Loading...

Skip to main content
Call us at +1-800-604-9114 for more information about our products or contact us online Need help? +1-800-604-9114 or contact us

Filters


Clonality

Type

Reactivity

Gene Name

Isotype

Host

Application

Clone

Phospho Antibodies

Phospho-specific antibodies’ typical purpose is to enable researchers to detect changes in proteins. They will exclusively bind to the amino acid sequence on a protein that has been phosphorylated (which is both a physical & chemical change) and do not bind to the same amino acid sequence on said protein if it lacks said phosphorylation. This aids in being able to clearly see and understand the data produced from this particular protein modification.


Viewing 4400-4450 of 5298 product results


product-image-AAA243171_IHC13.jpg IHC (Immunohiostchemistry) (Immunohistochemical analysis of paraffin-embedded human breast carcinoma tissue using NF-κB p105 (phospho-Ser893) antibody.)

NFKB1, Polyclonal Antibody (Cat# AAA243171)

No reviews yet
Full Name
Phospho-NFKB1 (Ser893) Antibody
Gene Names
NFKB1; p50; KBF1; p105; EBP-1; NF-kB1; NFKB-p50; NFkappaB; NF-kappaB; NFKB-p105; NF-kappa-B
Reactivity
Human
Applications
Immunofluorescence, Immunohistochemistry
Purity
Antibodies were produced by immunizing rabbits with synthetic peptide and KLH conjugates. Antibodies were Purified by affinity-chromatography using epitope-specific peptide.
Pricing
product-image-AAA243204_IHC13.jpg IHC (Immunohiostchemistry) (Immunohistochemical analysis of paraffin-embedded human brain tissue using Retinoblastoma (Phospho-Ser608) antibody (left)or the same antibody preincubated with blocking peptide (right).)

RB1, Polyclonal Antibody (Cat# AAA243204)

No reviews yet
Full Name
Phospho-RB1 (Ser608) Antibody
Gene Names
RB1; RB; pRb; OSRC; pp110; p105-Rb
Reactivity
Human, Mouse
Applications
Immunohistochemistry, Western Blot
Purity
Antibodies were produced by immunizing rabbits with synthetic phosphopeptide and KLH conjugates. Antibodies were purified by affinity-chromatography using epitope-specific phosphopeptide. Non-phospho specific antibodies were removed by chromatography usin
Pricing
product-image-AAA243126_IHC13.jpg IHC (Immunohiostchemistry) (Immunohistochemical analysis of paraffin-embedded human breast carcinoma tissue using IRS-1(Phospho-Ser639) Antibody(left) or the same antibody preincubated with blocking peptide(right).)

IRS1, Polyclonal Antibody (Cat# AAA243126)

No reviews yet
Full Name
Phospho-IRS1 (Ser639) Antibody
Gene Names
IRS1; HIRS-1
Reactivity
Human, Mouse, Rat
Applications
Immunohistochemistry, Western Blot
Purity
Antibodies were produced by immunizing rabbits with synthetic phosphopeptide and KLH conjugates. Antibodies were purified by affinity-chromatography using epitope-specific phosphopeptide. Non-phospho specific antibodies were removed by chromatography usin
Pricing
product-image-AAA243128_IHC13.jpg IHC (Immunohiostchemistry) (Immunohistochemical analysis of paraffin-embedded human breast carcinoma tissue using BRCA1(Phospho-Ser1423) Antibody(left) or the same antibody preincubated with blocking peptide(right).)

BRCA1, Polyclonal Antibody (Cat# AAA243128)

No reviews yet
Full Name
Phospho-BRCA1 (Ser1423) Antibody
Gene Names
BRCA1; IRIS; PSCP; BRCAI; BRCC1; PNCA4; RNF53; BROVCA1; PPP1R53
Reactivity
Human
Applications
Immunohistochemistry, Western Blot
Purity
Antibodies were produced by immunizing rabbits with synthetic phosphopeptide and KLH conjugates. Antibodies were purified by affinity-chromatography using epitope-specific phosphopeptide. Non-phospho specific antibodies were removed by chromatography usin
Pricing
product-image-AAA243151_IHC13.jpg IHC (Immunohiostchemistry) (Immunohistochemical analysis of paraffin-embedded human breast carcinoma tissue using Smad3(Phospho-Ser425) Antibody(left) or the same antibody preincubated with blocking peptide(right).)

SMAD3, Polyclonal Antibody (Cat# AAA243151)

No reviews yet
Full Name
Phospho-SMAD3 (Ser425) Antibody
Gene Names
SMAD3; LDS3; LDS1C; MADH3; JV15-2; HSPC193; HsT17436
Reactivity
Human, Mouse, Rat
Applications
Immunohistochemistry, Western Blot
Purity
Antibodies were produced by immunizing rabbits with synthetic phosphopeptide and KLH conjugates. Antibodies were purified by affinity-chromatography using epitope-specific phosphopeptide. Non-phospho specific antibodies were removed by chromatography usin
Pricing
product-image-AAA243161_IHC13.jpg IHC (Immunohiostchemistry) (Immunohistochemical analysis of paraffin-embedded human breast carcinoma tissue using c-kit(Phospho-Tyr936) Antibody(left) or the same antibody preincubated with blocking peptide(right).)

