Loading...

Skip to main content
Call us at +1-800-604-9114 for more information about our products or contact us online Need help? +1-800-604-9114 or contact us

Filters


Clonality

Type

Reactivity

Gene Name

Isotype

Host

Application

Clone

Phospho Antibodies

Phospho-specific antibodies’ typical purpose is to enable researchers to detect changes in proteins. They will exclusively bind to the amino acid sequence on a protein that has been phosphorylated (which is both a physical & chemical change) and do not bind to the same amino acid sequence on said protein if it lacks said phosphorylation. This aids in being able to clearly see and understand the data produced from this particular protein modification.


Viewing 1950-2000 of 5298 product results


product-image-AAA316226_IHC13.jpg IHC (Immunohiostchemistry) (Immunohistochemistry analysis of paraffin-embedded human brain, using Survivin (Phospho-Thr117) Antibody. The picture on the right is blocked with the phospho peptide.)

Survivin, Polyclonal Antibody (Cat# AAA316226)

No reviews yet
Full Name
Survivin (Phospho-Thr117) Antibody
Gene Names
BIRC5; API4; EPR-1
Reactivity
Human, Mouse, Rat
Applications
Immunofluorescence, Immunohistochemistry
Purity
Purified from rabbit antiserum by affinity-chromatography using phospho peptide. The antibody against non-phospho peptide was removed by chromatography using corresponding non-phospho peptide.
Pricing
product-image-AAA316236_WB13.jpg WB (Western Blot) (Western blot analysis of lysates from K562 cells treated with etoposide 25uM 24h, using VEGFR1 (Phospho-Tyr1333) Antibody. The lane on the right is blocked with the phospho peptide.)

VEGFR1, Polyclonal Antibody (Cat# AAA316236)

No reviews yet
Full Name
VEGFR1 (Phospho-Tyr1333) Antibody
Gene Names
FLT1; FLT; FLT-1; VEGFR1; VEGFR-1
Reactivity
Human, Mouse, Rat
Applications
Immunohistochemistry, Western Blot
Purity
Purified from rabbit antiserum by affinity-chromatography using phospho peptide. The antibody against non-phospho peptide was removed by chromatography using corresponding non-phospho peptide.
Pricing
product-image-AAA316239_WB13.jpg WB (Western Blot) (Western blot analysis of lysates from HepG2 cells treated with Anisomycin 25ug/ml 30', using XIAP (Phospho-Ser87) Antibody. The lane on the right is blocked with the phospho peptide.)

XIAP, Polyclonal Antibody (Cat# AAA316239)

No reviews yet
Full Name
XIAP (Phospho-Ser87) Antibody
Gene Names
XIAP; API3; ILP1; MIHA; XLP2; BIRC4; IAP-3; hIAP3; hIAP-3
Reactivity
Human, Mouse, Rat
Applications
Immunohistochemistry, Western Blot
Purity
Purified from rabbit antiserum by affinity-chromatography using phospho peptide. The antibody against non-phospho peptide was removed by chromatography using corresponding non-phospho peptide.
Pricing
product-image-AAA316242_WB13.jpg WB (Western Blot) (Western blot analysis of lysates from COS7 cells treated with UV 15', using Akt (Phospho-Tyr474) Antibody. The lane on the right is blocked with the phospho peptide.)

Akt, Polyclonal Antibody (Cat# AAA316242)

No reviews yet
Full Name
Akt (Phospho-Tyr474) Antibody
Gene Names
AKT1; AKT; PKB; RAC; CWS6; PRKBA; PKB-ALPHA; RAC-ALPHA
Reactivity
Human, Mouse, Rat
Applications
Immunohistochemistry, Western Blot
Purity
Purified from rabbit antiserum by affinity-chromatography using phospho peptide. The antibody against non-phospho peptide was removed by chromatography using corresponding non-phospho peptide.
Pricing
product-image-AAA316246_WB11.jpg WB (Western Blot) (Western blot analysis of lysates from HepG2 cells, using ALK (Phospho-Tyr1604) Antibody. The lane on the right is blocked with the phospho peptide.)

ALK, Polyclonal Antibody (Cat# AAA316246)

No reviews yet
Full Name
ALK (Phospho-Tyr1604) Antibody
Gene Names
ALK; CD246; NBLST3
Reactivity
Human
Applications
Immunofluorescence, Immunohistochemistry, Western Blot
Purity
Purified from rabbit antiserum by affinity-chromatography using phospho peptide. The antibody against non-phospho peptide was removed by chromatography using corresponding non-phospho peptide.
Pricing
product-image-AAA316249_WB13.jpg WB (Western Blot) (Western blot analysis of lysates from K562 cells treated with Insulin 0.01U/ml 15, using c-Abl (Phospho-Tyr245) Antibody. The lane on the right is blocked with the phospho peptide.)

c-Abl, Polyclonal Antibody (Cat# AAA316249)

No reviews yet
Full Name
c-Abl (Phospho-Tyr245) Antibody
Gene Names
ABL1; ABL; JTK7; p150; c-ABL; v-abl; CHDSKM; c-ABL1; bcr/abl
Reactivity
Human, Mouse, Rat
Applications
Immunofluorescence, Western Blot
Purity
Purified from rabbit antiserum by affinity-chromatography using phospho peptide. The antibody against non-phospho peptide was removed by chromatography using corresponding non-phospho peptide.
Pricing
product-image-AAA316258_WB13.jpg WB (Western Blot) (Western blot analysis of lysates from COS7 cells treated with UV 15', using MAPKAPK-2 (Phospho-Thr222) Antibody. The lane on the right is blocked with the phospho peptide.)

