Loading...

Skip to main content
Call us at +1-800-604-9114 for more information about our products or contact us online Need help? +1-800-604-9114 or contact us

Filters


Clonality

Type

Reactivity

Gene Name

Isotype

Host

Application

Clone

Monoclonal Antibodies

Get accurate results in your research with our Monoclonal Antibodies, which are specially made to target exactly what you require for your research, and will produce consistent, reliable performance in lab tests.


Viewing 150-200 of 27647 product results


product-image-AAA23855_WB6.jpg WB (Western Blot) (Detection of human PARP1 by western blot. Samples: Whole cell lysate (10 ug) from Jurkat, HeLa, A2058, and U-251MG cells prepared using NETN lysis buffer. Antibody: Rabbit anti-PARP1 recombinant monoclonal antibody (AAA23855 lot 1) used at 1:1000. Secondary: HRP-conjugated goat anti-rabbit IgG . Detection: Chemiluminescence with an exposure time of 10 seconds. Lower Panel: Rabbit anti-COPB2 antibody .)

PARP1, Monoclonal Recombinant Antibody (Cat# AAA23855)

No reviews yet
Full Name
Rabbit anti-PARP1 Recombinant Monoclonal Antibody [BLR182J]
Reactivity
Human, Mouse
Applications
Western Blot, Immunohistochemistry, Immunocytochemistry, Flow Cytometry
Purity
Purified
Pricing
product-image-AAA14670_APP2.jpg Application Data (S100A8 in NIH-3T3 mouse cell line: S100A8 was detected in immersion fixed NIH-3T3 mouse embryonic fibroblast cell line using 10ug/mL AAA14670 for 3 hours at RT. Cells were stained (red) and counterstained with DAPI (blue).)

S100A8, Monoclonal Antibody (Cat# AAA14670)

No reviews yet
Full Name
S100A8 (MRP-8)
Gene Names
S100A8; P8; MIF; NIF; CAGA; CFAG; CGLA; L1Ag; MRP8; CP-10; MA387; 60B8AG; S100A8
Reactivity
Mouse
Applications
Western Blot, Immunocytochemistry
Purity
Purified by Protein G affinity chromatography from hybridoma culture supernatant.
Pricing
product-image-AAA30912_APP6.png Application Data

PMEL/Melanoma gp100 (HMB45), Monoclonal Antibody (Cat# AAA30912)

No reviews yet
Full Name
PMEL/Melanoma gp100 (HMB45)(ABT255) Antibody
Gene Names
PMEL; P1; SI; SIL; ME20; P100; SILV; ME20M; gp100; ME20-M; PMEL17; D12S53E
Reactivity
Human, Mouse
Applications
Immunohistochemistry, Western Blot, Immunofluorescence
Purity
Protein G
Pricing
product-image-AAA30470_FCM6.jpg FCM (Flow Cytometry) (Flow cytometric analysis of HUVEC cells with Flotillin 1 antibody at 1/100 dilution (red) compared with an unlabelled control (cells without incubation with primary antibody; black). Alexa Fluor 488-conjugated goat anti-rabbit IgG was used as the secondary antibody.)

Flotillin 1, Monoclonal Antibody (Cat# AAA30470)

No reviews yet
Full Name
Flotillin 1 Antibody
Reactivity
Human, Mouse, Rat
Applications
Western Blot, Immunohistochemistry, Flow Cytometry
Purity
ProA affinity purified
Pricing
product-image-AAA27017_FCM9.jpg FCM (Flow Cytometry) (Overlay histogram showing Hela cells stained with CSB-MA878942A1m (red line) at 1:300. The cells were incubated in 1x PBS /10% normal goat serum to block non-specific protein-protein interactions followed by primary antibody for 1 h at 4 degree C. The secondary antibody used was FITC goat anti-mouse IgG(H+L) at 1/200 dilution for 1 h at 4 degree C. Isotype control antibody (green line) was used under the same conditions. Acquisition of >10,000 events was performed.)

PD-L1, Monoclonal Antibody (Cat# AAA27017)

No reviews yet
Full Name
PD-L1 Monoclonal Antibody
Gene Names
CD274; B7-H; B7H1; PDL1; PD-L1; PDCD1L1; PDCD1LG1
Reactivity
Human
Applications
Western Blot, Immunohistochemistry, Immunofluorescence, Flow Cytometry
Purity
>95%
Protein G Purified
Pricing
product-image-AAA30359_FCM6.jpg FCM (Flow Cytometry) (Flow cytometric analysis of A431 cells with MMP9 antibody at 1/100 dilution (red) compared with an unlabelled control (cells without incubation with primary antibody; black).)

