Loading...

Skip to main content
Call us at +1-800-604-9114 for more information about our products or contact us online Need help? +1-800-604-9114 or contact us

Filters


Clonality

Type

Reactivity

Gene Name

Isotype

Host

Application

Clone

Recombinant Antibodies

Also available for purchase in our catalog, we have flexible recombinant antibodies that are excellent tools in many different types of experiments, and well-suited for those that are large-scale or long-term. Our collection of recombinant antibodies includes different forms/formats of said antibodies, such as labeled or purified versions, and can be made utilizing different species’ isotypes to suit various experimental requirements.


Viewing 600-650 of 2821 product results


Rabbit Anti-PCYT1A Monoclonal Recombinant Antibody – Cat# AAA243836 – IF (Immunofluorescence) IF (Immunofluorescence) (Immunofluorescence staining of Hela Cells at 1?50, counter-stained with DAPI. The cells were fixed in 4% formaldehyde, permeated by 0.2% TritonX-100, and blocked in 10% normal Goat Serum. The cells were then incubated with the antibody overnight at 4 degree C. Nuclear DNA was labeled in blue with DAPI. The secondary antibody was FITC-conjugated AffiniPure Goat Anti-Rabbit IgG ?H+L?.)

PCYT1A, Monoclonal Recombinant Antibody (Cat# AAA243836)

No reviews yet
Full Name
PCYT1A Antibody
Gene Names
PCYT1A; CT; CTA; CCTA; CTPCT; PCYT1
Reactivity
Human
Applications
Immunofluorescence, Western Blot
Purity
Affinity-chromatography
Pricing
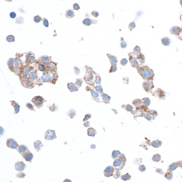
Rabbit Anti-FAS Monoclonal Recombinant Antibody – Cat# AAA243872 – IHC (Immunohistochemisry) IHC (Immunohistochemisry) (IHC image diluted at 1:100 and staining in paraffin-embedded human colon cancer performed on a Leica BondTM system. After dewaxing and hydration, antigen retrieval was mediated by high pressure in a citrate buffer (pH 6.0). Section was blocked with 10% normal goat serum 30min at RT. Then primary antibody (1% BSA) was incubated at 4 degree C overnight. The primary is detected by a Goat anti-rabbit IgG polymer labeled by HRP and visualized using 0.05% DAB.)

FAS, Monoclonal Recombinant Antibody (Cat# AAA243872)

No reviews yet
Full Name
FAS Antibody
Gene Names
FAS; APT1; CD95; FAS1; APO-1; FASTM; ALPS1A; TNFRSF6
Reactivity
Human
Applications
Immunohistochemistry, Western Blot
Purity
Affinity-chromatography
Pricing
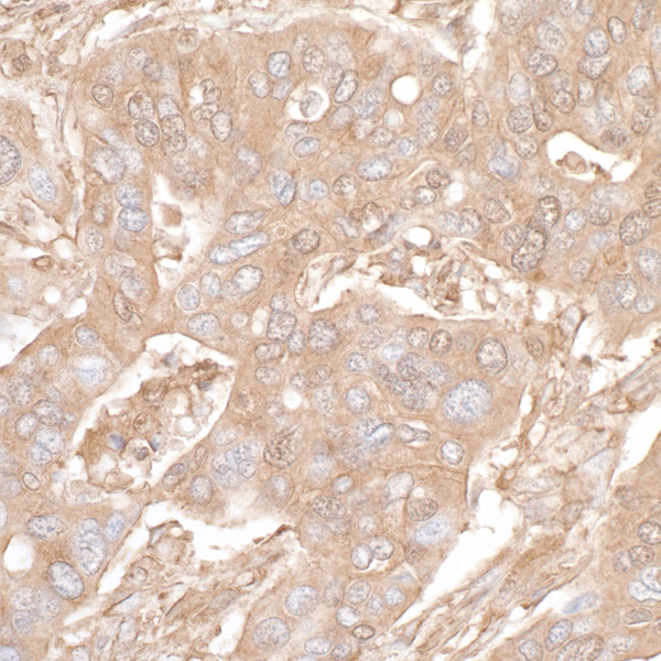
Rabbit Anti-PCSK9 Monoclonal Recombinant Antibody – Cat# AAA243875 – IHC (Immunohiostchemistry) IHC (Immunohiostchemistry) (IHC image diluted at 1:100 and staining in paraffin-embedded human colon cancer performed on a Leica BondTM system. After dewaxing and hydration, antigen retrieval was mediated by high pressure in a citrate buffer (pH 6.0). Section was blocked with 10% normal goat serum 30min at RT. Then primary antibody (1% BSA) was incubated at 4 degree C overnight. The primary is detected by a Goat anti-rabbit IgG polymer labeled by HRP and visualized using 0.05% DAB.)

PCSK9, Monoclonal Recombinant Antibody (Cat# AAA243875)

No reviews yet
Full Name
PCSK9 Antibody
Gene Names
PCSK9; FH3; PC9; NARC1; LDLCQ1; NARC-1; HCHOLA3
Reactivity
Human
Applications
Immunohistochemistry, Western Blot
Purity
Affinity-chromatography
Pricing
Rabbit Anti-XPO1 Monoclonal Recombinant Antibody – Cat# AAA243985 – IHC (Immunohiostchemistry) IHC (Immunohiostchemistry) (IHC image diluted at 1:100 and staining in paraffin-embedded human brain tissue performed on a Leica BondTM system. After dewaxing and hydration, antigen retrieval was mediated by high pressure in a citrate buffer (pH 6.0). Section was blocked with 10% normal goat serum 30min at RT. Then primary antibody (1% BSA) was incubated at 4 degree C overnight. The primary is detected by a Goat anti-rabbit IgG polymer labeled by HRP and visualized using 0.05% DAB.)

XPO1, Monoclonal Recombinant Antibody (Cat# AAA243985)

No reviews yet
Full Name
XPO1 Antibody
Gene Names
XPO1; emb; CRM1; exp1
Reactivity
Human
Applications
Immunohistochemistry
Purity
Affinity-chromatography
Pricing
Rabbit Anti-NUP98 Monoclonal Recombinant Antibody – Cat# AAA244020 – IF (Immunofluorescence) IF (Immunofluorescence) (Immunofluorescence staining of Hela Cells at 1?50, counter-stained with DAPI. The cells were fixed in 4% formaldehyde, permeated by 0.2% TritonX-100, and blocked in 10% normal Goat Serum. The cells were then incubated with the antibody overnight at 4 degree C. Nuclear DNA was labeled in blue with DAPI. The secondary antibody was FITC-conjugated AffiniPure Goat Anti-Rabbit IgG ?H+L?.)

NUP98, Monoclonal Recombinant Antibody (Cat# AAA244020)

No reviews yet
Full Name
NUP98 Antibody
Gene Names
NUP98; ADIR2; NUP96; NUP196
Reactivity
Human
Applications
Immunofluorescence, Immunohistochemistry, Western Blot
Purity
Affinity-chromatography
Pricing
Rabbit Anti-C3 Monoclonal Recombinant Antibody – Cat# AAA243904 – FCM/FACS (Flow Cytometry) FCM/FACS (Flow Cytometry) (Overlay histogram showing HepG2 cells stained with (red line) at 1?50. The cells were fixed with 70% Ethylalcohol (18h) and then incubated in 10% normal goat serum to block non-specific protein-protein interactions followedby the antibody (1ug/1*106cells) for 1 h at 4?.The secondary antibody used was FITC-conjugated goat anti-rabbit IgG (H+L) at 1/200 dilution for 30min at 4?. Control antibody (green line) was Rabbit IgG (1ug/1*106cells) used under the same conditions. Acquisition of >10,000 events was performed.)