MAPKAPK-2, Polyclonal Antibody (Cat# AAA316258)

No reviews yet
Full Name
MAPKAPK-2 (Phospho-Thr222) Antibody
Gene Names
MAPKAPK2; MK2; MK-2; MAPKAP-K2
Reactivity
Human, Mouse, Rat
Applications
Immunohistochemistry, Western Blot
Purity
Purified from rabbit antiserum by affinity-chromatography using phospho peptide. The antibody against non-phospho peptide was removed by chromatography using corresponding non-phospho peptide.
Pricing
product-image-AAA316259_WB13.jpg WB (Western Blot) (Western blot analysis of lysates from HUVEC cells treated with PMA 125ng/ml 30', using M-CSF Receptor (Phospho-Tyr723) Antibody. The lane on the right is blocked with the phospho peptide.)

M-CSF Receptor, Polyclonal Antibody (Cat# AAA316259)

No reviews yet
Full Name
M-CSF Receptor (Phospho-Tyr723) Antibody
Gene Names
CSF1R; FMS; CSFR; FIM2; HDLS; C-FMS; CD115; CSF-1R; M-CSF-R
Reactivity
Human, Mouse, Rat
Applications
Immunohistochemistry, Western Blot
Purity
Purified from rabbit antiserum by affinity-chromatography using phospho peptide. The antibody against non-phospho peptide was removed by chromatography using corresponding non-phospho peptide.
Pricing
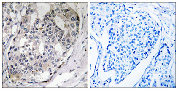
product-image-AAA316261_IHC13.jpg IHC (Immunohiostchemistry) (Immunohistochemistry analysis of paraffin-embedded human breast carcinoma, using MSK1 (Phospho-Ser360) Antibody. The picture on the right is blocked with the phospho peptide.)

MSK1, Polyclonal Antibody (Cat# AAA316261)

No reviews yet
Full Name
MSK1 (Phospho-Ser360) Antibody
Gene Names
RPS6KA5; MSK1; RLPK; MSPK1
Reactivity
Human, Mouse
Applications
Immunofluorescence, Immunohistochemistry
Purity
Purified from rabbit antiserum by affinity-chromatography using phospho peptide. The antibody against non-phospho peptide was removed by chromatography using corresponding non-phospho peptide.
Pricing
product-image-AAA316262_WB13.jpg WB (Western Blot) (Western blot analysis of lysates from RAW264.7 cells treated with UV 5', using MSK1 (Phospho-Thr581) Antibody. The lane on the right is blocked with the phospho peptide.)

MSK1, Polyclonal Antibody (Cat# AAA316262)

No reviews yet
Full Name
MSK1 (Phospho-Thr581) Antibody
Gene Names
RPS6KA5; MSK1; RLPK; MSPK1
Reactivity
Human, Mouse
Applications
Immunofluorescence, Western Blot
Purity
Purified from rabbit antiserum by affinity-chromatography using phospho peptide. The antibody against non-phospho peptide was removed by chromatography using corresponding non-phospho peptide.
Pricing
product-image-AAA316265_WB11.jpg WB (Western Blot) (Western blot analysis of lysates from LOVO cells treated with H2O2 100uM 30', using Myosin regulatory light chain 2 (Phospho-Ser18) Antibody. The lane on the right is blocked with the phospho peptide.)

Myosin regulatory light chain 2, Polyclonal Antibody (Cat# AAA316265)

No reviews yet
Full Name
Myosin regulatory light chain 2 (Phospho-Ser18) Antibody
Reactivity
Human, Mouse, Rat
Applications
Immunofluorescence, Immunohistochemistry, Western Blot
Purity
Purified from rabbit antiserum by affinity-chromatography using phospho peptide. The antibody against non-phospho peptide was removed by chromatography using corresponding non-phospho peptide.
Pricing
product-image-AAA316266_IHC13.jpg IHC (Immunohiostchemistry) (Immunohistochemistry analysis of paraffin-embedded human brain, using NMDAR1 (Phospho-Ser890) Antibody. The picture on the right is blocked with the phospho peptide.)

NMDAR1, Polyclonal Antibody (Cat# AAA316266)

No reviews yet
Full Name
NMDAR1 (Phospho-Ser890) Antibody
Gene Names
GRIN1; NR1; MRD8; GluN1; NMDA1; NDHMSD; NDHMSR; NMD-R1; NMDAR1
Reactivity
Human, Mouse, Rat
Applications
Immunofluorescence, Immunohistochemistry
Purity
Purified from rabbit antiserum by affinity-chromatography using phospho peptide. The antibody against non-phospho peptide was removed by chromatography using corresponding non-phospho peptide.
Pricing
product-image-AAA316269_WB13.jpg WB (Western Blot) (Western blot analysis of lysates from HepG2 cells treated with EGF 200ng/ml 30', using p130 Cas (Phospho-Tyr165) Antibody. The lane on the right is blocked with the phospho peptide.)

p130 Cas, Polyclonal Antibody (Cat# AAA316269)

No reviews yet
Full Name
p130 Cas (Phospho-Tyr165) Antibody
Gene Names
BCAR1; CAS; CAS1; CASS1; CRKAS; P130Cas
Reactivity
Human, Mouse, Rat
Applications
Immunohistochemistry, Western Blot
Purity
Purified from rabbit antiserum by affinity-chromatography using phospho peptide. The antibody against non-phospho peptide was removed by chromatography using corresponding non-phospho peptide.
Pricing
product-image-AAA316272_WB13.jpg WB (Western Blot) (Western blot analysis of lysates from 293 cells treated with Sorbitol 0.4M 30', using PAK2 (Phospho-Ser20) Antibody. The lane on the right is blocked with the phospho peptide.)

