Loading...

Skip to main content
Call us at +1-800-604-9114 for more information about our products or contact us online Need help? +1-800-604-9114 or contact us

Filters


Clonality

Type

Reactivity

Gene Name

Isotype

Host

Application

Clone

Phospho Antibodies

Phospho-specific antibodies’ typical purpose is to enable researchers to detect changes in proteins. They will exclusively bind to the amino acid sequence on a protein that has been phosphorylated (which is both a physical & chemical change) and do not bind to the same amino acid sequence on said protein if it lacks said phosphorylation. This aids in being able to clearly see and understand the data produced from this particular protein modification.


Viewing 1900-1950 of 5298 product results


product-image-AAA316563_WB13.jpg WB (Western Blot) (Western blot analysis of lysates from COS7 cells and A549 cells, using PKC delta (Phospho-Ser645) Antibody. The lane on the right is blocked with the phospho peptide.)

PKC delta, Polyclonal Antibody (Cat# AAA316563)

No reviews yet
Full Name
PKC delta (Phospho-Ser645) Antibody
Gene Names
PRKCD; MAY1; PKCD; ALPS3; CVID9; nPKC-delta
Reactivity
Human
Applications
Immunohistochemistry, Western Blot
Purity
Purified from rabbit antiserum by affinity-chromatography using phospho peptide. The antibody against non-phospho peptide was removed by chromatography using corresponding non-phospho peptide.
Pricing
product-image-AAA316564_WB13.jpg WB (Western Blot) (Western blot analysis of lysates from Jurkat cells treated with PMA 200nM 30', using PKC thet (Phospho-Ser676) Antibody. The lane on the right is blocked with the phospho peptide.)

PKC thet, Polyclonal Antibody (Cat# AAA316564)

No reviews yet
Full Name
PKC thet (Phospho-Ser676) Antibody
Gene Names
PRKCQ; PRKCT; nPKC-theta
Reactivity
Human, Mouse, Rat
Applications
Immunohistochemistry, Western Blot
Purity
Purified from rabbit antiserum by affinity-chromatography using phospho peptide. The antibody against non-phospho peptide was removed by chromatography using corresponding non-phospho peptide.
Pricing
product-image-AAA316565_WB13.jpg WB (Western Blot) (Western blot analysis of lysates from COS7 cells treated with EGF, using Progesterone Receptor (Phospho-Ser190) Antibody. The lane on the right is blocked with the phospho peptide.)

Progesterone Receptor, Polyclonal Antibody (Cat# AAA316565)

No reviews yet
Full Name
Progesterone Receptor (Phospho-Ser190) Antibody
Gene Names
PGR; PR; NR3C3
Reactivity
Human
Applications
Immunohistochemistry, Western Blot
Purity
Purified from rabbit antiserum by affinity-chromatography using phospho peptide. The antibody against non-phospho peptide was removed by chromatography using corresponding non-phospho peptide.
Pricing
product-image-AAA316574_WB13.jpg WB (Western Blot) (Western blot analysis of lysates from HUVEC cells treated with EGF 200ng/ml 5'/HeLa cells treated with EGF 200ng/ml 15', using SMC1 (Phospho-Ser957) Antibody. The lane on the right is blocked with the phospho peptide.)

SMC1, Polyclonal Antibody (Cat# AAA316574)

No reviews yet
Full Name
SMC1 (Phospho-Ser957) Antibody
Gene Names
SMC1A; SMC1; SMCB; CDLS2; SB1.8; SMC1L1; DXS423E; SMC1alpha
Reactivity
Human, Mouse
Applications
Immunohistochemistry, Western Blot
Purity
Purified from rabbit antiserum by affinity-chromatography using phospho peptide. The antibody against non-phospho peptide was removed by chromatography using corresponding non-phospho peptide.
Pricing
product-image-AAA316581_WB13.jpg WB (Western Blot) (Western blot analysis of lysates from HeLa cells treated with IL-4, using STAT4 (Phospho-Tyr693) Antibody. The lane on the right is blocked with the phospho peptide.)

STAT4, Polyclonal Antibody (Cat# AAA316581)

No reviews yet
Full Name
STAT4 (Phospho-Tyr693) Antibody
Gene Names
STAT4; SLEB11
Reactivity
Human, Mouse, Rat
Applications
Immunoprecipitation, Immunohistochemistry, Western Blot
Purity
Purified from rabbit antiserum by affinity-chromatography using phospho peptide. The antibody against non-phospho peptide was removed by chromatography using corresponding non-phospho peptide.
Pricing
product-image-AAA316582_WB13.jpg WB (Western Blot) (Western blot analysis of lysates from HeLa cells, using STAT5A (Phospho-Ser780) Antibody. The lane on the right is blocked with the phospho peptide.)

STAT5A, Polyclonal Antibody (Cat# AAA316582)

No reviews yet
Full Name
STAT5A (Phospho-Ser780) Antibody
Gene Names
STAT5A; MGF; STAT5
Reactivity
Human, Mouse, Rat
Applications
Immunoprecipitation, Immunohistochemistry, Western Blot
Purity
Purified from rabbit antiserum by affinity-chromatography using phospho peptide. The antibody against non-phospho peptide was removed by chromatography using corresponding non-phospho peptide.
Pricing
product-image-AAA316584_WB13.jpg WB (Western Blot) (Western blot analysis of lysates from HeLa cells treated with IL-4, using STAT6 (Phospho-Tyr641) Antibody. The lane on the right is blocked with the phospho peptide.)