C3, Monoclonal Recombinant Antibody (Cat# AAA243904)

No reviews yet
Full Name
C3 Antibody
Gene Names
C3; ASP; C3a; C3b; AHUS5; ARMD9; CPAMD1
Reactivity
Human
Applications
Flow Cytometry, Immunohistochemistry, Western Blot
Purity
Affinity-chromatography
Pricing
Rabbit Anti-GZMB Monoclonal Recombinant Antibody – Cat# AAA243954 – IF (Immunofluorescence) IF (Immunofluorescence) (Immunofluorescence staining of Hela Cells at 1?50, counter-stained with DAPI. The cells were fixed in 4% formaldehyde, permeated by 0.2% TritonX-100, and blocked in 10% normal Goat Serum. The cells were then incubated with the antibody overnight at 4 degree C. Nuclear DNA was labeled in blue with DAPI. The secondary antibody was FITC-conjugated AffiniPure Goat Anti-Rabbit IgG ?H+L?.)

GZMB, Monoclonal Recombinant Antibody (Cat# AAA243954)

No reviews yet
Full Name
GZMB Antibody
Gene Names
GZMB; HLP; CCPI; CGL1; CSPB; SECT; CGL-1; CSP-B; CTLA1; CTSGL1
Reactivity
Human
Applications
Immunofluorescence, Immunohistochemistry
Purity
Affinity-chromatography
Pricing
Rabbit Anti-PARK7 Monoclonal Recombinant Antibody – Cat# AAA315340 – IHC (Immunohiostchemistry) IHC (Immunohiostchemistry) (Immunohistochemical analysis of paraffin-embedded human bladder cancer, using PARK7 Antibody.)

PARK7, Monoclonal Recombinant Antibody (Cat# AAA315340)

No reviews yet
Full Name
PARK7 Rabbit mAb
Gene Names
PARK7; DJ1; DJ-1
Reactivity
Human, Mouse, Rat
Applications
Flow Cytometry, Immunoprecipitation, Immunofluorescence, Immunocytochemistry, Immunohistochemistry, Western Blot
Purity
Affinity-chromatography
Pricing
Rabbit Anti-MHC Monoclonal Recombinant Antibody – Cat# AAA314902 – IHC (Immunohiostchemistry) IHC (Immunohiostchemistry) (Immunohistochemical analysis of paraffin-embedded human thyroid carcinoma, using MHC class 1 Antibody.)

MHC class 1, Monoclonal Recombinant Antibody (Cat# AAA314902)

No reviews yet
Full Name
MHC class 1 Rabbit mAb
Gene Names
HLA-A; HLAA
Reactivity
Human
Applications
Flow Cytometry, Immunoprecipitation, Immunofluorescence, Immunocytochemistry, Immunohistochemistry, Western Blot
Purity
Affinity-chromatography
Pricing
Rabbit Anti-SOX2 Monoclonal Recombinant Antibody – Cat# AAA314906 – IF (Immunofluorescence) IF (Immunofluorescence) (Immunofluorescent analysis of NCCIT cells, using SOX2 Antibody .)

SOX2, Monoclonal Recombinant Antibody (Cat# AAA314906)

No reviews yet
Full Name
SOX2 Rabbit mAb
Gene Names
SOX2; ANOP3; MCOPS3
Reactivity
Human, Mouse
Applications
Immunofluorescence, Immunocytochemistry, Immunohistochemistry, Western Blot
Purity
Affinity-chromatography
Pricing
Rabbit Anti-MRP8 Monoclonal Recombinant Antibody – Cat# AAA314913 – IHC (Immunohiostchemistry) IHC (Immunohiostchemistry) (Immunohistochemical analysis of paraffin-embedded human breast cancer, using MRP8 Antibody.)

MRP8, Monoclonal Recombinant Antibody (Cat# AAA314913)

No reviews yet
Full Name
MRP8 Rabbit mAb
Reactivity
Human, Mouse
Applications
Immunoprecipitation, Immunohistochemistry, Western Blot
Purity
Affinity-chromatography
Pricing
Rabbit Anti-ErbB4 Monoclonal Recombinant Antibody – Cat# AAA314997 – IF (Immunofluorescence) IF (Immunofluorescence) (Immunofluorescent analysis of A673 cells, using ErbB4 (HER4) Antibody .)

ErbB4 (HER4), Monoclonal Recombinant Antibody (Cat# AAA314997)

No reviews yet
Full Name
ErbB4 (HER4) Rabbit mAb
Gene Names
ERBB4; HER4; p180erbB4
Reactivity
Human, Mouse, Rat
Applications
Immunoprecipitation, Flow Cytometry, Immunocytochemistry, Western Blot
Purity
Affinity-chromatography
Pricing
Rabbit Anti-Smad3 Monoclonal Recombinant Antibody – Cat# AAA314843 – IF (Immunofluorescence) IF (Immunofluorescence) (Immunofluorescent analysis of A549 cells treated with TGF?? , using Phospho-Smad3 (S423 + S425) Antibody.)

Smad3, Monoclonal Recombinant Antibody (Cat# AAA314843)

No reviews yet
Full Name
Smad3 (Phospho-Ser423/Ser425) Rabbit mAb
Gene Names
SMAD3; LDS3; LDS1C; MADH3; JV15-2; HSPC193; HsT17436
Reactivity
Human, Mouse
Applications
Immunofluorescence, Immunocytochemistry, Immunohistochemistry, Western Blot
Purity
Affinity-chromatography
Pricing
Rabbit Anti-MEK1 Monoclonal Recombinant Antibody – Cat# AAA213574 – WB (Western Blot) WB (Western Blot) (Detection of human MEK1 by western blot. Samples: Whole cell lysate (50 ug) from HeLa, Hep-G2, Jurkat, A-549, RKO, U2OS, and LNCaP cells prepared using NETN lysis buffer. Antibody: Rabbit anti-MEK1 recombinant monoclonal antibody (AAA213574 lot 1) used at 1:1000. Secondary: HRP-conjugated goat anti-rabbit IgG . Detection: Chemiluminescence with an exposure time of 10 seconds. Lower Panel: Rabbit anti-COPB2 .)

MEK1, Monoclonal Recombinant Antibody (Cat# AAA213574)

No reviews yet
Full Name
Rabbit anti-MEK1 Recombinant Monoclonal Antibody [BLR096G]
Gene Names
MAP2K1; MEK1; MKK1; MAPKK1; PRKMK1
Reactivity
Human
Applications
Flow Cytometry, Immunoprecipitation, Western Blot
Purity
Purified
Pricing

CD74, Monoclonal Recombinant Antibody (Cat# AAA72010)

No reviews yet
Full Name
Anti-CD74 [In-1]
Reactivity
Mouse
Applications
Immunohistochemistry, Flow Cytometry, Immunoprecipitation
Purity
Protein A Affinity Purified
Pricing
Anti-CD28 Monoclonal Recombinant Antibody – Cat# AAA72022 – IHC (Immunohiostchemistry) IHC (Immunohiostchemistry) (Immunohistochemical staining of rat spleen using anti-CD28 antibody Formalin fixed rat spleen slices were were stained at 3 ug/ml.)