PAK2, Polyclonal Antibody (Cat# AAA316272)

No reviews yet
Full Name
PAK2 (Phospho-Ser20) Antibody
Gene Names
PAK2; PAK65; PAKgamma
Reactivity
Human, Mouse, Rat
Applications
Immunohistochemistry, Western Blot
Purity
Purified from rabbit antiserum by affinity-chromatography using phospho peptide. The antibody against non-phospho peptide was removed by chromatography using corresponding non-phospho peptide.
Pricing
product-image-AAA316273_WB13.jpg WB (Western Blot) (Western blot analysis of lysates from COS7 cells treated with TNF 20ng/ml 5', using PEA-15 (Phospho-Ser104) Antibody. The lane on the right is blocked with the phospho peptide.)

PEA-15, Polyclonal Antibody (Cat# AAA316273)

No reviews yet
Full Name
PEA-15 (Phospho-Ser104) Antibody
Gene Names
PEA15; PED; MAT1; HMAT1; MAT1H; PEA-15; HUMMAT1H; PED-PEA15; PED/PEA15
Reactivity
Human, Mouse, Rat
Applications
Immunohistochemistry, Western Blot
Purity
Purified from rabbit antiserum by affinity-chromatography using phospho peptide. The antibody against non-phospho peptide was removed by chromatography using corresponding non-phospho peptide.
Pricing
product-image-AAA316274_WB13.jpg WB (Western Blot) (Western blot analysis of lysates from COS7 cells treated with insulin 0.01U/ml 15', using Pin1 (Phospho-Ser16) Antibody. The lane on the right is blocked with the phospho peptide.)

Pin1, Polyclonal Antibody (Cat# AAA316274)

No reviews yet
Full Name
Pin1 (Phospho-Ser16) Antibody
Gene Names
PIN1; DOD; UBL5
Reactivity
Human, Mouse, Rat
Applications
Immunohistochemistry, Western Blot
Purity
Purified from rabbit antiserum by affinity-chromatography using phospho peptide. The antibody against non-phospho peptide was removed by chromatography using corresponding non-phospho peptide.
Pricing
product-image-AAA316278_WB13.jpg WB (Western Blot) (Western blot analysis of lysates from Jurkat cells, using PKC thet (Phospho-Thr538) Antibody. The lane on the right is blocked with the phospho peptide.)

PKC thet, Polyclonal Antibody (Cat# AAA316278)

No reviews yet
Full Name
PKC thet (Phospho-Thr538) Antibody
Reactivity
Human, Mouse, Rat
Applications
Immunohistochemistry, Western Blot
Purity
Purified from rabbit antiserum by affinity-chromatography using phospho peptide. The antibody against non-phospho peptide was removed by chromatography using corresponding non-phospho peptide.
Pricing
product-image-AAA316282_WB15.jpg WB (Western Blot) (Western blot analysis of lysates from 293 cells treated with UV 15', using SGK (Phospho-Ser78) Antibody. The lane on the right is blocked with the phospho peptide.)

SGK, Polyclonal Antibody (Cat# AAA316282)

No reviews yet
Full Name
SGK (Phospho-Ser78) Antibody
Gene Names
SGK1; SGK
Reactivity
Human, Mouse, Rat
Applications
Western Blot
Purity
Purified from rabbit antiserum by affinity-chromatography using phospho peptide. The antibody against non-phospho peptide was removed by chromatography using corresponding non-phospho peptide.
Pricing
product-image-AAA316286_WB13.jpg WB (Western Blot) (Western blot analysis of lysates from COS7 cells treated with insulin 0.01U/ML 15', using 53BP1 (Phospho-Ser6) Antibody. The lane on the right is blocked with the phospho peptide.)

53BP1, Polyclonal Antibody (Cat# AAA316286)

No reviews yet
Full Name
53BP1 (Phospho-Ser6) Antibody
Gene Names
TP53BP1; TP53; p202; 53BP1; TDRD30; p53BP1
Reactivity
Human, Mouse, Rat
Applications
Immunohistochemistry, Western Blot
Purity
Purified from rabbit antiserum by affinity-chromatography using phospho peptide. The antibody against non-phospho peptide was removed by chromatography using corresponding non-phospho peptide.
Pricing
product-image-AAA316289_WB13.jpg WB (Western Blot) (Western blot analysis of lysates from HepG2 cells, using AhR (Phospho-Ser36) Antibody. The lane on the right is blocked with the phospho peptide.)

AhR, Polyclonal Antibody (Cat# AAA316289)

No reviews yet
Full Name
AhR (Phospho-Ser36) Antibody
Gene Names
AHR; bHLHe76
Reactivity
Human, Mouse, Rat
Applications
Immunohistochemistry, Western Blot
Purity
Purified from rabbit antiserum by affinity-chromatography using phospho peptide. The antibody against non-phospho peptide was removed by chromatography using corresponding non-phospho peptide.
Pricing
product-image-AAA316122_WB13.jpg WB (Western Blot) (Western blot analysis of lysates from A549 cells, using SYK (Phospho-Tyr525) Antibody. The lane on the right is blocked with the phospho peptide.)