MMP9, Monoclonal Antibody (Cat# AAA30359)

No reviews yet
Full Name
MMP9 Antibody
Gene Names
MMP9; GELB; CLG4B; MMP-9; MANDP2
Reactivity
Human, Mouse, Rat
Applications
Western Blot, Immunocytochemistry, Immunofluorescence, Immunohistochemistry, Flow Cytometry
Purity
ProA affinity purified
Pricing
product-image-AAA30257_FCM6.jpg FCM (Flow Cytometry) (Flow cytometric analysis of Raji cells with PTP1B antibody at 1/50 dilution (red) compared with an unlabelled control (cells without incubation with primary antibody; black). Alexa Fluor 488-conjugated goat anti rabbit IgG was used as the secondary antibody)

PTP1B, Monoclonal Antibody (Cat# AAA30257)

No reviews yet
Full Name
PTP1B Antibody
Gene Names
PTPN1; PTP1B
Reactivity
Human, Zebrafish
Applications
Western Blot, Immunocytochemistry, Immunofluorescence, Immunohistochemistry, Flow Cytometry
Purity
ProA affinity purified
Pricing
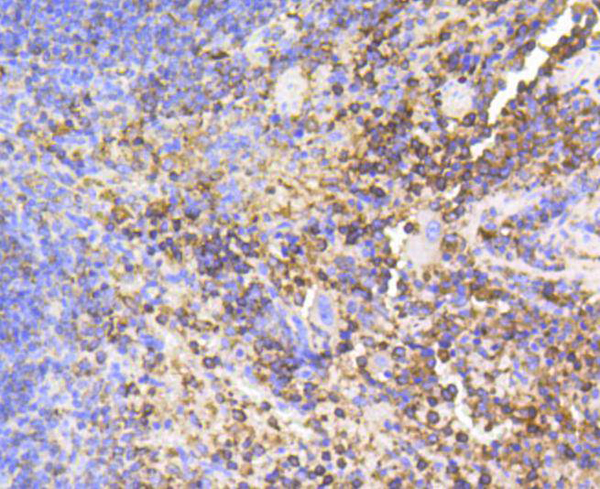
product-image-AAA30374_IHC6.jpg IHC (Immunohistchemistry) (Immunohistochemical analysis of paraffin-embedded mouse kidney tissue using anti-Ferritin Light Chain antibody. Counter stained with hematoxylin.)

Ferritin Light Chain, Monoclonal Antibody (Cat# AAA30374)

No reviews yet
Full Name
Ferritin Light Chain Antibody
Gene Names
FTL; LFTD; NBIA3
Reactivity
Human, Mouse, Rat
Applications
Western Blot, Immunohistochemistry, Immunoprecipitation, Immunocytochemistry
Purity
ProA affinity purified
Pricing
product-image-AAA30178_FCM7.jpg FCM (Flow Cytometry) (Flow cytometric analysis of Hela cells with Cyclin H antibody at 1/50 dilution (red) compared with an unlabelled control (cells without incubation with primary antibody; black). Alexa Fluor 488-conjugated goat anti rabbit IgG was used as the secondary antibody.)

Cyclin H, Monoclonal Antibody (Cat# AAA30178)

No reviews yet
Full Name
Cyclin H Antibody
Gene Names
CCNH; CAK; p34; p37
Reactivity
Human, Mouse
Applications
Western Blot, Immunocytochemistry, Immunofluorescence, Immunohistochemistry, Immunoprecipitation, Flow Cytometry
Purity
ProA affinity purified
Pricing
product-image-AAA25457_WB7.jpg WB (Western Blot) (Western Blot analysis of B2M expression in transfected 293T cell line by B2M monoclonal antibody. Lane 1: B2M transfected lysate (13.7kD). Lane 2: Non-transfected lysate.)

b2-Microglobulin, Monoclonal Antibody (Cat# AAA25457)

No reviews yet
Full Name
b2-Microglobulin (B2M, Beta-2-microglobulin) (HRP)
Gene Names
B2M; IMD43
Reactivity
Human
Applications
Immunohistochemistry, Western Blot
Purity
Purified by Protein A Affinity Chromatography.
Pricing
product-image-AAA25896_APP6.jpg Application Data (Detection limit for recombinant GST tagged SMAD2 is approximately 0.1ng/ml as a capture antibody.)

SMAD2, Monoclonal Antibody (Cat# AAA25896)

No reviews yet
Full Name
SMAD2 (SMAD Family Member 2, JV18, JV18-1, MADH2, MADR2, MGC22139, MGC34440, hMAD-2, hSMAD2) (AP)
Gene Names
SMAD2; JV18; MADH2; MADR2; JV18-1; hMAD-2; hSMAD2
Applications
Immunohistochemistry, Western Blot
Purity
Purified
Pricing
product-image-AAA24880_WB7.jpg WB (Western Blot) (NEK9 monoclonal antibody. Western Blot analysis of NEK9 expression in PC-12.)

NEK9, Monoclonal Antibody (Cat# AAA24880)

No reviews yet
Full Name
NEK9 (Serine/Threonine-protein Kinase Nek9, Nercc1 Kinase, Never in Mitosis A-related Kinase 9, NimA-related Protein Kinase 9, NimA-related Kinase 8, Nek8, KIAA1995, NEK8, NERCC, DKFZp434D0935, MGC138306, MGC16714, NERCC1) (Biotin)
Gene Names
NEK9; NC; APUG; NERCC; LCCS10; NERCC1
Reactivity
Human, Mouse, Rat
Applications
Immunofluorescence, Western Blot
Purity
Purified by Protein A Affinity Chromatography.
Pricing
product-image-AAA25461_WB6.jpg WB (Western Blot) (Western blot analysis of MRPL12 over-expressed 293 cell line, cotransfected with MRPL12 Validated Chimera RNAi (Lane 2) or non-transfected control (Lane 1). Blot probed with MRPL12 monoclonal antibody. GAPDH (36.1kD) used as specificity and loading control.)