STAT6, Polyclonal Antibody (Cat# AAA316584)

No reviews yet
Full Name
STAT6 (Phospho-Tyr641) Antibody
Gene Names
STAT6; STAT6B; STAT6C; D12S1644; IL-4-STAT
Reactivity
Human, Mouse, Rat
Applications
Immunohistochemistry, Western Blot
Purity
Purified from rabbit antiserum by affinity-chromatography using phospho peptide. The antibody against non-phospho peptide was removed by chromatography using corresponding non-phospho peptide.
Pricing
product-image-AAA316586_WB13.jpg WB (Western Blot) (Western blot analysis of lysates from Jurkat cells treated with PMA 1ng/ml 15', using Stathmin 1 (Phospho-Ser24) Antibody. The lane on the right is blocked with the phospho peptide.)

Stathmin 1, Polyclonal Antibody (Cat# AAA316586)

No reviews yet
Full Name
Stathmin 1 (Phospho-Ser24) Antibody
Gene Names
STMN1; Lag; SMN; OP18; PP17; PP19; PR22; LAP18; C1orf215
Reactivity
Human, Mouse, Rat
Applications
Immunohistochemistry, Western Blot
Purity
Purified from rabbit antiserum by affinity-chromatography using phospho peptide. The antibody against non-phospho peptide was removed by chromatography using corresponding non-phospho peptide.
Pricing
product-image-AAA318400_WB13.jpg WB (Western Blot) (Western blot analysis of lysates from RAW264.7 cells treated with TNF 20ng/ml 5', using TOP2A (Phospho-Ser1525) Antibody.)

TOP2A, Polyclonal Antibody (Cat# AAA318400)

No reviews yet
Full Name
TOP2A (Phospho-Ser1525) Antibody
Gene Names
TOP2A; TOP2; TP2A
Reactivity
Human, Mouse, Rat
Applications
Immunohistochemistry, Western Blot
Purity
Purified from rabbit antiserum by affinity-chromatography using phospho peptide. The antibody against non-phospho peptide was removed by chromatography using corresponding non-phospho peptide.
Pricing
product-image-AAA318282_WB13.jpg WB (Western Blot) (Western blot analysis of lysates from HepG2 cells, using AhR (Phospho-Ser36) Antibody.)

AhR, Polyclonal Antibody (Cat# AAA318282)

No reviews yet
Full Name
AhR (Phospho-Ser36) Antibody
Gene Names
AHR; bHLHe76
Reactivity
Human, Mouse, Rat
Applications
Immunohistochemistry, Western Blot
Purity
Purified from rabbit antiserum by affinity-chromatography using phospho peptide. The antibody against non-phospho peptide was removed by chromatography using corresponding non-phospho peptide.
Pricing
product-image-AAA318305_WB13.jpg WB (Western Blot) (Western blot analysis of lysates from mouse brain, using EFNB1 (Phospho-Tyr317) Antibody.)

EFNB1, Polyclonal Antibody (Cat# AAA318305)

No reviews yet
Full Name
EFNB1 (Phospho-Tyr317) Antibody
Gene Names
EFNB1; CFND; CFNS; EFB1; EFL3; EPLG2; Elk-L; LERK2
Reactivity
Human, Mouse, Rat
Applications
Western Blot
Purity
Purified from rabbit antiserum by affinity-chromatography using phospho peptide. The antibody against non-phospho peptide was removed by chromatography using corresponding non-phospho peptide.
Pricing
product-image-AAA318310_WB13.jpg WB (Western Blot) (Western blot analysis of lysates from HepG2 cells treated with PMA 125ng/ml 30', using EPB41 (Phospho-Tyr660/418) Antibody.)

EPB41, Polyclonal Antibody (Cat# AAA318310)

No reviews yet
Full Name
EPB41 (Phospho-Tyr660/418) Antibody
Gene Names
EPB41; HE; EL1; 4.1R
Reactivity
Human, Mouse
Applications
Western Blot
Purity
Purified from rabbit antiserum by affinity-chromatography using phospho peptide. The antibody against non-phospho peptide was removed by chromatography using corresponding non-phospho peptide.
Pricing
product-image-AAA318327_WB13.jpg WB (Western Blot) (Western blot analysis of lysates from NIH/3T3 cells treated with starved 24h, using ICK (Phospho-Tyr159) Antibody.)

ICK, Polyclonal Antibody (Cat# AAA318327)

No reviews yet
Full Name
ICK (Phospho-Tyr159) Antibody
Gene Names
ICK; ECO; MRK; LCK2
Reactivity
Human, Mouse, Rat
Applications
Western Blot
Purity
Purified from rabbit antiserum by affinity-chromatography using phospho peptide. The antibody against non-phospho peptide was removed by chromatography using corresponding non-phospho peptide.
Pricing
product-image-AAA318349_WB13.jpg WB (Western Blot) (Western blot analysis of lysates from HeLa cells treated with calyculinA 50ng/ml 30', using MAP2K7 (Phospho-Thr275) Antibody.)