SYK, Polyclonal Antibody (Cat# AAA316122)

No reviews yet
Full Name
SYK (Phospho-Tyr525) Antibody
Gene Names
SYK; p72-Syk
Reactivity
Human, Mouse, Rat
Applications
Immunohistochemistry, Western Blot
Purity
Purified from rabbit antiserum by affinity-chromatography using phospho peptide. The antibody against non-phospho peptide was removed by chromatography using corresponding non-phospho peptide.
Pricing
product-image-AAA316125_WB13.jpg WB (Western Blot) (Western blot analysis of lysates from Jurkat cells treated with EGF 200ng/ml 30', using 4E-BP1 (Phospho-Thr69) Antibody. The lane on the right is blocked with the phospho peptide.)

4E-BP1, Polyclonal Antibody (Cat# AAA316125)

No reviews yet
Full Name
4E-BP1 (Phospho-Thr69) Antibody
Gene Names
Eif4ebp1; 4e-bp1; PHAS-I; AA959816
Reactivity
Mouse, Rat
Applications
Immunohistochemistry, Western Blot
Purity
Purified from rabbit antiserum by affinity-chromatography using phospho peptide. The antibody against non-phospho peptide was removed by chromatography using corresponding non-phospho peptide.
Pricing
product-image-AAA316128_WB13.jpg WB (Western Blot) (Western blot analysis of lysates from NIH/3T3 cells treated with PDGF 50ng/ml 20', using Akt1 (Phospho-Thr450) Antibody. The lane on the right is blocked with the phospho peptide.)

Akt1, Polyclonal Antibody (Cat# AAA316128)

No reviews yet
Full Name
Akt1 (Phospho-Thr450) Antibody
Gene Names
AKT1; AKT; PKB; RAC; CWS6; PRKBA; PKB-ALPHA; RAC-ALPHA
Reactivity
Human, Mouse, Rat
Applications
Immunohistochemistry, Western Blot
Purity
Purified from rabbit antiserum by affinity-chromatography using phospho peptide. The antibody against non-phospho peptide was removed by chromatography using corresponding non-phospho peptide.
Pricing
product-image-AAA316130_WB13.jpg WB (Western Blot) (Western blot analysis of lysates from Jurkat cells, using AML1 (Phospho-Ser303) Antibody. The lane on the right is blocked with the phospho peptide.)

AML1, Polyclonal Antibody (Cat# AAA316130)

No reviews yet
Full Name
AML1 (Phospho-Ser303) Antibody
Gene Names
RUNX1; AML1; CBFA2; EVI-1; AMLCR1; PEBP2aB; CBF2alpha; AML1-EVI-1; PEBP2alpha
Reactivity
Human, Mouse, Rat
Applications
Immunohistochemistry, Western Blot
Purity
Purified from rabbit antiserum by affinity-chromatography using phospho peptide. The antibody against non-phospho peptide was removed by chromatography using corresponding non-phospho peptide.
Pricing
product-image-AAA316131_WB13.jpg WB (Western Blot) (Western blot analysis of lysates from COLO205 cells and HUVEC cells, using AMPK beta1 (Phospho-Ser181) Antibody. The lane on the right is blocked with the phospho peptide.)

AMPK beta1, Polyclonal Antibody (Cat# AAA316131)

No reviews yet
Full Name
AMPK beta1 (Phospho-Ser181) Antibody
Gene Names
PRKAB1; AMPK; HAMPKb
Reactivity
Human, Mouse, Rat
Applications
Immunohistochemistry, Western Blot
Purity
Purified from rabbit antiserum by affinity-chromatography using phospho peptide. The antibody against non-phospho peptide was removed by chromatography using corresponding non-phospho peptide.
Pricing
product-image-AAA316141_WB13.jpg WB (Western Blot) (Western blot analysis of lysates from K562 cells treated with forskolin 40nM 30', using Fos (Phospho-Ser362) Antibody. The lane on the right is blocked with the phospho peptide.)

Fos, Polyclonal Antibody (Cat# AAA316141)

No reviews yet
Full Name
Fos (Phospho-Ser362) Antibody
Gene Names
FOS; p55; AP-1; C-FOS
Reactivity
Human, Mouse, Rat
Applications
Immunohistochemistry, Western Blot
Purity
Purified from rabbit antiserum by affinity-chromatography using phospho peptide. The antibody against non-phospho peptide was removed by chromatography using corresponding non-phospho peptide.
Pricing
product-image-AAA316143_WB13.jpg WB (Western Blot) (Western blot analysis of lysates from NIH/3T3 cells treated with PMA 125ng/ml 30', using Glycogen Synthase (Phospho-Ser645) Antibody. The lane on the right is blocked with the phospho peptide.)

Glycogen Synthase, Polyclonal Antibody (Cat# AAA316143)

No reviews yet
Full Name
Glycogen Synthase (Phospho-Ser645) Antibody
Gene Names
GYS1; GSY; GYS
Reactivity
Human, Mouse, Rat
Applications
Immunohistochemistry, Western Blot
Purity
Purified from rabbit antiserum by affinity-chromatography using phospho peptide. The antibody against non-phospho peptide was removed by chromatography using corresponding non-phospho peptide.
Pricing
product-image-AAA316144_WB13.jpg WB (Western Blot) (Western blot analysis of lysates from Jurkat cells treated with EGF 200ng/ml 15', using GR (Phospho-Ser226) Antibody. The lane on the right is blocked with the phospho peptide.)

