Loading...

Skip to main content
Call us at +1-800-604-9114 for more information about our products or contact us online Need help? +1-800-604-9114 or contact us

Filters


Clonality

Type

Reactivity

Gene Name

Isotype

Host

Application

Clone

Monoclonal Antibodies

Get accurate results in your research with our Monoclonal Antibodies, which are specially made to target exactly what you require for your research, and will produce consistent, reliable performance in lab tests.


Viewing 6950-7000 of 27645 product results


product-image-AAA300862_AD11.jpg Application Data (Input: Hela Cell Lysate2B'B'IP product: IP dilute 1:200Western blot analysis: primary antibody AAA300862: 1:2,000Secondary antibody: Goat anti-Mouse IgG(H+L) 1:10,000.)

Histone H3, Monoclonal Antibody (Cat# AAA300862)

No reviews yet
Full Name
Histone H3 Mouse Monoclonal Antibody
Gene Names
HIST1H3A; H3/A; H3FA
Reactivity
Human, Rat, Mouse
Applications
Immunoprecipitation, Immunofluorescence, Western Blot
Purity
Affinity purification using immunogen.
Pricing
product-image-AAA300866_IHC13.jpg IHC (Immunohiostchemistry) (IHC staining of Human tonsil tissue paraffin-embedded, diluted at 1:200.)

Bcl-2, Monoclonal Antibody (Cat# AAA300866)

No reviews yet
Full Name
Bcl-2 Monoclonal Antibody
Gene Names
BCL2; Bcl-2; PPP1R50
Reactivity
Human, Mouse, Rat
Applications
Immunohistochemistry, Western Blot
Purity
The antibody was affinity-purified from antiserum by affinity-chromatography
Pricing
product-image-AAA300868_WB11.jpg WB (Western Blot) (Western blot analysis of extracts from Hela cells,untreated,50 uM TSA-treated or 50 uM TPA-treated for 24h,using C-FOS antibody (1:500 diluted)(upper) or GAPDH antibody (1:10000 diluted) (lower).)

c-Fos, Monoclonal Antibody (Cat# AAA300868)

No reviews yet
Full Name
c-Fos Monoclonal Antibody
Gene Names
FOS; p55; AP-1; C-FOS
Reactivity
Human, Rat, Monkey
Applications
Western Blot
Purity
Affinity purified
Pricing
product-image-AAA300870_AD11.jpg Application Data (Input: Hela Cell Lysate 2¡¢IP product: IP dilute 1:200 Western blot analysis: primary antibody : 1:1,000 Secondary antibody: Goat anti-Mouse IgG(H+L) 1:10,000)

Histone H3, Monoclonal Antibody (Cat# AAA300870)

No reviews yet
Full Name
Histone H3(Tri-methyl-K9) Mouse Monoclonal Antibody
Gene Names
HIST1H3A; H3/A; H3FA
Reactivity
Human, Rat, Mouse
Applications
Immunoprecipitation, Western Blot
Purity
Affinity purification using immunogen.
Pricing
product-image-AAA300702_IF11.jpg IF (Immunofluorescence) (Immunofluorescence analysis of human-liver tissue. 1, CK7 Monoclonal Antibody (12D7) (red) was diluted at 1:200 (4°C, overnight). 2, Cy3 labled Secondary antibody was diluted at 1:300 (Room Temperature, 50min).3, Picture B: DAPI(blue) 10min. Picture A: Target. Picture B: DAPI. Picture C: merge of A+B)

CK7, Monoclonal Antibody (Cat# AAA300702)

No reviews yet
Full Name
CK7 Mouse Monoclonal Antibody
Gene Names
KRT7; K7; CK7; SCL; K2C7
Reactivity
Human, Mouse, Rat
Applications
Immunofluorescence, Immunohistochemistry, Western Blot
Purity
Affinity purification using immunogen.
Pricing
product-image-AAA300703_WB11.jpg WB (Western Blot) (Western blot analysis of Hela, diluted at)

Histone H3, Monoclonal Antibody (Cat# AAA300703)

No reviews yet
Full Name
Histone H3 (Tri-Methyl-Lys9) Monoclonal Antibody
Gene Names
HIST1H3A; H3/A; H3FA
Reactivity
Human, Mouse, Rat
Applications
Western Blot
Purity
The antibody was affinity-purified from antiserum by affinity-chromatography
Pricing
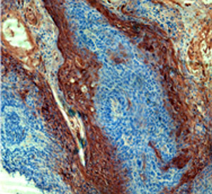
product-image-AAA300711_IHC15.jpg IHC (Immunohistochemistry) (IHC staining of paraffin-embedded Human tonsil tissue with CD20 mouse mAb ¨2F4 ©diluted at 1:200.)