CD28, Monoclonal Recombinant Antibody (Cat# AAA72022)

No reviews yet
Full Name
Anti-CD28 [JJ316]
Gene Names
Cd28; CD28RNA
Reactivity
Rat
Applications
Immunohistochemistry, Immunofluorescence, Flow Cytometry
Purity
Protein A Affinity Purified
Pricing
Anti-CD4 Recombinant Antibody – Cat# AAA71937 – IHC (Immunohiostchemistry) IHC (Immunohiostchemistry) ( Immunohistochemical staining of rabbit spleen using anti-CD4 antibody (Ab00167) YNB46.1.8 (Campath-9H) Anti-CD4 staining of formaldehyde fixed paraffin embedded rabbit spleen tissue, at 40x magnification. The rat IgG1-chimeric version of YNB46.1.8 (Ab00167-6.1) was used to stain samples at a concentration of 5 ug/ml.)

CD4, Recombinant Antibody (Cat# AAA71937)

No reviews yet
Full Name
Anti-CD4 [YNB46.1.8 (Campath-9H)]
Gene Names
CD4; CD4mut
Reactivity
Human
Applications
Immunohistochemistry, Immunohistochemistry, Flow Cytometry
Purity
Protein A Affinity Purified
Pricing
Anti-TNF alpha Recombinant Antibody – Cat# AAA71954 – WB (Western Blot) WB (Western Blot) ( Western Blot using anti-TNFalpha antibody rat spinal cord (lane 2), mouse testis (lane 3), rat colon (lane 4) and human thyroid tumour (lane 5) samples were resolved on a 10% SDS PAGE gel and blots probed with however dimers and other higher order complexes are well described in the literature too (c.f. Petersen 1989, PMID: 2583226). successfully detected human and rat TNF alpha.)

TNF alpha, Recombinant Antibody (Cat# AAA71954)

No reviews yet
Full Name
Anti-TNF alpha [CDP 571 (Humicade)]
Gene Names
TNF; DIF; TNFA; TNFSF2; TNLG1F; TNF-alpha
Reactivity
Human
Applications
Neutralization Assay
Purity
Protein A Affinity Purified
Pricing

MUC1, Monoclonal Recombinant Antibody (Cat# AAA71968)

No reviews yet
Full Name
Anti-MUC1 [SM3]
Gene Names
MUC1; EMA; MCD; PEM; PUM; KL-6; MAM6; MCKD; PEMT; CD227; H23AG; MCKD1; MUC-1; ADMCKD; ADMCKD1; CA 15-3; MUC-1/X; MUC1/ZD; MUC-1/SEC
Reactivity
Human
Applications
Flow Cytometry
Purity
Protein A Affinity Purified
Pricing
Mouse Anti-CD147 Monoclonal Recombinant Antibody – Cat# AAA72470 – IF (Immunofluorescence) IF (Immunofluorescence) (Immunofluorescencestainingoffixedratsplenocytecellswithanti-CD147(Basigin)antibodyOX-47(AAA72470) Immunofluorescenceanalysisofparaformaldehydefixedrat(Rattusnorvegicus)splenocytesonShi-fixcoverslips,permeabilizedwith0.15%TritonstainedwiththechimericrabbitversionofOX-47(AAA72470)at10ug/mlfor1hfollowedbyAlexaFluor 488secondaryantibody(1ug/ml),showingmembranestainingofasubsetofcells.ThenuclearstainisDAPI(blue).Panelsshowfromleft-right,top-bottomAAA72470,DAPI,mergedchannelsandanisotypecontrol.Theisotypecontrolwasstainedwithananti-FluoresceinantibodyfollowedbyAlexaFluor 488secondaryantibody.)

CD147, Monoclonal Recombinant Antibody (Cat# AAA72470)

No reviews yet
Full Name
Anti-CD147 [OX-47], Mouse IgG1, kappa
Gene Names
Bsg; CE9; HT7; 5A11; Ox47R; EMMPRIN; basignin
Reactivity
Rat
Applications
Western Blot, Immunohistochemistry, Flow Cytometry, Radioimmunoassay
Purity
Protein A affinity purified
Pricing
Rabbit Anti-CD147 Monoclonal Recombinant Antibody – Cat# AAA72471 – WB (Western Blot) WB (Western Blot) (Western Blotusinganti-CD147(Basigin)antibodyOX-47(AAA72471)Ratthymustissuelysate(35ugproteininRIPAbuffer)wasresolvedona10%SDSPAGEgelandblotsprobedwiththechimericrabbitversionofOX-47(AAA72471)at0.1ug/mlbeforedetectionusingananti-rabbitsecondaryantibody.Aprimaryincubationof1hwasusedandproteinwasdetectedbychemiluminescence.TheexpectedbandsizeforCD147is42.4kDa.AAA72471successfullydetectedCD147inratthymustissuelysate.)

CD147, Monoclonal Recombinant Antibody (Cat# AAA72471)

No reviews yet
Full Name
Anti-CD147 [OX-47], Rabbit IgG, kappa
Gene Names
Bsg; CE9; HT7; 5A11; Ox47R; EMMPRIN; basignin
Reactivity
Rat
Applications
Western Blot, Immunohistochemistry, Flow Cytometry, Radioimmunoassay
Purity
Protein A affinity purified
Pricing
Rat Anti-CD48 Monoclonal Recombinant Antibody – Cat# AAA72473 – WB (Western Blot) WB (Western Blot) (Western Blotusinganti-CD48antibodyOX-78(AAA72473) Mousespleen(A),thymus(B)andlymphnode(C)tissuelysatesamples(35ugproteininRIPAbuffer)wereresolvedona10%SDSPAGEgelandblotsprobedwiththechimericrabbitversionofOX-78(AAA72473)at0.0001ug/mlbeforedetectionusingananti-rabbitsecondaryantibody.Aprimaryincubationof1hwasusedandproteinwasdetectedbychemiluminescence.TheexpectedrunningsizeforCD48is~37-56kDaanditisheavilyglycosylated,aswellaslipidated(UniProtID:P18181).AAA72473successfullydetectedCD48inmousespleen,thymusandlymphnodetissuelysates.)

CD48, Monoclonal Recombinant Antibody (Cat# AAA72473)

No reviews yet
Full Name
Anti-CD48 [OX-78], Rat IgG2a, kappa
Gene Names
Cd48; BCM1; BLAST; Bcm-1; BLAST1; SLAMF2; Sgp-60; BLAST-1; MEM-102; AI449234; AW610730
Reactivity
Mouse
Applications
Immunoprecipitation, Flow Cytometry
Purity
Protein A affinity purified
Pricing
Rabbit Anti-CD25 Monoclonal Recombinant Antibody – Cat# AAA72500 – IF (Immunofluorescence) IF (Immunofluorescence) (ImmunofluorescencestainingofMolt4cellswithanti-CD25(AAA72500)7G7/B6 ImmunofluorescenceanalysisofparaformaldehydefixedMolt4cellsonShi-fixcover-slipsstainedwiththechimericrabbitIgGversionof7G7/B6(AAA72500)(1:100dilution)for1hfollowedbyAlexaFluor488secondaryantibody(1:1000dilution),showingmembranestaining.ThenuclearstainisDAPI(blue).Panelsshowfromleft-right,top-bottomAAA72500,DAPI,mergedchannelsandanisotypecontrol.TheisotypecontrolwasanunknownspecificityantibodyfollowedbystainingwithAlexaFluor488secondaryantibody.)