KIT, Polyclonal Antibody (Cat# AAA243161)

No reviews yet
Full Name
Phospho-KIT (Tyr936) Antibody
Gene Names
KIT; PBT; SCFR; C-Kit; CD117
Reactivity
Human
Applications
Immunohistochemistry, Western Blot
Purity
Antibodies were produced by immunizing rabbits with synthetic phosphopeptide and KLH conjugates. Antibodies were purified by affinity-chromatography using epitope-specific phosphopeptide. Non-phospho specific antibodies were removed by chromatography usin
Pricing
product-image-AAA247359_SC15.jpg Standard Curve (Sample)

Phospho c-Jun N-Terminal Kinase 1, ELISA Kit (Cat# AAA247359)

No reviews yet
Full Name
Mouse Phospho c-Jun N-Terminal Kinase 1 ELISA Kit
Reactivity
Mouse
Pricing
product-image-AAA235168_IHC11.jpg IHC (Immunohistochemisry) (Immunofluorescence staining of Hela cells with AAA235168 at 1:31, counter-stained with DAPI. The cells were fixed in 4% formaldehyde, permeabilized using 0.2% Triton X-100 and blocked in 10% normal Goat Serum. The cells were then incubated with the antibody overnight at 4 degree C.The secondary antibody was Alexa Fluor 488-congugated AffiniPure Goat Anti-Rabbit IgG (H+L).)

Histone H3.1, Monoclonal Recombinant Antibody (Cat# AAA235168)

No reviews yet
Full Name
Phospho-Histone H3.1 (S10) Antibody
Gene Names
HIST1H3A; H3/A; H3FA
Reactivity
Human
Applications
Immunofluorescence, Immunocytochemistry, Western Blot
Purity
Affinity-chromatography
Pricing
product-image-AAA128126_WB13.jpg WB (Western Blot) (Western blot analysis of extracts from HeLa cells, using ADCY1 antibody.)

PKA C, Monoclonal Antibody (Cat# AAA128126)

No reviews yet
Full Name
Anti-Phospho-PKA C (Thr197) Rabbit Monoclonal Antibody
Gene Names
PRKACG; KAPG; PKACg
Reactivity
Human, Mouse, Rat
Applications
Immunohistochemistry, Western Blot
Purity
Affinity-chromatography
Pricing
product-image-AAA128135_WB13.jpg WB (Western Blot) (All lanes use the Antibody at 1:2W dilution for 1 hour at room temperature.)

Phospholamban, Monoclonal Antibody (Cat# AAA128135)

No reviews yet
Full Name
Anti-Phospho-Phospholamban (S16) Rabbit Monoclonal Antibody
Gene Names
PLN; PLB; CMD1P; CMH18
Reactivity
Human, Mouse
Applications
Western Blot
Purity
Affinity-chromatography
Pricing
product-image-AAA128174_WB13.jpg WB (Western Blot) (All lanes use the Antibody at 1:1K dilution for 1 hour at room temperature.)

UBF1, Monoclonal Antibody (Cat# AAA128174)

No reviews yet
Full Name
Anti-Phospho-UBF1 (S484) Rabbit Monoclonal Antibody
Gene Names
UBTF; UBF; UBF1; UBF-1; NOR-90
Reactivity
Human, Mouse, Rat
Applications
Immunohistochemistry, Western Blot
Purity
Affinity-chromatography
Pricing
product-image-AAA128176_WB11.jpg WB (Western Blot) (All lanes use the Antibody at 1:6K dilution for 1 hour at room temperature.)

P70 S6 Kinase beta, Monoclonal Antibody (Cat# AAA128176)

No reviews yet
Full Name
Anti-Phospho-P70 S6 Kinase beta (S371) Rabbit Monoclonal Antibody
Gene Names
RPS6KB2; KLS; SRK; S6K2; STK14B; p70S6Kb; P70-beta; S6K-beta2; P70-beta-1; P70-beta-2; p70(S6K)-beta
Reactivity
Human, Mouse, Rat
Applications
Western Blot
Purity
Affinity-chromatography
Pricing
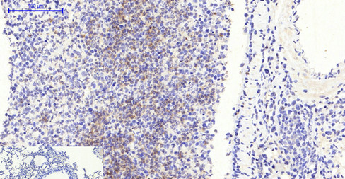
product-image-AAA213995_IHC13.jpg IHC (Immunohiostchemistry) (Detection of mouse Phospho-RNA Polymerase II (S2) by immunohistochemistry. Samples: FFPE serial sections of mouse teratoma. Mock phosphatase treated section (left) or calf intestinal phosphatase-treated section (right) immunostained for Phospho-RNA Polymerase II (S2). Antibody: Affinity purified rabbit anti-Phospho-RNA Polymerase II (S2) (Cat. No. AAA213995) used at a dilution of 1:250. Detection: DAB)