CD20, Monoclonal Antibody (Cat# AAA300711)

No reviews yet
Full Name
CD20 Mouse Monoclonal Antibody
Gene Names
KRT20; K20; CD20; CK20; CK-20; KRT21
Reactivity
Human, Mouse, Rat
Applications
Immunohistochemistry
Purity
Affinity purification using immunogen.
Pricing
product-image-AAA300712_WB15.jpg WB (Western Blot) (Western blot analysis of Zebrafish skeletal muscle, using (AAA300712) diluted at 1:5,000.)

alpha tubulin, Monoclonal Antibody (Cat# AAA300712)

No reviews yet
Full Name
alpha tubulin Mouse Monoclonal Antibody(Zebrafish Specific)
Gene Names
ATAT1; TAT; MEC17; C6orf134; Nbla00487
Reactivity
Zebrafish
Applications
Western Blot
Purity
Affinity purification using immunogen.
Pricing
product-image-AAA300719_WB13.jpg WB (Western Blot) (Western blot detection of ICAM1 antibody in SW480 and Raji cell lysates using ICAM1 antibody (1:1000 diluted).Predicted band size:96KDa.Observed band size:96KDa.)

CD54, Monoclonal Antibody (Cat# AAA300719)

No reviews yet
Full Name
CD54(ICAM-1) Monoclonal Antibody
Gene Names
ICAM1; BB2; CD54; P3.58
Reactivity
Human
Applications
Immunocytochemistry, Western Blot
Purity
Affinity purified
Pricing
product-image-AAA300721_IF13.jpg IF (Immunofluorescence) (IF analysis of Hela with (Left) and DAPI (Right) diluted at 1:100.)

Vimentin, Monoclonal Antibody (Cat# AAA300721)

No reviews yet
Full Name
Vimentin Mouse Monoclonal Antibody(1A7)
Gene Names
VIM; HEL113; CTRCT30
Reactivity
Human, Rat, Mouse
Applications
Immunofluorescence, Western Blot
Purity
Affinity purification using immunogen.
Pricing
product-image-AAA300724_AD13.jpg Application Data (1:200 dilution from a previous lot detected JMJD6 in Hela)

JMJD6, Monoclonal Antibody (Cat# AAA300724)

No reviews yet
Full Name
JMJD6(N-term) Monoclonal Antibody
Gene Names
JMJD6; PSR; PTDSR; PTDSR1
Reactivity
Human, Dog, Mouse, Rat
Applications
Immunocytochemistry, Western Blot
Purity
Purified by antigen-affinity chromatography.
Pricing
product-image-AAA214558_SDS_PAGE11.jpg SDS-PAGE (SDS-PAGE Analysis Purified Rabbit Recombinant Monoclonal Antibody (VWF/1859R).)

von Willebrand Factor/Factor VIII Related-Ag, Monoclonal Antibody (Cat# AAA214558)

No reviews yet
Full Name
von Willebrand Factor/Factor VIII Related-Ag (Endothelial Marker)
Gene Names
VWF; VWD; F8VWF
Reactivity
Human. Others not known.
Applications
Immunohistochemistry, Immunoprecipitation, Western Blot, Immunofluorescence
Pricing
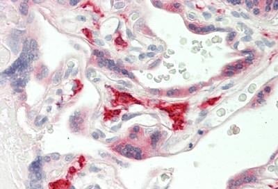
product-image-AAA214608_IHC11.jpg IHC (Immunohistochemisry) (Formalin-paraffin human Prostate Carcinoma stained with CD44 Monoclonal Antibody (CD44v9/1459))

CD44v9, Monoclonal Antibody (Cat# AAA214608)

No reviews yet
Full Name
CD44v9 (Marker of Tumor Metastasis)
Gene Names
CD44; IN; LHR; MC56; MDU2; MDU3; MIC4; Pgp1; CDW44; CSPG8; HCELL; HUTCH-I; ECMR-III
Reactivity
Human. Others not tested.
Applications
Immunohistochemistry, Immunofluorescence, Flow Cytometry
Pricing
product-image-AAA214524_IHC13.jpg IHC (Immunohiostchemistry) (Formalin-fixed, paraffin-embedded Human Pancreas stained with Spectrin beta III Monoclonal Antibody (SPTBN2/1582).)

Spectrin beta III (SPTBN2), Monoclonal Antibody (Cat# AAA214524)

No reviews yet
Full Name
Spectrin beta III (SPTBN2)
Gene Names
SPTBN2; SCA5; SCAR14; GTRAP41
Reactivity
Human. Others not known.
Applications
Immunohistochemistry, Western Blot, Immunofluorescence, Flow Cytometry
Pricing
product-image-AAA214525_IHC11.jpg IHC (Immunohistochemisry) (Formalin-fixed, paraffin-embedded Mouse Kidney stained with Spectrin beta III Monoclonal Antibody (SPTBN2/1584).)

