Loading...

Skip to main content
Call us at +1-800-604-9114 for more information about our products or contact us online Need help? +1-800-604-9114 or contact us

Filters


Clonality

Type

Reactivity

Gene Name

Isotype

Host

Application

Clone

Recombinant Antibodies

Also available for purchase in our catalog, we have flexible recombinant antibodies that are excellent tools in many different types of experiments, and well-suited for those that are large-scale or long-term. Our collection of recombinant antibodies includes different forms/formats of said antibodies, such as labeled or purified versions, and can be made utilizing different species’ isotypes to suit various experimental requirements.


Viewing 900-950 of 2819 product results


product-image-AAA71926_WB13.png WB (Western Blot) (Western Blot analysis (3 ug/ml) staining of Jurkat (A) and Molt4 (B) lysates (35 ug protein in RIPA buffer). Primary incubation was 1 hour. Detected by chemiluminescence.)

CD3 epsilon, Recombinant Antibody (Cat# AAA71926)

Full Name
Anti-CD3 epsilon [UCHT1]
Gene Names
CD3E; T3E; TCRE; IMD18
Reactivity
Human
Applications
Immunohistochemistry, Flow Cytometry
Purity
Protein A Affinity Purified
Pricing
product-image-AAA71927_FCM15.png FCM/FACS (Flow Cytometry) ( Flow-cytometry using anti-CD200R antibody OX108 Human leukocytes were stained with an isotype control or the rabbit-chimeric version of OX108 at a concentration of 1 ug/ml for 30 mins at RT. After washing, bound antibody was detected using a AF488 conjugated donkey anti-rabbit antibody and cells analysed on a FACSCanto flow-cytometer.)

CD200R, Recombinant Antibody (Cat# AAA71927)

Full Name
Anti-CD200R [OX108]
Gene Names
CD200R1; OX2R; MOX2R; CD200R; HCRTR2
Reactivity
Human
Applications
Flow Cytometry
Purity
Protein A Affinity Purified
Pricing
product-image-AAA71932_WB13.png WB (Western Blot) ( Western Blot using anti-DC-SIGNR (CLEC4M) antibody 16E7 Jurkat cell extract (35ug protein in RIPA buffer) was resolved on a 10% SDS PAGE gel and blots probed with the chimeric rabbit version of 16E7 at 0.1 ug/ml before detection using an anti-rabbit secondary antibody. A primary incubation of 1h was used and protein was detected by chemiluminescence. The expected band size for DC-SIGNR is 45.3kDa, though 9 other isoforms of this protein are known ranging in size from 22.4-44.7kDa (Uniprot ID: Q9H2X3). DC-SIGNR is also glycosylated at several positions. as well as multiple other isoforms.)

DC-SIGNR, Recombinant Antibody (Cat# AAA71932)

Full Name
Anti-DC-SIGNR [16E7]
Gene Names
CLEC4M; CD299; LSIGN; CD209L; L-SIGN; DCSIGNR; HP10347; DC-SIGN2; DC-SIGNR
Reactivity
Human
Applications
Immunohistochemistry, Flow Cytometry
Purity
Protein A Affinity Purified
Pricing
product-image-AAA71941_FCM11.png FCM/FACS (Flow Cytometry) ( Flow-cytometry using anti-CD25 antibody Basiliximab Cynomolgus monkey lymphocytes were stained with an isotype control or the rabbit-chimeric version of Basiliximab at a concentration of 1 ug/ml for 30 mins at RT. After washing, bound antibody was detected using a AF488 conjugated donkey anti-rabbit antibody and cells analysed on a FACSCanto flow-cytometer.)

IL-2R alpha (CD25), Recombinant Antibody (Cat# AAA71941)

Full Name
Anti-IL-2R alpha (CD25) [Basiliximab]
Gene Names
IL2RA; p55; CD25; IL2R; IMD41; TCGFR; IDDM10
Reactivity
Human
Applications
Western Blot, Immunohistochemistry, Immunofluorescence, Flow Cytometry
Purity
Protein A Affinity Purified
Pricing
product-image-AAA71942_FCM11.png FCM/FACS (Flow Cytometry) ( Flow-cytometry using anti-CD4 antibody MT310 Cynomolgus monkey lymphocytes were stained with an isotype control or the rabbit-chimeric version of MT310 at a concentration of 1 ug/ml for 30 mins at RT. After washing, bound antibody was detected using a AF488 conjugated donkey anti-rabbit antibody and cells analysed on a FACSCanto flow-cytometer.)

CD4, Recombinant Antibody (Cat# AAA71942)

Full Name
Anti-CD4 [MT310]
Gene Names
CD4; CD4mut
Reactivity
Human
Applications
Flow Cytometry, Immunohistochemistry, Immunofluorescence, Immunoprecipitation, Western Blot
Purity
Protein A Affinity Purified
Pricing

Complement Receptor 1 & 2, Recombinant Antibody (Cat# AAA71945)

Full Name
Anti-Complement Receptor 1 & 2 [7G6]
Gene Names
Cr2; Cr1; C3DR; CD21; CD35; Cr-1; Cr-2
Reactivity
Mouse
Applications
Western Blot, Immunoprecipitation, Immunohistochemistry, Flow Cytometry
Purity
Protein A Affinity Purified
Pricing
product-image-AAA71951_WB11.png WB (Western Blot) ( Western Blot using anti-VEGF antibody Rat skin lysate was resolved on a 10% SDS PAGE gel and blots probed with at 1.0 ug/ml before being detected by a secondary antibody. The expected band size (27 kDa) is seen along with bands corresponding to dimers.)

VEGF, Recombinant Antibody (Cat# AAA71951)

Full Name
Anti-VEGF [A.4.6.1]
Gene Names
VEGFA; VPF; VEGF; MVCD1
Reactivity
Human, Rat
Applications
Immunohistochemistry, Flow Cytometry, Western Blot, Immunoprecipitation
Purity
Protein A Affinity Purified
Pricing
product-image-AAA71957_IHC13.png IHC (Immunohiostchemistry) ( Immunohistochemical staining of human tonsil tissue using anti-CD30 antibody Ki-3 Anti-CD30 staining of paraffin embedded human tonsil tissue using the rabbit-chimeric version of Ki-3 for 20 mins followed by DAB (3,3'-diaminobenzidine), and counter-staining with haemotoxylin. Staining of the cellular membrane of dividing cells may be observed. Recommended concentration, 2-4 ug/ml.)