RNA Polymerase II, Polyclonal Antibody (Cat# AAA213995)

No reviews yet
Full Name
Rabbit anti-Phospho RNA Polymerase II (S2) IHC Antibody, Affinity Purified
Gene Names
POLR2A; RPB1; RPO2; POLR2; POLRA; RPBh1; RPOL2; RpIILS; hsRPB1; hRPB220
Reactivity
Human, Mouse
Applications
Immunohistochemistry
Purity
Antigen Affinity Purified
Pricing
product-image-AAA209546_SC15.jpg Standard Curve (Sample)

Phospho-Bad, ELISA Kit (Cat# AAA209546)

No reviews yet
Full Name
Rat Phospho-Bad ELISA Kit
Reactivity
Rat
Pricing
product-image-AAA209692_SC15.jpg Standard Curve (Sample)

Phospho Calcium/Calmodulin-Dependent Protein Kinase-II, ELISA Kit (Cat# AAA209692)

No reviews yet
Full Name
Rat Phospho Calcium/Calmodulin-Dependent Protein Kinase-II ELISA Kit
Reactivity
Rat
Pricing
product-image-AAA209489_SC15.jpg Standard Curve (Sample)

Phospho-Extracellular Signal-Regulated Kinase 2 (PERK1/2), ELISA Kit (Cat# AAA209489)

No reviews yet
Full Name
Rat Phospho-Extracellular Signal-Regulated Kinase 2 (PERK1/2) ELISA Kit
Reactivity
Rat
Pricing
product-image-AAA211747_WB11.jpg WB (Western Blot) (Detection of human Phospho RelA (S468) by western blot. Samples: Whole cell lysate (50 ug) from Jurkat cells treated with TNF alpha and Calyculin A (+) or mock treated (-). Antibodies: Affinity purified rabbit anti-Phospho RelA (S468) antibody AAA211747 (lot AAA211747-3) used for WB at 0.1 ug/ml. Detection: Chemiluminescence with an exposure time of 10 seconds.)

RelA, Polyclonal Antibody (Cat# AAA211747)

No reviews yet
Full Name
Rabbit anti-Phospho RelA (S468) Antibody, Affinity Purified
Reactivity
Human, Mouse
Applications
Immunohistochemistry, Western Blot
Purity
Antigen Affinity Purified
Pricing
product-image-AAA171877_WB15.jpg WB (Western Blot) (Western Blot analysis of 3T3 cells with Phospho-MerTK/Tyro3 (Tyr749/681) Polyclonal Antibody at dilution of 1:500)

MerTK/Tyro3, Polyclonal Antibody (Cat# AAA171877)

No reviews yet
Full Name
Phospho-MerTK/Tyro3 (Y749/681) Polyclonal Antibody
Gene Names
MERTK; MER; RP38; c-Eyk; c-mer; Tyro12
Reactivity
Human, Mouse, Rat
Applications
Immunohistochemistry, Western Blot
Purity
Affinity purification
Pricing
product-image-AAA171800_WB15.jpg WB (Western Blot) (Western Blot analysis of various cells with Phospho-Stat6 (Tyr641) Polyclonal Antibody)

Stat6, Polyclonal Antibody (Cat# AAA171800)

No reviews yet
Full Name
Phospho-Stat6 (Y641) Polyclonal Antibody
Gene Names
STAT6; STAT6B; STAT6C; D12S1644; IL-4-STAT
Reactivity
Human, Mouse, Rat
Applications
Immunohistochemistry, Western Blot
Purity
Affinity Purification
Pricing
product-image-AAA172001_IF11.jpg IF (Immunofluorescence) (Immunofluorescence analysis of Rat lung tissue with Phospho-p38 (Thr180) Polyclonal Antibody at dilution of 1:200)

p38, Polyclonal Antibody (Cat# AAA172001)

No reviews yet
Full Name
Phospho-p38 (T180) Polyclonal Antibody
Reactivity
Human, Mouse, Rat, Monkey
Applications
Immunofluorescence, Western Blot
Purity
Antigen Affinity Purified
Pricing
product-image-AAA171690_IF11.jpg IF (Immunofluorescence) (Immunofluorescence analysis of Rat spleen tissue with Phospho-I?B-? (Ser32/S36) Polyclonal Antibody at dilution of 1:200)

IkappaB-alpha, Polyclonal Antibody (Cat# AAA171690)

No reviews yet
Full Name
Phospho-IkappaB-alpha (S32/S36) Polyclonal Antibody
Reactivity
Human, Mouse, Rat, Monkey
Applications
Immunofluorescence, Immunohistochemistry, Western Blot
Purity
Antigen Affinity Purified
Pricing
product-image-AAA171643_IF11.jpg IF (Immunofluorescence) (Immunofluorescence analysis of Rat spleen tissue with Phospho-ERK 1/2 (Tyr222/205) Polyclonal Antibody at dilution of 1:200)

