Loading...

Skip to main content
Call us at +1-800-604-9114 for more information about our products or contact us online Need help? +1-800-604-9114 or contact us

Filters


Clonality

Type

Reactivity

Gene Name

Isotype

Host

Application

Clone

Phospho Antibodies

Phospho-specific antibodies’ typical purpose is to enable researchers to detect changes in proteins. They will exclusively bind to the amino acid sequence on a protein that has been phosphorylated (which is both a physical & chemical change) and do not bind to the same amino acid sequence on said protein if it lacks said phosphorylation. This aids in being able to clearly see and understand the data produced from this particular protein modification.


Viewing 2400-2450 of 5298 product results


product-image-AAA316375_WB11.jpg WB (Western Blot) (Western blot analysis of lysates from K562 cells treated with insulin 0.01U/ml 15', using p57 Kip2 (Phospho-Thr310) Antibody. The lane on the right is blocked with the phospho peptide.)

p57 Kip2, Polyclonal Antibody (Cat# AAA316375)

No reviews yet
Full Name
p57 Kip2 (Phospho-Thr310) Antibody
Gene Names
CDKN1C; BWS; WBS; p57; BWCR; KIP2; p57Kip2
Reactivity
Human, Mouse
Applications
Immunofluorescence, Immunohistochemistry, Western Blot
Purity
Purified from rabbit antiserum by affinity-chromatography using phospho peptide. The antibody against non-phospho peptide was removed by chromatography using corresponding non-phospho peptide.
Pricing
product-image-AAA316383_WB11.jpg WB (Western Blot) (Western blot analysis of lysates from Jurkat cells treated with EGF 200ng/ml 30', using STAT5A/B (Phospho-Ser725/730) Antibody. The lane on the right is blocked with the phospho peptide.)

STAT5A/B, Polyclonal Antibody (Cat# AAA316383)

No reviews yet
Full Name
STAT5A/B (Phospho-Ser725/730) Antibody
Gene Names
STAT5A; MGF; STAT5
Reactivity
Human, Mouse, Rat
Applications
Immunofluorescence, Immunohistochemistry, Western Blot
Purity
Purified from rabbit antiserum by affinity-chromatography using phospho peptide. The antibody against non-phospho peptide was removed by chromatography using corresponding non-phospho peptide.
Pricing
product-image-AAA316386_WB13.jpg WB (Western Blot) (Western blot analysis of lysates from Jurkat cells and HepG2 cells, using Tryptophan Hydroxylase (Phospho-Ser260) Antibody. The lane on the right is blocked with the phospho peptide.)

Tryptophan Hydroxylase, Polyclonal Antibody (Cat# AAA316386)

No reviews yet
Full Name
Tryptophan Hydroxylase (Phospho-Ser260) Antibody
Gene Names
TPH1; TPRH; TRPH
Reactivity
Human, Mouse, Rat
Applications
Immunohistochemistry, Western Blot
Purity
Purified from rabbit antiserum by affinity-chromatography using phospho peptide. The antibody against non-phospho peptide was removed by chromatography using corresponding non-phospho peptide.
Pricing
product-image-AAA316389_WB11.jpg WB (Western Blot) (Western blot analysis of lysates from COS7 cells treated with Nocodazole 1ug/ml 16h, using AurB (Phospho-Thr232) Antibody. The lane on the right is blocked with the phospho peptide.)

AurB, Polyclonal Antibody (Cat# AAA316389)

No reviews yet
Full Name
AurB (Phospho-Thr232) Antibody
Gene Names
AURKB; AIK2; AIM1; ARK2; AurB; IPL1; STK5; AIM-1; ARK-2; STK-1; STK12; PPP1R48; aurkb-sv1; aurkb-sv2
Reactivity
Human, Mouse, Rat
Applications
Immunofluorescence, Immunohistochemistry, Western Blot
Purity
Purified from rabbit antiserum by affinity-chromatography using phospho peptide. The antibody against non-phospho peptide was removed by chromatography using corresponding non-phospho peptide.
Pricing
product-image-AAA316396_IHC13.jpg IHC (Immunohiostchemistry) (Immunohistochemistry analysis of paraffin-embedded human breast carcinoma, using HMG14 (Phospho-Ser21) Antibody. The picture on the right is blocked with the phospho peptide.)

HMG14, Polyclonal Antibody (Cat# AAA316396)

No reviews yet
Full Name
HMG14 (Phospho-Ser21) Antibody
Gene Names
HMGN1; HMG14
Reactivity
Human, Mouse, Rat
Applications
Immunofluorescence, Immunohistochemistry
Purity
Purified from rabbit antiserum by affinity-chromatography using phospho peptide. The antibody against non-phospho peptide was removed by chromatography using corresponding non-phospho peptide.
Pricing
product-image-AAA316397_WB13.jpg WB (Western Blot) (Western blot analysis of lysates from 293 cells treated with H2O2 100uM 15', using hnRNP C1/2 (Phospho-Ser260) Antibody. The lane on the right is blocked with the phospho peptide.)

hnRNP C1/2, Polyclonal Antibody (Cat# AAA316397)

No reviews yet
Full Name
hnRNP C1/2 (Phospho-Ser260) Antibody
Gene Names
HNRNPC; C1; C2; HNRNP; HNRPC; SNRPC
Reactivity
Human, Mouse, Rat
Applications
Immunohistochemistry, Western Blot
Purity
Purified from rabbit antiserum by affinity-chromatography using phospho peptide. The antibody against non-phospho peptide was removed by chromatography using corresponding non-phospho peptide.
Pricing
product-image-AAA316399_WB11.jpg WB (Western Blot) (Western blot analysis of lysates from HepG2 cells treated with PMA 125ng/ml 30', using HRS (Phospho-Tyr334) Antibody. The lane on the right is blocked with the phospho peptide.)