CD25, Monoclonal Recombinant Antibody (Cat# AAA72500)

No reviews yet
Full Name
Anti-CD25 [7G7/B6], Rabbit IgG, kappa
Gene Names
IL2RA; CD25; IL2R; TCGFR; IDDM10
Reactivity
Human
Applications
Immunoprecipitation, Flow Cytometry, Immunofluorescence
Purity
Protein A affinity purified
Pricing
Mouse Anti-CD34 Monoclonal Recombinant Antibody – Cat# AAA72503 – FCM/FACS (Flow Cytometry) FCM/FACS (Flow Cytometry) (FlowcytometryusingtheAnti-CD34antibodyQBEND/10(AAA72503). ParaformaldehydefixedK562cellswerestainedwithanti-unknownspecificityantibodyorthemouseIgG1versionofQBEND/10(AAA72503-1.1,blueline)atadilutionof1:100for1hatRT.Afterwashing,theboundantibodywasdetectedusingagoatanti-mouseIgGAlexaFluor488antibodyatadilutionof1:1000andcellsanalyzedusingaFACSCantoflow-cytometer.)

CD34, Monoclonal Recombinant Antibody (Cat# AAA72503)

No reviews yet
Full Name
Anti-CD34 [QBEND/10], Mouse IgG1, kappa
Reactivity
Human
Applications
Immunoprecipitation, Western Blot, Immunohistochemistry
Purity
Protein A affinity purified
Pricing
Mouse Anti-CTNNB1 Monoclonal Recombinant Antibody – Cat# AAA72524 – FCM/FACS (Flow Cytometry) FCM/FACS (Flow Cytometry) (Flowcytometryusingtheanti-betacateninantibody15B8(AAA72524). HeLacellswerefixedusing2%PFAandstainedwithanti-unknownspecificityantibodyortherabbitIgG1versionof15B8(AAA72524,blueline)atadilutionof1:100for1hatRT.Afterwashing,theboundantibodywasdetectedusingagoatanti-rabbitIgGAlexaFluor488antibodyatadilutionof1:1000andcellsanalyzedusingaFACSCantoflow-cytometer.)

beta catenin, Monoclonal Recombinant Antibody (Cat# AAA72524)

No reviews yet
Full Name
Anti-beta catenin [15B8], Mouse IgG1, kappa
Gene Names
CTNNB1; CTNNB; MRD19; armadillo
Reactivity
Human, Mouse, Rat, Cow, Dog, Chicken
Applications
Immuno-ElectronMicroscopy, Immunohistochemistry, Immunofluorescence, Flow Cytometry, Western Blot
Purity
Protein A affinity purified
Pricing
Human Anti-IL-4 Monoclonal Recombinant Antibody – Cat# AAA72530 – FCM/FACS (Flow Cytometry) FCM/FACS (Flow Cytometry) (Flowcytometryusinganti-IL-4antibodySB240683(Pascolizumab,humanized3B9)(AAA72530). Humanbloodleukocytesrestedfor4hoursat37°C,thenfixedwith2%PFAandpermeabilizedwith0.5%Triton,werestainedwiththeanti-unknownspecificityantibodyortherabbitIgGversionofSB240683(AAA72530,left)atadilutionof1:100overnightat4°C.Afterwashing,theboundantibodywasdetectedusingagoatanti-rabbitIgGAlexaFluor488antibodyatadilutionof1:1000,andthecellswereanalyzedusingaFACSCantoflow-cytometer.)

IL-4, Monoclonal Recombinant Antibody (Cat# AAA72530)

No reviews yet
Full Name
Anti-IL-4 [SB240683 (Pascolizumab, humanized 3B9)], Human IgG1, kappa
Gene Names
IL4; BSF1; IL-4; BCGF1; BSF-1; BCGF-1
Reactivity
Human, cynomolgus monkeys
Applications
Functional Assay, Inhibition Assay
Purity
Protein A affinity purified
Pricing
Mouse Anti-MHCII Monoclonal Recombinant Antibody – Cat# AAA72438 – WB (Western Blot) WB (Western Blot) (Western Blotusinganti-MHCclassII(CD74)antibodyOX-6(AAA72438) Ratspleen(A),ratthymus(B)andratlymphnode(C)lysatesamples(35ugproteininRIPAbuffer)wereresolvedona10%SDSPAGEgelandblotsprobedwiththechimericrabbitversionofOX-6(AAA72438)at1ug/mlbeforedetectionusingananti-rabbitsecondaryantibody.Aprimaryincubationof1hwasusedandproteinwasdetectedbychemiluminescence.TheexpectedrunningsizeforCD74is~24.5-31.6kDa,dependingontheisoformandpost-translationalmodification.AAA72438successfullydetectedCD74inratspleen,thymusandlymphnodelysates.)

MHC II, Monoclonal Recombinant Antibody (Cat# AAA72438)

No reviews yet
Full Name
Anti-MHC II [OX-6], Mouse IgG1, kappa
Reactivity
Rat, Mouse
Applications
Immunocytochemistry, Immunohistochemistry, Flow Cytometry, Western Blot, Immunofluorescence, Immunoprecipitation, Radioimmunoassay
Purity
Protein A affinity purified
Pricing
Rabbit Anti-MHCII Monoclonal Recombinant Antibody – Cat# AAA72439 – WB (Western Blot) WB (Western Blot) (Western Blotusinganti-MHCclassII(CD74)antibodyOX-6(AAA72439) Ratspleen(A),ratthymus(B)andratlymphnode(C)lysatesamples(35ugproteininRIPAbuffer)wereresolvedona10%SDSPAGEgelandblotsprobedwiththechimericrabbitversionofOX-6(AAA72439)at1ug/mlbeforedetectionusingananti-rabbitsecondaryantibody.Aprimaryincubationof1hwasusedandproteinwasdetectedbychemiluminescence.TheexpectedrunningsizeforCD74is~24.5-31.6kDa,dependingontheisoformandpost-translationalmodification.AAA72439successfullydetectedCD74inratspleen,thymusandlymphnodelysates.)

MHC II, Monoclonal Recombinant Antibody (Cat# AAA72439)

No reviews yet
Full Name
Anti-MHC II [OX-6], Rabbit IgG, kappa
Reactivity
Rat, Mouse
Applications
Immunocytochemistry, Immunohistochemistry, Flow Cytometry, Western Blot, Immunofluorescence, Immunoprecipitation, Radioimmunoassay
Purity
Protein A affinity purified
Pricing
Mouse Anti-CD8A Monoclonal Recombinant Antibody – Cat# AAA72440 – IF (Immunofluorescence) IF (Immunofluorescence) (Immunofluorescencestainingoffixedratsplenocytescwithanti-CD8aantibodyOX-8(AAA72440). ImmunofluorescenceanalysisofparaformaldehydefixedratsplenocytesonShi-fixcover-slipsstainedwiththechimericrabbitIgGversionofOX-8(AAA72440)(1:100dilution)for1hfollowedbyAlexaFluor488secondaryantibody(1:1000dilution),showingmembraneandcytoplasmicstaining.ThenuclearstainisDAPI(blue).Panelsshowfromleft-right,top-bottomAAA72440,DAPI,mergedchannelsandanisotypecontrol.TheisotypecontrolwasanunknownspecificityantibodyfollowedbystainingwithAlexaFluor488secondaryantibody.)