ERK 1/2, Polyclonal Antibody (Cat# AAA171643)

No reviews yet
Full Name
Phospho-ERK 1/2 (Y222/205) Polyclonal Antibody
Reactivity
Human, Mouse, Rat
Applications
Western Blot
Purity
Antigen Affinity Purified
Pricing
product-image-AAA171662_IF11.jpg IF (Immunofluorescence) (Immunofluorescence analysis of Rat spleen tissue with Phospho-ERK 1/2 (Thr202/Tyr204) Polyclonal Antibody at dilution of 1:200)

ERK 1/2, Polyclonal Antibody (Cat# AAA171662)

No reviews yet
Full Name
Phospho-ERK 1/2 (T202/Y204) Polyclonal Antibody
Reactivity
Human, Mouse, Rat
Applications
Immunohistochemistry, Western Blot
Purity
Antigen Affinity Purified
Pricing
product-image-AAA202884_SC15.jpg Standard Curve (Sample)

Phospho-Extracellular Signal-Regulated Kinase (PERK1/2), ELISA Kit (Cat# AAA202884)

No reviews yet
Full Name
Human Phospho-Extracellular Signal-Regulated Kinase (PERK1/2) ELISA Kit
Gene Names
MAPK3; ERK1; ERT2; ERK-1; PRKM3; P44ERK1; P44MAPK; HS44KDAP; HUMKER1A; p44-ERK1; p44-MAPK
Reactivity
Human
Pricing
product-image-AAA172193_IF11.jpg IF (Immunofluorescence) (Immunofluorescence analysis of Rat lung tissue with Phospho-mTOR (Ser2448) Polyclonal Antibody at dilution of 1:200)

mTOR, Polyclonal Antibody (Cat# AAA172193)

No reviews yet
Full Name
Phospho-mTOR (S2448) Polyclonal Antibody
Reactivity
Human, Mouse, Rat
Applications
Immunofluorescence, Immunohistochemistry, Western Blot
Purity
Affinity purification
Pricing
product-image-AAA172206_WB15.jpg WB (Western Blot) (Western Blot analysis of 293T cells with Phospho-KIF20A (Ser528) Polyclonal Antibody)

KIF20A, Polyclonal Antibody (Cat# AAA172206)

No reviews yet
Full Name
Phospho-KIF20A (S528) Polyclonal Antibody
Gene Names
KIF20A; MKLP2; RAB6KIFL
Reactivity
Human
Applications
Immunohistochemistry, Western Blot
Purity
Antigen Affinity Purified
Pricing
product-image-AAA172345_WB15.jpg WB (Western Blot) (Western Blot analysis of Rat musle with Phospho-DARPP-32 (Thr34) Polyclonal Antibody at dilution of 1:1000)

DARPP-32, Polyclonal Antibody (Cat# AAA172345)

No reviews yet
Full Name
Phospho-DARPP-32 (T34) Polyclonal Antibody
Gene Names
Ppp1r1b; Darpp32; AU040756; DARPP-32
Reactivity
Human, Mouse, Rat
Applications
Immunofluorescence, Immunohistochemistry, Western Blot
Purity
Affinity Purification
Pricing
product-image-AAA172376_WB15.jpg WB (Western Blot) (Western Blot analysis of 3T3 cells with Phospho-HDAC6 (Ser22) Polyclonal Antibody at dilution of 1:500)

HDAC6, Polyclonal Antibody (Cat# AAA172376)

No reviews yet
Full Name
Phospho-HDAC6 (S22) Polyclonal Antibody
Gene Names
HDAC6; HD6; JM21; CPBHM; PPP1R90
Reactivity
Human, Mouse
Applications
Immunofluorescence, Immunohistochemistry, Western Blot
Purity
Antigen Affinity Purified
Pricing
product-image-AAA172394_IF11.jpg IF (Immunofluorescence) (Immunofluorescence analysis of Rat spleen tissue with Phospho-Stat1 (Tyr701) Polyclonal Antibody at dilution of 1:200)

Stat1, Polyclonal Antibody (Cat# AAA172394)

No reviews yet
Full Name
Phospho-Stat1 (Y701) Polyclonal Antibody
Gene Names
Stat1; AA408197; 2010005J02Rik
Reactivity
Human, Mouse, Rat, Monkey
Applications
Immunoprecipitation, Immunohistochemistry, Western Blot
Purity
Antigen Affinity Purified
Pricing
product-image-AAA172568_IF13.jpg IF (Immunofluorescence) (Immunofluorescence analysis of Human lung tissue with Phospho-PPP1R12A (Thr853) Polyclonal Antibody at dilution of 1:200)

MYPT1, Polyclonal Antibody (Cat# AAA172568)