HRS, Polyclonal Antibody (Cat# AAA316399)

No reviews yet
Full Name
HRS (Phospho-Tyr334) Antibody
Gene Names
HGS; HRS
Reactivity
Human, Mouse, Rat
Applications
Immunofluorescence, Immunohistochemistry, Western Blot
Purity
Purified from rabbit antiserum by affinity-chromatography using phospho peptide. The antibody against non-phospho peptide was removed by chromatography using corresponding non-phospho peptide.
Pricing
product-image-AAA316403_WB13.jpg WB (Western Blot) (Western blot analysis of lysates from LOVO cells, using IL-2R alpha/CD25 (Phospho-Ser268) Antibody. The lane on the right is blocked with the phospho peptide.)

IL-2R alpha/CD25, Polyclonal Antibody (Cat# AAA316403)

No reviews yet
Full Name
IL-2R alpha/CD25 (Phospho-Ser268) Antibody
Gene Names
IL2RA; p55; CD25; IL2R; IMD41; TCGFR; IDDM10
Reactivity
Human
Applications
Immunofluorescence, Western Blot
Purity
Purified from rabbit antiserum by affinity-chromatography using phospho peptide. The antibody against non-phospho peptide was removed by chromatography using corresponding non-phospho peptide.
Pricing
product-image-AAA316404_WB13.jpg WB (Western Blot) (Western blot analysis of lysates from 293 cells, using IL-4R/CD124 (Phospho-Tyr497) Antibody. The lane on the right is blocked with the phospho peptide.)

IL-4R/CD124, Polyclonal Antibody (Cat# AAA316404)

No reviews yet
Full Name
IL-4R/CD124 (Phospho-Tyr497) Antibody
Gene Names
IL4R; CD124; IL4RA; IL-4RA
Reactivity
Human, Mouse
Applications
Immunofluorescence, Western Blot
Purity
Purified from rabbit antiserum by affinity-chromatography using phospho peptide. The antibody against non-phospho peptide was removed by chromatography using corresponding non-phospho peptide.
Pricing
product-image-AAA316407_WB11.jpg WB (Western Blot) (Western blot analysis of lysates from HUVEC cells, using IL-9R (Phospho-Ser519) Antibody. The lane on the right is blocked with the phospho peptide.)

IL-9R, Polyclonal Antibody (Cat# AAA316407)

No reviews yet
Full Name
IL-9R (Phospho-Ser519) Antibody
Gene Names
IL9R; CD129; IL-9R
Reactivity
Human
Applications
Immunofluorescence, Immunohistochemistry, Western Blot
Purity
Purified from rabbit antiserum by affinity-chromatography using phospho peptide. The antibody against non-phospho peptide was removed by chromatography using corresponding non-phospho peptide.
Pricing
product-image-AAA316413_WB11.jpg WB (Western Blot) (Western blot analysis of lysates from RAW264.7 cells treated with forskolin 40nM 30', using Kir5.1 (Phospho-Ser417) Antibody. The lane on the right is blocked with the phospho peptide.)

Kir5.1, Polyclonal Antibody (Cat# AAA316413)

No reviews yet
Full Name
Kir5.1 (Phospho-Ser417) Antibody
Gene Names
Kcnj16; Kir5.1; AI132396; 6430410F18Rik
Reactivity
Mouse, Rat
Applications
Immunofluorescence, Immunohistochemistry, Western Blot
Purity
Purified from rabbit antiserum by affinity-chromatography using phospho peptide. The antibody against non-phospho peptide was removed by chromatography using corresponding non-phospho peptide.
Pricing
product-image-AAA316418_IHC13.jpg IHC (Immunohiostchemistry) (Immunohistochemistry analysis of paraffin-embedded human brain, using NIFK (Phospho-Thr234) Antibody. The picture on the right is blocked with the phospho peptide.)

NIFK, Polyclonal Antibody (Cat# AAA316418)

No reviews yet
Full Name
NIFK (Phospho-Thr234) Antibody
Gene Names
NIFK; Nopp34; MKI67IP
Reactivity
Human, Mouse
Applications
Immunofluorescence, Immunohistochemistry
Purity
Purified from rabbit antiserum by affinity-chromatography using phospho peptide. The antibody against non-phospho peptide was removed by chromatography using corresponding non-phospho peptide.
Pricing
product-image-AAA316423_WB13.jpg WB (Western Blot) (Western blot analysis of lysates from Jurkat cells treated with paclitaxel 1uM 24h, using TOP2A (Phospho-Ser1106) Antibody. The lane on the right is blocked with the phospho peptide.)

TOP2A, Polyclonal Antibody (Cat# AAA316423)

No reviews yet
Full Name
TOP2A (Phospho-Ser1106) Antibody
Gene Names
TOP2A; TOP2; TP2A
Reactivity
Human
Applications
Immunohistochemistry, Western Blot
Purity
Purified from rabbit antiserum by affinity-chromatography using phospho peptide. The antibody against non-phospho peptide was removed by chromatography using corresponding non-phospho peptide.
Pricing
product-image-AAA316426_WB13.jpg WB (Western Blot) (Western blot analysis of lysates from rat brain, using ATP1 alpha1/Na+K+ ATPase1 (Phospho-Ser23) Antibody. The lane on the right is blocked with the phospho peptide.)