Spectrin beta III (SPTBN2), Monoclonal Antibody (Cat# AAA214525)

No reviews yet
Full Name
Spectrin beta III (SPTBN2)
Gene Names
SPTBN2; SCA5; SCAR14; GTRAP41
Reactivity
Human, Rat, Mouse. Others not known.
Applications
Immunohistochemistry, Western Blot, Immunofluorescence, Flow Cytometry
Pricing
product-image-AAA214834_AD11.jpg Application Data (Analysis of Protein Array containing more than 19,000 full-length human proteins using ZAP70 Mouse Monoclonal Antibody (ZAP70/2046).Z- and S- Score: The Z-score represents the strength of a signal that a monoclonal antibody (MAb) (in combination with a fluorescently-tagged anti-IgG secondary antibody) produces when binding to a particular protein on the HuProtTM array. Z-scores are described in units of standard deviations (SD's) above the mean value of all signals generated on that array. If targets on HuProtTM are arranged in descending order of the Z-score, the S-score is the difference (also in units of SD's) between the Z-score. S-score therefore represents the relative target specificity of a MAb to its intended target. A MAb is considered to specific to its intended target, if the MAb has an S-score of at least 2.5. For example, if a MAb binds to protein X with a Z-score of 43 and to protein Y with a Z-score of 14, then the S-score for the binding of that MAb to protein X is equal to 29.)

ZAP70, Monoclonal Antibody (Cat# AAA214834)

No reviews yet
Full Name
ZAP70 (Chronic Lymphocytic Leukemia Marker)
Gene Names
ZAP70; SRK; STD; TZK; STCD; IMD48; ADMIO2; ZAP-70
Reactivity
Human. Others not known
Applications
Immunohistochemistry
Purity
Purified Ab with BSA and Azide at 200ug/ml OR Purified Ab WITHOUT BSA and Azide at 1.0mg/ml
Pricing
product-image-AAA214840_AD8.jpg Application Data (Analysis of Protein Array containing more than 19,000 full-length human proteins using TCL1 Mouse Monoclonal Antibody (TCL1/2079). Z- and S- Score: The Z-score represents the strength of a signal that a monoclonal antibody (MAb) (in combination with a fluorescently-tagged anti-IgG secondary antibody) produces when binding to a particular protein on the HuProtTM array. Z-scores are described in units of standard deviations (SD's) above the mean value of all signals generated on that array. If targets on HuProtTM are arranged in descending order of the Z-score, the S-score is the difference (also in units of SD's) between the Z-score. S-score therefore represents the relative target specificity of a MAb to its intended target. A MAb is considered to specific to its intended target, if the MAb has an S-score of at least 2.5. For example, if a MAb binds to protein X with a Z-score of 43 and to protein Y with a Z-score of 14, then the S-score for the binding of that MAb to protein X is equal to 29.)

TCL1, Monoclonal Antibody (Cat# AAA214840)

No reviews yet
Full Name
TCL1 (T-Cell Marker)
Gene Names
TCL1A; TCL1
Reactivity
Human. Others not known.
Applications
Immunohistochemistry, Western Blot
Purity
Purified Ab with BSA and Azide at 200ug/ml OR Purified Ab WITHOUT BSA and Azide at 1.0mg/ml
Pricing
product-image-AAA214857_AD13.jpg Application Data

CD68, Monoclonal Antibody (Cat# AAA214857)

No reviews yet
Full Name
CD68 (Macrophage Marker)
Gene Names
CD68; GP110; LAMP4; SCARD1
Reactivity
Human. Others not known.
Applications
Immunohistochemistry, Western Blot, Immunofluorescence, Flow Cytometry
Purity
Purified Ab with BSA and Azide at 200ug/ml OR Purified Ab WITHOUT BSA and Azide at 1.0mg/ml
Pricing
product-image-AAA214458_SDS_PAGE13.jpg SDS-PAGE (SDS-PAGE Analysis of Purified MUC1 Rabbit Recombinant Monoclonal Antibody (MUC1/2278R).)

MUC1/CA15-3/EMA/CD227, Monoclonal Antibody (Cat# AAA214458)

No reviews yet
Full Name
MUC1/CA15-3/EMA/CD227 (Epithelial Marker)
Gene Names
MUC1; EMA; MCD; PEM; PUM; KL-6; MAM6; MCKD; PEMT; CD227; H23AG; MCKD1; MUC-1; ADMCKD; ADMCKD1; CA 15-3; MUC-1/X; MUC1/ZD; MUC-1/SEC
Reactivity
Human. Others not known.
Applications
Immunohistochemistry
Pricing
product-image-AAA214467_IHC13.jpg IHC (Immunohiostchemistry) (Formalin-fixed, paraffin-embedded human Ewing�s Sarcoma stained with NKX2.2 Monoclonal Antibody (NX2/1524).)