MRPL12, Monoclonal Antibody (Cat# AAA25461)

No reviews yet
Full Name
MRPL12 (Mitochondrial Ribosomal Protein L12, 39S Ribosomal Protein L12, Mitochondrial, 5c5-2, FLJ60124, L12mt, MGC8610, MRP-L12, MRP-L31/34, MRPL7, MRPL7/L12, RPML12) (HRP)
Gene Names
MRPL12; 5c5-2; L12mt; MRPL7; RPML12; MRPL7/L12; MRP-L31/34
Reactivity
Human
Applications
Immunohistochemistry, Western Blot
Purity
Purified by Protein A Affinity Chromatography.
Pricing
product-image-AAA30327_FCM8.jpg FCM (Flow Cytometry) (Flow cytometric analysis of HL-60 cells with TNF Receptor II antibody at 1/50 dilution (red) compared with an unlabelled control (cells without incubation with primary antibody; black). Alexa Fluor 488-conjugated goat anti rabbit IgG was used as the secondary antibody.)

TNF II, Monoclonal Antibody (Cat# AAA30327)

No reviews yet
Full Name
TNF Receptor II Antibody
Gene Names
TNFRSF1B; p75; TBPII; TNFBR; TNFR2; CD120b; TNFR1B; TNFR80; TNF-R75; p75TNFR; TNF-R-II
Reactivity
Human, Mouse, Rat
Applications
Western Blot, Immunocytochemistry, Immunofluorescence, Immunohistochemistry, Flow Cytometry, Immunoprecipitation
Purity
ProA affinity purified
Pricing
product-image-AAA12150_APP10.jpg Application Data (Published customer image: Histological staining of control and HBOT wounds at post-wounding days 7 and 29. A -D) H&E staining. E -H) CD34 immunohistochemistry. I+J) CD68 immunohistochemistry.From: uk B, Tong M, Fijneman EMG, van Neck JW (2014) Hyperbaric Oxygen Therapy to Treat Diabetes Impaired Wound Healing in Rats. PLoS ONE 9(10): e108533.)

CD68, Monoclonal Antibody (Cat# AAA12150)

No reviews yet
Full Name
MOUSE ANTI RAT CD68:RPE
Applications
Flow Cytometry
Pricing
product-image-AAA30124_FCM7.jpg FCM (Flow Cytometry) (Flow cytometric analysis of Jurkat cells with eIF5A antibody at 1/50 dilution (red) compared with an unlabelled control (cells without incubation with primary antibody; black). Alexa Fluor 488-conjugated goat anti rabbit IgG was used as the secondary antibody.)

eIF5A, Monoclonal Antibody (Cat# AAA30124)

No reviews yet
Full Name
eIF5A Antibody
Gene Names
EIF5A; EIF-5A; EIF5A1; eIF5AI
Reactivity
Human, Mouse, Rat
Applications
Western Blot, Immunocytochemistry, Immunohistochemistry, Immunoprecipitation, Flow Cytometry
Purity
ProA affinity purified
Pricing
product-image-AAA26794_APP7.jpg Application Data (Staining of human peripheral blood lymphocytes with MOUSE ANTI HUMAN CD3:ALEXA 647)

CD3, Monoclonal Antibody (Cat# AAA26794)

No reviews yet
Full Name
CD3 (MaxLight 490)
Reactivity
Human
Applications
Flow Cytometry, Immunohistochemistry
Purity
Purified by Protein G Affinity Chromatography
Pricing
product-image-AAA26773_APP6.jpg Application Data (Staining of mouse spleen cells with HAMSTER ANTI MOUSE CD29: Alexa Fluor® 647)

Integrin, beta1, Monoclonal Antibody (Cat# AAA26773)

No reviews yet
Full Name
Integrin, beta1 (CD29, Very Late Antigen, VLAb1, Platelet gplla, ITGB1, Fibrinogen Receptor beta Subunit, FNRB, Integrin VLA4 Subunit beta, MDF2, MSK12, Very Late Activation Protein beta Polypeptide, VLAB, VLAbeta) (PE)
Reactivity
Mouse, Rat
Applications
Flow Cytometry, Immunoprecipitation
Purity
Purified by Protein G Affinity Chromatography
Pricing
product-image-AAA30469_FCM7.jpg FCM (Flow Cytometry) (Flow cytometric analysis of A431 cells with PAK2 antibody at 1/100 dilution (red) compared with an unlabelled control (cells without incubation with primary antibody; black). Alexa Fluor 488-conjugated goat anti rabbit IgG was used as the secondary antibody.)

PAK2, Monoclonal Antibody (Cat# AAA30469)

No reviews yet
Full Name
PAK2 Antibody
Gene Names
PAK2; PAK65; PAKgamma
Reactivity
Human, Mouse, Rat
Applications
Western Blot, Immunocytochemistry, Immunofluorescence, Immunohistochemistry, Flow Cytometry
Purity
ProA affinity purified
Pricing
product-image-AAA25129_WB7.jpg WB (Western Blot) (HSPA1B monoclonal antibody Western Blot analysis of HSPA1B expression in Raw 264.7.)