CD30, Recombinant Antibody (Cat# AAA71957)

Full Name
Anti-CD30 [Ki-3]
Reactivity
Human
Applications
Immunofluorescence, Immunohistochemistry, Flow Cytometry
Purity
Protein A Affinity Purified
Pricing
product-image-AAA71959_IF13.png IF (Immunofluorescence) ( Immunofluorescence staining of fixed A431 cells with anti-EGFR antibody Matuzumab Immunofluorescence analysis of unpermeabilisd paraformaldehyde fixed A431 cells on Shi-fix™ coverslips stained with the chimeric rabbit version of Matuzumab at 10 ug/ml for 1h followed by Alexa Fluor 488 secondary antibody (1 ug/ml), showing membrane staining. The nuclear stain is DAPI (blue). Panels show from left-right, top-bottom DAPI, merged channels and an isotype control. The isotype control was stained with unimmunised rabbit IgG followed by Alexa Fluor 488 secondary antibody.)

EGFR, Recombinant Antibody (Cat# AAA71959)

Full Name
Anti-EGFR [Matuzumab]
Reactivity
Human
Applications
Western Blot, Flow Cytometry
Purity
Protein A Affinity Purified
Pricing
product-image-AAA71961_WB11.png WB (Western Blot) ( Western Blot using anti-CD34 antibody My10 Jurkat cell extract (35ug protein in RIPA buffer) was resolved on a 10% SDS PAGE gel and blots probed with the chimeric rabbit version of My10 at 0.1 ug/ml before detection using an anti-rabbit secondary antibody. A primary incubation of 1h was used and protein was detected by chemiluminescence. The expected band size for the canonical isoform of CD34 is 40.9kDa, though a second isoform at 35.2kDa is also present, with a 56 amino acid truncation at the C-terminus of the protein (Uniprot ID: Q64314). CD34 is also glycosylated at several positions. successfully detected both isoforms of human CD34.)

CD34, Monoclonal Recombinant Antibody (Cat# AAA71961)

Full Name
Anti-CD34 [My10]
Reactivity
Human
Applications
Immunohistochemistry, Immunoprecipitation, Flow Cytometry
Purity
Purified
Protein A Affinity Purified
Pricing
product-image-AAA71964_IF13.png IF (Immunofluorescence) ( Immunofluoresence staining of fixed HeLa cells with anti-Notch 1 antibody E6 Immunofluorescence analysis of paraformaldehyde fixed HeLa cells, permeabilized with 0.15% Triton stained with the chimeric rabbit IgG version of E6 at 10 ug/ml for 1h followed by Alexa Fluor 488 secondary antibody (1 ug/ml), showing membrane and cytoplasmic staining. The nuclear stain is DAPI (blue). Panels show from left-right, top-bottom DAPI, merged channels and a negative control. The negative control was stained with unimmunized rabbit IgG followed by Alexa Fluor 488 secondary antibody.)

Notch 1, Recombinant Antibody (Cat# AAA71964)

Full Name
Anti-Notch 1 [E6]
Reactivity
Human, Mouse
Applications
Immunohistochemistry
Purity
Protein A affinity purified
Pricing
product-image-AAA71971_WB10.png WB (Western Blot) ( Western Blot using anti-Alpha-Tubulin antibody F2C HeLa (A), HEK293 (B), and HepG2 (C) cell lysate samples (35ug protein in RIPA buffer) were resolved on a 10% SDS PAGE gel and blots probed with the chimeric rabbit version of F2C at 0.01 ug/ml before detection using an anti-rabbit secondary antibody. A primary incubation of 1h was used and protein was detected by chemiluminescence. The expected band size for Alpha-Tubulin is ~55kDa. HEK293, and HepG2 cell lysate samples.)

Alpha-Tubulin, Monoclonal Recombinant Antibody (Cat# AAA71971)

Full Name
Anti-Alpha-Tubulin [F2C]
Reactivity
Human
Applications
Western Blot
Purity
Purified
Protein A Affinity Purified
Pricing
product-image-AAA71976_WB10.png WB (Western Blot) ( Western Blot using anti-MUC1 antibody HMFG2 MCF-7 cell lysate (35ug protein in RIPA buffer) were resolved on a 10% SDS PAGE gel and blots probed with the chimeric rabbit version of HMFG2 at 0.1 ug/ml before detection using an anti-rabbit secondary antibody. A primary incubation of 1h was used and protein was detected by chemiluminescence. The predicted band size for unmodified MUC1 is 122.1kDa, though in breast cancer cell lines like MCF-7 MUC1 can be up to 90% glycosylated (c.f. Mueller et al. PMID: 10373415; T47D cells) and expected band sizes are ~250-300kDa. Thus the two bands likely represent processed (>250kDa) and unprocessed (~121kDa) populations of the protein. successfully detected human MUC1 in MCF-7 breast cancer cells.)

MUC1, Monoclonal Recombinant Antibody (Cat# AAA71976)

Full Name
Anti-MUC1 [HMFG2]
Gene Names
MUC1; EMA; MCD; PEM; PUM; KL-6; MAM6; MCKD; PEMT; CD227; H23AG; MCKD1; MUC-1; ADMCKD; ADMCKD1; CA 15-3; MUC-1/X; MUC1/ZD; MUC-1/SEC
Reactivity
Human
Applications
Immunohistochemistry
Purity
Purified
Protein A Affinity Purified
Pricing
product-image-AAA71982_FCM11.png FCM/FACS (Flow Cytometry) ( Flow-cytometry using the anti-CD20 research biosimilar antibody Rituximab Cynomolgus monkey lymphocytes were stained with an isotype control or the rabbit-chimeric version of Rituximab at a concentration of 1 ug/ml for 30 mins at RT. After washing, bound antibody was detected using a AF488 conjugated donkey anti-rabbit antibody and cells analysed on a FACSCanto flow-cytometer.)

CD20, Monoclonal Recombinant Antibody (Cat# AAA71982)

Full Name
Anti-CD20 [10F381 (rituximab)]
Gene Names
MS4A1; B1; S7; Bp35; CD20; CVID5; MS4A2; LEU-16
Reactivity
Human, Rhesus Monkey, Cynomolgus Monkey
Applications
Flow Cytometry
Purity
Protein A Affinity Purified
Pricing
product-image-AAA71985_WB13.png WB (Western Blot) ( Western Blot using anti-CD7 antibody 3A1E Jurkat cell lysate samples (35ug protein in RIPA buffer) were resolved on a 10% SDS PAGE gel and blots probed with the chimeric rabbit version of 3A1E at 1 ug/ml before detection using an anti-rabbit secondary antibody. A primary incubation of 1h was used and protein was detected by chemiluminescence. The expected running size for unmodified CD7 is 25.4kDa, but this protein is glycosylated at several residues. successfully detected CD7 in Jurkat cell lysate.)