ATP1 alpha1/Na+K+ ATPase1, Polyclonal Antibody (Cat# AAA316426)

No reviews yet
Full Name
ATP1 alpha1/Na+K+ ATPase1 (Phospho-Ser23) Antibody
Gene Names
Atp1a1; Nkaa1b
Reactivity
Rat
Applications
Immunofluorescence, Western Blot
Purity
Purified from rabbit antiserum by affinity-chromatography using phospho peptide. The antibody against non-phospho peptide was removed by chromatography using corresponding non-phospho peptide.
Pricing
product-image-AAA316296_WB11.jpg WB (Western Blot) (Western blot analysis of lysates from HepG2 cells, using Bloom Syndrome (Phospho-Thr99) Antibody. The lane on the right is blocked with the phospho peptide.)

Bloom Syndrome, Polyclonal Antibody (Cat# AAA316296)

No reviews yet
Full Name
Bloom Syndrome (Phospho-Thr99) Antibody
Gene Names
BLM; BS; RECQ2; RECQL2; RECQL3
Reactivity
Human
Applications
Immunofluorescence, Immunohistochemistry, Western Blot
Purity
Purified from rabbit antiserum by affinity-chromatography using phospho peptide. The antibody against non-phospho peptide was removed by chromatography using corresponding non-phospho peptide.
Pricing
product-image-AAA316305_WB13.jpg WB (Western Blot) (Western blot analysis of lysates from COS7 cells treated with PMA 125ng/ml 30', using PKC zeta (Phospho-Thr560) Antibody. The lane on the right is blocked with the phospho peptide.)

PKC zeta, Polyclonal Antibody (Cat# AAA316305)

No reviews yet
Full Name
PKC zeta (Phospho-Thr560) Antibody
Gene Names
PRKCZ; PKC2; PKC-ZETA
Reactivity
Human, Mouse, Rat
Applications
Immunohistochemistry, Western Blot
Purity
Purified from rabbit antiserum by affinity-chromatography using phospho peptide. The antibody against non-phospho peptide was removed by chromatography using corresponding non-phospho peptide.
Pricing
product-image-AAA316306_WB13.jpg WB (Western Blot) (Western blot analysis of lysates from NIH/3T3 cells treated with Anisomycin 25ug/ml 30', using PKD1/PKC mu (Phospho-Ser205) Antibody. The lane on the right is blocked with the phospho peptide.)

PKD1/PKC mu, Polyclonal Antibody (Cat# AAA316306)

No reviews yet
Full Name
PKD1/PKC mu (Phospho-Ser205) Antibody
Gene Names
PRKD1; PKD; PKCM; CHDED; PRKCM; PKC-MU
Reactivity
Human, Mouse, Rat
Applications
Immunohistochemistry, Western Blot
Purity
Purified from rabbit antiserum by affinity-chromatography using phospho peptide. The antibody against non-phospho peptide was removed by chromatography using corresponding non-phospho peptide.
Pricing
product-image-AAA316307_WB13.jpg WB (Western Blot) (Western blot analysis of lysates from HepG2 cells, using PKD1/PKC mu (Phospho-Tyr463) Antibody. The lane on the right is blocked with the phospho peptide.)

PKD1/PKC mu, Polyclonal Antibody (Cat# AAA316307)

No reviews yet
Full Name
PKD1/PKC mu (Phospho-Tyr463) Antibody
Gene Names
PRKD1; PKD; PKCM; CHDED; PRKCM; PKC-MU
Reactivity
Human, Mouse, Rat
Applications
Immunohistochemistry, Western Blot
Purity
Purified from rabbit antiserum by affinity-chromatography using phospho peptide. The antibody against non-phospho peptide was removed by chromatography using corresponding non-phospho peptide.
Pricing
product-image-AAA316309_WB13.jpg WB (Western Blot) (Western blot analysis of lysates from K562 cells, using Retinoblastoma (Phospho-Ser811) Antibody. The lane on the right is blocked with the phospho peptide.)

Retinoblastoma, Polyclonal Antibody (Cat# AAA316309)

No reviews yet
Full Name
Retinoblastoma (Phospho-Ser811) Antibody
Gene Names
RB1; RB; pRb; OSRC; pp110; p105-Rb; PPP1R130
Reactivity
Human, Mouse, Rat
Applications
Immunofluorescence, Western Blot
Purity
Purified from rabbit antiserum by affinity-chromatography using phospho peptide. The antibody against non-phospho peptide was removed by chromatography using corresponding non-phospho peptide.
Pricing
product-image-AAA316310_IHC13.jpg IHC (Immunohiostchemistry) (Immunohistochemistry analysis of paraffin-embedded human testis, using Retinoblastoma (Phospho-Thr821) Antibody. The picture on the right is blocked with the phospho peptide.)

Retinoblastoma, Polyclonal Antibody (Cat# AAA316310)

No reviews yet
Full Name
Retinoblastoma (Phospho-Thr821) Antibody
Gene Names
RB1; RB; pRb; OSRC; pp110; p105-Rb; PPP1R130
Reactivity
Human, Mouse, Rat
Applications
Immunofluorescence, Immunohistochemistry
Purity
Purified from rabbit antiserum by affinity-chromatography using phospho peptide. The antibody against non-phospho peptide was removed by chromatography using corresponding non-phospho peptide.
Pricing
product-image-AAA316311_WB13.jpg WB (Western Blot) (Western blot analysis of lysates from Jurkat cells, using TNNI3 (Phospho-Ser43) Antibody. The lane on the right is blocked with the phospho peptide.)