MAP2K7, Polyclonal Antibody (Cat# AAA318349)

No reviews yet
Full Name
MAP2K7 (Phospho-Thr275) Antibody
Gene Names
MAP2K7; MEK; MKK7; JNKK2; MEK 7; MAPKK7; PRKMK7; SAPKK4; SAPKK-4
Reactivity
Human, Mouse, Rat
Applications
Western Blot
Purity
Purified from rabbit antiserum by affinity-chromatography using phospho peptide. The antibody against non-phospho peptide was removed by chromatography using corresponding non-phospho peptide.
Pricing
product-image-AAA319926_WB13.png WB (Western Blot) (Western Blot analysis of 1 HeLa cell, 2 Serum-free treated ,using primary antibody at 1:1000 dilution. Secondary antibody)

MYPT1/2, Polyclonal Antibody (Cat# AAA319926)

No reviews yet
Full Name
MYPT1/2 (Phospho-Ser668/Ser618) Antibody
Gene Names
PPP1R12A; MBS; M130; MYPT1
Reactivity
Human, Mouse, Rat
Applications
Western Blot, Immunohistochemistry
Purity
The antibody was affinity-purified from rabbit serum by affinity-chromatography using specific immunogen.
Pricing
product-image-AAA319460_WB13.png WB (Western Blot) (Western Blot analysis of mouse kidney, rat kidney. Primary Antibody was diluted at 1:1000. Secondary antibody)

RhoA, Polyclonal Antibody (Cat# AAA319460)

No reviews yet
Full Name
RhoA (Phospho-Ser188) Antibody
Gene Names
RHOA; ARHA; ARH12; RHO12; RHOH12
Reactivity
Human, Mouse, Rat
Applications
Immunohistochemistry, Western Blot
Purity
The antibody was affinity-purified from rabbit serum by affinity-chromatography using specific immunogen.
Pricing
product-image-AAA319480_WB13.png WB (Western Blot) (Western blot analysis of lysates from SH-SY5Y cells, primary antibody was diluted at 1:1000, 4 degree over night)

PZR, Polyclonal Antibody (Cat# AAA319480)

No reviews yet
Full Name
PZR (Phospho-Tyr263) Antibody
Gene Names
MPZL1; PZR; PZRa; PZRb; PZR1b; MPZL1b
Reactivity
Human, Mouse, Rat
Applications
Immunohistochemistry, Western Blot
Purity
The antibody was affinity-purified from rabbit serum by affinity-chromatography using specific immunogen.
Pricing
product-image-AAA319485_WB13.png WB (Western Blot) (Western blot analysis of lysates from HCT116 cells, primary antibody was diluted at 1:1000, 4 degree over night)

STING, Polyclonal Antibody (Cat# AAA319485)

No reviews yet
Full Name
STING (Phospho-Ser366) Antibody
Gene Names
TMEM173; ERIS; MITA; MPYS; NET23; STING
Reactivity
Human, Rat, Mouse
Applications
Western Blot
Purity
The antibody was affinity-purified from rabbit serum by affinity-chromatography using specific immunogen.
Pricing
product-image-AAA319487_WB13.png WB (Western Blot) (Western blot analysis of lysates from U2OS cells, primary antibody was diluted at 1:1000, 4 degree over night)

Stathmin, Polyclonal Antibody (Cat# AAA319487)

No reviews yet
Full Name
Stathmin (Phospho-Ser16) Antibody
Gene Names
STMN2; SCG10; SCGN10
Reactivity
Human, Mouse, Rat
Applications
Immunohistochemistry, Western Blot
Purity
The antibody was affinity-purified from rabbit serum by affinity-chromatography using specific immunogen.
Pricing
product-image-AAA319491_WB13.png WB (Western Blot) (Western blot analysis of Maize 1) Dark, 2) Light, diluted at 1:2000. Secondary antibody)

PEPC, Polyclonal Antibody (Cat# AAA319491)

No reviews yet
Full Name
PEPC (Phospho-Ser15) Antibody
Gene Names
PGC; PEPC; PGII
Reactivity
Plants
Applications
Immunohistochemistry, Western Blot
Purity
The antibody was affinity-purified from rabbit antiserum by affinity-chromatography using epitope-specific immunogen.
Pricing
product-image-AAA319493_WB13.png WB (Western Blot) (Western blot analysis of lysates from A431 cells, primary antibody was diluted at 1:1000, 4 degree over night)

IkappaB-alpha, Polyclonal Antibody (Cat# AAA319493)

No reviews yet
Full Name
IkappaB-alpha (Phospho-Ser32) Antibody
Gene Names
NFKBIA; IKBA; MAD-3; NFKBI
Reactivity
Human, Mouse, Rat
Applications
Immunohistochemistry, Western Blot
Purity
The antibody was affinity-purified from rabbit serum by affinity-chromatography using specific immunogen.
Pricing
product-image-AAA319494_WB13.png WB (Western Blot) (Western blot analysis of lysates from K562 cells, primary antibody was diluted at 1:1000, 4 degree over night)

JunB, Polyclonal Antibody (Cat# AAA319494)