HSPA1A, Monoclonal Antibody (Cat# AAA25129)

No reviews yet
Full Name
HSPA1A (Heat Shock 70kD Protein 1A/1B, Heat Shock 70kD Protein 1/2, HSP70.1/HSP70.2, HSP70-1/HSP70-2, HSPA1, HSPA1B) (FITC)
Gene Names
HSPA1A; HSP72; HSPA1; HSP70I; HSP70-1; HSP70.1; HSP70-1A; HEL-S-103
Reactivity
Human, Mouse, Rat
Applications
Immunofluorescence, Immunohistochemistry, Western Blot
Purity
Purified by Protein A Affinity Chromatography.
Pricing
product-image-AAA12080_APP10.gif Application Data (Staining of mouse peritoneal macrophages with Rat anti Mouse CD204: Alexa Fluor 488)

CD204, Monoclonal Antibody (Cat# AAA12080)

No reviews yet
Full Name
RAT ANTI MOUSE CD204
Gene Names
Msr1; MSR; Scvr; MRS-A; MSR-A; SR-AI; SR-AII; Scara1
Applications
Immunohistochemistry, Flow Cytometry, Immunoprecipitation, Western Blot
Pricing
product-image-AAA26708_WB7.jpg WB (Western Blot) (Western blot analysis of extracts of various cells, using DYNLT1 antibody.)

Atrial Natriuretic Peptide, Monoclonal Antibody (Cat# AAA26708)

No reviews yet
Full Name
Atrial Natriuretic Peptide (ANP, Atrial Natriuretic Factor) (MaxLight 405)
Gene Names
NPPA; ANF; ANP; PND; ATFB6; CDD-ANF
Reactivity
Human
Applications
Immunohistochemistry, Radioimmunoassay
Purity
Purified by Protein A Affinity Chromatography.
Pricing
product-image-AAA30198_ICC6.jpg ICC (Immunocytochemistry) (ICC staining IRF6 in SW480 cells (green). The nuclear counter stain is DAPI (blue). Cells were fixed in paraformaldehyde, permeabilised with 0.25% Triton X100/PBS.)

IRF6, Monoclonal Antibody (Cat# AAA30198)

No reviews yet
Full Name
IRF6 Antibody
Gene Names
IRF6; LPS; PIT; PPS; VWS; OFC6; PPS1; VWS1
Reactivity
Human, Mouse, Rat
Applications
Western Blot, Immunocytochemistry, Immunofluorescence, Immunohistochemistry
Purity
ProA affinity purified
Pricing
product-image-AAA26779_APP6.jpg Application Data (Staining of human peripheral blood lymphocytes with RAT ANTI HUMAN CD28:RPE)

CD28, Monoclonal Antibody (Cat# AAA26779)

No reviews yet
Full Name
CD28 (CD28 Antigen, CD28 Molecule, MGC138290, T cell Antigen CD28, T cell Specific Surface Glycoprotein, T cell Specific Surface Glycoprotein CD28, Tp44) (MaxLight 405)
Reactivity
Human
Applications
Flow Cytometry, Immunohistochemistry
Purity
Purified by Protein G Affinity Chromatography
Pricing
product-image-AAA30905_APP7.png Application Data

MutS Protein Homolog 6 (MSH6), Monoclonal Antibody (Cat# AAA30905)

No reviews yet
Full Name
MutS Protein Homolog 6 (MSH6)(ABT-MSH6) Antibody
Gene Names
MSH6; GTBP; HSAP; p160; GTMBP; HNPCC5
Reactivity
Human
Applications
Immunohistochemistry, Western Blot, Immunofluorescence
Purity
Protein G
Pricing
product-image-AAA25729_WB7.jpg WB (Western Blot) (TRIM28 monoclonal antibody Western Blot analysis of TRIM28 expression in Hela NE)

KAP-1, Monoclonal Antibody (Cat# AAA25729)

No reviews yet
Full Name
KAP-1 (Transcription Intermediary Factor 1-beta, TIF1-beta, E3 SUMO-protein Ligase TRIM28, KRAB-associated Protein 1, KRAB-interacting Protein 1, KRIP-1, Nuclear Corepressor KAP-1, RING Finger Protein 96, Tripartite Motif-containing Protein 28, TRIM28, KA
Gene Names
TRIM28; KAP1; TF1B; RNF96; TIF1B; PPP1R157
Reactivity
Human, Mouse, Rat
Applications
Immunofluorescence, Immunohistochemistry, Western Blot
Purity
Purified by Protein A Affinity Chromatography.
Pricing
product-image-AAA24853_WB6.jpg WB (Western Blot) (Western Blot detection against Immunogen (36.63kD).)

MAGEA12, Monoclonal Antibody (Cat# AAA24853)

No reviews yet
Full Name
MAGEA12 (Melanoma-associated Antigen 12, MAGE-12 Antigen, MAGE-12F Antigen, Cancer/Testis Antigen 1.12, CT1.12, MAGE12) (Biotin)
Gene Names
MAGEA12; CT1.12; MAGE12
Reactivity
Human, Mouse
Applications
Western Blot
Purity
Purified by Protein A Affinity Chromatography.
Pricing
product-image-AAA26702_WB7.jpg WB (Western Blot) (Western blot analysis of extracts of various cells, using DYNLT1 antibody.)