No reviews yet
Full Name
Phospho-MYPT1 (T853) Polyclonal Antibody
Gene Names
Ppp1r12a; Mypt1; AA792106; AV099298; D10Ertd625e; 1200015F06Rik; 5730577I22Rik
Reactivity
Human, Mouse, Rat
Applications
Immunohistochemistry, Western Blot
Purity
Affinity Purification
Pricing
product-image-AAA172574_IF11.jpg IF (Immunofluorescence) (Immunofluorescence analysis of Rat lung tissue with Phospho-Smad3 (Ser425) Polyclonal Antibody at dilution of 1:200)

Smad3, Polyclonal Antibody (Cat# AAA172574)

No reviews yet
Full Name
Phospho-Smad3 (S425) Polyclonal Antibody
Gene Names
SMAD3; LDS3; LDS1C; MADH3; JV15-2; HSPC193; HsT17436
Reactivity
Human, Mouse, Rat
Applications
Immunohistochemistry, Western Blot
Purity
Antigen Affinity Purified
Pricing
product-image-AAA172588_WB15.jpg WB (Western Blot) (Western Blot analysis of 3T3 cells with Phospho-Met (Tyr1356) Polyclonal Antibody)

Met, Polyclonal Antibody (Cat# AAA172588)

No reviews yet
Full Name
Phospho-Met (Y1356) Polyclonal Antibody
Reactivity
Human, Mouse, Rat
Applications
Western Blot
Purity
Affinity purification
Pricing
product-image-AAA172608_IF11.jpg IF (Immunofluorescence) (Immunofluorescence analysis of Mouse liver tissue with Phospho-JNK1/2/3 (Thr183/Y185) Polyclonal Antibody at dilution of 1:200)

JNK1/2/3, Polyclonal Antibody (Cat# AAA172608)

No reviews yet
Full Name
Phospho-JNK1/2/3 (T183/Y185) Polyclonal Antibody
Reactivity
Human, Mouse, Rat
Applications
Western Blot
Purity
Antigen Affinity Purified
Pricing
product-image-AAA172407_WB13.jpg WB (Western Blot) (Western Blot analysis of COS7 cells using Phospho-IGF-IR (Tyr1165/Y1166) Polyclonal Antibody at dilution of 1:500.)

IGF-IR, Polyclonal Antibody (Cat# AAA172407)

No reviews yet
Full Name
Phospho-IGF-IR (Y1165/Y1166) Polyclonal Antibody
Gene Names
IGF1R; IGFR; CD221; IGFIR; JTK13
Reactivity
Human, Mouse, Rat, Monkey
Applications
Western Blot
Purity
Antigen Affinity Purified
Pricing
product-image-AAA172432_WB15.jpg WB (Western Blot) (Western Blot analysis of Hela cells with Phospho-PKD2 (Ser876) Polyclonal Antibody at dilution of 1:1000)

PKD2, Polyclonal Antibody (Cat# AAA172432)

No reviews yet
Full Name
Phospho-PKD2 (S876) Polyclonal Antibody
Reactivity
Human, Mouse, Rat
Applications
Immunohistochemistry, Western Blot
Purity
Affinity Purification
Pricing
product-image-AAA172461_IF11.jpg IF (Immunofluorescence) (Immunofluorescence analysis of Rat lung tissue with Phospho-Chk2 (Thr68) Polyclonal Antibody at dilution of 1:200)

Chk2, Polyclonal Antibody (Cat# AAA172461)

No reviews yet
Full Name
Phospho-Chk2 (T68) Polyclonal Antibody
Gene Names
CHEK2; CDS1; CHK2; LFS2; RAD53; hCds1; HuCds1; PP1425
Reactivity
Human, Mouse, Rat
Applications
Immunofluorescence, Immunohistochemistry, Western Blot
Purity
Affinity purification
Pricing
product-image-AAA172094_WB15.jpg WB (Western Blot) (Western Blot analysis of 293T cells with Phospho-Caldesmon (Ser789) Polyclonal Antibody)

Caldesmon, Polyclonal Antibody (Cat# AAA172094)

No reviews yet
Full Name
Phospho-Caldesmon (S789) Polyclonal Antibody
Gene Names
CALD1; CDM; HCAD; LCAD; H-CAD; L-CAD; NAG22
Reactivity
Human, Mouse, Rat
Applications
Immunofluorescence, Immunohistochemistry, Western Blot
Purity
Affinity Purification
Pricing
product-image-AAA121207_SC15.jpg Standard Curve (Sample)

phospho- cAMP response element binding protein (pCREB), ELISA Kit (Cat# AAA121207)