GR, Polyclonal Antibody (Cat# AAA316144)

No reviews yet
Full Name
GR (Phospho-Ser226) Antibody
Gene Names
NR3C1; GR; GCR; GRL; GCCR; GCRST
Reactivity
Human, Mouse, Rat
Applications
Immunohistochemistry, Western Blot
Purity
Purified from rabbit antiserum by affinity-chromatography using phospho peptide. The antibody against non-phospho peptide was removed by chromatography using corresponding non-phospho peptide.
Pricing
product-image-AAA316148_WB13.jpg WB (Western Blot) (Western blot analysis of lysates from HepG2 cells treated with TNF 20ng/ml 5', using IKK-alpha/beta (Phospho-Ser180/181) Antibody. The lane on the right is blocked with the phospho peptide.)

IKK-alpha/beta, Polyclonal Antibody (Cat# AAA316148)

No reviews yet
Full Name
IKK-alpha/beta (Phospho-Ser180/181) Antibody
Gene Names
CHUK; IKK1; IKKA; IKBKA; TCF16; NFKBIKA; IKK-alpha
Reactivity
Human, Mouse, Rat
Applications
Immunohistochemistry, Western Blot
Purity
Purified from rabbit antiserum by affinity-chromatography using phospho peptide. The antibody against non-phospho peptide was removed by chromatography using corresponding non-phospho peptide.
Pricing
product-image-AAA316156_WB13.jpg WB (Western Blot) (Western blot analysis of lysates from HeLa cells, using Ku70 (Phospho-Ser5) Antibody. The lane on the right is blocked with the phospho peptide.)

Ku70, Polyclonal Antibody (Cat# AAA316156)

No reviews yet
Full Name
Ku70 (Phospho-Ser5) Antibody
Gene Names
XRCC6; ML8; KU70; TLAA; CTC75; CTCBF; G22P1
Reactivity
Human, Mouse
Applications
Immunohistochemistry, Western Blot
Purity
Purified from rabbit antiserum by affinity-chromatography using phospho peptide. The antibody against non-phospho peptide was removed by chromatography using corresponding non-phospho peptide.
Pricing
product-image-AAA316158_WB13.jpg WB (Western Blot) (Western blot analysis of lysates from COS7 cells treated with Etoposide 25uM 60', using Arrestin 1 (Phospho-Ser412) Antibody. The lane on the right is blocked with the phospho peptide.)

Arrestin 1, Polyclonal Antibody (Cat# AAA316158)

No reviews yet
Full Name
Arrestin 1 (Phospho-Ser412) Antibody
Gene Names
ARRB1; ARB1; ARR1
Reactivity
Human
Applications
Immunohistochemistry, Western Blot
Purity
Purified from rabbit antiserum by affinity-chromatography using phospho peptide. The antibody against non-phospho peptide was removed by chromatography using corresponding non-phospho peptide.
Pricing
product-image-AAA316160_IHC13.jpg IHC (Immunohiostchemistry) (Immunohistochemistry analysis of paraffin-embedded human lung carcinoma, using AS160 (Phospho-Thr642) Antibody. The picture on the right is blocked with the phospho peptide.)

AS160, Polyclonal Antibody (Cat# AAA316160)

No reviews yet
Full Name
AS160 (Phospho-Thr642) Antibody
Gene Names
TBC1D4; AS160; NIDDM5
Reactivity
Human, Mouse
Applications
Immunofluorescence, Immunohistochemistry
Purity
Purified from rabbit antiserum by affinity-chromatography using phospho peptide. The antibody against non-phospho peptide was removed by chromatography using corresponding non-phospho peptide.
Pricing
product-image-AAA316162_WB13.jpg WB (Western Blot) (Western blot analysis of lysates from 293 cells treated with serum 20% 15', using Aurora Kinase (Phospho-Thr288) Antibody. The lane on the right is blocked with the phospho peptide.)

Aurora Kinase, Polyclonal Antibody (Cat# AAA316162)

No reviews yet
Full Name
Aurora Kinase (Phospho-Thr288) Antibody
Gene Names
AURKA; AIK; ARK1; AURA; BTAK; STK6; STK7; STK15; PPP1R47
Reactivity
Human, Mouse, Rat
Applications
Immunohistochemistry, Western Blot
Purity
Purified from rabbit antiserum by affinity-chromatography using phospho peptide. The antibody against non-phospho peptide was removed by chromatography using corresponding non-phospho peptide.
Pricing
product-image-AAA316165_WB11.jpg WB (Western Blot) (Western blot analysis of lysates from HeLa cells treated with EGF 200ng/ml 30', using Calnexin (Phospho-Ser583) Antibody. The lane on the right is blocked with the phospho peptide.)

Calnexin, Polyclonal Antibody (Cat# AAA316165)

No reviews yet
Full Name
Calnexin (Phospho-Ser583) Antibody
Gene Names
CANX; CNX; P90; IP90
Reactivity
Human, Mouse, Rat
Applications
Immunofluorescence, Immunohistochemistry, Western Blot
Purity
Purified from rabbit antiserum by affinity-chromatography using phospho peptide. The antibody against non-phospho peptide was removed by chromatography using corresponding non-phospho peptide.
Pricing
product-image-AAA316177_WB13.jpg WB (Western Blot) (Western blot analysis of lysates from 293 cells treated with Serum 20% 15', using FOXO1/3/4-pan (Phospho-Thr24/32) Antibody. The lane on the right is blocked with the phospho peptide.)

FOXO1/3/4-pan, Polyclonal Antibody (Cat# AAA316177)

No reviews yet
Full Name
FOXO1/3/4-pan (Phospho-Thr24/32) Antibody
Gene Names
FOXO1; FKH1; FKHR; FOXO1A
Reactivity
Human, Mouse, Rat
Applications
Immunohistochemistry, Western Blot
Purity
Purified from rabbit antiserum by affinity-chromatography using phospho peptide. The antibody against non-phospho peptide was removed by chromatography using corresponding non-phospho peptide.
Pricing
product-image-AAA316178_WB13.jpg WB (Western Blot) (Western blot analysis of lysates from HeLa cells treated with Serum 20% 15', using FOXO1A (Phospho-Ser329) Antibody. The lane on the right is blocked with the phospho peptide.)