NKX2.2, Monoclonal Antibody (Cat# AAA214467)

No reviews yet
Full Name
NKX2.2 (Neuroendocrine and Ewing's Sarcoma Marker)
Gene Names
NKX2-2; NKX2B; NKX2.2
Reactivity
Human. Others not known.
Applications
Immunohistochemistry, Immunofluorescence, Flow Cytometry
Pricing
product-image-AAA214379_SDS_PAGE13.jpg SDS-PAGE (SDS-PAGE Analysis PurifiedAnnexin A1 Mouse Monoclonal Antibody (6E4/3). Confirmation of Integrity and Purity of the Antibody.)

Annexin A1, Monoclonal Antibody (Cat# AAA214379)

No reviews yet
Full Name
Annexin A1/ (Hairy Cell Leukemia Marker)
Gene Names
ANXA1; ANX1; LPC1
Reactivity
Human. Others not tested.
Applications
Immunohistochemistry
Pricing
product-image-AAA214380_IHC11.jpg IHC (Immunohistochemisry) (Formalin-fixed, paraffin-embedded human Small Intestine stained with CD209 Monoclonal Antibody (C209/1781).)

CD209/DC-SIGN, Monoclonal Antibody (Cat# AAA214380)

No reviews yet
Full Name
CD209/DC-SIGN (Pathogen Receptor on Dendritic Cells)
Gene Names
CD209; CDSIGN; CLEC4L; DC-SIGN; DC-SIGN1
Reactivity
Human. Others not known.
Applications
Immunohistochemistry, Immunofluorescence, Flow Cytometry
Pricing
product-image-AAA296971_AD13.jpg Application Data (The purity of Anti-Siglec-3 / CD33 Reference Antibody (Gemtuzumab ozogamicin)is more than 95% ,determined by SEC-HPLC.)

Siglec-3/CD33, Monoclonal Recombinant Antibody (Cat# AAA296971)

No reviews yet
Full Name
Anti-Siglec-3/CD33 Reference Antibody (Gemtuzumab ozogamicin)
Gene Names
CD33; p67; SIGLEC3; SIGLEC-3
Reactivity
Human, Rat, Mouse
Applications
Functional Assay, Flow Cytometry
Pricing
product-image-AAA215587_IHC15.jpg IHC (Immunohistochemistry) (Formalin-fixed, paraffin-embedded human kidney stained with DAXX Mouse Monoclonal Antibody (PCRP-DAXX-8C2).)

DAXX, Monoclonal Antibody (Cat# AAA215587)

No reviews yet
Full Name
DAXX Mouse Monoclonal Antibody [Clone PCRP-DAXX-8C2]
Gene Names
DAXX; DAP6; EAP1; BING2
Reactivity
Human
Applications
Immunohistochemistry, Immunofluorescence, Flow Cytometry
Pricing
product-image-AAA215608_IHC15.jpg IHC (Immunohistochemistry) (Formalin-fixed, paraffin-embedded human placenta stained with EGFR (L858R) Recombinant Rabbit Monoclonal Antibody (GFR/4564R).)

EGFR, Monoclonal Antibody (Cat# AAA215608)

No reviews yet
Full Name
EGFR (L858R Mutant Specific) Recombinant Rabbit Monoclonal Antibody [Clone GFR/4564R]
Gene Names
EGFR; ERBB; HER1; mENA; ERBB1; PIG61
Reactivity
Human
Applications
Immunohistochemistry
Pricing
product-image-AAA215637_SDS_PAGE15.jpg SDS-PAGE (SDS-PAGE Analysis Purified ALDH1A1 Recombinant Rabbit Monoclonal (ALDH1A1/7011R). Confirmation of Integrity and Purity of Antibody.)

ALDH1A1 (Aldehyde Dehydrogenase 1A1), Monoclonal Antibody (Cat# AAA215637)

No reviews yet
Full Name
ALDH1A1 (Aldehyde Dehydrogenase 1A1) Recombinant Rabbit Monoclonal Antibody [Clone ALDH1A1/7011R]
Gene Names
ALDH1A1; ALDC; ALDH1; HEL-9; HEL12; PUMB1; ALDH11; RALDH1; ALDH-E1; HEL-S-53e
Reactivity
Human
Applications
Immunohistochemistry
Pricing
product-image-AAA215666_IHC15.jpg IHC (Immunohistochemistry) (Formalin-fixed, paraffin-embedded human kidney stained with Ferritin, Light Chain Mouse Monoclonal Antibody (FTL/3100).)

Ferritin, Light Chain, Monoclonal Antibody (Cat# AAA215666)

No reviews yet
Full Name
Ferritin, Light Chain (Node-Negative Breast Tumor Prognostic Marker) Mouse Monoclonal Antibody [Clone FTL/3100]
Gene Names
FTL; LFTD; NBIA3
Reactivity
Human
Applications
Immunohistochemistry
Pricing
product-image-AAA215688_IHC15.jpg IHC (Immunohistochemistry) (Formalin-fixed, paraffin-embedded human colon carcinoma stained with MSH6 Recombinant Mouse Monoclonal Antibody (rMSH6/4743).)