TNNI3, Polyclonal Antibody (Cat# AAA316311)

No reviews yet
Full Name
TNNI3 (Phospho-Ser43) Antibody
Gene Names
TNNI3; CMH7; RCM1; cTnI; CMD2A; TNNC1; CMD1FF
Reactivity
Human, Mouse, Rat
Applications
Immunohistochemistry, Western Blot
Purity
Purified from rabbit antiserum by affinity-chromatography using phospho peptide. The antibody against non-phospho peptide was removed by chromatography using corresponding non-phospho peptide.
Pricing
product-image-AAA316312_WB13.jpg WB (Western Blot) (Western blot analysis of lysates from HUVEC cells treated with PMA 125ng/ml 30', using APC (Phospho-Ser2054) Antibody. The lane on the right is blocked with the phospho peptide.)

APC, Polyclonal Antibody (Cat# AAA316312)

No reviews yet
Full Name
APC (Phospho-Ser2054) Antibody
Gene Names
APC; GS; DP2; DP3; BTPS2; DP2.5; PPP1R46
Reactivity
Human
Applications
Immunohistochemistry, Western Blot
Purity
Purified from rabbit antiserum by affinity-chromatography using phospho peptide. The antibody against non-phospho peptide was removed by chromatography using corresponding non-phospho peptide.
Pricing
product-image-AAA316321_WB11.jpg WB (Western Blot) (Western blot analysis of lysates from K562 cells treated with H2O2 100uM 30', using CaMK4 (Phospho-Thr196/200) Antibody. The lane on the right is blocked with the phospho peptide.)

CaMK4, Polyclonal Antibody (Cat# AAA316321)

No reviews yet
Full Name
CaMK4 (Phospho-Thr196/200) Antibody
Gene Names
CAMK4; caMK; CaMK IV; CaMK-GR
Reactivity
Human, Mouse, Rat
Applications
Immunofluorescence, Immunohistochemistry, Western Blot
Purity
Purified from rabbit antiserum by affinity-chromatography using phospho peptide. The antibody against non-phospho peptide was removed by chromatography using corresponding non-phospho peptide.
Pricing
product-image-AAA316325_WB13.jpg WB (Western Blot) (Western blot analysis of lysates from Jurkat cells, using Catalase (Phospho-Tyr385) Antibody. The lane on the right is blocked with the phospho peptide.)

Catalase, Polyclonal Antibody (Cat# AAA316325)

No reviews yet
Full Name
Catalase (Phospho-Tyr385) Antibody
Reactivity
Human, Mouse, Rat
Applications
Immunohistochemistry, Western Blot
Purity
Purified from rabbit antiserum by affinity-chromatography using phospho peptide. The antibody against non-phospho peptide was removed by chromatography using corresponding non-phospho peptide.
Pricing
product-image-AAA316342_WB11.jpg WB (Western Blot) (Western blot analysis of lysates from HUVEC cells treated with etoposide 25uM 24H, using CXCR4 (Phospho-Ser339) Antibody. The lane on the right is blocked with the phospho peptide.)

CXCR4, Polyclonal Antibody (Cat# AAA316342)

No reviews yet
Full Name
CXCR4 (Phospho-Ser339) Antibody
Reactivity
Human, Mouse
Applications
Immunofluorescence, Immunohistochemistry, Western Blot
Purity
Purified from rabbit antiserum by affinity-chromatography using phospho peptide. The antibody against non-phospho peptide was removed by chromatography using corresponding non-phospho peptide.
Pricing
product-image-AAA316343_WB13.jpg WB (Western Blot) (Western blot analysis of lysates from HepG2 cells, using Keratin 18 (Phospho-Ser52) Antibody. The lane on the right is blocked with the phospho peptide.)

Keratin 18, Polyclonal Antibody (Cat# AAA316343)

No reviews yet
Full Name
Keratin 18 (Phospho-Ser52) Antibody
Gene Names
KRT18; K18; CK-18; CYK18
Reactivity
Human
Applications
Immunofluorescence, Western Blot
Purity
Purified from rabbit antiserum by affinity-chromatography using phospho peptide. The antibody against non-phospho peptide was removed by chromatography using corresponding non-phospho peptide.
Pricing
product-image-AAA316350_WB13.jpg WB (Western Blot) (Western blot analysis of lysates from HUVEC cells, using DAPK3 (Phospho-Thr265) Antibody. The lane on the right is blocked with the phospho peptide.)

DAPK3, Polyclonal Antibody (Cat# AAA316350)

No reviews yet
Full Name
DAPK3 (Phospho-Thr265) Antibody
Gene Names
DAPK3; DLK; ZIP; ZIPK
Reactivity
Human, Mouse, Rat
Applications
Immunofluorescence, Western Blot
Purity
Purified from rabbit antiserum by affinity-chromatography using phospho peptide. The antibody against non-phospho peptide was removed by chromatography using corresponding non-phospho peptide.
Pricing
product-image-AAA316352_IHC13.jpg IHC (Immunohiostchemistry) (Immunohistochemistry analysis of paraffin-embedded human brain, using DDX3/DEAD-box Protein 3 (Phospho-Thr322) Antibody. The picture on the right is blocked with the phospho peptide.)