CD7, Monoclonal Recombinant Antibody (Cat# AAA71985)

Full Name
Anti-CD7 [3A1E]
Gene Names
CD7; GP40; TP41; Tp40; LEU-9
Reactivity
Human
Applications
Flow Cytometry
Purity
Protein A Affinity Purified
Pricing
product-image-AAA72441_IF11.png IF (Immunofluorescence) (Immunofluorescencestainingoffixedratsplenocytescwithanti-CD8aantibodyOX-8(AAA72441). ImmunofluorescenceanalysisofparaformaldehydefixedratsplenocytesonShi-fixcover-slipsstainedwiththechimericrabbitIgGversionofOX-8(AAA72441)(1:100dilution)for1hfollowedbyAlexaFluor488secondaryantibody(1:1000dilution),showingmembraneandcytoplasmicstaining.ThenuclearstainisDAPI(blue).Panelsshowfromleft-right,top-bottomAAA72441,DAPI,mergedchannelsandanisotypecontrol.TheisotypecontrolwasanunknownspecificityantibodyfollowedbystainingwithAlexaFluor488secondaryantibody.)

CD8a, Monoclonal Recombinant Antibody (Cat# AAA72441)

Full Name
Anti-CD8a [OX-8], Rabbit IgG, kappa
Reactivity
Rat
Applications
Immunohistochemistry, Immunofluorescence, Functional Assay, Flow Cytometry, Immunoprecipitation, Western Blot
Purity
Protein A affinity purified
Pricing
product-image-AAA72443_IF13.png IF (Immunofluorescence) (Immunofluorescencestainingoffixedratsplenocytecellswithanti-CD11c(Integrinalpha)antibodyOX-42(AAA72443) Immunofluorescenceanalysisofparaformaldehydefixedrat(Rattusnorvegicus)splenocytecellsonShi-fixcoverslips,permeabilizedwith0.15%TritonstainedwiththechimericrabbitversionofOX-42(AAA72443)at10ug/mlfor1hfollowedbyAlexaFluor 488secondaryantibody(1ug/ml),showingmembranestaininginasubsetofcells.ThenuclearstainisDAPI(blue).Panelsshowfromleft-right,top-bottomAAA72443,DAPI,mergedchannelsandanisotypecontrol.Theisotypecontrolwasstainedwithananti-FluoresceinantibodyfollowedbyAlexaFluor 488secondaryantibody.)

CD11c, Monoclonal Recombinant Antibody (Cat# AAA72443)

Full Name
Anti-CD11c [OX-42], Rabbit IgG, kappa
Reactivity
Rat
Applications
Immunoprecipitation, Immunohistochemistry, Flow Cytometry
Purity
Protein A affinity purified
Pricing
product-image-AAA72444_IF13.png IF (Immunofluorescence) (Immunofluorescencestainingoffixedratsplenocyteswithanti-CD134antibodyOX-40(AAA72444) Immunofluorescenceanalysisofparaformaldehydefixedrat(Rattusnorvegicus)splenocytesonShi-fixcoverslips,permeabilizedwith0.15%TritonstainedwiththechimericrabbitversionofOX-40(AAA72444)at10ug/mlfor1hfollowedbyAlexaFluor 488secondaryantibody(1ug/ml),showingpunctatecytoplasmicstaining,possiblyofvesiclestraffickingprotein.ThenuclearstainisDAPI(blue).Panelsshowfromleft-right,top-bottomAAA72444,DAPI,mergedchannelsandanisotypecontrol.Theisotypecontrolwasstainedwithananti-FluoresceinantibodyfollowedbyAlexaFluor 488secondaryantibody.)

CD134, Monoclonal Recombinant Antibody (Cat# AAA72444)

Full Name
Anti-CD134 [OX-40], Rabbit IgG, kappa
Gene Names
Tnfrsf4; Ox40; Txgp1
Reactivity
Rat
Applications
Immunoprecipitation, Immunohistochemistry, Flow Cytometry, Functional Assay, Flow Cytometry
Purity
Protein A affinity purified
Pricing
product-image-AAA72452_FCM11.png FCM/FACS (Flow Cytometry) (Flowcytometryusingtheanti-CD5antibodyOX-19(AAA72452). Paraformaldehydefixedratsplenocyteseswerestainedwithanti-unknownspecificityantibodyortherabbitIgGversionofOX-19(AAA72452,blueline)atadilutionof1:100for1hatRT.Afterwashing,theboundantibodywasdetectedusingagoatanti-rabbitIgGAlexaFluor488antibodyatadilutionof1:1000andcellsanalyzedusingaFACSCantoflow-cytometer.)

CD5, Monoclonal Recombinant Antibody (Cat# AAA72452)

Full Name
Anti-CD5 [OX-19], Mouse IgG1, kappa
Reactivity
Rat
Applications
Flow Cytometry, Immunohistochemistry, Western Blot
Purity
Protein A affinity purified
Pricing
product-image-AAA72454_FCM13.png FCM/FACS (Flow Cytometry) (Flow-cytometryusingtheanti-CD45RBantibodyOX-33(AAA72454) Ratsplenocyteswerestainedwithanti-FluoresceinIgGantibody(4-4-20;isotypecontrol,blackline)orthemouseIgG1versionofOX-33(AAA72454-1.1,blueline)atadilutionof1:100for1hatRT.Afterwashing,boundantibodywasdetectedusingagoatanti-mouseIgGAlexaFluor488antibodyatadilutionof1:1000andcellsanalyzedusingaFACSCantoflow-cytometer.)

CD45RB, Monoclonal Recombinant Antibody (Cat# AAA72454)

Full Name
Anti-CD45RB [OX-33], Mouse IgG1, kappa
Gene Names
Ptprc; Lca; RT7; CD45; L-CA; T200
Reactivity
Rat
Applications
Immunocytochemistry, Immunohistochemistry, Flow Cytometry, Immunoprecipitation
Purity
Protein A affinity purified
Pricing
product-image-AAA72463_IF13.png IF (Immunofluorescence) (Immunofluorescencestainingofratsplenocyteswithanti-CD4antibodyOX-35(AAA72463). ImmunofluorescenceanalysisofparaformaldehydefixedratsplenocytesonShi-fixcoverslipsstainedwiththechimericrabbitIgGversionofOX-35(AAA72463)(1:100dilution)for1hfollowedbyAlexaFluor488secondaryantibody(1:1000dilution),showingmembraneandcytoplasmicstaining.ThenuclearstainisDAPI(blue).Panelsshow,fromleft-right,top-bottom,AAA72463,DAPI,mergedchannelsandanisotypecontrol.TheisotypecontrolwasanunknownspecificityantibodyfollowedbystainingwithAlexaFluor488secondaryantibody.)