No reviews yet
Full Name
JunB (Phospho-Thr102/Thr104) Antibody
Gene Names
JUNB; AP-1
Reactivity
Human, Rat, Mouse
Applications
Immunohistochemistry, Western Blot
Purity
The antibody was affinity-purified from rabbit serum by affinity-chromatography using specific immunogen.
Pricing
product-image-AAA319495_WB13.png WB (Western Blot) (Western blot analysis of lysates from K562 cells, primary antibody was diluted at 1:1000, 4 degree over night)

LIN28A, Polyclonal Antibody (Cat# AAA319495)

No reviews yet
Full Name
LIN28A (Phospho-Ser200) Antibody
Gene Names
LIN28A; CSDD1; LIN28; LIN-28; ZCCHC1; lin-28A
Reactivity
Human, Rat, Mouse
Applications
Immunohistochemistry, Western Blot
Purity
The antibody was affinity-purified from rabbit serum by affinity-chromatography using specific immunogen.
Pricing
product-image-AAA319498_WB13.png WB (Western Blot) (Western blot analysis of lysates from SH-SY5Y cells, primary antibody was diluted at 1:1000, 4 degree over night)

Mcl-1, Polyclonal Antibody (Cat# AAA319498)

No reviews yet
Full Name
Mcl-1 (Phospho-Ser159/Thr163) Antibody
Gene Names
MCL1; TM; EAT; MCL1L; MCL1S; Mcl-1; BCL2L3; MCL1-ES; bcl2-L-3; mcl1/EAT
Reactivity
Human, Rat, Mouse
Applications
Immunohistochemistry, Western Blot
Purity
The antibody was affinity-purified from rabbit serum by affinity-chromatography using specific immunogen.
Pricing
product-image-AAA319500_WB13.png WB (Western Blot) (Western blot analysis of lysates from SH-SY5Y cells, primary antibody was diluted at 1:1000, 4 degree over night)

Mcl-1, Polyclonal Antibody (Cat# AAA319500)

No reviews yet
Full Name
Mcl-1 (Phospho-Thr163) Antibody
Gene Names
MCL1; TM; EAT; MCL1L; MCL1S; Mcl-1; BCL2L3; MCL1-ES; bcl2-L-3; mcl1/EAT
Reactivity
Human, Rat, Mouse
Applications
Immunohistochemistry, Western Blot
Purity
The antibody was affinity-purified from rabbit serum by affinity-chromatography using specific immunogen.
Pricing
product-image-AAA316052_WB11.jpg WB (Western Blot) (Western blot analysis of lysates from NIH/3T3 cells treated with UV 30', using 14-3-3 zeta (Phospho-Ser58) Antibody. The lane on the right is blocked with the phospho peptide.)

14-3-3 zeta, Polyclonal Antibody (Cat# AAA316052)

No reviews yet
Full Name
14-3-3 zeta (Phospho-Ser58) Antibody
Gene Names
YWHAZ; HEL4; YWHAD; KCIP-1; HEL-S-3; HEL-S-93; 14-3-3-zeta
Reactivity
Human, Mouse, Rat
Applications
Immunofluorescence, Immunohistochemistry, Western Blot
Purity
Purified from rabbit antiserum by affinity-chromatography using phospho peptide. The antibody against non-phospho peptide was removed by chromatography using corresponding non-phospho peptide.
Pricing
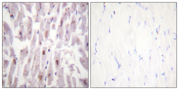
product-image-AAA316057_IHC13.jpg IHC (Immunohiostchemistry) (Immunohistochemistry analysis of paraffin-embedded human lung carcinoma, using CREB (Phospho-Ser142) Antibody. The picture on the right is blocked with the phospho peptide.)

CREB, Polyclonal Antibody (Cat# AAA316057)

No reviews yet
Full Name
CREB (Phospho-Ser142) Antibody
Gene Names
CREB1; CREB; CREB-1
Reactivity
Human, Mouse, Rat
Applications
Immunofluorescence, Immunohistochemistry, Western Blot
Purity
The antibody was affinity-purified from rabbit antiserum by affinity-chromatography using epitope-specific immunogen
Pricing
product-image-AAA316058_WB13.jpg WB (Western Blot) (Western blot analysis of lysates from COS7 cells treated with Forskolin 40nM 30', using DARPP-32 (Phospho-Thr75) Antibody. The lane on the right is blocked with the phospho peptide.)

DARPP-32, Polyclonal Antibody (Cat# AAA316058)

No reviews yet
Full Name
DARPP-32 (Phospho-Thr75) Antibody
Gene Names
PPP1R1B; DARPP32; DARPP-32
Reactivity
Human, Mouse, Rat
Applications
Immunohistochemistry, Western Blot
Purity
Purified from rabbit antiserum by affinity-chromatography using phospho peptide. The antibody against non-phospho peptide was removed by chromatography using corresponding non-phospho peptide.
Pricing
product-image-AAA316067_WB13.jpg WB (Western Blot) (Western blot analysis of lysates from 293 cells treated with Etoposide 25uM 60', using Keratin 8 (Phospho-Ser73) Antibody. The lane on the right is blocked with the phospho peptide.)