DDX3/DEAD-box Protein 3, Polyclonal Antibody (Cat# AAA316352)

No reviews yet
Full Name
DDX3/DEAD-box Protein 3 (Phospho-Thr322) Antibody
Gene Names
DDX3X; DBX; DDX3; HLP2; DDX14; CAP-Rf; MRX102
Reactivity
Human, Mouse, Rat
Applications
Immunofluorescence, Immunohistochemistry
Purity
Purified from rabbit antiserum by affinity-chromatography using phospho peptide. The antibody against non-phospho peptide was removed by chromatography using corresponding non-phospho peptide.
Pricing
product-image-AAA316354_WB13.jpg WB (Western Blot) (Western blot analysis of lysates from HepG2 cells treated with Insulin 0.01U/ml 15', using Dematin (Phospho-Ser403) Antibody. The lane on the right is blocked with the phospho peptide.)

Dematin, Polyclonal Antibody (Cat# AAA316354)

No reviews yet
Full Name
Dematin (Phospho-Ser403) Antibody
Gene Names
DMTN; DMT; EPB49
Reactivity
Human, Mouse
Applications
Immunohistochemistry, Western Blot
Purity
Purified from rabbit antiserum by affinity-chromatography using phospho peptide. The antibody against non-phospho peptide was removed by chromatography using corresponding non-phospho peptide.
Pricing
product-image-AAA316358_WB13.jpg WB (Western Blot) (Western blot analysis of lysates from K562 cells, using Epo-R (Phospho-Tyr368) Antibody. The lane on the right is blocked with the phospho peptide.)

Epo-R, Polyclonal Antibody (Cat# AAA316358)

No reviews yet
Full Name
Epo-R (Phospho-Tyr368) Antibody
Gene Names
EPOR; EPO-R
Reactivity
Human, Mouse, Rat
Applications
Immunofluorescence, Western Blot
Purity
Purified from rabbit antiserum by affinity-chromatography using phospho peptide. The antibody against non-phospho peptide was removed by chromatography using corresponding non-phospho peptide.
Pricing
product-image-AAA316359_WB13.jpg WB (Western Blot) (Western blot analysis of lysates from mouse brain, using ERK3 (Phospho-Ser189) Antibody. The lane on the right is blocked with the phospho peptide.)

ERK3, Polyclonal Antibody (Cat# AAA316359)

No reviews yet
Full Name
ERK3 (Phospho-Ser189) Antibody
Gene Names
MAPK6; ERK3; PRKM6; p97MAPK; HsT17250
Reactivity
Human, Mouse, Rat
Applications
Immunohistochemistry, Western Blot
Purity
Purified from rabbit antiserum by affinity-chromatography using phospho peptide. The antibody against non-phospho peptide was removed by chromatography using corresponding non-phospho peptide.
Pricing
product-image-AAA316362_IHC13.jpg IHC (Immunohiostchemistry) (Immunohistochemistry analysis of paraffin-embedded human brain, using FAK (Phospho-Ser910) Antibody. The picture on the right is blocked with the phospho peptide.)

FAK, Polyclonal Antibody (Cat# AAA316362)

No reviews yet
Full Name
FAK (Phospho-Ser910) Antibody
Gene Names
PTK2; FAK; FADK; FAK1; FRNK; PPP1R71; p125FAK; pp125FAK
Reactivity
Human, Mouse, Rat
Applications
Immunofluorescence, Immunohistochemistry
Purity
Purified from rabbit antiserum by affinity-chromatography using phospho peptide. The antibody against non-phospho peptide was removed by chromatography using corresponding non-phospho peptide.
Pricing
product-image-AAA316596_WB13.jpg WB (Western Blot) (Western blot analysis of lysates from COS7 cells treated with UV 15', using Catenin-beta (Phospho-Tyr489) Antibody. The lane on the right is blocked with the phospho peptide.)

Catenin-beta, Polyclonal Antibody (Cat# AAA316596)

No reviews yet
Full Name
Catenin-beta (Phospho-Tyr489) Antibody
Gene Names
CTNNB1; EVR7; CTNNB; MRD19; armadillo
Reactivity
Human, Mouse, Rat
Applications
Immunohistochemistry, Western Blot
Purity
Purified from rabbit antiserum by affinity-chromatography using phospho peptide. The antibody against non-phospho peptide was removed by chromatography using corresponding non-phospho peptide.
Pricing
product-image-AAA316599_WB13.jpg WB (Western Blot) (Western blot analysis of lysates from Jurkat cells treated with TNF 2500U/ML 30', using HSF1 (Phospho-Ser121) Antibody. The lane on the right is blocked with the phospho peptide.)

HSF1, Polyclonal Antibody (Cat# AAA316599)

No reviews yet
Full Name
HSF1 (Phospho-Ser121) Antibody
Gene Names
HSF1; HSTF1
Reactivity
Human, Mouse
Applications
Immunohistochemistry, Western Blot
Purity
Purified from rabbit antiserum by affinity-chromatography using phospho peptide. The antibody against non-phospho peptide was removed by chromatography using corresponding non-phospho peptide.
Pricing
product-image-AAA316600_WB13.jpg WB (Western Blot) (Western blot analysis of lysates from NIH/3T3 cells treated with IFN 2500U/ml 30', using Merlin (Phospho-Ser10) Antibody. The lane on the right is blocked with the phospho peptide.)