CD4, Monoclonal Recombinant Antibody (Cat# AAA72463)

Full Name
Anti-CD4 [OX-35], Rabbit IgG, kappa
Gene Names
Cd4; p55; W3/25
Reactivity
Rat
Applications
Functional Assay, Immunoprecipitation, Immunofluorescence, Immunohistochemistry, Western Blot
Purity
Protein A affinity purified
Pricing
product-image-AAA72468_WB13.png WB (Western Blot) (Western Blotusinganti-CD48antibodyOX-45(AAA72468) Ratspleen(A),thymus(B)andlymphnode(C)tissuelysatesamples(35ugproteininRIPAbuffer)wereresolvedona10%SDSPAGEgelandblotsprobedwiththechimericrabbitversionofOX-45(AAA72468)at0.001ug/mlbeforedetectionusingananti-rabbitsecondaryantibody.Aprimaryincubationof1hwasusedandproteinwasdetectedbychemiluminescence.TheexpectedrunningsizeforCD48is~37-56kDaanditisheavilyglycosylatedaswellaslipidated(UniProtID:P10252).AAA72468successfullydetectedCD48inratspleen,thymusandlymphnodetissuelysates.)

CD48, Monoclonal Recombinant Antibody (Cat# AAA72468)

Full Name
Anti-CD48 [OX-45], Mouse IgG1, kappa
Gene Names
Cd48; SLAMF2
Reactivity
Rat
Applications
Flow Cytometry
Purity
Protein A affinity purified
Pricing
product-image-AAA72481_WB11.png WB (Western Blot) (Western Blotusinganti-RT1-DantibodyOX-17(AAA72481) Ratlymphnodelysate(35ugproteininRIPAbuffer)wasresolvedona10%SDSPAGEgelandblotsprobedwiththechimericrabbitIgGversionofOX-17(AAA72481)at2ug/mlbeforedetectionusingananti-rabbitsecondaryantibody.Aprimaryincubationof1hwasusedandproteinwasdetectedbychemiluminescence.TheexpectedrunningsizeforRT1-Dis30.2kDa.)

RT1-D, Monoclonal Recombinant Antibody (Cat# AAA72481)

Full Name
Anti-RT1-D [OX-17], Rabbit IgG, kappa
Reactivity
Rat
Applications
Flow Cytometry, Immunofluorescence, Immunoprecipitation, Western Blot
Purity
Protein A affinity purified
Pricing
product-image-AAA72486_IF13.png IF (Immunofluorescence) (Immunofluorescencestainingoffixedratsplenocyteswithanti-CD4antibodyOX-68(AAA72486) Immunofluorescenceanalysisofparaformaldehydefixedratsplenocytespermeabilizedwith0.15%TritonandstainedwiththechimericmouseIgG1versionofOX-68(AAA72486)at10ug/mlfor1hfollowedbyAlexaFluor 488secondaryantibody(2ug/ml),showingmembranestaining.ThenuclearstainisDAPI(blue).Panelsshowfromleft-right,top-bottomAAA72486,DAPI,mergedchannelsandanisotypecontrol.Theisotypecontrolwasstainedwithananti-unknownspecificityantibodyfollowedbyAlexaFluor 488secondaryantibody.)

CD4, Monoclonal Recombinant Antibody (Cat# AAA72486)

Full Name
Anti-CD4 [OX-68], Mouse IgG2a, kappa
Gene Names
Cd4; p55; W3/25
Reactivity
Rat
Applications
Immunoprecipitation, Western Blot, Flow Cytometry
Purity
Protein A affinity purified
Pricing
product-image-AAA72505_FCM13.png FCM/FACS (Flow Cytometry) (Flow-cytometryusingtheanti-CD68antibodyFA-11(AAA72505) Mousesplenocyteswerestainedwithanti-FluoresceinIgGantibody(4-4-20;isotypecontrol,blackline)ortherabbitIgG-chimericversionofFA-11(AAA72505,blueline)atadilutionof1:100for1hatRT.Afterwashing,boundantibodywasdetectedusingagoatanti-rabbitIgGAlexaFluor488antibodyatadilutionof1:1000andcellsanalyzedusingaFACSCantoflow-cytometer.)

CD68, Monoclonal Recombinant Antibody (Cat# AAA72505)

Full Name
Anti-CD68 [FA-11], Rat IgG2a, kappa
Gene Names
Cd68; Lamp4; gp110; Scard1
Reactivity
Mouse
Applications
Immunoprecipitation, Immunohistochemistry, Flow Cytometry
Purity
Protein A affinity purified
Pricing
product-image-AAA72526_IF10.png IF (Immunofluorescence) (ImmunofluorescencestainingoffixedHeLacellswithanti-desmoglein-3antibody5G11(AAA72526) ImmunofluorescenceanalysisofparaformaldehydefixedA431cellsonShi-fixcoverslipsstainedwiththechimericrabbitIgGversionofHeLacells(AAA72526)at10ug/mlfor1hfollowedbyAlexaFluor488secondaryantibody(2ug/ml),showingmembranestaining.ThenuclearstainisDAPI(blue).Panelsshowfromleft-right,top-bottomAAA72526,DAPI,mergedchannelsandanisotypecontrol.TheisotypecontrolwasanunknownspecificityantibodyfollowedbystainingwithAlexaFluor488secondaryantibody.)

N-cadherin, Monoclonal Recombinant Antibody (Cat# AAA72526)

Full Name
Anti-N-cadherin [8C11], Mouse IgG1, kappa
Gene Names
CDH2; CDHN; NCAD; CD325; CDw325
Reactivity
Human, Rabbit, Hamster
Applications
Flow Cytometry, Immunohistochemistry, Immunofluorescence, Western Blot
Purity
Protein A affinity purified
Pricing
product-image-AAA72542_FCM11.png FCM/FACS (Flow Cytometry) (FlowcytometryusingtheAnti-CD40antibody1C10(AAA72542). Paraformaldehydefixedmousesplenocyteswerestainedwithanti-unknownspecificityantibodyorthemouseIgG1versionof1C10(AAA72542-1.1,blueline)atadilutionof1:100for1hatRT.Afterwashing,theboundantibodywasdetectedusingagoatanti-rabbitIgGAlexaFluor488antibodyatadilutionof1:1000andcellsanalyzedusingaFACSCantoflow-cytometer.)