MSH6, Monoclonal Antibody (Cat# AAA215688)

No reviews yet
Full Name
MSH6 (DNA Mismatch Repair Protein) Recombinant Mouse Monoclonal Antibody [Clone rMSH6/4743]
Gene Names
MSH6; GTBP; HSAP; p160; GTMBP; HNPCC5
Reactivity
Human
Applications
Immunohistochemistry
Pricing
product-image-AAA215887_IHC15.jpg IHC (Immunohistochemistry) (Formalin-fixed, paraffin-embedded human mantle cell lymphoma stained Cyclin D1 Recombinant Mouse Monoclonal Antibody (rCCND1/4752).)

Cyclin D1, Monoclonal Antibody (Cat# AAA215887)

No reviews yet
Full Name
Cyclin D1 (G1-Cyclin & Mantle Cell Lymphoma Marker) Recombinant Mouse Monoclonal Antibody [Clone rCCND1/4752]
Gene Names
CCND1; BCL1; PRAD1; U21B31; D11S287E
Reactivity
Human
Applications
Immunohistochemistry
Pricing
product-image-AAA215900_IHC15.jpg IHC (Immunohistochemistry) (Formalin-fixed, paraffin-embedded human cerebellum stained with S100B Mouse Monoclonal Antibody (S100B/4140).)

S100B, Monoclonal Antibody (Cat# AAA215900)

No reviews yet
Full Name
S100B (Astrocyte and Melanoma Marker) Mouse Monoclonal Antibody [Clone S100B/4140]
Gene Names
S100B; NEF; S100; S100-B; S100beta
Reactivity
Human
Applications
Immunohistochemistry
Pricing
product-image-AAA215901_IHC15.jpg IHC (Immunohistochemistry) (Formalin-fixed, paraffin-embedded human cerebellum stained with S100B Mouse Monoclonal Antibody (S100B/4141).)

S100B, Monoclonal Antibody (Cat# AAA215901)

No reviews yet
Full Name
S100B (Astrocyte and Melanoma Marker) Mouse Monoclonal Antibody [Clone S100B/4141]
Gene Names
S100B; NEF; S100; S100-B; S100beta
Reactivity
Human
Applications
Immunohistochemistry, Western Blot
Pricing
product-image-AAA215902_SDS_PAGE15.jpg SDS-PAGE (SDS-PAGE Analysis Purified S100B Mouse Monoclonal Antibody (S100B/4149). Confirmation of Purity and Integrity of Antibody.)

S100B, Monoclonal Antibody (Cat# AAA215902)

No reviews yet
Full Name
S100B (Astrocyte and Melanoma Marker) Mouse Monoclonal Antibody [Clone S100B/4149]
Gene Names
S100B; NEF; S100; S100-B; S100beta
Reactivity
Human
Applications
Immunohistochemistry
Pricing
product-image-AAA215766_IHC15.jpg IHC (Immunohistochemistry) (Formalin-fixed, paraffin-embedded human colon stained with Cytokeratin 8 Recombinant Rabbit Monoclonal Antibody (KRT8/4067R).)

Cytokeratin 8 (KRT8), Monoclonal Antibody (Cat# AAA215766)

No reviews yet
Full Name
Cytokeratin 8 (KRT8) Recombinant Rabbit Monoclonal Antibody [Clone KRT8/4067R]
Gene Names
KRT8; K8; KO; CK8; CK-8; CYK8; K2C8; CARD2
Reactivity
Human
Does not react with rat.
Applications
Immunohistochemistry, Western Blot, Immunofluorescence, Flow Cytometry
Pricing
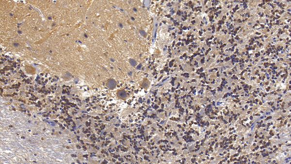
product-image-AAA215790_IHC15.jpg IHC (Immunohistochemistry) (Formalin-fixed, paraffin-embedded human brain stained with Myelin Basic Protein Mouse Monoclonal Antibody (MBP/4276).)

Myelin Basic Protein [p Thr98], Monoclonal Antibody (Cat# AAA215790)

No reviews yet
Full Name
Myelin Basic Protein [p Thr98] (Marker of Oligodendrocytes & Myelin) Mouse Monoclonal Antibody [Clone MBP/4276]
Reactivity
Human
Applications
Immunohistochemistry, Western Blot, Immunofluorescence
Pricing
product-image-AAA215798_IHC15.jpg IHC (Immunohistochemistry) (Formalin-fixed, paraffin-embedded human breast carcinoma stained with Mammaglobin Recombinant Mouse Monoclonal Antibody (rMGB/4299).)