CD8a, Monoclonal Recombinant Antibody (Cat# AAA72440)

No reviews yet
Full Name
Anti-CD8a [OX-8], Mouse IgG1, kappa
Reactivity
Rat
Applications
Immunohistochemistry, Immunofluorescence, Functional Assay, Flow Cytometry, Immunoprecipitation, Western Blot
Purity
Protein A affinity purified
Pricing
Rabbit Anti-CD244 Monoclonal Recombinant Antibody – Cat# AAA72460 – WB (Western Blot) WB (Western Blot) (Western Blotusinganti-CD244antibodyOX-122(AAA72460) Mousethymuslysate(A)andmousespleenlysate(B)samples(35ugproteininRIPAbuffer)wereresolvedona10%SDSPAGEgelandblotsprobedwiththechimericrabbitIgGversionofOX-122(AAA72460)at2and1ug/ml,respectively,beforedetectionusingananti-rabbitsecondaryantibody.Aprimaryincubationof1hwasusedandproteinwasdetectedbychemiluminescence.TheexpectedrunningsizeforCD244is44.8kDa.)

CD244, Monoclonal Recombinant Antibody (Cat# AAA72460)

No reviews yet
Full Name
Anti-CD244 [OX-122], Rabbit IgG, kappa
Gene Names
Cd244; 2B4; C9.1; Ly90; NAIL; Nmrk; NKR2B4; SLAMF4; F730046O15Rik
Reactivity
Mouse
Applications
Western Blot, Flow Cytometry
Purity
Protein A affinity purified
Pricing
Mouse Anti-CD86 Monoclonal Recombinant Antibody – Cat# AAA72466 – FCM/FACS (Flow Cytometry) FCM/FACS (Flow Cytometry) (Flow-cytometryusingtheanti-CD86antibodyOX-48(AAA72466). Ratsplenocyteswerestainedwithanti-FluoresceinIgGantibody(4-4-20;isotypecontrol,shadedline)ortherabbitIgG1versionofOX-48(AAA72466,blueline)atadilutionof1:100for1hatRT.Afterwashing,boundantibodywasdetectedusingagoatanti-mouseIgGAlexaFluor488antibodyatadilutionof1:1000andcellsanalyzedusingaFACSCantoflow-cytometer.)

CD86, Monoclonal Recombinant Antibody (Cat# AAA72466)

No reviews yet
Full Name
Anti-CD86 [OX-48], Mouse IgG1, kappa
Gene Names
Cd86; B7-2
Reactivity
Rat
Applications
Immunofluorescence, Flow Cytometry
Purity
Protein A affinity purified
Pricing
Rabbit Anti-HLA-E Monoclonal Recombinant Antibody – Cat# AAA72555 – FCM/FACS (Flow Cytometry) FCM/FACS (Flow Cytometry) (Flowcytometryusinganti-HLA-Eantibody3D12(AAA72555). A431cellswerestainedwiththeanti-unknownspecificityantibodyortherabbitIgGversionof3D12(AAA72555,blueline)atadilutionof1:100for1hatRT.Afterwashing,theboundantibodywasdetectedusingagoatanti-rabbitIgGAlexaFluor488antibodyatadilutionof1:1000,andthecellswereanalyzedusingaFACSCantoflow-cytometer.)

HLA-E, Monoclonal Recombinant Antibody (Cat# AAA72555)

No reviews yet
Full Name
Anti-HLA-E [3D12], Rabbit IgG, kappa
Gene Names
HLA-E; MHC; QA1; EA1.2; EA2.1; HLA-6.2
Reactivity
Human
Applications
Immunofluorescence, Functional Assay, Flow Cytometry
Purity
Protein A affinity purified
Pricing
Mouse Anti-B-100 Monoclonal Recombinant Antibody – Cat# AAA72558 – FCM/FACS (Flow Cytometry) FCM/FACS (Flow Cytometry) (Flowcytometryusinganti-ApolipoproteinB-100antibodyMabB9(AAA72558). ParaformaldehydefixedHepG2cellspermeabilizedwith0.5%Tritonwerestainedwiththeanti-unknownspecificityantibodyortherabbitIgGversionofMabB9(AAA72558,blueline)atadilutionof1:100for1hatRT.Afterwashing,theboundantibodywasdetectedusingagoatanti-rabbitIgGAlexaFluor488antibodyatadilutionof1:1000,andthecellswereanalyzedusingaFACSCantoflow-cytometer.)

Apolipoprotein B-100, Monoclonal Recombinant Antibody (Cat# AAA72558)

No reviews yet
Full Name
Anti-Apolipoprotein B-100 [MabB9], Mouse IgG2b, kappa
Gene Names
APOB; FLDB; LDLCQ4
Reactivity
Human
Applications
Western Blot
Purity
Protein A affinity purified
Pricing
Mouse Anti-FTH1 Monoclonal Recombinant Antibody – Cat# AAA72559 – FCM/FACS (Flow Cytometry) FCM/FACS (Flow Cytometry) (Flowcytometryusinganti-FerritinHantibody4C9(AAA72559). ParaformaldehydefixedHeLacellspermeabilizedwith0.5%Tritonwerestainedwiththeanti-unknownspecificityantibodyortherabbitIgGversionof4C9(AAA72559,blueline)atadilutionof1:100for1hatRT.Afterwashing,theboundantibodywasdetectedusingagoatanti-rabbitIgGAlexaFluor488antibodyatadilutionof1:1000,andthecellswereanalyzedusingaFACSCantoflow-cytometer.)

Ferritin H, Monoclonal Recombinant Antibody (Cat# AAA72559)

No reviews yet
Full Name
Anti-Ferritin H [4C9], Mouse IgG1, kappa
Gene Names
FTH1; FHC; FTH; PLIF; FTHL6; PIG15
Reactivity
Human
Applications
Western Blot, Immunohistochemistry
Purity
Protein A affinity purified
Pricing
Goat Anti-AIF1 Monoclonal Recombinant Antibody – Cat# AAA72568 – FCM/FACS (Flow Cytometry) FCM/FACS (Flow Cytometry) (Flowcytometryusinganti-AIF1antibodyGT1-mAb2(AAA72568). Paraformaldehydefixedhumanperipheralbloodmonocytespermeabilizedwith0.5%TritonwerestainedwiththeisotypecontrolantibodyortherabbitIgGversionofGT1-mAb2(AAA72568-24.1,blueline)atadilutionof1:100for1hatRT.Afterwashing,theboundantibodywasdetectedusingagoatanti-rabbitIgGAlexaFluor488antibodyatadilutionof1:1000,andthecellswereanalyzedusingaFACSCantoflow-cytometer.)

AIF1, Monoclonal Recombinant Antibody (Cat# AAA72568)

No reviews yet
Full Name
Anti-AIF1 [GT1-mAb2], Goat IgG, lambda
Gene Names
AIF1; IBA1; IRT1; AIF-1; IRT-1
Reactivity
Human
Applications
Flow Cytometry, Immunofluorescence
Purity
Protein A affinity purified
Pricing

HLA-A3, Monoclonal Recombinant Antibody (Cat# AAA120373)

No reviews yet
Full Name
Anti-Human HLA-A3 Antibody (MP9)
Gene Names
HLA-A; HLAA
Reactivity
Human
Applications
ELISA
Purity
>95% by SDS-PAGE
Protein A or G purified from cell culture supernatant.
Pricing
Anti-CD16/CD32 Recombinant Antibody – Cat# AAA71928 – FCM/FACS (Flow Cytometry) FCM/FACS (Flow Cytometry) ( Anti-CD16/32 staining of murine macrophages Murine bone marrow-derived macrophages (BMDMs) were stained with anti-CD16/32 antibody (as well as isotype control) and bound antibody detected using goat IgG anti-rat IgG (H&L-chain) polyclonal antibody directly conjugated to Alexa Fluor 647 commercially available from a competitor. Compared to the isotype control and secondary-only control, a CD16/32-positive population is apparent.)