CD40, Monoclonal Recombinant Antibody (Cat# AAA72542)

Full Name
Anti-CD40 [1C10], Rabbit IgG, kappa
Gene Names
Cd40; IGM; p50; Bp50; GP39; IMD3; TRAP; HIGM1; T-BAM; Tnfrsf5; AI326936
Reactivity
Mouse
Applications
Immunoprecipitation, Immunofluorescence, Flow Cytometry
Purity
Protein A affinity purified
Pricing
product-image-AAA71989_WB13.png WB (Western Blot) ( Western Blot using anti-MT1-MMP (Membrane type 1 metalloprotease) antibody LEM-2/15 (Ab00364) A549 (A), HepG2 (B) and HeLa (C) cell lysate samples (35ug protein in RIPA buffer) were resolved on a 10% SDS PAGE gel and blots probed with the chimeric mouse IgG1 version of LEM-2/15 (Ab00364-1.1) at 0.3 ug/ml before detection using an anti-mouse secondary antibody. A primary incubation of 1h was used and protein was detected by chemiluminescence. The predicted running size for unprocessed MT1-MMP is 65.9 kDa. A signal peptide and propeptide are cleaved from MT1-MMP during post-translational processing. The processed form of MT1-MMP may be seen in all samples, and the unprocessed form in lanes B and C. Ab00364-1.1 successfully detected MT1-MMP in A549, HepG2 and HeLa cell lysates.)

Membrane type 1 Metalloprotease, Monoclonal Recombinant Antibody (Cat# AAA71989)

Full Name
Anti-Membrane type 1 Metalloprotease [LEM-2/15]
Reactivity
Human
Applications
Blocking, ELISA
Purity
Protein A Affinity Purified
Pricing
product-image-AAA72029_WB13.png WB (Western Blot) (Western Blot using anti-IL-18 antibody SAIC-24B-4 Untreated human peripheral blood monocyte (PBM; A) and PMA/lonomycin-treated PBM lysates (35ug protein in RIPA buffer) were resolved on a 15% SDS PAGE gel and blots probed with the rabbit IgG-chimeric version of SAIC-24B-4 (AAA72029) at 0.3 ug/ml before detection using an anti-rabbit secondary antibody. Protein was detected by chemiluminescence. The expected running size for IL-18 is 22.3kDa. AAA72029 successfully detected IL-18 in untreated human peripheral blood monocyte samples.)

IL-18, Monoclonal Recombinant Antibody (Cat# AAA72029)

Full Name
Anti-IL-18 [SAIC-24B-4]
Gene Names
IL18; IGIF; IL-18; IL-1g; IL1F4
Reactivity
Human
Purity
Protein A Affinity Purified
Pricing
product-image-AAA72554_FCM10.png FCM/FACS (Flow Cytometry) (Flowcytometryusinganti-HLA-Eantibody3D12(AAA72554). A431cellswerestainedwiththeanti-unknownspecificityantibodyortherabbitIgGversionof3D12(AAA72554,blueline)atadilutionof1:100for1hatRT.Afterwashing,theboundantibodywasdetectedusingagoatanti-rabbitIgGAlexaFluor488antibodyatadilutionof1:1000,andthecellswereanalyzedusingaFACSCantoflow-cytometer.)

HLA-E, Monoclonal Recombinant Antibody (Cat# AAA72554)

Full Name
Anti-HLA-E [3D12], Mouse IgG1, kappa
Gene Names
HLA-E; MHC; QA1; EA1.2; EA2.1; HLA-6.2
Reactivity
Human
Applications
Immunofluorescence, Functional Assay, Flow Cytometry
Purity
Protein A affinity purified
Pricing
product-image-AAA60358_AD13.jpg Application Data

K-Ras, Recombinant Antibody (Cat# AAA60358)

Full Name
AbFlex K-Ras antibody (rAb)
Reactivity
Human
Applications
Western Blot
Purity
Protein A Chromatography
Pricing
product-image-AAA78404_WB11.jpg WB (Western Blot) (Fig-3: Western blot analysis of Rabbit recombinant hPD-1 antibody. Anti-Rabbit recombinant hPD-1 antibody was tested at 1 ug/ml in Jurkat cell lysate)

hPD-1, Monoclonal Recombinant Antibody (Cat# AAA78404)

Full Name
Recombinant hPD-1 rabbit Monoclonal Antibody (Clone: ABMRR01)
Gene Names
PDCD1; PD1; PD-1; CD279; SLEB2; hPD-1; hPD-l; hSLE1
Reactivity
Human
Applications
Flow Cytometry, Western Blot
Purity
Purified
Protein A Chromatography
Pricing
product-image-AAA243819_IF11.jpg IF (Immunofluorescence) (Immunofluorescence staining of Hela Cells at 1?50, counter-stained with DAPI. The cells were fixed in 4% formaldehyde, permeated by 0.2% TritonX-100, and blocked in 10% normal Goat Serum. The cells were then incubated with the antibody overnight at 4 degree C. Nuclear DNA was labeled in blue with DAPI. The secondary antibody was FITC-conjugated AffiniPure Goat Anti-Rabbit IgG ?H+L?.)

CHEK1, Monoclonal Recombinant Antibody (Cat# AAA243819)

Full Name
CHEK1 Antibody
Gene Names
CHEK1; CHK1
Reactivity
Human
Applications
Immunofluorescence, Immunohistochemistry, Western Blot
Purity
Affinity-chromatography
Pricing
product-image-AAA243844_IHC11.jpg IHC (Immunohistochemisry) (IHC image diluted at 1:100 and staining in paraffin-embedded human lung cancer performed on a Leica BondTM system. After dewaxing and hydration, antigen retrieval was mediated by high pressure in a citrate buffer (pH 6.0). Section was blocked with 10% normal goat serum 30min at RT. Then primary antibody (1% BSA) was incubated at 4 degree C overnight. The primary is detected by a Goat anti-rabbit IgG polymer labeled by HRP and visualized using 0.05% DAB.)