Mammaglobin (SCGB2A2), Monoclonal Antibody (Cat# AAA215798)

No reviews yet
Full Name
Mammaglobin (SCGB2A2) (Breast Cancer Marker) Recombinant Mouse Monoclonal Antibody [Clone rMGB/4299]
Gene Names
SCGB2A2; MGB1; UGB2
Reactivity
Human
Applications
Immunohistochemistry
Pricing
product-image-AAA174757_FCM13.jpg FCM/FACS (Flow Cytometry) (Human peripheral blood lymphocytes are stained with Anti-Human IgM Monoclonal Antibody(PE/Cyanine7 Conjugated)(filled gray histogram) or Mouse IgG1 Isotype Control PE/Cy7 (empty black histogram).)

IgM, Monoclonal Secondary Antibody (Cat# AAA174757)

No reviews yet
Full Name
Anti-Human IgM Monoclonal Antibody (PE/Cyanine7 Conjugated) [MHM-88]
Reactivity
Human
Applications
Flow Cytometry
Pricing
product-image-AAA174606_FCM13.jpg FCM/FACS (Flow Cytometry) (C57BL/6 murine splenocytes are stained with Anti-Mouse CD16/32 Monoclonal Antibody(PE/Cy5 Conjugated)(filled gray histogram). Unstained splenocytes (empty black histogram) are used as control.)

CD16/32, Monoclonal Antibody (Cat# AAA174606)

No reviews yet
Full Name
Anti-Mouse CD16/32 Monoclonal Antibody (PE/Cy5 Conjugated)
Gene Names
Fcgr2b; CD32; Fcgr2; Fcr-2; Fcr-3; Ly-17; LyM-1; Lym-1; fcRII; FcgRII; Fcgr2a; Ly-m20; AI528646; Fc[g]RII; F630109E10Rik
Reactivity
Mouse
Applications
Flow Cytometry
Pricing
product-image-AAA120380_FCM13.jpg FCM/FACS (Flow Cytometry) (Flow-cytometry using anti-human CD276 antibody.PC-3 cells were stained with an irrelevant antibody (Blue Histogram) or an anti-human CD276 antibody monoclonal antibody (Catalog # RHJ04001 ,Green Histogram) at a concentration of 5 ?ug/ml for 30 mins at RT. After washing, bound antibody was detected using a FITC conjugated goat anti-human antibody (Catalog # PHB96441) and cells analysed on a NovoCyte Flow Cytometer.)

CD276/B7-H3, Monoclonal Recombinant Antibody (Cat# AAA120380)

No reviews yet
Full Name
Anti-Human CD276/B7-H3 Antibody (SAA2010)
Gene Names
CD276; B7H3; B7-H3; B7RP-2; 4Ig-B7-H3
Reactivity
Human
Applications
Flow Cytometry, Western Blot
Purity
>95% by SDS-PAGE
Protein A or G purified from cell culture supernatant.
Pricing
product-image-AAA178827_IHC13.jpg IHC (Immunohiostchemistry) (Immunohistochemical of PKC beta 2 in Human tonsil tissue using PKC beta 2 antibody at dilution 1:50)

PKC beta 2, Monoclonal Antibody (Cat# AAA178827)

No reviews yet
Full Name
Recombinant PKC beta 2 Monoclonal Antibody
Gene Names
PRKCB; PKCB; PRKCB1; PRKCB2; PKC-beta
Reactivity
Human, Rat
Applications
Immunohistochemistry, Western Blot
Purity
Affinity Purified
Pricing
product-image-AAA178836_IF11.jpg IF (Immunofluorescence) (Immunofluorescence of cAMP Protein Kinase Catalytic subunit (green) in Hela cells using cAMP Protein Kinase Catalytic subunit Rabbit mAb at dilution 1:50, and DAPI(blue))

cAMP Protein Kinase Catalytic Subunit, Monoclonal Antibody (Cat# AAA178836)

No reviews yet
Full Name
Recombinant cAMP Protein Kinase Catalytic Subunit Monoclonal Antibody
Gene Names
PRKACA; PKACA
Reactivity
Human, Mouse, Rat
Applications
Immunoprecipitation, Immunofluorescence, Immunohistochemistry, Western Blot
Purity
Affinity Purified
Pricing
product-image-AAA178844_IHC13.jpg IHC (Immunohiostchemistry) (Immunohistochemistry of DGKA in paraffin-embedded Human tonsil using DGKA Rabbit mAb at dilution 1:50)

DGKA, Monoclonal Antibody (Cat# AAA178844)

No reviews yet
Full Name
Recombinant DGKA Monoclonal Antibody
Gene Names
DGKA; DAGK; DAGK1; DGK-alpha
Reactivity
Human
Applications
Immunohistochemistry, Western Blot
Purity
Affinity Purified
Pricing
product-image-AAA178849_IHC13.jpg IHC (Immunohiostchemistry) (Immunohistochemistry of Galectin 3 in paraffin-embedded Human colon cancer tissue using Galectin 3 Rabbit mAb at dilution 1:100)

Galectin 3, Monoclonal Antibody (Cat# AAA178849)