Atrial Natriuretic Peptide, Monoclonal Antibody (Cat# AAA26702)

No reviews yet
Full Name
Atrial Natriuretic Peptide (ANP, Atrial Natriuretic Factor) (AP)
Gene Names
NPPA; ANF; ANP; PND; ATFB6; CDD-ANF
Reactivity
Human
Applications
Immunohistochemistry, Radioimmunoassay
Purity
Purified by Protein A Affinity Chromatography.
Pricing
product-image-AAA30102_ICC10.jpg ICC (Immunocytochemistry) (ICC staining PIM1 in SW480 cells (green). The nuclear counter stain is DAPI (blue). Cells were fixed in paraformaldehyde, permeabilised with 0.25% Triton X100/PBS.)

PIM1, Monoclonal Antibody (Cat# AAA30102)

No reviews yet
Full Name
PIM1 Antibody
Gene Names
PIM1; PIM
Reactivity
Human, Mouse
Applications
Western Blot, Immunocytochemistry, Immunofluorescence, Immunohistochemistry
Purity
ProA affinity purified
Pricing
product-image-AAA28492_ICC9.jpg ICC (Immunocytochemistry) (Confocal imaging of NIH/3T3 cells using [KO Validated] SUMO1 Rabbit mAb (AAA28492,dilution 1:100)(Red). The cells were counterstained with ?-Tubulin Mouse mAb (AC012,dilution 1:400) (Green). DAPI was used for nuclear staining (blue). Objective: 100x.)

SUMO1, Monoclonal Antibody (Cat# AAA28492)

No reviews yet
Full Name
[KO Validated] SUMO1 Rabbit mAb
Reactivity
Human
Applications
Western Blot, Immunohistochemistry, Immunofluorescence, Immunocytochemistry
Purity
Affinity purification
Pricing
product-image-AAA30297_ICC10.jpg ICC (Immunocytochemistry) (ICC staining SERCA2 in MCF-7 cells (red). The nuclear counter stain is DAPI (blue). Cells were fixed in paraformaldehyde, permeabilised with 0.25% Triton X100/PBS.)

SERCA2, Monoclonal Antibody (Cat# AAA30297)

No reviews yet
Full Name
SERCA2 Antibody
Gene Names
ATP2A2; DD; DAR; ATP2B; SERCA2
Reactivity
Human, Mouse, Rat
Applications
Western Blot, Immunocytochemistry, Immunofluorescence, Immunohistochemistry, Flow Cytometry
Purity
ProA affinity purified
Pricing
product-image-AAA27957_ELISA.jpg ELISA (ELISA plate was coated by 2019-nCoV NP, 100 uL/cell at 5ug/ml. The indirect ELISA analysis was performed by loading 100 uL per well of the anti-2019-nCoV N mAb (BN9) at various concentrations. The plate was incubated for 1 hours at 37 degree C, then washed 5 times. An anti hFc HRP conjugated mAb at a concentration of 1:2000, 100uL/well was used as the secondary antibody. Again, the plate was incubated for 1 hours at 37 degree C, then washed 5 times. Detection was performed using TMB substrate for 10 minutes at room temperature in the dark. The plate was stopped with 2M sulfuric acid. Signal was read on a spectrophotometer at 450 nm.)

COVID 19 Nucleocapsid (NP) (BN9) Coronavirus, Monoclonal Antibody (Cat# AAA27957)

No reviews yet
Full Name
Human anti-2019-nCoV N mAb (BN9)
Applications
ELISA
Purity
Purity: > = 95% as determined by SDS-PAGE
Purification: Protein A
Pricing
product-image-AAA26725_APP6.jpg Application Data (Staining of mouse peripheral blood platelets with HAMSTER ANTI MOUSE CD61:RPE)

Integrin, beta3, Monoclonal Antibody (Cat# AAA26725)

No reviews yet
Full Name
Integrin, beta3 (ITGB3, CD61, GP3A, GPIIIa, HPA-1, NAIT, Platelet Fibrinogen Receptor beta Subunit, Platelet Glycoprotein IIIa, Platelet Membrane Glycoprotein IIIa) (AP)
Reactivity
Mouse, Rat
Applications
Immunoprecipitation
Purity
Purified by Protein G Affinity Chromatography
Pricing
product-image-AAA30233_FCM6.jpg FCM (Flow Cytometry) (Flow cytometric analysis of A431 cells with Caspase-14 antibody at 1/50 dilution (red) compared with an unlabelled control (cells without incubation with primary antibody; black). Alexa Fluor 488-conjugated goat anti rabbit IgG was used as the secondary antibody)

Caspase-14, Monoclonal Antibody (Cat# AAA30233)

No reviews yet
Full Name
Caspase-14 Antibody
Reactivity
Human, Mouse, Rat
Applications
Western Blot, Immunocytochemistry, Immunofluorescence, Immunohistochemistry, Immunoprecipitation, Flow Cytometry
Purity
ProA affinity purified
Pricing
product-image-AAA11842_APP10.jpg Application Data (Immunoperoxidase staining of mouse lymph node cryosection stained with Rat antii Mouse CD8alpha antibody, clone KT15 followed by horseradish peroxidase conjugatedGoat anti Rat IgG s a detection reagent. High power)

CD8 ALPHA, Monoclonal Antibody (Cat# AAA11842)