Merlin, Polyclonal Antibody (Cat# AAA316600)

No reviews yet
Full Name
Merlin (Phospho-Ser10) Antibody
Gene Names
NF2; ACN; SCH; BANF
Reactivity
Human, Mouse, Rat
Applications
Immunohistochemistry, Western Blot
Purity
Purified from rabbit antiserum by affinity-chromatography using phospho peptide. The antibody against non-phospho peptide was removed by chromatography using corresponding non-phospho peptide.
Pricing
product-image-AAA316601_WB13.jpg WB (Western Blot) (Western blot analysis of lysates from HeLa cells treated with Adriamycin 0.5ug/ml 24h, using p53 (Phospho-Ser366) Antibody. The lane on the right is blocked with the phospho peptide.)

p53, Polyclonal Antibody (Cat# AAA316601)

No reviews yet
Full Name
p53 (Phospho-Ser366) Antibody
Gene Names
TP53; P53; BCC7; LFS1; TRP53
Reactivity
Human
Applications
Immunohistochemistry, Western Blot
Purity
Purified from rabbit antiserum by affinity-chromatography using phospho peptide. The antibody against non-phospho peptide was removed by chromatography using corresponding non-phospho peptide.
Pricing
product-image-AAA316603_WB13.jpg WB (Western Blot) (Western blot analysis of lysates from Jurkat cells treated with PMA 125ng/ml 30', using SRF (Phospho-Ser77) Antibody. The lane on the right is blocked with the phospho peptide.)

SRF, Polyclonal Antibody (Cat# AAA316603)

No reviews yet
Full Name
SRF (Phospho-Ser77) Antibody
Gene Names
SRF; MCM1
Reactivity
Human, Mouse
Applications
Immunohistochemistry, Western Blot
Purity
Purified from rabbit antiserum by affinity-chromatography using phospho peptide. The antibody against non-phospho peptide was removed by chromatography using corresponding non-phospho peptide.
Pricing
product-image-AAA316609_WB13.jpg WB (Western Blot) (Western blot analysis of lysates from rat brain, using CaMK2-beta/gamma/delta (Phospho-Thr287) Antibody. The lane on the right is blocked with the phospho peptide.)

CaMK2-beta/gamma/delta, Polyclonal Antibody (Cat# AAA316609)

No reviews yet
Full Name
CaMK2-beta/gamma/delta (Phospho-Thr287) Antibody
Gene Names
CAMK2B; CAM2; CAMK2; CAMKB; MRD54
Reactivity
Human, Mouse, Rat
Applications
Immunohistochemistry, Western Blot
Purity
Purified from rabbit antiserum by affinity-chromatography using phospho peptide. The antibody against non-phospho peptide was removed by chromatography using corresponding non-phospho peptide.
Pricing
product-image-AAA316615_WB13.jpg WB (Western Blot) (Western blot analysis of lysates from Jurkat cells, using MAP3K1 (Phospho-Thr1402) Antibody. The lane on the right is blocked with the phospho peptide.)

MAP3K1, Polyclonal Antibody (Cat# AAA316615)

No reviews yet
Full Name
MAP3K1 (Phospho-Thr1402) Antibody
Gene Names
MAP3K1; MEKK; MEKK1; SRXY6; MEKK 1; MAPKKK1
Reactivity
Human, Mouse, Rat
Applications
Immunohistochemistry, Western Blot
Purity
Purified from rabbit antiserum by affinity-chromatography using phospho peptide. The antibody against non-phospho peptide was removed by chromatography using corresponding non-phospho peptide.
Pricing
product-image-AAA316621_WB13.jpg WB (Western Blot) (Western blot analysis of lysates from NIH/3T3 cells treated with EGF 200ng/ml 5', using MSK1 (Phospho-Ser212) Antibody. The lane on the right is blocked with the phospho peptide.)

MSK1, Polyclonal Antibody (Cat# AAA316621)

No reviews yet
Full Name
MSK1 (Phospho-Ser212) Antibody
Gene Names
RPS6KA5; MSK1; RLPK; MSPK1
Reactivity
Human, Mouse
Applications
Immunohistochemistry, Western Blot
Purity
Purified from rabbit antiserum by affinity-chromatography using phospho peptide. The antibody against non-phospho peptide was removed by chromatography using corresponding non-phospho peptide.
Pricing
product-image-AAA316627_WB13.jpg WB (Western Blot) (Western blot analysis of lysates from 293 cells treated with UV 15', using RIPK2 (Phospho-Ser176) Antibody. The lane on the right is blocked with the phospho peptide.)

RIPK2, Polyclonal Antibody (Cat# AAA316627)

No reviews yet
Full Name
RIPK2 (Phospho-Ser176) Antibody
Gene Names
RIPK2; CCK; RICK; RIP2; CARD3; GIG30; CARDIAK
Reactivity
Human, Mouse
Applications
Immunohistochemistry, Western Blot
Purity
Purified from rabbit antiserum by affinity-chromatography using phospho peptide. The antibody against non-phospho peptide was removed by chromatography using corresponding non-phospho peptide.
Pricing
product-image-AAA316634_WB13.jpg WB (Western Blot) (Western blot analysis of lysates from COS7 cells, using FRS2 (Phospho-Tyr436) Antibody. The lane on the right is blocked with the phospho peptide.)

FRS2, Polyclonal Antibody (Cat# AAA316634)

No reviews yet
Full Name
FRS2 (Phospho-Tyr436) Antibody
Gene Names
FRS2; SNT; SNT1; FRS1A; FRS2A; SNT-1; FRS2alpha
Reactivity
Human, Mouse
Applications
Immunohistochemistry, Western Blot
Purity
Purified from rabbit antiserum by affinity-chromatography using phospho peptide. The antibody against non-phospho peptide was removed by chromatography using corresponding non-phospho peptide.
Pricing
product-image-AAA316638_WB13.jpg WB (Western Blot) (Western blot analysis of lysates from Jurkat cells treated with TNF 20ng/ml 30', using NMDAR2B (Phospho-Tyr1336) Antibody. The lane on the right is blocked with the phospho peptide.)