CD16/CD32, Recombinant Antibody (Cat# AAA71928)

No reviews yet
Full Name
Anti-CD16/CD32 [2.4G2]
Gene Names
Fcgr3; CD16
Reactivity
Mouse
Applications
Immunohistochemistry, Immunoprecipitation, Immunofluorescence, Flow Cytometry
Purity
Protein A Affinity Purified
Pricing
Anti-CD55 Monoclonal Recombinant Antibody – Cat# AAA71973 – IHC (Immunohiostchemistry) IHC (Immunohiostchemistry) ( Immunohistochemical staining of human lung tissue using anti-CD55 antibody LU30 Anti-CD55 (Complement decay-accelerating factor)staining of paraffin embedded human lung tissue using the rabbit-chimeric version of LU30 for 20 mins followed by DAB (3,3'-diaminobenzidine), and counter staining with haematoxylin. Strong staining of the epithelial surface of alveoli may be observed. Recommended concentration, 2-4 ug/ml.)

CD55, Monoclonal Recombinant Antibody (Cat# AAA71973)

No reviews yet
Full Name
Anti-CD55 [LU30]
Gene Names
CD55; CR; TC; DAF; CROM; CHAPLE
Reactivity
Human
Applications
Western Blot, Immunohistochemistry
Purity
Purified
Protein A Affinity Purified
Pricing
Anti-EDB(+) FN Monoclonal Recombinant Antibody – Cat# AAA71975 – IF (Immunofluorescence) IF (Immunofluorescence) ( Immunofluoresence staining of fixed HeLa cells with anti-ED-B domain of fibronectin antibody G4 Immunofluorescence analysis of paraformaldehyde fixed HeLa cells, permeabilized with 0.15% Triton stained with the chimeric rabbit IgG version of G4 at 10 ug/ml for 1h followed by Alexa Fluor 488 secondary antibody (1 ug/ml), showing cytoplasmic staining. The nuclear stain is DAPI (blue). Panels show from left-right, top-bottom DAPI, merged channels and a negative control. The negative control was stained with unimmunized rabbit IgG followed by Alexa Fluor 488 secondary antibody.)

ED-B domain of fibronectin, Monoclonal Recombinant Antibody (Cat# AAA71975)

No reviews yet
Full Name
Anti-ED-B domain of fibronectin [G4]
Reactivity
Human
Applications
Immunohistochemistry, Western Blot
Purity
Purified
Protein A Affinity Purified
Pricing
Rabbit Anti-CD200 Monoclonal Recombinant Antibody – Cat# AAA72436 – IF (Immunofluorescence) IF (Immunofluorescence) (Immunofluorescencestainingoffixedmousesplenocyteswithanti-CD200antibodyOX-90(AAA72436) ImmunofluorescenceanalysisofparaformaldehydefixedmousesplenocytesonShi-fixcoverslips,permeabilizedwith0.15%TritonandstainedwiththechimericrabbitIgGversionofOX-90(AAA72436)at10ug/mlfor1hfollowedbyAlexaFluor 488secondaryantibody(1ug/ml),showingmembranestaininginasubsetofcells.ThenuclearstainisDAPI(blue).Panelsshowfromleft-right,top-bottomAAA72436,DAPI,mergedchannelsandanisotypecontrol.Theisotypecontrolwasstainedwithananti-FluoresceinantibodyfollowedbyAlexaFluor 488secondaryantibody.)

CD200, Monoclonal Recombinant Antibody (Cat# AAA72436)

No reviews yet
Full Name
Anti-CD200 [OX-90], Rabbit IgG, kappa
Gene Names
Cd200; OX2; Mox2
Reactivity
Mouse
Applications
Immunohistochemistry, Flow Cytometry
Purity
Protein A affinity purified
Pricing
Mouse Anti-CD200 Monoclonal Recombinant Antibody – Cat# AAA72446 – WB (Western Blot) WB (Western Blot) (Western Blotusinganti-CD200antibodyOX-2(AAA72446) Ratspleen(A)andratthymus(B)samples(35ugproteininRIPAbuffer)wereresolvedona10%SDSPAGEgelandblotsprobedwiththechimericrabbitversionofOX-2(AAA72446)at2ug/mlbeforedetectionusingananti-rabbitsecondaryantibody.Aprimaryincubationof1hwasusedandproteinwasdetectedbychemiluminescence.TheexpectedrunningsizeforCD200is40-50kDa.AAA72446successfullydetectedCD200inratspleenandratthymustissue.)

CD200, Monoclonal Recombinant Antibody (Cat# AAA72446)

No reviews yet
Full Name
Anti-CD200 [OX-2], Mouse IgG1, kappa
Reactivity
Rat
Applications
Flow Cytometry
Purity
Protein A affinity purified
Pricing
Rabbit Anti-CD200 Monoclonal Recombinant Antibody – Cat# AAA72447 – WB (Western Blot) WB (Western Blot) (Western Blotusinganti-CD200antibodyOX-2(AAA72447) Ratspleen(A)andratthymus(B)samples(35ugproteininRIPAbuffer)wereresolvedona10%SDSPAGEgelandblotsprobedwiththechimericrabbitversionofOX-2(AAA72447)at2ug/mlbeforedetectionusingananti-rabbitsecondaryantibody.Aprimaryincubationof1hwasusedandproteinwasdetectedbychemiluminescence.TheexpectedrunningsizeforCD200is40-50kDa.AAA72447successfullydetectedCD200inratspleenandratthymustissue.)

CD200, Monoclonal Recombinant Antibody (Cat# AAA72447)

No reviews yet
Full Name
Anti-CD200 [OX-2], Rabbit IgG, kappa
Reactivity
Rat
Applications
Flow Cytometry
Purity
Protein A affinity purified
Pricing
Rabbit Anti-CD44 Monoclonal Recombinant Antibody – Cat# AAA72449 – IF (Immunofluorescence) IF (Immunofluorescence) (Immunofluorescencestainingoffixedratsplenocyteswithanti-CD44antibodyOX-49(AAA72449) ImmunofluorescenceanalysisofparaformaldehydefixedratsplenocytesonShi-fixcoverslips,permeabilizedwith0.15%TritonstainedwiththechimericrabbitversionofOX-49(AAA72449)at10ug/mlfor1hfollowedbyAlexaFluor 488secondaryantibody(1ug/ml),showingmembranestaining.ThenuclearstainisDAPI(blue).Panelsshowfromleft-right,top-bottomAAA72449,DAPI,mergedchannelsandanisotypecontrol.Theisotypecontrolwasstainedwithananti-FluoresceinantibodyfollowedbyAlexaFluor 488secondaryantibody.)