No reviews yet
Full Name
Rat phospho- cAMP response element binding protein (pCREB) ELISA Kit
Reactivity
Rat
Pricing
product-image-AAA124519_WB13.jpg WB (Western Blot) (Western blot analysis of Phospho-p53 (Ser392) expression in HEK293 whole cell lysate (AAA124519).Electrophoresis was performed on a 5-20% SDS-PAGE gel at 70V (Stacking gel) / 90V (Resolving gel) for 2-3 hours. The sample well of each lane was loaded with 50ug of sample under reducing conditions.After Electrophoresis, proteins were transferred to a Nitrocellulose membrane at 150mA for 50-90 minutes. Blocked the membrane with 5% Non-fat Milk/ TBS for 1.5 hour at RT. The membrane was incubated with rabbit anti-TP53 monoclonal antibody overnight at 4 degree C, then washed with TBS-0.1%Tween 3 times with 5 minutes each and probed with a goat anti-rabbit IgG-HRP secondary antibody at a dilution of 1:10000 for 1.5 hour at RT. The signal is developed using an Enhanced Chemiluminescent detection (ECL) kit with Tanon 5200 system. A specific band was detected for TP53)

p53, Monoclonal Antibody (Cat# AAA124519)

No reviews yet
Full Name
Anti-Phospho-p53 (S392) Rabbit Monoclonal Antibody
Gene Names
TP53; P53; BCC7; LFS1; TRP53
Reactivity
Human, Mouse, Rat
Applications
Western Blot, Immunocytochemistry, Immunohistochemistry, Immunofluorescence, Immunoprecipitation
Purity
Affinity-chromatography
Pricing
product-image-AAA124520_IF11.jpg IF (Immunofluorescence) (Immunofluorescent analysis of HeLa cells treated with IFN-alpha, using Phospho-STAT3 (Y705) Antibody.)

STAT3, Monoclonal Antibody (Cat# AAA124520)

No reviews yet
Full Name
Anti-Phospho-STAT3 (Y705) Rabbit Monoclonal Antibody
Gene Names
STAT3; APRF; HIES; ADMIO; ADMIO1
Reactivity
Human, Mouse, Rat
Applications
Western Blot, Immunocytochemistry, Immunohistochemistry, Immunofluorescence, Immunoprecipitation
Purity
Affinity-chromatography
Pricing
product-image-AAA124527_WB13.jpg WB (Western Blot) (Western blot analysis of Nrf2 phosphorylation expression in HepG2 cell lysate (AAA124527).Electrophoresis was performed on a 5-20% SDS-PAGE gel at 70V (Stacking gel) / 90V (Resolving gel) for 2-3 hours. The sample well of each lane was loaded with 50ug of sample under reducing conditions.After Electrophoresis, proteins were transferred to a Nitrocellulose membrane at 150mA for 50-90 minutes. Blocked the membrane with 5% Non-fat Milk/ TBS for 1.5 hour at RT. The membrane was incubated with rabbit anti-NFE2L2 monoclonal antibody overnight at 4 degree C, then washed with TBS-0.1%Tween 3 times with 5 minutes each and probed with a goat anti-rabbit IgG-HRP secondary antibody at a dilution of 1:10000 for 1.5 hour at RT. The signal is developed using an Enhanced Chemiluminescent detection (ECL) kit with Tanon 5200 system. A specific band was detected for NFE2L2)

Nrf2, Monoclonal Antibody (Cat# AAA124527)

No reviews yet
Full Name
Anti-Phospho-Nrf2 (S40) Rabbit Monoclonal Antibody
Gene Names
NFE2L2; NRF2; HEBP1; IMDDHH
Reactivity
Human
Applications
Western Blot, Immunocytochemistry, Immunohistochemistry, Immunofluorescence, Immunoprecipitation, Flow Cytometry
Purity
Affinity-chromatography
Pricing
product-image-AAA124528_WB13.jpg WB (Western Blot) (Western blot analysis of eIF4E (phosphoS209) expression in (1) HEK293 cell lysate; (2) Mouse spleen lysate (AAA124528).Electrophoresis was performed on a 5-20% SDS-PAGE gel at 70V (Stacking gel) / 90V (Resolving gel) for 2-3 hours. The sample well of each lane was loaded with 50ug of sample under reducing conditions.After Electrophoresis, proteins were transferred to a Nitrocellulose membrane at 150mA for 50-90 minutes. Blocked the membrane with 5% Non-fat Milk/ TBS for 1.5 hour at RT. The membrane was incubated with rabbit anti-EIF4E monoclonal antibody overnight at 4 degree C, then washed with TBS-0.1%Tween 3 times with 5 minutes each and probed with a goat anti-rabbit IgG-HRP secondary antibody at a dilution of 1:10000 for 1.5 hour at RT. The signal is developed using an Enhanced Chemiluminescent detection (ECL) kit with Tanon 5200 system. A specific band was detected for EIF4E)

eIF4E, Monoclonal Antibody (Cat# AAA124528)

