full Names
keratin 77
NCBI Official Symbol
KRT77
NCBI Official Synonym Symbols
K1B; KRT1B
NCBI Protein Information
keratin, type II cytoskeletal 1b
UniProt Protein Name
Keratin, type II cytoskeletal 1b
UniProt Gene Name
KRT77
UniProt Synonym Gene Names
KRT1B; CK-1B; K77
UniProt Entry Name
K2C1B_HUMAN
Customer Reviews
Loading reviews...
Share Your Experience
Similar Products
Product Notes
The KRT krt77 (Catalog #AAA62906) is an Antibody produced from Mouse and is intended for research purposes only. The product is available for immediate purchase. The Cytokeratin, pan (Epithelial Marker) Mouse Monoclonal Antibody reacts with Human, Monkey, Cow, Dog, Rabbit, Mouse, Rat, Chicken and may cross-react with other species as described in the data sheet. AAA Biotech's Cytokeratin, pan can be used in a range of immunoassay formats including, but not limited to, IHC (Immunohistochemistry), WB (Western Blot), IF (Immunofluorescence), FCM/FACS (Flow Cytometry). Researchers should empirically determine the suitability of the KRT krt77 for an application not listed in the data sheet. Researchers commonly develop new applications and it is an integral, important part of the investigative research process. It is sometimes possible for the material contained within the vial of "Cytokeratin, pan, Monoclonal Antibody" to become dispersed throughout the inside of the vial, particularly around the seal of said vial, during shipment and storage. We always suggest centrifuging these vials to consolidate all of the liquid away from the lid and to the bottom of the vial prior to opening. Please be advised that certain products may require dry ice for shipping and that, if this is the case, an additional dry ice fee may also be required.Precautions
All products in the AAA Biotech catalog are strictly for research-use only, and are absolutely not suitable for use in any sort of medical, therapeutic, prophylactic, in-vivo, or diagnostic capacity. By purchasing a product from AAA Biotech, you are explicitly certifying that said products will be properly tested and used in line with industry standard. AAA Biotech and its authorized distribution partners reserve the right to refuse to fulfill any order if we have any indication that a purchaser may be intending to use a product outside of our accepted criteria.Disclaimer
Though we do strive to guarantee the information represented in this datasheet, AAA Biotech cannot be held responsible for any oversights or imprecisions. AAA Biotech reserves the right to adjust any aspect of this datasheet at any time and without notice. It is the responsibility of the customer to inform AAA Biotech of any product performance issues observed or experienced within 30 days of receipt of said product. To see additional details on this or any of our other policies, please see our Terms & Conditions page.Item has been added to Shopping Cart
If you are ready to order, navigate to Shopping Cart and get ready to checkout.