No reviews yet
Full Name
RAT ANTI MOUSE CD8 ALPHA:APC
Gene Names
Cd8a; Ly-2; Ly-B; Ly-35; Lyt-2; BB154331
Applications
Flow Cytometry
Pricing
product-image-AAA30292_FCM6.jpg FCM (Flow Cytometry) (Flow cytometric analysis of HepG2 cells with Neutrophil Elastase antibody at 1/50 dilution (red) compared with an unlabelled control (cells without incubation with primary antibody; black). Alexa Fluor 488-conjugated goat anti rabbit IgG was used as the secondary antibody)

Neutrophil Elastase, Monoclonal Antibody (Cat# AAA30292)

No reviews yet
Full Name
Neutrophil Elastase Antibody
Gene Names
ELANE; GE; NE; HLE; HNE; ELA2; SCN1; PMN-E
Reactivity
Human
Applications
Western Blot, Immunocytochemistry, Immunofluorescence, Immunohistochemistry, Flow Cytometry
Purity
ProA affinity purified
Pricing
product-image-AAA30369_FCM10.jpg FCM (Flow Cytometry) (Flow cytometric analysis of Hela cells with alpha Tubulin 4A antibody at 1/100 dilution (red) compared with an unlabelled control (cells without incubation with primary antibody; black).)

alpha Tubulin 4A, Monoclonal Antibody (Cat# AAA30369)

No reviews yet
Full Name
alpha Tubulin 4A Antibody
Gene Names
TUBA4A; TUBA1; H2-ALPHA
Reactivity
Human, Mouse, Rat
Applications
Western Blot, Immunocytochemistry, Immunofluorescence, Immunohistochemistry, Immunoprecipitation, Flow Cytometry
Purity
ProA affinity purified
Pricing
product-image-AAA25716_APP7.jpg Application Data (Detection limit for recombinant GST tagged HNRPM is ~0.1ng/ml as a capture antibody.)

HNRNPM, Monoclonal Antibody (Cat# AAA25716)

No reviews yet
Full Name
HNRNPM (Heterogeneous Nuclear Ribonucleoprotein M, hnRNP M, HNRPM, NAGR1, DKFZp547H118) (PE)
Gene Names
HNRNPM; CEAR; HNRPM; HTGR1; NAGR1; HNRPM4; HNRNPM4; hnRNP M
Reactivity
Human, Mouse, Rat
Applications
Immunofluorescence, Immunohistochemistry, Western Blot
Purity
Purified by Protein A Affinity Chromatography.
Pricing
product-image-AAA30067_FCM7.jpg FCM (Flow Cytometry) (Flow cytometric analysis of NIH/3T3 cells with Caldesmon antibody at 1/50 dilution (blue) compared with an unlabelled control (cells without incubation with primary antibody; red). Alexa Fluor 488-conjugated goat anti rabbit IgG was used as the secondary antibody.)

Caldesmon, Monoclonal Antibody (Cat# AAA30067)

No reviews yet
Full Name
Caldesmon Antibody
Gene Names
CALD1; CDM; HCAD; LCAD; H-CAD; L-CAD; NAG22
Reactivity
Human, Mouse, Rat
Applications
Western Blot, Immunocytochemistry, Immunofluorescence, Immunohistochemistry, Immunoprecipitation, Flow Cytometry
Purity
ProA affinity purified
Pricing
product-image-AAA30274_FCM8.jpg FCM (Flow Cytometry) (Flow cytometric analysis of Jurkat cells with CD99 antibody at 1/50 dilution (red) compared with an unlabelled control (cells without incubation with primary antibody; black). Alexa Fluor 488-conjugated goat anti rabbit IgG was used as the secondary antibody.)

CD99, Monoclonal Antibody (Cat# AAA30274)

No reviews yet
Full Name
CD99 Antibody
Gene Names
CD99; MIC2; HBA71; MIC2X; MIC2Y; MSK5X
Reactivity
Human
Applications
Western Blot, Immunocytochemistry, Immunofluorescence, Immunohistochemistry, Immunoprecipitation, Flow Cytometry
Purity
ProA affinity purified
Pricing
product-image-AAA23860_WB7.jpg WB (Western Blot) (Detection of human ThPOK by western blot. Samples: Whole cell lysate (50 ug) from LNCaP, MCF-7, HEK293T, HeLa, and OVCAR-3 cells prepared using NETN lysis buffer. Antibody: Rabbit anti-ThPOK recombinant monoclonal antibody (AAA23860 lot 1) used at 1:1000. Secondary: HRP-conjugated goat anti-rabbit IgG . Detection: Chemiluminescence with an exposure time of 75 seconds. Lower Panel: Rabbit anti-Actin recombinant monoclonal antibody .)

ThPOK, Monoclonal Recombinant Antibody (Cat# AAA23860)

No reviews yet
Full Name
Rabbit anti-ThPOK Recombinant Monoclonal Antibody [BLR191J]
Gene Names
ZBTB7B; CKROX; THPOK; ZFP67; ZBTB15; ZFP-67; c-KROX; hcKROX; ZNF857B
Reactivity
Human, Mouse
Applications
Western Blot, Immunoprecipitation, Immunohistochemistry, Immunocytochemistry, Flow Cytometry
Purity
Purified
Pricing
product-image-AAA28607_IF6.jpg IF (Immunofluorescence) (Immunofluorescence analysis of U-2 OS cells using Syntenin Rabbit mAb (AAA28607) at dilution of 1:100 (40x lens). Secondary antibody: Cy3-conjugated Goat anti-Rabbit IgG (H+L) (AS007) at 1:500 dilution. Blue: DAPI for nuclear staining.)

