Rabbit ITM2B Polyclonal Antibody | anti-ITM2B antibody
ITM2B Polyclonal Antibody
Gene Names
ITM2B; BRI; FBD; ABRI; BRI2; E25B; E3-16; RDGCA; imBRI2; BRICD2B
Reactivity
Human, Mouse, Rat
Applications
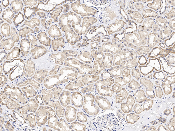
ELISA, Immunohistochemistry, Western Blot
Purity
Antigen Affinity Purification
Synonyms
ITM2B, Antibody; ITM2B Polyclonal Antibody; ABRI; ABri/ADan amyloid peptide; BRI 2; BRI; BRI2; BRICD 2B; BRICD2B; BRICHOS domain containing 2B; E25B; E3 16; E3-16; FBD; ImBRI2; Immature BRI2; Integral membrane protein 2B; ITM 2B; ITM2B; Protein E25B; RDGCA; Transmembrane protein BRI; anti-ITM2B antibody
Host
Rabbit
Reactivity
Human, Mouse, Rat
Clonality
Polyclonal
Isotype
IgG
Purity/Purification
Antigen Affinity Purification
Form/Format
PBS with 0.05% NaN3 and 40% Glycerol, pH7.4
Concentration
1.2mg/mL (varies by lot)
Sequence Length
266
Applicable Applications for anti-ITM2B antibody
ELISA, IHC (Immunohistochemistry), WB (Western Blot)
Immunogen
Fusion protein of human ITM2B
Conjugation
Unconjugated
Preparation and Storage
Store at -20 degree C. Avoid freeze/thaw cycles.
Related Product Information for anti-ITM2B antibody
Amyloid precursor proteins are processed by beta-secretase and gamma-secretase to produce beta-amyloid peptides which form the characteristic plaques of Alzheimer disease. This gene encodes a transmembrane protein which is processed at the C-terminus by furin or furin-like proteases to produce a small secreted peptide which inhibits the deposition of beta-amyloid. Mutations which result in extension of the C-terminal end of the encoded protein, thereby increasing the size of the secreted peptide, are associated with two neurogenerative diseases, familial British dementia and familial Danish dementia.
Product Categories/Family for anti-ITM2B antibody
NCBI and Uniprot Product Information
NCBI GI #
NCBI GeneID
NCBI Accession #
NCBI GenBank Nucleotide #
UniProt Accession #
Molecular Weight
30 kDa
NCBI Official Full Name
integral membrane protein 2B
NCBI Official Synonym Full Names
integral membrane protein 2B
NCBI Official Symbol
ITM2B
NCBI Official Synonym Symbols
BRI; FBD; ABRI; BRI2; E25B; E3-16; RDGCA; imBRI2; BRICD2B
NCBI Protein Information
integral membrane protein 2B
UniProt Protein Name
Integral membrane protein 2B
UniProt Gene Name
ITM2B
UniProt Synonym Gene Names
BRI; BRI2; imBRI2; Bri; mBRI2; BRI2 ICD; Bri2-23
UniProt Entry Name
ITM2B_HUMAN
Similar Products
Product Notes
The ITM2B itm2b (Catalog #AAA175302) is an Antibody produced from Rabbit and is intended for research purposes only. The product is available for immediate purchase. The ITM2B Polyclonal Antibody reacts with Human, Mouse, Rat and may cross-react with other species as described in the data sheet. AAA Biotech's ITM2B can be used in a range of immunoassay formats including, but not limited to, ELISA, IHC (Immunohistochemistry), WB (Western Blot). Researchers should empirically determine the suitability of the ITM2B itm2b for an application not listed in the data sheet. Researchers commonly develop new applications and it is an integral, important part of the investigative research process. It is sometimes possible for the material contained within the vial of "ITM2B, Polyclonal Antibody" to become dispersed throughout the inside of the vial, particularly around the seal of said vial, during shipment and storage. We always suggest centrifuging these vials to consolidate all of the liquid away from the lid and to the bottom of the vial prior to opening. Please be advised that certain products may require dry ice for shipping and that, if this is the case, an additional dry ice fee may also be required.Precautions
All products in the AAA Biotech catalog are strictly for research-use only, and are absolutely not suitable for use in any sort of medical, therapeutic, prophylactic, in-vivo, or diagnostic capacity. By purchasing a product from AAA Biotech, you are explicitly certifying that said products will be properly tested and used in line with industry standard. AAA Biotech and its authorized distribution partners reserve the right to refuse to fulfill any order if we have any indication that a purchaser may be intending to use a product outside of our accepted criteria.Disclaimer
Though we do strive to guarantee the information represented in this datasheet, AAA Biotech cannot be held responsible for any oversights or imprecisions. AAA Biotech reserves the right to adjust any aspect of this datasheet at any time and without notice. It is the responsibility of the customer to inform AAA Biotech of any product performance issues observed or experienced within 30 days of receipt of said product. To see additional details on this or any of our other policies, please see our Terms & Conditions page.Item has been added to Shopping Cart
If you are ready to order, navigate to Shopping Cart and get ready to checkout.