No reviews yet
Full Name
Anti-Phospho-eIF4E (S209) Rabbit Monoclonal Antibody
Gene Names
EIF4E; CBP; EIF4F; AUTS19; EIF4E1; eIF-4E; EIF4EL1
Reactivity
Human, Mouse, Rat
Applications
Western Blot, Immunocytochemistry, Immunohistochemistry, Immunofluorescence, Immunoprecipitation
Purity
Affinity-chromatography
Pricing
product-image-AAA124535_WB13.jpg WB (Western Blot) (Western blot analysis of Phospho-Smad5 in (1)Mouse brain tissue lysate; (2)Rat brain tissue lysate (AAA124535).Electrophoresis was performed on a 5-20% SDS-PAGE gel at 70V (Stacking gel) / 90V (Resolving gel) for 2-3 hours. The sample well of each lane was loaded with 50ug of sample under reducing conditions.After Electrophoresis, proteins were transferred to a Nitrocellulose membrane at 150mA for 50-90 minutes. Blocked the membrane with 5% Non-fat Milk/ TBS for 1.5 hour at RT. The membrane was incubated with rabbit anti-SMAD5 monoclonal antibody overnight at 4 degree C, then washed with TBS-0.1%Tween 3 times with 5 minutes each and probed with a goat anti-rabbit IgG-HRP secondary antibody at a dilution of 1:10000 for 1.5 hour at RT. The signal is developed using an Enhanced Chemiluminescent detection (ECL) kit with Tanon 5200 system. A specific band was detected for SMAD5)

Smad5, Monoclonal Antibody (Cat# AAA124535)

No reviews yet
Full Name
Anti-Phospho-Smad5 (S463/465) Rabbit Monoclonal Antibody
Gene Names
SMAD5; DWFC; JV5-1; MADH5
Reactivity
Human, Mouse, Rat
Applications
Western Blot, Immunocytochemistry, Immunohistochemistry, Immunofluorescence
Purity
Affinity-chromatography
Pricing
product-image-AAA124537_WB13.jpg WB (Western Blot) (Western blot analysis of Phospho-PAK1/2/3 expression in HeLa Cell lysate treated with lambda phosphatase (AAA124537).Electrophoresis was performed on a 5-20% SDS-PAGE gel at 70V (Stacking gel) / 90V (Resolving gel) for 2-3 hours. The sample well of each lane was loaded with 50ug of sample under reducing conditions.After Electrophoresis, proteins were transferred to a Nitrocellulose membrane at 150mA for 50-90 minutes. Blocked the membrane with 5% Non-fat Milk/ TBS for 1.5 hour at RT. The membrane was incubated with rabbit anti-PAK3 monoclonal antibody overnight at 4 degree C, then washed with TBS-0.1%Tween 3 times with 5 minutes each and probed with a goat anti-rabbit IgG-HRP secondary antibody at a dilution of 1:10000 for 1.5 hour at RT. The signal is developed using an Enhanced Chemiluminescent detection (ECL) kit with Tanon 5200 system. A specific band was detected for PAK3)

PAK1/2/3, Monoclonal Antibody (Cat# AAA124537)

No reviews yet
Full Name
Anti-Phospho-PAK1/2/3 (S144+S141+S139) Rabbit Monoclonal Antibody
Gene Names
PAK3; ARA; bPAK; MRX30; MRX47; OPHN3; PAK-3; PAK3beta; beta-PAK
Reactivity
Human, Mouse, Rat
Applications
Western Blot, Immunocytochemistry, Immunohistochemistry, Immunofluorescence, Immunoprecipitation, Flow Cytometry
Purity
Affinity-chromatography
Pricing
product-image-AAA123755_SC15.jpg Standard Curve (Sample)

Phospho-Insulin receptor substrate 1 (Ty312), IRS1, ELISA Kit (Cat# AAA123755)

No reviews yet
Full Name
Rat Phospho-Insulin receptor substrate 1 (Ty312), IRS1 ELISA Kit
Reactivity
Rat
Pricing
product-image-AAA123764_SC15.jpg Standard Curve (Sample)

phospho-Insulin receptor substrate 1(panTyr), p-IRS-1, ELISA Kit (Cat# AAA123764)

No reviews yet
Full Name
Mouse phospho-Insulin receptor substrate 1(panTyr), p-IRS-1 ELISA Kit
Reactivity
Mouse
Pricing
product-image-AAA123894_SC15.jpg Standard Curve (Sample)

Phospho-Stat3 (Tyr705), p-Stat3, ELISA Kit (Cat# AAA123894)

No reviews yet
Full Name
Rat Phospho-Stat3 (Tyr705), p-Stat3 ELISA Kit
Reactivity
Rat
Pricing
product-image-AAA208307_SC15.jpg Standard Curve (Sample)

Phospho-eNOS, ELISA Kit (Cat# AAA208307)

No reviews yet
Full Name
Mouse Phospho-eNOS ELISA Kit
Reactivity
Mouse
Pricing
product-image-AAA207648_SC15.jpg Standard Curve (Sample)

Phospho-Cyclic Adenosine Monophosphate, ELISA Kit (Cat# AAA207648)

No reviews yet
Full Name
Mouse Phospho-Cyclic Adenosine Monophosphate ELISA Kit
Reactivity
Mouse
Pricing
product-image-AAA112224_WB13.jpg WB (Western Blot) (Western blot analysis of extracts from 293 cells (10% serum-treated, 15min) and HeLa cells (EGF-treated, 200ng/ml, 15min), using FKHR (Ab-319) antibody (Line 1, 2 and 3) and FKHR (phospho-Ser319) antibody (Line 4 and 5).)