Keratin 8, Polyclonal Antibody (Cat# AAA316067)

No reviews yet
Full Name
Keratin 8 (Phospho-Ser73) Antibody
Gene Names
KRT8; K8; KO; CK8; CK-8; CYK8; K2C8; CARD2
Reactivity
Human, Mouse
Applications
Immunohistochemistry, Western Blot
Purity
Purified from rabbit antiserum by affinity-chromatography using phospho peptide. The antibody against non-phospho peptide was removed by chromatography using corresponding non-phospho peptide.
Pricing
product-image-AAA316069_WB11.jpg WB (Western Blot) (Western blot analysis of lysates from HeLa cells treated with PMA 125ng/ml 30', using MEF2A (Phospho-Ser408) Antibody. The lane on the right is blocked with the phospho peptide.)

MEF2A, Polyclonal Antibody (Cat# AAA316069)

No reviews yet
Full Name
MEF2A (Phospho-Ser408) Antibody
Gene Names
MEF2A; mef2; ADCAD1; RSRFC4; RSRFC9
Reactivity
Human, Mouse, Rat
Applications
Immunofluorescence, Immunohistochemistry, Western Blot
Purity
Purified from rabbit antiserum by affinity-chromatography using phospho peptide. The antibody against non-phospho peptide was removed by chromatography using corresponding non-phospho peptide.
Pricing
product-image-AAA316071_WB11.jpg WB (Western Blot) (Western blot analysis of lysates from HeLa cells treated with LPS 100ng/ml 30', using NF-kappaB p105/p50 (Phospho-Ser927) Antibody. The lane on the right is blocked with the phospho peptide.)

NF-kappaB p105/p50, Polyclonal Antibody (Cat# AAA316071)

No reviews yet
Full Name
NF-kappaB p105/p50 (Phospho-Ser927) Antibody
Gene Names
NFKB1; p50; KBF1; p105; EBP-1; CVID12; NF-kB1; NFKB-p50; NFkappaB; NF-kappaB; NFKB-p105; NF-kappa-B
Reactivity
Human, Mouse
Applications
Immunofluorescence, Immunohistochemistry, Western Blot
Purity
Purified from rabbit antiserum by affinity-chromatography using phospho peptide. The antibody against non-phospho peptide was removed by chromatography using corresponding non-phospho peptide.
Pricing
product-image-AAA316074_WB13.jpg WB (Western Blot) (Western blot analysis of lysates from 293 cells treated with EGF 200ng/ml 5', using Shc (Phospho-Tyr427) Antibody. The lane on the right is blocked with the phospho peptide.)

Shc, Polyclonal Antibody (Cat# AAA316074)

No reviews yet
Full Name
Shc (Phospho-Tyr427) Antibody
Gene Names
SHC1; SHC; SHCA
Reactivity
Human, Mouse, Rat
Applications
Immunohistochemistry, Western Blot
Purity
Purified from rabbit antiserum by affinity-chromatography using phospho peptide. The antibody against non-phospho peptide was removed by chromatography using corresponding non-phospho peptide.
Pricing
product-image-AAA316082_WB13.jpg WB (Western Blot) (Western blot analysis of lysates from 293 cells treated with Forskolin 40nM 30', using Synaptotagmin (Phospho-Thr202) Antibody. The lane on the left is blocked with the phospho peptide.)

Synaptotagmin, Polyclonal Antibody (Cat# AAA316082)

No reviews yet
Full Name
Synaptotagmin (Phospho-Thr202) Antibody
Gene Names
SYT1; P65; SYT; SVP65
Reactivity
Human, Mouse, Rat
Applications
Immunohistochemistry, Western Blot
Purity
Purified from rabbit antiserum by affinity-chromatography using phospho peptide. The antibody against non-phospho peptide was removed by chromatography using corresponding non-phospho peptide.
Pricing
product-image-AAA316086_WB13.jpg WB (Western Blot) (Western blot analysis of lysates from 293 cells treated with UV 15', using Tyrosine Hydroxylase (Phospho-Ser31) Antibody. The lane on the right is blocked with the phospho peptide.)

Tyrosine Hydroxylase, Polyclonal Antibody (Cat# AAA316086)

No reviews yet
Full Name
Tyrosine Hydroxylase (Phospho-Ser31) Antibody
Gene Names
TH; TYH; DYT14; DYT5b
Reactivity
Human, Mouse, Rat
Applications
Immunohistochemistry, Western Blot
Purity
Purified from rabbit antiserum by affinity-chromatography using phospho peptide. The antibody against non-phospho peptide was removed by chromatography using corresponding non-phospho peptide.
Pricing
product-image-AAA316089_WB13.jpg WB (Western Blot) (Western blot analysis of lysates from K562 cells, using BIK (Phospho-Thr33) Antibody. The lane on the right is blocked with the phospho peptide.)

BIK, Polyclonal Antibody (Cat# AAA316089)

No reviews yet
Full Name
BIK (Phospho-Thr33) Antibody
Gene Names
BIK; BP4; NBK; BIP1
Reactivity
Human
Applications
Immunohistochemistry, Western Blot
Purity
Purified from rabbit antiserum by affinity-chromatography using phospho peptide. The antibody against non-phospho peptide was removed by chromatography using corresponding non-phospho peptide.
Pricing
product-image-AAA316092_WB11.jpg WB (Western Blot) (Western blot analysis of lysates from 293 cells treated with Etoposide 25uM 60', using Caspase 6 (Phospho-Ser257) Antibody. The lane on the right is blocked with the phospho peptide.)