CD44, Monoclonal Recombinant Antibody (Cat# AAA72449)

No reviews yet
Full Name
Anti-CD44 [OX-49 ], Rabbit IgG, kappa
Reactivity
Rat
Applications
Western Blot, Immunoprecipitation, Flow Cytometry
Purity
Protein A affinity purified
Pricing
Rat Anti-CD244 Monoclonal Recombinant Antibody – Cat# AAA72461 – WB (Western Blot) WB (Western Blot) (Western Blotusinganti-CD244antibodyOX-122(AAA72461) Mousethymuslysate(A)andmousespleenlysate(B)samples(35ugproteininRIPAbuffer)wereresolvedona10%SDSPAGEgelandblotsprobedwiththechimericrabbitIgGversionofOX-122(AAA72461)at2and1ug/ml,respectively,beforedetectionusingananti-rabbitsecondaryantibody.Aprimaryincubationof1hwasusedandproteinwasdetectedbychemiluminescence.TheexpectedrunningsizeforCD244is44.8kDa.)

CD244, Monoclonal Recombinant Antibody (Cat# AAA72461)

No reviews yet
Full Name
Anti-CD244 [OX-122], Rat IgG2a, kappa
Gene Names
Cd244; 2B4; C9.1; Ly90; NAIL; Nmrk; NKR2B4; SLAMF4; F730046O15Rik
Reactivity
Mouse
Applications
Western Blot, Flow Cytometry
Purity
Protein A affinity purified
Pricing
Mouse Anti-kappa Monoclonal Recombinant Antibody – Cat# AAA72478 – FCM/FACS (Flow Cytometry) FCM/FACS (Flow Cytometry) (FlowcytometryusingtheRatantibodykappalightchainsantibodyOX-12(AAA72478). Paraformaldehydefixedratsplenocytespermeabilizedwith0.5%Tritonwerestainedwithanti-unknownspecificityantibodyortherabbitIgGversionofOX-12(AAA72478,blueline)atadilutionof1:100for1hatRT.Afterwashing,theboundantibodywasdetectedusingagoatanti-rabbitIgGAlexaFluor488antibodyatadilutionof1:1000andcellsanalyzedusingaFACSCantoflow-cytometer.)

kappa light chains, Monoclonal Recombinant Antibody (Cat# AAA72478)

No reviews yet
Full Name
Anti-Rat antibody kappa light chains [OX-12], Mouse IgG2a, kappa
Reactivity
Rat
Applications
Western Blot, Radioimmunoassay, Immunoprecipitation, Immunohistochemistry, Flow Cytometry, Immunofluorescence
Purity
Protein A affinity purified
Pricing
Mouse Anti-RT1-D Monoclonal Recombinant Antibody – Cat# AAA72480 – WB (Western Blot) WB (Western Blot) (Western Blotusinganti-RT1-DantibodyOX-17(AAA72480) Ratlymphnodelysate(35ugproteininRIPAbuffer)wasresolvedona10%SDSPAGEgelandblotsprobedwiththechimericrabbitIgGversionofOX-17(AAA72480)at2ug/mlbeforedetectionusingananti-rabbitsecondaryantibody.Aprimaryincubationof1hwasusedandproteinwasdetectedbychemiluminescence.TheexpectedrunningsizeforRT1-Dis30.2kDa.)

RT1-D, Monoclonal Recombinant Antibody (Cat# AAA72480)

No reviews yet
Full Name
Anti-RT1-D [OX-17], Mouse IgG1, kappa
Reactivity
Rat
Applications
Flow Cytometry, Immunofluorescence, Immunoprecipitation, Western Blot
Purity
Protein A affinity purified
Pricing
Rabbit Anti-Igkc Monoclonal Recombinant Antibody – Cat# AAA72482 – ELISA ELISA (ELISAusingOX-20(AAA72482),Ab00102-1.1,Ab00102-2.0andAb00104-1.1. BindingcurvesoftherabbitIgGchimericversionoftheAnti-HAantibodyOX-20againstAb00102-1.1(blueline),Ab00102-2.0(orangeline)andAb00104-1.1(greyline)toanELISAplatecoatedwithAb00102-1.1,Ab00102-2.0andAb00104-1.1ataconcentrationof2.5ug/ml.A3-foldserialdilutionfrom3000to0.0169ng/mlwasperformedusingAAA72482antibody.Forsignaldetection,a1:4000dilutionofaHRP-conjugatedanti-rabbitIgGantibodywasused.)

kappa light chain, Monoclonal Recombinant Antibody (Cat# AAA72482)

No reviews yet
Full Name
Anti-Mouse antibody kappa light chain [OX-20], Rabbit IgG, kappa
Gene Names
Igkc; Igk-C
Reactivity
Mouse
Applications
Flow Cytometry, Immunoprecipitation, Western Blot
Purity
Protein A affinity purified
Pricing
Rabbit Anti-CD4 Monoclonal Recombinant Antibody – Cat# AAA72487 – IF (Immunofluorescence) IF (Immunofluorescence) (Immunofluorescencestainingoffixedratsplenocyteswithanti-CD4antibodyOX-68(AAA72487) Immunofluorescenceanalysisofparaformaldehydefixedratsplenocytespermeabilizedwith0.15%TritonandstainedwiththechimericmouseIgG1versionofOX-68(AAA72487)at10ug/mlfor1hfollowedbyAlexaFluor 488secondaryantibody(2ug/ml),showingmembranestaining.ThenuclearstainisDAPI(blue).Panelsshowfromleft-right,top-bottomAAA72487,DAPI,mergedchannelsandanisotypecontrol.Theisotypecontrolwasstainedwithananti-unknownspecificityantibodyfollowedbyAlexaFluor 488secondaryantibody.)

CD4, Monoclonal Recombinant Antibody (Cat# AAA72487)

No reviews yet
Full Name
Anti-CD4 [OX-68], Rabbit IgG, kappa
Gene Names
Cd4; p55; W3/25
Reactivity
Rat
Applications
Immunoprecipitation, Western Blot, Flow Cytometry
Purity
Protein A affinity purified
Pricing
Human Anti-TCRbeta Monoclonal Recombinant Antibody – Cat# AAA72501 – IF (Immunofluorescence) IF (Immunofluorescence) (ImmunofluorescencestainingofJurkatcellswithanti-TCRbeta(AAA72501)IARC307 ImmunofluorescenceanalysisofparaformaldehydefixedJurkatcellsonShi-fixcoverslipsstainedwiththechimericrabbitIgGversionofIARC307(AAA72501)at10ug/mlfor1hfollowedbyAlexaFluor488secondaryantibody(2ug/ml),showingmembranestaining.ThenuclearstainisDAPI(blue).Panelsshowfromleft-right,top-bottomAAA72501,DAPI,mergedchannelsandanisotypecontrol.TheisotypecontrolwasanunknownspecificityantibodyfollowedbystainingwithAlexaFluor488secondaryantibody.)

TCR beta, Monoclonal Recombinant Antibody (Cat# AAA72501)

No reviews yet
Full Name
Anti-TCR beta [IARC307], Human IgM, kappa
Reactivity
human
Applications
Immunofluorescence, Flow Cytometry
Purity
Affinity Purified using a recombinant lectin column
Pricing
Mouse Anti-CD20 Monoclonal Recombinant Antibody – Cat# AAA72506 – IF (Immunofluorescence) IF (Immunofluorescence) (ImmunofluorescencestainingofDaudicellswithanti-CD20antibody1F5(AAA72506). ImmunofluorescenceanalysisofparaformaldehydefixedDaudicellsonShi-fixcoverslipsstainedwiththechimericrabbitIgGversionof1F5(AAA72506)(1:100dilution)for1hfollowedbyAlexaFluor488secondaryantibody(1:1000dilution),showingmembraneandcytoplasmicstaining.ThenuclearstainisDAPI(blue).Panelsshow,fromleft-right,top-bottom,AAA72506,DAPI,mergedchannelsandanisotypecontrol.TheisotypecontrolwasanunknownspecificityantibodyfollowedbystainingwithAlexaFluor488secondaryantibody.)