FOXO1A, Polyclonal Antibody (Cat# AAA316178)

No reviews yet
Full Name
FOXO1A (Phospho-Ser329) Antibody
Gene Names
FOXO1; FKH1; FKHR; FOXO1A
Reactivity
Human, Mouse, Rat
Applications
Immunohistochemistry, Western Blot
Purity
Purified from rabbit antiserum by affinity-chromatography using phospho peptide. The antibody against non-phospho peptide was removed by chromatography using corresponding non-phospho peptide.
Pricing
product-image-AAA316183_WB13.jpg WB (Western Blot) (Western blot analysis of lysates from 293 cells treated with Heat shock, using IR (Phospho-Tyr1355) Antibody. The lane on the right is blocked with the phospho peptide.)

IR, Polyclonal Antibody (Cat# AAA316183)

No reviews yet
Full Name
IR (Phospho-Tyr1355) Antibody
Gene Names
INSR; HHF5; CD220
Reactivity
Human
Applications
Immunohistochemistry, Western Blot
Purity
Purified from rabbit antiserum by affinity-chromatography using phospho peptide. The antibody against non-phospho peptide was removed by chromatography using corresponding non-phospho peptide.
Pricing
product-image-AAA316185_WB11.jpg WB (Western Blot) (Western blot analysis of lysates from HT29 cells treated with INSULIN 0.01U/ML 15', using IRF-3 (Phospho-Ser385) Antibody. The lane on the right is blocked with the phospho peptide.)

IRF-3, Polyclonal Antibody (Cat# AAA316185)

No reviews yet
Full Name
IRF-3 (Phospho-Ser385) Antibody
Gene Names
IRF3; IIAE7
Reactivity
Human
Applications
Immunofluorescence, Immunohistochemistry, Western Blot
Purity
Purified from rabbit antiserum by affinity-chromatography using phospho peptide. The antibody against non-phospho peptide was removed by chromatography using corresponding non-phospho peptide.
Pricing
product-image-AAA316196_WB13.jpg WB (Western Blot) (Western blot analysis of lysates from NIH/3T3 cells, using MYPT1 (Phospho-Thr853) Antibody. The lane on the right is blocked with the phospho peptide.)

MYPT1, Polyclonal Antibody (Cat# AAA316196)

No reviews yet
Full Name
MYPT1 (Phospho-Thr853) Antibody
Gene Names
PPP1R12A; MBS; M130; MYPT1
Reactivity
Human, Mouse, Rat
Applications
Immunohistochemistry, Western Blot
Purity
Purified from rabbit antiserum by affinity-chromatography using phospho peptide. The antibody against non-phospho peptide was removed by chromatography using corresponding non-phospho peptide.
Pricing
product-image-AAA316197_WB13.jpg WB (Western Blot) (Western blot analysis of lysates from HeLa cells treated with Ca+ 40nM 30', using NFAT4 (Phospho-Ser165) Antibody. The lane on the right is blocked with the phospho peptide.)

NFAT4, Polyclonal Antibody (Cat# AAA316197)

No reviews yet
Full Name
NFAT4 (Phospho-Ser165) Antibody
Gene Names
NFATC3; NFAT4; NFATX
Reactivity
Human, Mouse
Applications
Immunofluorescence, Western Blot
Purity
Purified from rabbit antiserum by affinity-chromatography using phospho peptide. The antibody against non-phospho peptide was removed by chromatography using corresponding non-phospho peptide.
Pricing
product-image-AAA316202_WB13.jpg WB (Western Blot) (Western blot analysis of lysates from COLO205 cells treated with serum 20% 15', using p70 S6 Kinase (Phospho-Ser371) Antibody. The lane on the right is blocked with the phospho peptide.)

p70 S6 Kinase, Polyclonal Antibody (Cat# AAA316202)

No reviews yet
Full Name
p70 S6 Kinase (Phospho-Ser371) Antibody
Gene Names
RPS6KB1; S6K; PS6K; S6K1; STK14A; p70-S6K; p70 S6KA; p70-alpha; S6K-beta-1; p70(S6K)-alpha
Reactivity
Human, Mouse, Rat
Applications
Immunohistochemistry, Western Blot
Purity
Purified from rabbit antiserum by affinity-chromatography using phospho peptide. The antibody against non-phospho peptide was removed by chromatography using corresponding non-phospho peptide.
Pricing
product-image-AAA316204_WB11.jpg WB (Western Blot) (Western blot analysis of lysates from HT29 cells treated with serum 20% 15', using p70 S6 Kinase (Phospho-Ser418) Antibody. The lane on the right is blocked with the phospho peptide.)

p70 S6 Kinase, Polyclonal Antibody (Cat# AAA316204)

No reviews yet
Full Name
p70 S6 Kinase (Phospho-Ser418) Antibody
Gene Names
RPS6KB1; S6K; PS6K; S6K1; STK14A; p70-S6K; p70 S6KA; p70-alpha; S6K-beta-1; p70(S6K)-alpha
Reactivity
Human, Mouse, Rat
Applications
Immunofluorescence, Immunohistochemistry, Western Blot
Purity
Purified from rabbit antiserum by affinity-chromatography using phospho peptide. The antibody against non-phospho peptide was removed by chromatography using corresponding non-phospho peptide.
Pricing
product-image-AAA316207_WB13.jpg WB (Western Blot) (Western blot analysis of lysates from 293 cells treated with etoposide 25uM 1h, using PAK1 (Phospho-Thr212) Antibody. The lane on the right is blocked with the phospho peptide.)