Caspase 6, Polyclonal Antibody (Cat# AAA316092)

No reviews yet
Full Name
Caspase 6 (Phospho-Ser257) Antibody
Gene Names
CASP6; MCH2
Reactivity
Human, Mouse, Rat
Applications
Immunofluorescence, Immunohistochemistry, Western Blot
Purity
Purified from rabbit antiserum by affinity-chromatography using phospho peptide. The antibody against non-phospho peptide was removed by chromatography using corresponding non-phospho peptide.
Pricing
product-image-AAA316094_WB13.jpg WB (Western Blot) (Western blot analysis of lysates from HeLa cells treated with TNF 20ng/ml 5'+calyculinA 50ng/ml 5', using Caspase 9 (Phospho-Thr125) Antibody. The lane on the right is blocked with the phospho peptide.)

Caspase 9, Polyclonal Antibody (Cat# AAA316094)

No reviews yet
Full Name
Caspase 9 (Phospho-Thr125) Antibody
Gene Names
CASP9; MCH6; APAF3; APAF-3; PPP1R56; ICE-LAP6
Reactivity
Human, Mouse, Rat
Applications
Immunohistochemistry, Western Blot
Purity
Purified from rabbit antiserum by affinity-chromatography using phospho peptide. The antibody against non-phospho peptide was removed by chromatography using corresponding non-phospho peptide.
Pricing
product-image-AAA316096_WB11.jpg WB (Western Blot) (Western blot analysis of lysates from HeLa cells treated with TNF-a 20ng/ml 30', using c-PLA2 (Phospho-Ser505) Antibody. The lane on the right is blocked with the phospho peptide.)

c-PLA2, Polyclonal Antibody (Cat# AAA316096)

No reviews yet
Full Name
c-PLA2 (Phospho-Ser505) Antibody
Gene Names
PLA2G4A; cPLA2; PLA2G4; cPLA2-alpha
Reactivity
Human, Mouse, Rat
Applications
Immunofluorescence, Immunohistochemistry, Western Blot
Purity
Purified from rabbit antiserum by affinity-chromatography using phospho peptide. The antibody against non-phospho peptide was removed by chromatography using corresponding non-phospho peptide.
Pricing
product-image-AAA316103_WB13.jpg WB (Western Blot) (Western blot analysis of lysates from 293 cells treated with EGF 200ng/ml 5', using Filamin A (Phospho-Ser2152) Antibody. The lane on the right is blocked with the phospho peptide.)

Filamin A, Polyclonal Antibody (Cat# AAA316103)

No reviews yet
Full Name
Filamin A (Phospho-Ser2152) Antibody
Gene Names
FLNA; FLN; FMD; MNS; OPD; ABPX; CSBS; CVD1; FLN1; NHBP; OPD1; OPD2; XLVD; XMVD; FLN-A; ABP-280
Reactivity
Human, Mouse, Rat
Applications
Immunohistochemistry, Western Blot
Purity
Purified from rabbit antiserum by affinity-chromatography using phospho peptide. The antibody against non-phospho peptide was removed by chromatography using corresponding non-phospho peptide.
Pricing
product-image-AAA316107_WB13.jpg WB (Western Blot) (Western blot analysis of lysates from K562 cells treated with H2O2 100uM 30', using Lyn (Phospho-Tyr507) Antibody. The lane on the right is blocked with the phospho peptide.)

Lyn, Polyclonal Antibody (Cat# AAA316107)

No reviews yet
Full Name
Lyn (Phospho-Tyr507) Antibody
Gene Names
LYN; JTK8; p53Lyn; p56Lyn
Reactivity
Human, Mouse, Rat
Applications
Immunohistochemistry, Western Blot
Purity
Purified from rabbit antiserum by affinity-chromatography using phospho peptide. The antibody against non-phospho peptide was removed by chromatography using corresponding non-phospho peptide.
Pricing
product-image-AAA316115_WB13.jpg WB (Western Blot) (Western blot analysis of lysates from K562 cells, using PYK2 (Phospho-Tyr580) Antibody. The lane on the right is blocked with the phospho peptide.)

PYK2, Polyclonal Antibody (Cat# AAA316115)

No reviews yet
Full Name
PYK2 (Phospho-Tyr580) Antibody
Gene Names
PTK2B; PKB; PTK; CAKB; FAK2; PYK2; CADTK; FADK2; RAFTK
Reactivity
Human, Mouse, Rat
Applications
Immunohistochemistry, Western Blot
Purity
Purified from rabbit antiserum by affinity-chromatography using phospho peptide. The antibody against non-phospho peptide was removed by chromatography using corresponding non-phospho peptide.
Pricing
product-image-AAA316119_WB13.jpg WB (Western Blot) (Western blot analysis of lysates from HeLa cells treated with IFN 2500U/ml 30', using STAT2 (Phospho-Tyr690) Antibody. The lane on the right is blocked with the phospho peptide.)

STAT2, Polyclonal Antibody (Cat# AAA316119)

No reviews yet
Full Name
STAT2 (Phospho-Tyr690) Antibody
Gene Names
STAT2; P113; IMD44; ISGF-3; STAT113
Reactivity
Human, Rat
Applications
Immunohistochemistry, Western Blot
Purity
Purified from rabbit antiserum by affinity-chromatography using phospho peptide. The antibody against non-phospho peptide was removed by chromatography using corresponding non-phospho peptide.
Pricing
product-image-AAA316120_WB13.jpg WB (Western Blot) (Western blot analysis of lysates from RAW264.7 cells treated with EGF 200ng/ml 30', using STAT5B (Phospho-Ser731) Antibody. The lane on the right is blocked with the phospho peptide.)