Syntenin, Monoclonal Antibody (Cat# AAA28607)

No reviews yet
Full Name
Syntenin Rabbit mAb
Reactivity
Human
Applications
Western Blot, Immunohistochemistry, Immunofluorescence, Immunocytochemistry
Purity
Affinity purification
Pricing
product-image-AAA30538_ICC10.jpg ICC (Immunocytochemistry) (ICC staining Histone H2B (acetyl K20) in MCF-7 cells (green). The nuclear counter stain is DAPI (blue). Cells were fixed in paraformaldehyde, permeabilised with 0.25% Triton X100/PBS.)

Histone H2B, Monoclonal Antibody (Cat# AAA30538)

No reviews yet
Full Name
Histone H2B (Acetyl K20) Antibody
Gene Names
HIST1H2BK; H2BK; H2B/S; H2BFT; H2BFAiii
Reactivity
Human, Mouse, Rat
Applications
Western Blot, Immunocytochemistry, Immunofluorescence, Immunohistochemistry, Immunoprecipitation, Flow Cytometry
Purity
ProA affinity purified
Pricing
product-image-AAA25243_APP7.jpg Application Data (Detection limit for recombinant GST tagged SDCBP is ~0.03ng/ml as a capture antibody.)

SDCBP, Monoclonal Antibody (Cat# AAA25243)

No reviews yet
Full Name
SDCBP (Syndecan-binding Protein 1, Melanoma Differentiation-associated Protein 9, MDA9, MDA-9, Pro-TGF-alpha Cytoplasmic Domain-interacting Protein 18, TACIP18, Scaffold Protein Pbp1, SYCL, Syntenin-1, ST1) (FITC)
Gene Names
SDCBP; ST1; MDA9; SYCL; MDA-9; TACIP18
Reactivity
Human
Applications
Immunofluorescence, Immunohistochemistry, Immunoprecipitation, Western Blot
Purity
Purified by Protein A Affinity Chromatography.
Pricing
product-image-AAA25954_APP6.jpg Application Data (Detection limit for recombinant GST tagged CHUK is 0.03 ng/ml as a capture antibody.)

CHUK, Monoclonal Antibody (Cat# AAA25954)

No reviews yet
Full Name
CHUK (conserved Helix-loop-Helix ubiquitous Kinase, IKBKA, IKK-alpha, IKK1, IKKA, NFKBIKA, TCF16) (AP)
Gene Names
CHUK; IKK1; IKKA; IKBKA; TCF16; NFKBIKA; IKK-alpha
Applications
Immunohistochemistry, Western Blot
Purity
Purified
Pricing
product-image-AAA26907_IHC6.jpg IHC (Immunohistchemistry) (Immunohistochemical analysis using PD-L1 Mouse mAb PD-L1 IHC Controls (paraffin-embedded cell pellets, HDLM-2 (left) or PC-3 (right).)

PDL1, CT (Programmed Cell Death 1 Ligand 1, B7-H1, CD274), Monoclonal Antibody (Cat# AAA26907)

No reviews yet
Full Name
PDL1, CT (Programmed Cell Death 1 Ligand 1, B7-H1, CD274)
Gene Names
CD274; B7-H; B7H1; PDL1; PD-L1; PDCD1L1; PDCD1LG1
Reactivity
Human
Applications
Immunohistochemistry, Western Blot
Purity
Supernatant
Pricing
product-image-AAA26784_APP7.jpg Application Data (Staining of Rat peripheral blood lymphocytes with Mouse anti Rat CD49d:RPE (MCA2872PE))

CD49d, Monoclonal Antibody (Cat# AAA26784)

No reviews yet
Full Name
CD49d (Antigen CD49d, CD49d Antigen, CDw49d, Alpha 4 Subunit of VLA-4 Receptor, Integrin alpha IV, Integrin alpha 4, IA4, ITGA4, LPAM23, MGC90518, Very Late Activation Protein 4 Receptor Alpha 4 Subunit, VLA4, VLA-4) (MaxLight 405)
Reactivity
Rat
Applications
Flow Cytometry, Immunoprecipitation
Purity
Purified by Protein G Affinity Chromatography
Pricing
product-image-AAA12066_APP6.gif Application Data (Staining of canine peripheral blood lymphocytes with Rat anti Canine CD8:RPE)

CD8, Monoclonal Antibody (Cat# AAA12066)

No reviews yet
Full Name
RAT ANTI DOG CD8:FITC
Applications
Flow Cytometry
Pricing
product-image-AAA24705_WB6.jpg WB (Western Blot) (ABHD5 monoclonal antibody. Western Blot analysis of ABHD5 expression in Jurkat.)

ABHD5, Monoclonal Antibody (Cat# AAA24705)

No reviews yet
Full Name
ABHD5 (1-acylglycerol-3-phosphate O-acyltransferase ABHD5, Abhydrolase Domain-containing Protein 5, Lipid Droplet-binding Protein CGI-58, CGI-58, MGC8731, NCIE2) (Biotin)
Gene Names
ABHD5; CDS; CGI58; IECN2; NCIE2
Reactivity
Human
Applications
Immunohistochemistry, Western Blot
Purity
Purified by Protein A Affinity Chromatography.
Pricing
product-image-AAA24860_APP6.jpg Application Data (Proximity Ligation Analysis of protein-protein interactions between TP53 and MDM2 HeLa cells were stained with anti-TP53 rabbit purified polyclonal 1:1200 and anti-MDM2 mouse monoclonal antibody 1:50. Each red dot represents the detection of protein-protein interaction complex, and nuclei were counterstained with DAPI (blue).)