KDM1A, Monoclonal Recombinant Antibody (Cat# AAA243844)

Full Name
KDM1A Antibody
Gene Names
KDM1A; AOF2; KDM1; LSD1; BHC110
Reactivity
Human
Applications
Immunohistochemistry, Western Blot
Purity
Affinity-chromatography
Pricing
product-image-AAA243870_IHC13.jpg IHC (Immunohiostchemistry) (IHC image diluted at 1:100 and staining in paraffin-embedded human breast cancer performed on a Leica BondTM system. After dewaxing and hydration, antigen retrieval was mediated by high pressure in a citrate buffer (pH 6.0). Section was blocked with 10% normal goat serum 30min at RT. Then primary antibody (1% BSA) was incubated at 4 degree C overnight. The primary is detected by a Goat anti-rabbit IgG polymer labeled by HRP and visualized using 0.05% DAB.)

BCL2L1, Monoclonal Recombinant Antibody (Cat# AAA243870)

Full Name
BCL2L1 Antibody
Gene Names
BCL2L1; BCLX; BCL2L; BCLXL; BCLXS; Bcl-X; bcl-xL; bcl-xS; PPP1R52; BCL-XL/S
Reactivity
Human, Mouse, Rat
Applications
Immunohistochemistry, Western Blot
Purity
Affinity-chromatography
Pricing
product-image-AAA243969_IHC11.jpg IHC (Immunohistochemisry) (IHC image diluted at 1:100 and staining in paraffin-embedded human placenta tissue performed on a Leica BondTM system. After dewaxing and hydration, antigen retrieval was mediated by high pressure in a citrate buffer (pH 6.0). Section was blocked with 10% normal goat serum 30min at RT. Then primary antibody (1% BSA) was incubated at 4 degree C overnight. The primary is detected by a Goat anti-rabbit IgG polymer labeled by HRP and visualized using 0.05% DAB.)

LIG1, Monoclonal Recombinant Antibody (Cat# AAA243969)

Full Name
LIG1 Antibody
Reactivity
Human
Applications
Immunohistochemistry, Western Blot
Purity
Affinity-chromatography
Pricing
product-image-AAA243972_IHC11.jpg IHC (Immunohistochemisry) (IHC image diluted at 1:100 and staining in paraffin-embedded human lung cancer performed on a Leica BondTM system. After dewaxing and hydration, antigen retrieval was mediated by high pressure in a citrate buffer (pH 6.0). Section was blocked with 10% normal goat serum 30min at RT. Then primary antibody (1% BSA) was incubated at 4 degree C overnight. The primary is detected by a Goat anti-rabbit IgG polymer labeled by HRP and visualized using 0.05% DAB.)

HDAC3, Monoclonal Recombinant Antibody (Cat# AAA243972)

Full Name
HDAC3 Antibody
Gene Names
HDAC3; HD3; RPD3; RPD3-2
Reactivity
Human
Applications
Immunohistochemistry, Western Blot
Purity
Affinity-chromatography
Pricing
product-image-AAA243994_IP11.jpg IP (Immunoprecipitation) (Immunoprecipitating MAP2K1 in Hela whole cell lysateLane 1: Rabbit control IgG instead of in Hela whole cell lysate. For western blotting,a HRP-conjugated Protein G antibody was used as the secondary antibody (1/2000)Lane 2: Hela whole cell lysate?500ug?Lane 3: Hela whole cell lysate (10ug))

MAP2K1, Monoclonal Recombinant Antibody (Cat# AAA243994)

Full Name
MAP2K1 Antibody
Gene Names
MAP2K1; MEK1; MKK1; MAPKK1; PRKMK1
Reactivity
Human, Rat
Applications
Immunoprecipitation, Immunohistochemistry, Western Blot
Purity
Affinity-chromatography
Pricing
product-image-AAA244011_IF13.jpg IF (Immunofluorescence) (Immunofluorescence staining of Hela Cells at 1?50, counter-stained with DAPI. The cells were fixed in 4% formaldehyde, permeated by 0.2% TritonX-100, and blocked in 10% normal Goat Serum. The cells were then incubated with the antibody overnight at 4 degree C. Nuclear DNA was labeled in blue with DAPI. The secondary antibody was FITC-conjugated AffiniPure Goat Anti-Rabbit IgG ?H+L?.)

NUP153, Monoclonal Recombinant Antibody (Cat# AAA244011)

Full Name
NUP153 Antibody
Gene Names
NUP153; N153; HNUP153
Reactivity
Human
Applications
Immunofluorescence, Immunohistochemistry
Purity
Affinity-chromatography
Pricing
product-image-AAA244015_IF13.jpg IF (Immunofluorescence) (Immunofluorescence staining of MCF7 Cells at 1?50, counter-stained with DAPI. The cells were fixed in 4% formaldehyde, permeated by 0.2% TritonX-100, and blocked in 10% normal Goat Serum. The cells were then incubated with the antibody overnight at 4 degree C. Nuclear DNA was labeled in blue with DAPI. The secondary antibody was FITC-conjugated AffiniPure Goat Anti-Rabbit IgG ?H+L?.)

JUNB, Monoclonal Recombinant Antibody (Cat# AAA244015)

Full Name
JUNB Antibody
Gene Names
JUNB; AP-1
Reactivity
Human
Applications
Immunofluorescence, Immunohistochemistry
Purity
Affinity-chromatography
Pricing
product-image-AAA243884_IHC13.jpg IHC (Immunohiostchemistry) (IHC image diluted at 1:100 and staining in paraffin-embedded human skeletal muscle tissue performed on a Leica BondTM system. After dewaxing and hydration, antigen retrieval was mediated by high pressure in a citrate buffer (pH 6.0). Section was blocked with 10% normal goat serum 30min at RT. Then primary antibody (1% BSA) was incubated at 4 degree C overnight. The primary is detected by a Goat anti-rabbit IgG polymer labeled by HRP and visualized using 0.05% DAB.)

DMD, Monoclonal Recombinant Antibody (Cat# AAA243884)

Full Name
DMD Antibody
Gene Names
DMD; BMD; CMD3B; MRX85; DXS142; DXS164; DXS206; DXS230; DXS239; DXS268; DXS269; DXS270; DXS272
Reactivity
Human
Applications
Immunohistochemistry
Purity
Affinity-chromatography
Pricing
product-image-AAA243909_IHC11.jpg IHC (Immunohistochemisry) (IHC image diluted at 1:100 and staining in paraffin-embedded human placenta tissue performed on a Leica BondTM system. After dewaxing and hydration, antigen retrieval was mediated by high pressure in a citrate buffer (pH 6.0). Section was blocked with 10% normal goat serum 30min at RT. Then primary antibody (1% BSA) was incubated at 4 degree C overnight. The primary is detected by a Goat anti-rabbit IgG polymer labeled by HRP and visualized using 0.05% DAB.)