STAT5B, Polyclonal Antibody (Cat# AAA316120)

No reviews yet
Full Name
STAT5B (Phospho-Ser731) Antibody
Gene Names
STAT5B; STAT5
Reactivity
Human, Mouse, Rat
Applications
Immunohistochemistry, Western Blot
Purity
Purified from rabbit antiserum by affinity-chromatography using phospho peptide. The antibody against non-phospho peptide was removed by chromatography using corresponding non-phospho peptide.
Pricing
product-image-AAA316121_WB13.jpg WB (Western Blot) (Western blot analysis of lysates from COS7 cells treated with EGF 200ng/ml 30', using SYK (Phospho-Tyr348) Antibody. The lane on the right is blocked with the phospho peptide.)

SYK, Polyclonal Antibody (Cat# AAA316121)

No reviews yet
Full Name
SYK (Phospho-Tyr348) Antibody
Gene Names
SYK; p72-Syk
Reactivity
Human, Mouse, Rat
Applications
Immunohistochemistry, Western Blot
Purity
Purified from rabbit antiserum by affinity-chromatography using phospho peptide. The antibody against non-phospho peptide was removed by chromatography using corresponding non-phospho peptide.
Pricing
product-image-AAA316213_WB11.jpg WB (Western Blot) (Western blot analysis of lysates from Jurkat cells treated with UV 15', using PLCG2 (Phospho-Tyr1217) Antibody. The lane on the right is blocked with the phospho peptide.)

PLCG2, Polyclonal Antibody (Cat# AAA316213)

No reviews yet
Full Name
PLCG2 (Phospho-Tyr1217) Antibody
Gene Names
PLCG2; FCAS3; APLAID; PLC-IV; PLC-gamma-2
Reactivity
Human, Mouse, Rat
Applications
Immunofluorescence, Immunohistochemistry, Western Blot
Purity
Purified from rabbit antiserum by affinity-chromatography using phospho peptide. The antibody against non-phospho peptide was removed by chromatography using corresponding non-phospho peptide.
Pricing
product-image-AAA316214_WB11.jpg WB (Western Blot) (Western blot analysis of lysates from A549 cells, using PP2A-alpha (Phospho-Tyr307) Antibody. The lane on the right is blocked with the phospho peptide.)

PP2A-alpha, Polyclonal Antibody (Cat# AAA316214)

No reviews yet
Full Name
PP2A-alpha (Phospho-Tyr307) Antibody
Gene Names
PPP2CA; RP-C; PP2Ac; PP2CA; PP2Calpha
Reactivity
Human, Mouse, Rat
Applications
Immunofluorescence, Immunohistochemistry, Western Blot
Purity
Purified from rabbit antiserum by affinity-chromatography using phospho peptide. The antibody against non-phospho peptide was removed by chromatography using corresponding non-phospho peptide.
Pricing
product-image-AAA316215_WB11.jpg WB (Western Blot) (Western blot analysis of lysates from HUVEC cells treated with Serum 20% 30', using PPAR-BP (Phospho-Thr1457) Antibody. The lane on the right is blocked with the phospho peptide.)

PPAR-BP, Polyclonal Antibody (Cat# AAA316215)

No reviews yet
Full Name
PPAR-BP (Phospho-Thr1457) Antibody
Gene Names
MED1; PBP; CRSP1; RB18A; TRIP2; PPARBP; CRSP200; DRIP205; DRIP230; PPARGBP; TRAP220
Reactivity
Human, Mouse
Applications
Immunofluorescence, Immunohistochemistry, Western Blot
Purity
Purified from rabbit antiserum by affinity-chromatography using phospho peptide. The antibody against non-phospho peptide was removed by chromatography using corresponding non-phospho peptide.
Pricing
product-image-AAA316217_WB13.jpg WB (Western Blot) (Western blot analysis of lysates from 293 cells treated with heat shock, using Progesterone Receptor (Phospho-Ser400) Antibody. The lane on the right is blocked with the phospho peptide.)

Progesterone Receptor, Polyclonal Antibody (Cat# AAA316217)

No reviews yet
Full Name
Progesterone Receptor (Phospho-Ser400) Antibody
Gene Names
PGR; PR; NR3C3
Reactivity
Human
Applications
Immunofluorescence, Western Blot
Purity
Purified from rabbit antiserum by affinity-chromatography using phospho peptide. The antibody against non-phospho peptide was removed by chromatography using corresponding non-phospho peptide.
Pricing
product-image-AAA316218_WB11.jpg WB (Western Blot) (Western blot analysis of lysates from RAW264.7 cells treated with Calyculin 100nM 15', using Rabphilin 3A (Phospho-Ser237) Antibody. The lane on the right is blocked with the phospho peptide.)