No reviews yet
Full Name
Recombinant Galectin 3 Monoclonal Antibody
Gene Names
LGALS3; L31; GAL3; MAC2; CBP35; GALBP; GALIG; LGALS2
Reactivity
Human
Applications
Immunohistochemistry, Western Blot
Purity
Affinity Purified
Pricing
product-image-AAA178800_IHC13.jpg IHC (Immunohiostchemistry) (Immunohistochemistry of Hexokinase II in paraffin-embedded Human breast cancer tissue using Hexokinase II Rabbit mAb at dilution 1:50)

Hexokinase II, Monoclonal Antibody (Cat# AAA178800)

No reviews yet
Full Name
Recombinant Hexokinase II Monoclonal Antibody
Gene Names
HK2; HKII; HXK2
Reactivity
Human, Rat, Hamster
Applications
Immunohistochemistry, Western Blot
Purity
Affinity Purified
Pricing
product-image-AAA178809_IF11.jpg IF (Immunofluorescence) (Immunofluorescence of Topoisomerase I(green) in Hela cells using Topoisomerase I Rabbit mAb at dilution 1:200, and DAPI(blue))

Topoisomerase I, Monoclonal Antibody (Cat# AAA178809)

No reviews yet
Full Name
Recombinant Topoisomerase I Monoclonal Antibody
Gene Names
TOP1; TOPI
Reactivity
Human, Mouse
Applications
Immunofluorescence, Immunohistochemistry, Western Blot
Purity
Affinity Purified
Pricing
product-image-AAA178815_IF11.jpg IF (Immunofluorescence) (Immunofluorescence of TriMethyl-Histone H3 (Lys27)(green) in Hela using TriMethyl-Histone H3 (Lys27) antibody at dilution 1/20, and DAPI(blue))

TriMethyl-Histone H3, Monoclonal Antibody (Cat# AAA178815)

No reviews yet
Full Name
Recombinant TriMethyl-Histone H3 Monoclonal Antibody
Gene Names
HIST1H3A; H3/A; H3FA
Reactivity
Human, Rat
Applications
Immunofluorescence, Immunohistochemistry, Western Blot
Purity
Affinity Purified
Pricing
product-image-AAA178007_IF13.jpg IF (Immunofluorescence) (Immunofluorescent analysis of 293F cells transfected with the His-tag fusion protein, using anti-His-Tag Monoclonal Antibodyat dilutionus of 1:500.)

His-Tag, Monoclonal Antibody (Cat# AAA178007)

No reviews yet
Full Name
His-Tag Monoclonal Antibody
Reactivity
All
Applications
Immunofluorescence, Western Blot
Purity
Protein A/G Purified
Pricing
product-image-AAA125499_WB10.jpg WB (Western Blot)

CD46, Monoclonal Antibody (Cat# AAA125499)

No reviews yet
Full Name
Anti-CD46 Antibody (Monoclonal, 9E9)
Gene Names
CD46; MCP; TLX; AHUS2; MIC10; TRA2.10
Reactivity
Human
Applications
Flow Cytometry, Immunohistochemistry, Western Blot
Purity
Immunogen affinity purified.
Pricing
product-image-AAA125136_FCM11.jpg FCM/FACS (Flow Cytometry) (Figure 3. Flow Cytometry analysis of U20S cells using anti- Hsp70 antibody (M00949-2).Overlay histogram showing U20S cells stained with M00949-2 (Blue line).The cells were blocked with 10% normal goat serum. And then incubated with mouse anti- Hsp70 Antibody (M00949-2, 1ug/1x106 cells) for 30 min at 20 degree C. DyLight® 488 conjugated goat anti-mouse IgG (BA1126, 5-10ug/1x106 cells) was used as secondary antibody for 30 minutes at 20 degree C. Isotype control antibody (Green line) was mouse IgG (1ug/1x106) used under the same conditions. Unlabelled sample (Red line) was also used as a control.)

Hsp70, Monoclonal Antibody (Cat# AAA125136)

No reviews yet
Full Name
Anti-Hsp70 Antibody (monoclonal, 3H5)
Gene Names
HSPA1A; HSP72; HSPA1; HSP70I; HSP70-1; HSP70-2; HSP70.1; HSP70.2; HSP70-1A; HEL-S-103
Reactivity
Human, Mouse, Rat
Applications
Flow Cytometry, Immunocytochemistry, Immunohistochemistry, Western Blot
Purity
Immunogen Affinity Purified
Pricing
product-image-AAA125148_WB15.jpg WB (Western Blot) (Western Blot analysis of Glycophorin A (CD235a) expression in human feetal liver lysate)

Glycophorin A (CD235a), Monoclonal Antibody (Cat# AAA125148)

No reviews yet
Full Name
Anti-Glycophorin A (CD235a) Monoclonal Antibody
Gene Names
GYPA; MN; GPA; MNS; GPSAT; PAS-2; CD235a; GPErik; HGpMiV; HGpMiXI; HGpSta(C)
Reactivity
Human
Applications
Flow Cytometry, Western Blot, Immunohistochemistry
Purity
Affinity-Chromatography
Pricing
product-image-AAA126895_WB13.jpg WB (Western Blot) (Western blot analysis of GAA expression in Human fetal liver lysate.)