MDM2, Monoclonal Antibody (Cat# AAA24860)

No reviews yet
Full Name
MDM2 (E3 Ubiquitin-protein Ligase Mdm2, Double Minute 2 Protein, Hdm2, Oncoprotein Mdm2, p53-binding Protein Mdm2) (Biotin)
Gene Names
MDM2; HDMX; hdm2; ACTFS
Reactivity
Human
Applications
Immunohistochemistry, Western Blot
Purity
Purified by Protein A Affinity Chromatography.
Pricing

What are Monoclonal Antibodies?


Monoclonal antibodies are specialized laboratory-produced proteins developed for binding to specific biological antigens or other molecular targets. Since they come from a single cell (or clone), they are especially consistent and accurate in the data they are involved in producing.


This type of antibody material has been shown to be a powerful tool in finding and subsequently destroying harmful cells in an organism, such as those found in cancers or various autoimmune diseases. This makes them excellent aids in medical testing and research, which is why they are so widely used.


AAA Biotech offers a comprehensive range of high-quality monoclonal antibodies that perform effectively in various laboratory tests, including (amongst others) ELISA, western blotting, immunohistochemistry, and flow cytometry. All of the products in our catalog are thoroughly quality tested to make sure that they are reliable and will consistently perform well in your research.


What Are The Uses of Monoclonal Antibodies


Monoclonal antibodies are used in many lab tests, including (amongst others) ELISA, western blotting, immunohistochemistry, and flow cytometry.


ELISA is a test that helps detect a specific substance/analyte in a sample. It uses antibodies (often monoclonal) bound to a solid surface (such as the well of a microplate) to “capture” the substance/analyte in the sample and immobilize it so that the detection antibody component can then bind to it and produce a signal, which can then be measured.


Western blotting identifies specific proteins in a sample. The sample is first separated on a gel, and then antibodies are applied that will typically bind to the target, which will all be localized to a single band in a lane.


Immunohistochemistry helps locate specific proteins in cells or tissue samples using antibodies.


Flow cytometry looks at and sorts cells. It uses antibodies that are conjugated to reporter molecules called “fluorophores”, which, under special lights, emit light themselves, which can then be measured by a detector instrument.


How Monoclonal Antibodies Are Used as Medicine?


Please note that all of the products listed in AAA Biotech’s also known as AAA Bio or AAABio catalog are strictly for research-use only (RUO).


Monoclonal antibodies can also be used as therapeutic/medical treatments, particularly in the context of cancers. They are designed to find and bind to specific cells or proteins, helping the immune system recognize and attack the cancer. These treatments work in different ways, such as:


  • Radioimmunotherapy attaches a small amount of radioactive molecule to the antibody, so it delivers the radiation directly to the cancer cells that the antibody is specifically binding to.

  • Antibody-directed enzyme prodrug therapy uses antibodies that are specifically bound to special enzymes. These enzymes activate a harmless drug in the body and turn it into a cancer-killing drug only near the cancer cells—this helps avoid harming healthy cells.

  • Immunoliposomes are tiny “bubbles” filled with medicine/drug and coated with antibodies. They carry the drug straight to the cancer cells.


Why Buy Monoclonal Antibodies From Us?


At AAA Biotech, we provide high-performance monoclonal antibodies designed to support a wide range of research needs.


1. Validated for Versatile Applications


The antibodies in our catalog are extensively validated and compatible with multiple techniques, including (but not limited to) ELISA, flow cytometry (FC), immunocytochemistry (ICC), immunofluorescence (IF), immunohistochemistry (IHC), immunoprecipitation (IP), and western blotting (WB).


2. Wide Selection & Specialized Options


We offer antibodies for common and rare species, that are available in various conjugated forms, and also in recombinant formats. Essentially, there is almost anything one might need to meet their experimental model’s requirements.


3. High-Quality Proteins


Our proteins meet high purity standards—90% or more as confirmed by SDS-PAGE. Many are available with tags like His, Flag, GST, or MBP, and we also supply native and biologically active proteins for functional studies.


Frequently Asked Questions


1. Are your monoclonal antibodies validated for specific applications?


Yes, our antibodies are tested and validated for use in methods such as ELISA, western blot, IHC, flow cytometry, and more. Refer to specific product pages or datasheets for individual product information.


2. How do I choose the right monoclonal antibody for my application?


Review the product details directly for application validation, species reactivity, and target information. You may also contact our support team at any time for help.


3. How quickly can I receive my order?


Most orders are processed and shipped within 1–3 business days, depending on product availability and your shipping location.


Submit a Question

Please complete the form below and a representative will contact you as soon as possible.

Request more Information

Please complete the form below and a representative will contact you as soon as possible.

Request a Manual

Please complete the form below and a representative will contact you as soon as possible.

Request a Quote

Please complete the form below and a representative will contact you as soon as possible.