FKHR, Antibody (Cat# AAA112224)

No reviews yet
Full Name
FKHR (Phospho-Ser319) Antibody
Gene Names
FOXO1; FKH1; FKHR; FOXO1A
Reactivity
Human, Mouse, Rat
Applications
Immunohistochemistry, Western Blot
Purity
Affinity-purified from rabbit antiserum by affinity-chromatography using epitope-specific phosphopeptide. The antibody against non-phosphopeptide was removed by chromatogramphy using non-phosphopeptide corresponding to the phosphorylation site.
Pricing

What Are Phospho Antibodies?


Protein phosphorylation is a process where a phosphate group is added to certain amino acid residues of a protein – usually serine (S), threonine (T), or tyrosine (Y) - by enzymes called kinases. This process is integral in controlling cellular signaling, cellular growth, and other biological functions.


Our catalog includes a wide range of phospho-specific antibodies that can accurately detect this important marker. They perform strongly in widely-used laboratory applications such as Western blot, flow cytometry, immunohistochemistry, and immunofluorescence microscopy. We value your trust in us and are committed to providing top-quality products and services. All of our antibodies are guaranteed to work for the applications and species indicated on our website & associated product pages.


What Are The Key Applications of Phospho Antibodies?


1. Western Blotting


One of the first steps a researcher can take in utilizing these phospho-specific antibodies, is to check if the antibody works using a technique referred to as “Western blot”. For those unfamiliar, Western Blot aids in showing whether the protein that the antibody recognizes is appearing at the correct/expected size. These phospho-specific antibodies should also be able to detect changes in the target protein’s phosphorylation (on/off state) when cells are stimulated in certain ways.


2. Staining of Fixed Cells (Immunocytochemistry)


Another routine use of these phospho-specific antibodies, is to test if the antibody is able to demonstrate similar performance when used on fixed cells (intact cells that have been preserved) as it did in the Western blot tests. It is an important aspect in many cases to confirm that the antibody works in actual intact cell samples. Ideally, the method used for cellular fixation should be the same as what is used in pathology labs (like using 10% formalin). To check if the antibody works well in tissue sections (FFPE), researchers will often test it on fixed cells that are processed similar to tissue samples.


3. Specificity Tests Using Peptides


In order to make sure that the antibody is only binding to the right target:


  • Laboratory technicians will mix the antibody with phospho-peptides (short segments of the protein containing the phosphate group modification).

  • If the antibody signal disappears, it is confirmation that it is binding to the correct phosphorylated location.

  • A more robust test is to use both the phosphorylated and non-phosphorylated (dephosphorylated) versions of the protein. The antibody should react only with the phosphorylated one.

  • Another method sometimes utilized is to treat the sample with an enzyme, such as alkaline phosphatase, that specifically removes phosphate groups. If the antibody signal disappears after this, it also confirms specificity.


4. Genetic Confirmation


As a final step, scientists can genetically manipulate the nucleotide sequence and alter the target protein by removing the exact site where phosphorylation happens. If the antibody no longer appears to detect the modified protein, it is strong evidence supporting the antibody being specific for that phosphorylated site.


Why Buy Phospho Antibodies Through Us?


  • The production laboratory adheres to strict and consistent protocols prior to releasing any of these phospho-specific antibodies:

  • Standard methods and proper controls in all tests to ensure high quality.

  • These antibodies are tested and validated in different cell types and species.

  • High quality control criterion to ensure each batch is consistent, so you will obtain reliable results every time.


FAQ


1. What Are Phospho-Specific Antibodies?


Phospho-specific antibodies are made to detect proteins only when they have a phosphate group linked to a specific amino acid residue. This empowers scientists understand if a protein is "turned on" or active, based on its phosphorylation state.


2. How to Detect Phosphorylated Proteins in a Western Blot?


To find out if a protein is phosphorylated using Western blot:


  • Use a phospho-specific antibody that binds only to the phosphorylated form of the protein.

  • You can also use a “regular” antibody for the same amino acid sequence of the protein that the phospho-specific antibody is binding to (but in this case, this antibody will not bind if there is a phosphate group present) in order to compare how much of it is phosphorylated versus how much is non-phosphorylated (or “total” protein, if the “normal” antibody’s epitopes are non-phospho-site-specific).


3. How to Choose the Best Antibody?


Here are some simple tips to help you pick the right antibody:


  • Know your target

  • Match your sample characteristics

  • Confirm the intended use is appropriate

  • Check “host” and “type”

  • Check the “quality” of the presented data/images

  • Appraise whether the available validation meets your needs


Submit a Question

Please complete the form below and a representative will contact you as soon as possible.

Request more Information

Please complete the form below and a representative will contact you as soon as possible.

Request a Manual

Please complete the form below and a representative will contact you as soon as possible.

Request a Quote

Please complete the form below and a representative will contact you as soon as possible.