CD55, Monoclonal Recombinant Antibody (Cat# AAA243909)

Full Name
CD55 Antibody
Gene Names
CD55; CR; TC; DAF; CROM
Reactivity
Human
Applications
Immunohistochemistry, Western Blot
Purity
Affinity-chromatography
Pricing
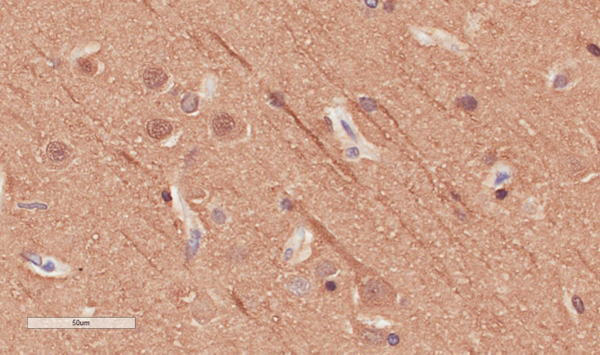
product-image-AAA243911_IHC13.jpg IHC (Immunohiostchemistry) (IHC image diluted at 1:100 and staining in paraffin-embedded human brain tissue performed on a Leica BondTM system. After dewaxing and hydration, antigen retrieval was mediated by high pressure in a citrate buffer (pH 6.0). Section was blocked with 10% normal goat serum 30min at RT. Then primary antibody (1% BSA) was incubated at 4 degree C overnight. The primary is detected by a Goat anti-rabbit IgG polymer labeled by HRP and visualized using 0.05% DAB.)

CLU, Monoclonal Recombinant Antibody (Cat# AAA243911)

Full Name
CLU Antibody
Gene Names
CLU; CLI; AAG4; APOJ; CLU1; CLU2; KUB1; SGP2; APO-J; SGP-2; SP-40; TRPM2; TRPM-2; NA1/NA2
Reactivity
Human
Applications
Immunohistochemistry
Purity
Affinity-chromatography
Pricing
product-image-AAA315352_IHC13.jpg IHC (Immunohiostchemistry) (Immunohistochemical analysis of paraffin-embedded human spleen, using FANCD2 Antibody.)

FANCD2, Monoclonal Recombinant Antibody (Cat# AAA315352)

Full Name
FANCD2 Rabbit mAb
Gene Names
FANCD2; FA4; FAD; FACD; FAD2; FA-D2; FANCD
Reactivity
Human, Mouse, Rat
Applications
Immunoprecipitation, Immunofluorescence, Immunocytochemistry, Immunohistochemistry, Western Blot
Purity
Affinity-chromatography
Pricing
product-image-AAA315365_IF11.jpg IF (Immunofluorescence) (Immunofluorescent analysis of Hela cells, using RAB7 Antibody.)

RAB7, Monoclonal Recombinant Antibody (Cat# AAA315365)

Full Name
RAB7 Rabbit mAb
Gene Names
RAB7A; RAB7; PRO2706
Reactivity
Human, Mouse, Rat
Applications
Flow Cytometry, Immunofluorescence, Immunocytochemistry, Immunohistochemistry, Western Blot
Purity
Affinity-chromatography
Pricing
product-image-AAA315027_IF13.jpg IF (Immunofluorescence) (Immunofluorescent analysis of HUVEC cells, using VEGF Antibody.)

VEGF, Monoclonal Recombinant Antibody (Cat# AAA315027)

Full Name
VEGF Rabbit mAb
Gene Names
VEGFA; VPF; VEGF; MVCD1
Reactivity
Human, Mouse
Applications
Flow Cytometry, Immunofluorescence, Immunocytochemistry, Immunohistochemistry
Purity
Affinity-chromatography
Pricing
product-image-AAA315070_IF13.jpg IF (Immunofluorescence) (Immunofluorescent analysis of Hela cells, using Hsp90 alpha Antibody .)

Hsp90 alpha, Monoclonal Recombinant Antibody (Cat# AAA315070)

Full Name
Hsp90 alpha Rabbit mAb
Gene Names
HSP90AA1; EL52; HSPN; LAP2; HSP86; HSPC1; HSPCA; Hsp89; Hsp90; HSP89A; HSP90A; HSP90N; HSPCAL1; HSPCAL4
Reactivity
Human, Mouse, Rat
Applications
Immunoprecipitation, Immunofluorescence, Immunocytochemistry, Western Blot
Purity
Affinity-chromatography
Pricing
product-image-AAA315071_IF11.jpg IF (Immunofluorescence) (Immunofluorescent analysis of Ramos cells, using Bcl-6 Antibody .)

Bcl-6, Monoclonal Recombinant Antibody (Cat# AAA315071)

Full Name
Bcl-6 Rabbit mAb
Gene Names
BCL6; BCL5; LAZ3; BCL6A; ZNF51; ZBTB27
Reactivity
Human
Applications
Immunoprecipitation, Immunofluorescence, Immunocytochemistry, Immunohistochemistry, Western Blot
Purity
Affinity-chromatography
Pricing
product-image-AAA315097_IHC13.jpg IHC (Immunohiostchemistry) (Immunohistochemical analysis of paraffin-embedded human testis, using Integrin beta 3 Antibody .)

Integrin beta 3, Monoclonal Recombinant Antibody (Cat# AAA315097)

Full Name
Integrin beta 3 Rabbit mAb
Gene Names
ITGB3; GT; CD61; GP3A; BDPLT2; GPIIIa; BDPLT16
Reactivity
Human, Mouse, Rat
Applications
Immunofluorescence, Immunocytochemistry, Immunohistochemistry, Western Blot
Purity
Affinity-chromatography
Pricing
product-image-AAA315105_IHC13.jpg IHC (Immunohiostchemistry) (Immunohistochemical analysis of paraffin-embedded human spleen, using CD63 Antibody .)

CD63, Monoclonal Recombinant Antibody (Cat# AAA315105)

Full Name
CD63 Rabbit mAb
Gene Names
CD63; MLA1; ME491; LAMP-3; OMA81H; TSPAN30
Reactivity
Human
Applications
Immunohistochemistry, Western Blot
Purity
Affinity-chromatography
Pricing

What are recombinant antibodies?


