Rabbit anti-Human Her2/ERBB2 Monoclonal Antibody | anti-ERBB2 antibody
Recombinant Anti-Her2/ERBB2 Antibody, Rabbit Monoclonal
IF (Immunofluorescence)
(Immunofluorescence staining of Erbb2 in SKBR3 cells. Cells were fixed with 4% PFA,blocked with 10% serum, and incubated with rabbit anti-Human Erbb2 monoclonal antibody (dilution ratio 1:60) at 4 degree C overnight. Then cells were stained with the Alexa Fluor488-conjugated Goat Anti-rabbit IgG secondary antibody (green) and counterstained with DAPI (blue).Positive staining was localized to Cytoplasm and Cell membrane.)
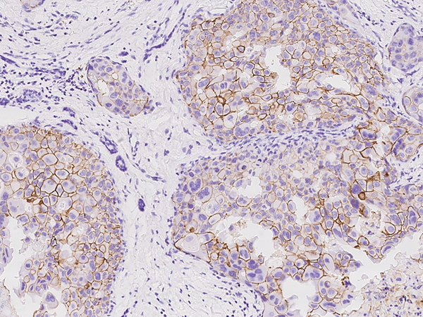
IHC (Immunohiostchemistry)
(Immunochemical staining of human ERBB2 in human breast carcinoma with rabbit monoclonal antibody at 1:200 dilution, formalin-fixed paraffin embedded sections.)
FCM/FACS (Flow Cytometry)
(Flow cytometric Analysis of anti-ErbB2 (10004-R002A, 0.5 uL/test) on MCF-7 cells. MCF-7 cells were detached using 1X trypsin, washed, then stained with purified rabbit anti-human ErbB2. Second step staining with FITC conjugated goat anti-rabbit IgG (H+L) polyclonal antibody.)
NCBI and Uniprot Product Information
Customer Reviews
Loading reviews...
Share Your Experience
Similar Products
Product Notes
The ERBB2 erbb2 (Catalog #AAA254126) is an Antibody produced from Rabbit and is intended for research purposes only. The product is available for immediate purchase. The Recombinant Anti-Her2/ERBB2 Antibody, Rabbit Monoclonal reacts with Human and may cross-react with other species as described in the data sheet. AAA Biotech's Her2/ERBB2 can be used in a range of immunoassay formats including, but not limited to, IF (Immunofluorescence), ICC (Immunocytochemistry), FCM/FACS (Flow Cytometry), IHC (Immunohistochemistry), ELISA. Researchers should empirically determine the suitability of the ERBB2 erbb2 for an application not listed in the data sheet. Researchers commonly develop new applications and it is an integral, important part of the investigative research process. It is sometimes possible for the material contained within the vial of "Her2/ERBB2, Monoclonal Antibody" to become dispersed throughout the inside of the vial, particularly around the seal of said vial, during shipment and storage. We always suggest centrifuging these vials to consolidate all of the liquid away from the lid and to the bottom of the vial prior to opening. Please be advised that certain products may require dry ice for shipping and that, if this is the case, an additional dry ice fee may also be required.Precautions
All products in the AAA Biotech catalog are strictly for research-use only, and are absolutely not suitable for use in any sort of medical, therapeutic, prophylactic, in-vivo, or diagnostic capacity. By purchasing a product from AAA Biotech, you are explicitly certifying that said products will be properly tested and used in line with industry standard. AAA Biotech and its authorized distribution partners reserve the right to refuse to fulfill any order if we have any indication that a purchaser may be intending to use a product outside of our accepted criteria.Disclaimer
Though we do strive to guarantee the information represented in this datasheet, AAA Biotech cannot be held responsible for any oversights or imprecisions. AAA Biotech reserves the right to adjust any aspect of this datasheet at any time and without notice. It is the responsibility of the customer to inform AAA Biotech of any product performance issues observed or experienced within 30 days of receipt of said product. To see additional details on this or any of our other policies, please see our Terms & Conditions page.Item has been added to Shopping Cart
If you are ready to order, navigate to Shopping Cart and get ready to checkout.