PAK1, Polyclonal Antibody (Cat# AAA316207)

No reviews yet
Full Name
PAK1 (Phospho-Thr212) Antibody
Gene Names
PAK1; PAKalpha
Reactivity
Human, Mouse, Rat
Applications
Immunohistochemistry, Western Blot
Purity
Purified from rabbit antiserum by affinity-chromatography using phospho peptide. The antibody against non-phospho peptide was removed by chromatography using corresponding non-phospho peptide.
Pricing
product-image-AAA316366_WB13.jpg WB (Western Blot) (Western blot analysis of lysates from COS7 cells treated with TNF 20ng/ml 5', using GRK1 (Phospho-Ser21) Antibody. The lane on the right is blocked with the phospho peptide.)

GRK1, Polyclonal Antibody (Cat# AAA316366)

No reviews yet
Full Name
GRK1 (Phospho-Ser21) Antibody
Gene Names
GRK1; RK; RHOK; GPRK1
Reactivity
Human, Mouse, Rat
Applications
Immunohistochemistry, Western Blot
Purity
Purified from rabbit antiserum by affinity-chromatography using phospho peptide. The antibody against non-phospho peptide was removed by chromatography using corresponding non-phospho peptide.
Pricing
product-image-AAA316369_WB11.jpg WB (Western Blot) (Western blot analysis of lysates from HUVEC cells treated with EGF 200ng/ml 30', using HER3 (Phospho-Tyr1222) Antibody. The lane on the right is blocked with the phospho peptide.)

HER3, Polyclonal Antibody (Cat# AAA316369)

No reviews yet
Full Name
HER3 (Phospho-Tyr1222) Antibody
Gene Names
ERBB3; HER3; LCCS2; ErbB-3; c-erbB3; erbB3-S; MDA-BF-1; c-erbB-3; p180-ErbB3; p45-sErbB3; p85-sErbB3
Reactivity
Human, Rat, Mouse
Applications
Immunofluorescence, Immunohistochemistry, Western Blot
Purity
Purified from rabbit antiserum by affinity-chromatography using phospho peptide. The antibody against non-phospho peptide was removed by chromatography using corresponding non-phospho peptide.
Pricing
product-image-AAA316374_IHC13.jpg IHC (Immunohiostchemistry) (Immunohistochemistry analysis of paraffin-embedded human brain, using NMDAR2A/B (Phospho-Tyr1246/1252) Antibody. The picture on the right is blocked with the phospho peptide.)

NMDAR2A/B, Polyclonal Antibody (Cat# AAA316374)

No reviews yet
Full Name
NMDAR2A/B (Phospho-Tyr1246/1252) Antibody
Gene Names
GRIN2A; LKS; EPND; FESD; NR2A; GluN2A; NMDAR2A
Reactivity
Human, Mouse, Rat
Applications
Immunofluorescence, Immunohistochemistry
Purity
Purified from rabbit antiserum by affinity-chromatography using phospho peptide. The antibody against non-phospho peptide was removed by chromatography using corresponding non-phospho peptide.
Pricing
product-image-AAA316380_WB13.jpg WB (Western Blot) (Western blot analysis of lysates from 293 cells and HepG2 cells, using Smad1 (Phospho-Ser187) Antibody. The lane on the right is blocked with the phospho peptide.)

Smad1, Polyclonal Antibody (Cat# AAA316380)

No reviews yet
Full Name
Smad1 (Phospho-Ser187) Antibody
Gene Names
SMAD1; BSP1; JV41; BSP-1; JV4-1; MADH1; MADR1
Reactivity
Human, Mouse
Applications
Immunohistochemistry, Western Blot
Purity
Purified from rabbit antiserum by affinity-chromatography using phospho peptide. The antibody against non-phospho peptide was removed by chromatography using corresponding non-phospho peptide.
Pricing
product-image-AAA316384_IHC13.jpg IHC (Immunohiostchemistry) (Immunohistochemistry analysis of paraffin-embedded human brain, using Synapsin1 (Phospho-Ser605) Antibody. The picture on the right is blocked with the phospho peptide.)

Synapsin1, Polyclonal Antibody (Cat# AAA316384)

No reviews yet
Full Name
Synapsin1 (Phospho-Ser605) Antibody
Gene Names
SYN1; SYNI; SYN1a; SYN1b
Reactivity
Human, Mouse, Rat
Applications
Immunofluorescence, Immunohistochemistry
Purity
Purified from rabbit antiserum by affinity-chromatography using phospho peptide. The antibody against non-phospho peptide was removed by chromatography using corresponding non-phospho peptide.
Pricing
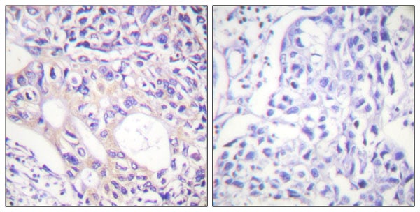
product-image-AAA316387_IHC13.jpg IHC (Immunohiostchemistry) (Immunohistochemistry analysis of paraffin-embedded human breast carcinoma, using Vinculin (Phospho-Tyr821) Antibody. The picture on the right is blocked with the phospho peptide.)