Recombinant antibodies are produced in the lab by utilizing a known genetic sequence (an amino acid and nucleotide sequence). This allows for high consistency in how each new lot will perform and how specific they will be for the target, regardless of how many times they are produced/reproduced.


They help solve of the problems observed when traditional non-recombinant techniques are utilized, such as changes in cell behavior over time, differences between production batches, and accuracy in complex biological systems.


A powerful feature of recombinant antibodies is that they can also be modified through progressive genetic engineering and subsequent testing in order to make them perform better and/or more reliably.


Applications For Recombinant Antibodies


1. Basic Research


Recombinant antibodies are primarily utilized in laboratory experiments to study the function of various proteins in cells. They are helpful in finding and tracking specific molecules through their use in techniques such as ELISA, Western blotting, immunofluorescence, and flow cytometry.


2. Diagnostics


They are also key components in diagnostic tests used to detect diseases and infections. As recombinant antibodies are produced in a consistent and controlled way, they are able to provide highly reliable results across batches. Though recombinant antibodies are indeed quite useful in diagnostic applications, all of the products listed in AAA Biotech’s also known as AAA Bio or AAABio catalog are strictly for research-use only (RUO).


3. Therapeutics (Medical Treatments)


Please note that all of the products listed in AAA Biotech’s catalog are strictly for research-use only (RUO).


  • Chimeric Antibodies: Commonly used in therapeutic treatment. They combine different pieces of mouse and human antibodies in order to reduce immune reactions.

  • Humanized Antibodies: Modified non-human antibodies that are made to look the same as actual native human antibodies, making them safer and more effective.

  • Antibody Fragments (Fab, scFv, VHH): Smaller pieces of antibodies that can reach deep into tissues and tumors. They are useful in cancer treatments and imaging.

  • Bispecific Antibodies: Specially-engineered antibodies that can bind to two different target molecules at once. Each antibody has two “arms” that allow for two places where the target antigen can bind (both “arms” will recognize the same exact epitope). These bispecific antibodies are engineered so that each arm can detect a completely different epitope than the other. Used in many of the treatments for cancer, diabetes, Alzheimer’s disease, and more.

  • Fc-Fusion Proteins: Used as drugs and research tools. They combine parts of antibodies with other proteins to improve stability and effectiveness.


4. Imaging and Detection


Small antibody fragments are also used as imaging agents in medical scans. Their small size helps them reach and report on the status of tumors quickly.


5. Drug Development and Delivery


Please note that all of the products listed in AAA Biotech’s catalog are strictly for research-use only (RUO).


Recombinant antibodies are can also be designed and be made to deliver drugs directly to diseased cells, especially in targeted cancer therapy.


6. Immunotherapy


Please note that all of the products listed in AAA Biotech’s catalog are strictly for research-use only (RUO).


These antibodies can aid the immune system recognize and fight diseases more effectively, which is often their role in cancer treatment.


Advantages of Recombinant Antibodies


  • Reliable Results Every Time: Recombinant antibodies are exceptionally consistent from batch to batch. This means researchers can trust that results will remain the same each time they purchase and use them.

  • More Specific and Accurate: Compared to polyclonal antibodies, recombinant antibodies are significantly less likely to exhibit non-specific binding, which promotes more accurate and clearer results.

  • Easier to Develop: Making recombinant antibodies is simpler and quicker than the traditional method of producing monoclonal antibodies via hybridomas.

  • No Genetic Drift: Over time, hybridoma cells can change or become unstable, which can result in the antibodies progressively losing their function/specificity. Recombinant antibodies avoid this problem because they are produced from a fixed template DNA sequence.

  • Truly Monoclonal: Studies have shown that many hybridomas thought to be monoclonal actually are not so, which can lead to, in some cases, unreliable results. Recombinant antibodies are made using precise genetic sequence templates, ensuring they are truly specific to one target.

  • Long-Term Stability and Safety: Since their amino acid and genetic sequences are known and stored, recombinant antibodies can be reproduced any time with the same quality. This method protects against contamination, genetic changes over time, or even accidental loss/deterioration of cell lines.


Why Buy Recombinant Antibody from AAA Biotech?


  • Highly Validated: The vast majority of our antibodies are thoroughly tested to ensure they work reliably across different applications and experimental platforms.

  • Versatile Applications: Our antibodies can be used in a wide range of research techniques, including (but not limited to) immunocytochemistry (ICC), ELISA, immunofluorescence (IF), immunohistochemistry (IHC), flow cytometry (FC), immunoprecipitation (IP), and Western blotting (WB).

  • Support for Rare Species: We offer antibodies specifically designed for rare or less commonly used laboratory species — something many other suppliers do not provide.

  • Wide Selection of Conjugated and Recombinant Forms: Choose from various labeled (conjugated) options and browse our high-quality recombinant antibodies – we are confident that we will have materials to meet your research needs.


FAQ


1. What are recombinant antibodies used for?


Research (e.g., ELISA, Western blot, flow cytometry)
Disease diagnostics
Therapeutic treatments (e.g., cancer, autoimmune diseases)
Medical imaging
Targeted drug delivery
Vaccine development
Please note that all of the products listed in AAA Biotech’s catalog are strictly for research-use only (RUO).


2. What is the difference between traditional and recombinant antibodies?


Traditional antibodies: Produced using animal hosts (hybridomas are typically made from an original animal inoculation), slower, less consistent, risk of genetic drift
Recombinant antibodies: Produced using DNA template sequences via laboratory cell lines, faster, highly consistent, animal-free, easily customizable


3. What are antibodies used to treat?


Please note that all of the products listed in AAA Biotech’s catalog are strictly for research-use only (RUO).
Antibodies are proteins that your body makes to protect you from infections, allergies, and other potentially harmful substances. Scientists have used the intrinsic properties of antibodies to develop them into tools for scientific advancement, and can now create special lab-grown antibodies that aid in the treatment of diseases such as cancer, heart-related issues, and arthritis.


4. Why do we need recombinant proteins?


Recombinant proteins are lab-made proteins that have become essential in the advancement of science and medicine. They’re used in the lab for innumerable purposes, such as to help grow and support cells, especially for tasks like expanding cell colonies, helping them develop into other types, or turning them into stem cells.


Submit a Question

Please complete the form below and a representative will contact you as soon as possible.

Request more Information

Please complete the form below and a representative will contact you as soon as possible.

Request a Manual

Please complete the form below and a representative will contact you as soon as possible.

Request a Quote

Please complete the form below and a representative will contact you as soon as possible.