NMDAR2B, Polyclonal Antibody (Cat# AAA316638)

No reviews yet
Full Name
NMDAR2B (Phospho-Tyr1336) Antibody
Gene Names
GRIN2B; NR3; MRD6; NR2B; hNR3; EIEE27; GluN2B; NMDAR2B
Reactivity
Human, Mouse, Rat
Applications
Immunohistochemistry, Western Blot
Purity
Purified from rabbit antiserum by affinity-chromatography using phospho peptide. The antibody against non-phospho peptide was removed by chromatography using corresponding non-phospho peptide.
Pricing
product-image-AAA316641_WB13.jpg WB (Western Blot) (Western blot analysis of lysates from K562 cells treated with serum 20% 15', using Ephrin B1/B2/B3 (Phospho-Tyr324) Antibody. The lane on the right is blocked with the phospho peptide.)

Ephrin B1/B2/B3, Polyclonal Antibody (Cat# AAA316641)

No reviews yet
Full Name
Ephrin B1/B2/B3 (Phospho-Tyr324) Antibody
Gene Names
EFNB1; CFND; CFNS; EFB1; EFL3; EPLG2; Elk-L; LERK2
Reactivity
Human, Mouse, Rat
Applications
Immunohistochemistry, Western Blot
Purity
Purified from rabbit antiserum by affinity-chromatography using phospho peptide. The antibody against non-phospho peptide was removed by chromatography using corresponding non-phospho peptide.
Pricing
product-image-AAA316642_WB13.jpg WB (Western Blot) (Western blot analysis of lysates from 293 cells treated with UV 15', using ATRIP (Phospho-Ser224) Antibody. The lane on the right is blocked with the phospho peptide.)

ATRIP, Polyclonal Antibody (Cat# AAA316642)

No reviews yet
Full Name
ATRIP (Phospho-Ser224) Antibody
Reactivity
Human
Applications
Immunohistochemistry, Western Blot
Purity
Purified from rabbit antiserum by affinity-chromatography using phospho peptide. The antibody against non-phospho peptide was removed by chromatography using corresponding non-phospho peptide.
Pricing
product-image-AAA316644_WB13.jpg WB (Western Blot) (Western blot analysis of lysates from HT29 cells treated with heat shock, using CRMP-2 (Phospho-Thr509) Antibody. The lane on the right is blocked with the phospho peptide.)

CRMP-2, Polyclonal Antibody (Cat# AAA316644)

No reviews yet
Full Name
CRMP-2 (Phospho-Thr509) Antibody
Gene Names
DPYSL2; DRP2; N2A3; CRMP2; DRP-2; ULIP2; CRMP-2; DHPRP2; ULIP-2
Reactivity
Human, Mouse, Rat
Applications
Immunohistochemistry, Western Blot
Purity
Purified from rabbit antiserum by affinity-chromatography using phospho peptide. The antibody against non-phospho peptide was removed by chromatography using corresponding non-phospho peptide.
Pricing
product-image-AAA316657_WB13.jpg WB (Western Blot) (Western blot analysis of lysates from HeLa cells treated with EPO 20U/ml 15', using p16-INK4a (Phospho-Ser152) Antibody. The lane on the right is blocked with the phospho peptide.)

p16-INK4a, Polyclonal Antibody (Cat# AAA316657)

No reviews yet
Full Name
p16-INK4a (Phospho-Ser152) Antibody
Gene Names
CDKN2A; ARF; MLM; P14; P16; P19; CMM2; INK4; MTS1; TP16; CDK4I; CDKN2; INK4A; MTS-1; P14ARF; P19ARF; P16INK4; P16INK4A; P16-INK4A
Reactivity
Human
Applications
Immunohistochemistry, Western Blot
Purity
Purified from rabbit antiserum by affinity-chromatography using phospho peptide. The antibody against non-phospho peptide was removed by chromatography using corresponding non-phospho peptide.
Pricing
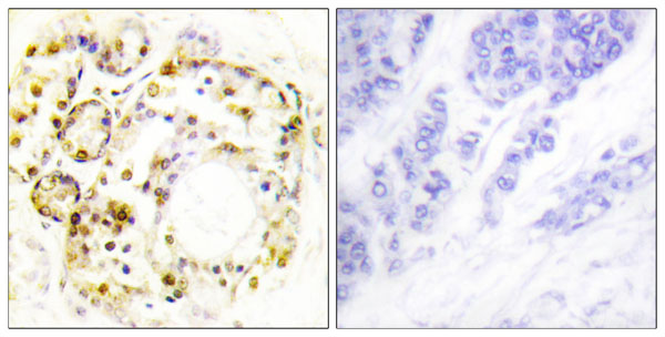
product-image-AAA318655_IHC13.png IHC (Immunohiostchemistry) (Immunohistochemical analysis of paraffin-embedded human liver cancer. 1, Antibody was diluted at 1:200(4 degree overnight). 2, Tris-EDTA,pH9.0 was used for antigen retrieval. 3,Secondary antibody was diluted at 1:200(room temperature, 45min).)

Rad50, Polyclonal Antibody (Cat# AAA318655)

No reviews yet
Full Name
Rad50 (Phospho-Ser635) Rabbit Polyclonal Antibody
Gene Names
RAD50; NBSLD; RAD502; hRad50
Reactivity
Human, Rat, Mouse
Applications
Western Blot
Purity
The antibody was affinity-purified from rabbit serum by affinity-chromatography using specific immunogen.
Pricing
product-image-AAA318398_WB13.jpg WB (Western Blot) (Western blot analysis of lysates from Jurkat cells treated with starved 24h, using TIF-IA (Phospho-Ser649) Antibody.)