Rabphilin 3A, Polyclonal Antibody (Cat# AAA316218)

No reviews yet
Full Name
Rabphilin 3A (Phospho-Ser237) Antibody
Reactivity
Human, Mouse, Rat
Applications
Immunofluorescence, Immunohistochemistry, Western Blot
Purity
Purified from rabbit antiserum by affinity-chromatography using phospho peptide. The antibody against non-phospho peptide was removed by chromatography using corresponding non-phospho peptide.
Pricing
product-image-AAA316221_WB11.jpg WB (Western Blot) (Western blot analysis of lysates from HeLa cells treated with TNF-a 20ng/ml 2', using S6 Ribosomal Protein (Phospho-Ser240) Antibody. The lane on the right is blocked with the phospho peptide.)

S6 Ribosomal Protein, Polyclonal Antibody (Cat# AAA316221)

No reviews yet
Full Name
S6 Ribosomal Protein (Phospho-Ser240) Antibody
Gene Names
RPS6; S6
Reactivity
Human, Mouse, Rat
Applications
Immunofluorescence, Immunohistochemistry, Western Blot
Purity
Purified from rabbit antiserum by affinity-chromatography using phospho peptide. The antibody against non-phospho peptide was removed by chromatography using corresponding non-phospho peptide.
Pricing

What Are Phospho Antibodies?


Protein phosphorylation is a process where a phosphate group is added to certain amino acid residues of a protein – usually serine (S), threonine (T), or tyrosine (Y) - by enzymes called kinases. This process is integral in controlling cellular signaling, cellular growth, and other biological functions.


Our catalog includes a wide range of phospho-specific antibodies that can accurately detect this important marker. They perform strongly in widely-used laboratory applications such as Western blot, flow cytometry, immunohistochemistry, and immunofluorescence microscopy. We value your trust in us and are committed to providing top-quality products and services. All of our antibodies are guaranteed to work for the applications and species indicated on our website & associated product pages.


What Are The Key Applications of Phospho Antibodies?


1. Western Blotting


One of the first steps a researcher can take in utilizing these phospho-specific antibodies, is to check if the antibody works using a technique referred to as “Western blot”. For those unfamiliar, Western Blot aids in showing whether the protein that the antibody recognizes is appearing at the correct/expected size. These phospho-specific antibodies should also be able to detect changes in the target protein’s phosphorylation (on/off state) when cells are stimulated in certain ways.


2. Staining of Fixed Cells (Immunocytochemistry)


Another routine use of these phospho-specific antibodies, is to test if the antibody is able to demonstrate similar performance when used on fixed cells (intact cells that have been preserved) as it did in the Western blot tests. It is an important aspect in many cases to confirm that the antibody works in actual intact cell samples. Ideally, the method used for cellular fixation should be the same as what is used in pathology labs (like using 10% formalin). To check if the antibody works well in tissue sections (FFPE), researchers will often test it on fixed cells that are processed similar to tissue samples.


3. Specificity Tests Using Peptides


In order to make sure that the antibody is only binding to the right target:


  • Laboratory technicians will mix the antibody with phospho-peptides (short segments of the protein containing the phosphate group modification).

  • If the antibody signal disappears, it is confirmation that it is binding to the correct phosphorylated location.

  • A more robust test is to use both the phosphorylated and non-phosphorylated (dephosphorylated) versions of the protein. The antibody should react only with the phosphorylated one.

  • Another method sometimes utilized is to treat the sample with an enzyme, such as alkaline phosphatase, that specifically removes phosphate groups. If the antibody signal disappears after this, it also confirms specificity.


4. Genetic Confirmation


As a final step, scientists can genetically manipulate the nucleotide sequence and alter the target protein by removing the exact site where phosphorylation happens. If the antibody no longer appears to detect the modified protein, it is strong evidence supporting the antibody being specific for that phosphorylated site.


Why Buy Phospho Antibodies Through Us?


  • The production laboratory adheres to strict and consistent protocols prior to releasing any of these phospho-specific antibodies:

  • Standard methods and proper controls in all tests to ensure high quality.

  • These antibodies are tested and validated in different cell types and species.

  • High quality control criterion to ensure each batch is consistent, so you will obtain reliable results every time.


FAQ


1. What Are Phospho-Specific Antibodies?


Phospho-specific antibodies are made to detect proteins only when they have a phosphate group linked to a specific amino acid residue. This empowers scientists understand if a protein is "turned on" or active, based on its phosphorylation state.


2. How to Detect Phosphorylated Proteins in a Western Blot?


To find out if a protein is phosphorylated using Western blot:


  • Use a phospho-specific antibody that binds only to the phosphorylated form of the protein.

  • You can also use a “regular” antibody for the same amino acid sequence of the protein that the phospho-specific antibody is binding to (but in this case, this antibody will not bind if there is a phosphate group present) in order to compare how much of it is phosphorylated versus how much is non-phosphorylated (or “total” protein, if the “normal” antibody’s epitopes are non-phospho-site-specific).


3. How to Choose the Best Antibody?


Here are some simple tips to help you pick the right antibody:


  • Know your target

  • Match your sample characteristics

  • Confirm the intended use is appropriate

  • Check “host” and “type”

  • Check the “quality” of the presented data/images

  • Appraise whether the available validation meets your needs


Submit a Question

Please complete the form below and a representative will contact you as soon as possible.

Request more Information

Please complete the form below and a representative will contact you as soon as possible.

Request a Manual

Please complete the form below and a representative will contact you as soon as possible.

Request a Quote

Please complete the form below and a representative will contact you as soon as possible.