Vinculin, Polyclonal Antibody (Cat# AAA316387)

No reviews yet
Full Name
Vinculin (Phospho-Tyr821) Antibody
Gene Names
VCL; MV; MVCL; CMD1W; CMH15; HEL114
Reactivity
Human, Mouse, Rat
Applications
Immunofluorescence, Immunohistochemistry
Purity
Purified from rabbit antiserum by affinity-chromatography using phospho peptide. The antibody against non-phospho peptide was removed by chromatography using corresponding non-phospho peptide.
Pricing
product-image-AAA316388_IHC13.jpg IHC (Immunohiostchemistry) (Immunohistochemistry analysis of paraffin-embedded human breast carcinoma, using APC1 (Phospho-Ser688) Antibody. The picture on the right is blocked with the phospho peptide.)

APC1, Polyclonal Antibody (Cat# AAA316388)

No reviews yet
Full Name
APC1 (Phospho-Ser688) Antibody
Gene Names
ANAPC1; APC1; MCPR; TSG24
Reactivity
Human, Mouse, Rat
Applications
Immunofluorescence, Immunohistochemistry
Purity
Purified from rabbit antiserum by affinity-chromatography using phospho peptide. The antibody against non-phospho peptide was removed by chromatography using corresponding non-phospho peptide.
Pricing

What Are Phospho Antibodies?


Protein phosphorylation is a process where a phosphate group is added to certain amino acid residues of a protein – usually serine (S), threonine (T), or tyrosine (Y) - by enzymes called kinases. This process is integral in controlling cellular signaling, cellular growth, and other biological functions.


Our catalog includes a wide range of phospho-specific antibodies that can accurately detect this important marker. They perform strongly in widely-used laboratory applications such as Western blot, flow cytometry, immunohistochemistry, and immunofluorescence microscopy. We value your trust in us and are committed to providing top-quality products and services. All of our antibodies are guaranteed to work for the applications and species indicated on our website & associated product pages.


What Are The Key Applications of Phospho Antibodies?


1. Western Blotting


One of the first steps a researcher can take in utilizing these phospho-specific antibodies, is to check if the antibody works using a technique referred to as “Western blot”. For those unfamiliar, Western Blot aids in showing whether the protein that the antibody recognizes is appearing at the correct/expected size. These phospho-specific antibodies should also be able to detect changes in the target protein’s phosphorylation (on/off state) when cells are stimulated in certain ways.


2. Staining of Fixed Cells (Immunocytochemistry)


Another routine use of these phospho-specific antibodies, is to test if the antibody is able to demonstrate similar performance when used on fixed cells (intact cells that have been preserved) as it did in the Western blot tests. It is an important aspect in many cases to confirm that the antibody works in actual intact cell samples. Ideally, the method used for cellular fixation should be the same as what is used in pathology labs (like using 10% formalin). To check if the antibody works well in tissue sections (FFPE), researchers will often test it on fixed cells that are processed similar to tissue samples.


3. Specificity Tests Using Peptides


In order to make sure that the antibody is only binding to the right target:


  • Laboratory technicians will mix the antibody with phospho-peptides (short segments of the protein containing the phosphate group modification).

  • If the antibody signal disappears, it is confirmation that it is binding to the correct phosphorylated location.

  • A more robust test is to use both the phosphorylated and non-phosphorylated (dephosphorylated) versions of the protein. The antibody should react only with the phosphorylated one.

  • Another method sometimes utilized is to treat the sample with an enzyme, such as alkaline phosphatase, that specifically removes phosphate groups. If the antibody signal disappears after this, it also confirms specificity.


4. Genetic Confirmation


As a final step, scientists can genetically manipulate the nucleotide sequence and alter the target protein by removing the exact site where phosphorylation happens. If the antibody no longer appears to detect the modified protein, it is strong evidence supporting the antibody being specific for that phosphorylated site.


Why Buy Phospho Antibodies Through Us?


  • The production laboratory adheres to strict and consistent protocols prior to releasing any of these phospho-specific antibodies:

  • Standard methods and proper controls in all tests to ensure high quality.

  • These antibodies are tested and validated in different cell types and species.

  • High quality control criterion to ensure each batch is consistent, so you will obtain reliable results every time.


FAQ


1. What Are Phospho-Specific Antibodies?


Phospho-specific antibodies are made to detect proteins only when they have a phosphate group linked to a specific amino acid residue. This empowers scientists understand if a protein is "turned on" or active, based on its phosphorylation state.


2. How to Detect Phosphorylated Proteins in a Western Blot?


To find out if a protein is phosphorylated using Western blot:


  • Use a phospho-specific antibody that binds only to the phosphorylated form of the protein.

  • You can also use a “regular” antibody for the same amino acid sequence of the protein that the phospho-specific antibody is binding to (but in this case, this antibody will not bind if there is a phosphate group present) in order to compare how much of it is phosphorylated versus how much is non-phosphorylated (or “total” protein, if the “normal” antibody’s epitopes are non-phospho-site-specific).


3. How to Choose the Best Antibody?


Here are some simple tips to help you pick the right antibody:


  • Know your target

  • Match your sample characteristics

  • Confirm the intended use is appropriate

  • Check “host” and “type”

  • Check the “quality” of the presented data/images

  • Appraise whether the available validation meets your needs


Submit a Question

Please complete the form below and a representative will contact you as soon as possible.

Request more Information

Please complete the form below and a representative will contact you as soon as possible.

Request a Manual

Please complete the form below and a representative will contact you as soon as possible.

Request a Quote

Please complete the form below and a representative will contact you as soon as possible.