GAA, Monoclonal Antibody (Cat# AAA126895)

No reviews yet
Full Name
Anti-GAA Rabbit Monoclonal Antibody
Gene Names
GAA; LYAG
Reactivity
Human, Mouse, Rat
Applications
Western Blot
Purity
Affinity-chromatography
Pricing

What are Monoclonal Antibodies?


Monoclonal antibodies are specialized laboratory-produced proteins developed for binding to specific biological antigens or other molecular targets. Since they come from a single cell (or clone), they are especially consistent and accurate in the data they are involved in producing.


This type of antibody material has been shown to be a powerful tool in finding and subsequently destroying harmful cells in an organism, such as those found in cancers or various autoimmune diseases. This makes them excellent aids in medical testing and research, which is why they are so widely used.


AAA Biotech offers a comprehensive range of high-quality monoclonal antibodies that perform effectively in various laboratory tests, including (amongst others) ELISA, western blotting, immunohistochemistry, and flow cytometry. All of the products in our catalog are thoroughly quality tested to make sure that they are reliable and will consistently perform well in your research.


What Are The Uses of Monoclonal Antibodies


Monoclonal antibodies are used in many lab tests, including (amongst others) ELISA, western blotting, immunohistochemistry, and flow cytometry.


ELISA is a test that helps detect a specific substance/analyte in a sample. It uses antibodies (often monoclonal) bound to a solid surface (such as the well of a microplate) to “capture” the substance/analyte in the sample and immobilize it so that the detection antibody component can then bind to it and produce a signal, which can then be measured.


Western blotting identifies specific proteins in a sample. The sample is first separated on a gel, and then antibodies are applied that will typically bind to the target, which will all be localized to a single band in a lane.


Immunohistochemistry helps locate specific proteins in cells or tissue samples using antibodies.


Flow cytometry looks at and sorts cells. It uses antibodies that are conjugated to reporter molecules called “fluorophores”, which, under special lights, emit light themselves, which can then be measured by a detector instrument. For a deeper understanding of these techniques, explore our complete guide to monoclonal antibodies and their benefits.


How Monoclonal Antibodies Are Used as Medicine?


Please note that all of the products listed in AAA Biotech’s also known as AAA Bio or AAABio catalog are strictly for research-use only (RUO).


Monoclonal antibodies can also be used as therapeutic/medical treatments, particularly in the context of cancers. They are designed to find and bind to specific cells or proteins, helping the immune system recognize and attack the cancer. These treatments work in different ways, such as:


  • Radioimmunotherapy attaches a small amount of radioactive molecule to the antibody, so it delivers the radiation directly to the cancer cells that the antibody is specifically binding to.

  • Antibody-directed enzyme prodrug therapy uses antibodies that are specifically bound to special enzymes. These enzymes activate a harmless drug in the body and turn it into a cancer-killing drug only near the cancer cells—this helps avoid harming healthy cells.

  • Immunoliposomes are tiny “bubbles” filled with medicine/drug and coated with antibodies. They carry the drug straight to the cancer cells.


Why Buy Monoclonal Antibodies From Us?


At AAA Biotech, we provide high-performance monoclonal antibodies designed to support a wide range of research needs.


1. Validated for Versatile Applications


The antibodies in our catalog are extensively validated and compatible with multiple techniques, including (but not limited to) ELISA, flow cytometry (FC), immunocytochemistry (ICC), immunofluorescence (IF), immunohistochemistry (IHC), immunoprecipitation (IP), and western blotting (WB).


2. Wide Selection & Specialized Options


We offer antibodies for common and rare species, that are available in various conjugated forms, and also in recombinant formats. Essentially, there is almost anything one might need to meet their experimental model’s requirements.


3. High-Quality Proteins


Our proteins meet high purity standards—90% or more as confirmed by SDS-PAGE. Many are available with tags like His, Flag, GST, or MBP, and we also supply native and biologically active proteins for functional studies.


Frequently Asked Questions


1. Are your monoclonal antibodies validated for specific applications?


Yes, our antibodies are tested and validated for use in methods such as ELISA, western blot, IHC, flow cytometry, and more. Refer to specific product pages or datasheets for individual product information.


2. How do I choose the right monoclonal antibody for my application?


Review the product details directly for application validation, species reactivity, and target information. You may also contact our support team at any time for help.


3. How quickly can I receive my order?


Most orders are processed and shipped within 1–3 business days, depending on product availability and your shipping location.


Submit a Question

Please complete the form below and a representative will contact you as soon as possible.

Request more Information

Please complete the form below and a representative will contact you as soon as possible.

Request a Manual

Please complete the form below and a representative will contact you as soon as possible.

Request a Quote

Please complete the form below and a representative will contact you as soon as possible.