TIF-IA, Polyclonal Antibody (Cat# AAA318398)

No reviews yet
Full Name
TIF-IA (Phospho-Ser649) Antibody
Gene Names
RRN3; TIFIA; A-270G1.2
Reactivity
Human
Applications
Immunohistochemistry, Western Blot
Purity
Purified from rabbit antiserum by affinity-chromatography using phospho peptide. The antibody against non-phospho peptide was removed by chromatography using corresponding non-phospho peptide.
Pricing
product-image-AAA318334_WB13.jpg WB (Western Blot) (Western blot analysis of lysates from HepG2 cells, using IRS-1 (Phospho-Ser312) Antibody.)

IRS-1, Polyclonal Antibody (Cat# AAA318334)

No reviews yet
Full Name
IRS-1 (Phospho-Ser312) Antibody
Gene Names
IRS1; HIRS-1
Reactivity
Human, Mouse, Rat
Applications
Western Blot
Purity
Purified from rabbit antiserum by affinity-chromatography using phospho peptide. The antibody against non-phospho peptide was removed by chromatography using corresponding non-phospho peptide.
Pricing

What Are Phospho Antibodies?


Protein phosphorylation is a process where a phosphate group is added to certain amino acid residues of a protein – usually serine (S), threonine (T), or tyrosine (Y) - by enzymes called kinases. This process is integral in controlling cellular signaling, cellular growth, and other biological functions.


Our catalog includes a wide range of phospho-specific antibodies that can accurately detect this important marker. They perform strongly in widely-used laboratory applications such as Western blot, flow cytometry, immunohistochemistry, and immunofluorescence microscopy. We value your trust in us and are committed to providing top-quality products and services. All of our antibodies are guaranteed to work for the applications and species indicated on our website & associated product pages.


What Are The Key Applications of Phospho Antibodies?


1. Western Blotting


One of the first steps a researcher can take in utilizing these phospho-specific antibodies, is to check if the antibody works using a technique referred to as “Western blot”. For those unfamiliar, Western Blot aids in showing whether the protein that the antibody recognizes is appearing at the correct/expected size. These phospho-specific antibodies should also be able to detect changes in the target protein’s phosphorylation (on/off state) when cells are stimulated in certain ways.


2. Staining of Fixed Cells (Immunocytochemistry)


Another routine use of these phospho-specific antibodies, is to test if the antibody is able to demonstrate similar performance when used on fixed cells (intact cells that have been preserved) as it did in the Western blot tests. It is an important aspect in many cases to confirm that the antibody works in actual intact cell samples. Ideally, the method used for cellular fixation should be the same as what is used in pathology labs (like using 10% formalin). To check if the antibody works well in tissue sections (FFPE), researchers will often test it on fixed cells that are processed similar to tissue samples.


3. Specificity Tests Using Peptides


In order to make sure that the antibody is only binding to the right target:


  • Laboratory technicians will mix the antibody with phospho-peptides (short segments of the protein containing the phosphate group modification).

  • If the antibody signal disappears, it is confirmation that it is binding to the correct phosphorylated location.

  • A more robust test is to use both the phosphorylated and non-phosphorylated (dephosphorylated) versions of the protein. The antibody should react only with the phosphorylated one.

  • Another method sometimes utilized is to treat the sample with an enzyme, such as alkaline phosphatase, that specifically removes phosphate groups. If the antibody signal disappears after this, it also confirms specificity.


4. Genetic Confirmation


As a final step, scientists can genetically manipulate the nucleotide sequence and alter the target protein by removing the exact site where phosphorylation happens. If the antibody no longer appears to detect the modified protein, it is strong evidence supporting the antibody being specific for that phosphorylated site.


Why Buy Phospho Antibodies Through Us?


  • The production laboratory adheres to strict and consistent protocols prior to releasing any of these phospho-specific antibodies:

  • Standard methods and proper controls in all tests to ensure high quality.

  • These antibodies are tested and validated in different cell types and species.

  • High quality control criterion to ensure each batch is consistent, so you will obtain reliable results every time.


FAQ


1. What Are Phospho-Specific Antibodies?


Phospho-specific antibodies are made to detect proteins only when they have a phosphate group linked to a specific amino acid residue. This empowers scientists understand if a protein is "turned on" or active, based on its phosphorylation state.


2. How to Detect Phosphorylated Proteins in a Western Blot?


To find out if a protein is phosphorylated using Western blot:


  • Use a phospho-specific antibody that binds only to the phosphorylated form of the protein.

  • You can also use a “regular” antibody for the same amino acid sequence of the protein that the phospho-specific antibody is binding to (but in this case, this antibody will not bind if there is a phosphate group present) in order to compare how much of it is phosphorylated versus how much is non-phosphorylated (or “total” protein, if the “normal” antibody’s epitopes are non-phospho-site-specific).


3. How to Choose the Best Antibody?


Here are some simple tips to help you pick the right antibody:


  • Know your target

  • Match your sample characteristics

  • Confirm the intended use is appropriate

  • Check “host” and “type”

  • Check the “quality” of the presented data/images

  • Appraise whether the available validation meets your needs


Submit a Question

Please complete the form below and a representative will contact you as soon as possible.

Request more Information

Please complete the form below and a representative will contact you as soon as possible.

Request a Manual

Please complete the form below and a representative will contact you as soon as possible.

Request a Quote

Please complete the form below and a representative will contact you as soon as possible.