CD20, Monoclonal Recombinant Antibody (Cat# AAA72506)

No reviews yet
Full Name
Anti-CD20 [1F5], Mouse IgG2a, kappa
Gene Names
MS4A1; B1; S7; Bp35; CD20; CVID5; MS4A2; LEU-16
Reactivity
Human
Purity
Protein A affinity purified
Pricing

What are recombinant antibodies?


Recombinant antibodies are produced in the lab by utilizing a known genetic sequence (an amino acid and nucleotide sequence). This allows for high consistency in how each new lot will perform and how specific they will be for the target, regardless of how many times they are produced/reproduced.


They help solve the problems observed when traditional non-recombinant techniques are utilized, such as changes in cell behavior over time, differences between production batches, and accuracy in complex biological systems.


A powerful feature of recombinant antibodies is that they can also be modified through progressive genetic engineering and subsequent testing in order to make them perform better and/or more reliably.


Applications For Recombinant Antibodies


1. Basic Research


Recombinant antibodies are primarily utilized in laboratory experiments to study the function of various proteins in cells. They are helpful in finding and tracking specific molecules through their use in techniques such as ELISA, Western blotting, immunofluorescence, and flow cytometry.


2. Diagnostics


They are also key components in diagnostic tests used to detect diseases and infections. As recombinant antibodies are produced in a consistent and controlled way, they are able to provide highly reliable results across batches. Though recombinant antibodies are indeed quite useful in diagnostic applications, all of the products listed in AAA Biotech’s also known as AAA Bio or AAABio catalog are strictly for research-use only (RUO).


3. Therapeutics (Medical Treatments)


Please note that all of the products listed in AAA Biotech’s catalog are strictly for research-use only (RUO).


  • Chimeric Antibodies: Commonly used in therapeutic treatment. They combine different pieces of mouse and human antibodies in order to reduce immune reactions.

  • Humanized Antibodies: Modified non-human antibodies that are made to look the same as actual native human antibodies, making them safer and more effective.

  • Antibody Fragments (Fab, scFv, VHH): Smaller pieces of antibody fragments that can reach deep into tissues and tumors. They are useful in cancer treatments and imaging.

  • Bispecific Antibodies: Specially-engineered antibodies that can bind to two different target molecules at once. Each antibody has two “arms” that allow for two places where the target antigen can bind (both “arms” will recognize the same exact epitope). These bispecific antibodies are engineered so that each arm can detect a completely different epitope than the other. Used in many of the treatments for cancer, diabetes, Alzheimer’s disease, and more.

  • Fc-Fusion Proteins: Used as drugs and research tools. They combine parts of antibodies with other proteins to improve stability and effectiveness.


4. Imaging and Detection


Small antibody fragments are also used as imaging agents in medical scans. Their small size helps them reach and report on the status of tumors quickly.


5. Drug Development and Delivery


Recombinant antibodies can also be designed and made to deliver drugs directly to diseased cells, especially in targeted cancer therapy.


6. Immunotherapy


These antibodies can aid the immune system recognize and fight diseases more effectively, which is often their role in cancer treatment.


Please note that all of the products listed in AAA Biotech’s catalog are strictly for research-use only (RUO).


Advantages of Recombinant Antibodies


  • Reliable Results Every Time: Recombinant antibodies are exceptionally consistent from batch to batch. This means researchers can trust that results will remain the same each time they purchase and use them.

  • More Specific and Accurate: Compared to polyclonal antibodies, recombinant antibodies are significantly less likely to exhibit non-specific binding, which promotes more accurate and clearer results.

  • Easier to Develop: Making recombinant antibodies is simpler and quicker than the traditional method of producing monoclonal antibodies via hybridomas.

  • No Genetic Drift: Over time, hybridoma cells can change or become unstable, which can result in the antibodies progressively losing their function/specificity. Recombinant antibodies avoid this problem because they are produced from a fixed template DNA sequence.

  • Truly Monoclonal: Studies have shown that many hybridomas thought to be monoclonal actually are not so, which can lead to, in some cases, unreliable results. Recombinant antibodies are made using precise genetic sequence templates, ensuring they are truly specific to one target.

  • Long-Term Stability and Safety: Since their amino acid and genetic sequences are known and stored, recombinant antibodies can be reproduced at any time with the same quality. This method protects against contamination, genetic changes over time, or even accidental loss/deterioration of cell lines.


Why Buy Recombinant Antibody from AAA Biotech?


  • Highly Validated: The vast majority of our antibodies are thoroughly tested to ensure they work reliably across different applications and experimental platforms.

  • Versatile Applications: Our antibodies can be used in a wide range of research techniques, including (but not limited to) immunocytochemistry (ICC), ELISA, immunofluorescence (IF), immunohistochemistry (IHC), flow cytometry (FC), immunoprecipitation (IP), and Western blotting (WB).

  • Support for Rare Species: We offer antibodies specifically designed for rare or less commonly used laboratory species — something many other suppliers do not provide.

  • Wide Selection of Conjugated and Recombinant Forms: Choose from various labeled (conjugated) options and browse our high-quality recombinant antibodies – we are confident that we will have materials to meet your research needs.


Please note that all of the products listed in AAA Biotech’s catalog are strictly for research-use only (RUO).

FAQ


1. What are recombinant antibodies used for?


Research (e.g., ELISA, Western blot, flow cytometry)
Disease diagnostics
Therapeutic treatments (e.g., cancer, autoimmune diseases)
Medical imaging
Targeted drug delivery
Vaccine development
Please note that all of the products listed in AAA Biotech’s catalog are strictly for research-use only (RUO).


2. What is the difference between traditional and recombinant antibodies?


Traditional antibodies: Produced using animal hosts (hybridomas are typically made from an original animal inoculation), slower, less consistent, risk of genetic drift
Recombinant antibodies: Produced using DNA template sequences via laboratory cell lines, faster, highly consistent, animal-free, easily customizable


3. What are antibodies used to treat?


Please note that all of the products listed in AAA Biotech’s catalog are strictly for research-use only (RUO).
Antibodies are proteins that your body makes to protect you from infections, allergies, and other potentially harmful substances. Scientists have used the intrinsic properties of antibodies to develop them into tools for scientific advancement, and can now create special lab-grown antibodies that aid in the treatment of diseases such as cancer, heart-related issues, and arthritis.


4. Why do we need recombinant proteins?


Recombinant proteins are lab-made proteins that have become essential in the advancement of science and medicine. They’re used in the lab for innumerable purposes, such as to help grow and support cells, especially for tasks like expanding cell colonies, helping them develop into other types, or turning them into stem cells.


Submit a Question

Please complete the form below and a representative will contact you as soon as possible.

Request more Information

Please complete the form below and a representative will contact you as soon as possible.

Request a Manual

Please complete the form below and a representative will contact you as soon as possible.

Request a Quote

Please complete the form below and a representative will contact you as soon as possible.