Loading...

Skip to main content
Call us at +1-800-604-9114 for more information about our products or contact us online Need help? +1-800-604-9114 or contact us

Filters


Clonality

Type

Reactivity

Gene Name

Isotype

Host

Application

Clone

Recombinant Antibodies

Also available for purchase in our catalog, we have flexible recombinant antibodies that are excellent tools in many different types of experiments, and well-suited for those that are large-scale or long-term. Our collection of recombinant antibodies includes different forms/formats of said antibodies, such as labeled or purified versions, and can be made utilizing different species’ isotypes to suit various experimental requirements.


Viewing 2700-2750 of 2821 product results


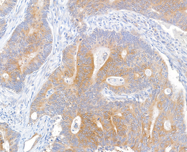
product-image-AAA243814_IHC11.jpg IHC (Immunohistochemisry) (IHC image diluted at 1:100 and staining in paraffin-embedded human lung cancer performed on a Leica BondTM system. After dewaxing and hydration, antigen retrieval was mediated by high pressure in a citrate buffer (pH 6.0). Section was blocked with 10% normal goat serum 30min at RT. Then primary antibody (1% BSA) was incubated at 4 degree C overnight. The primary is detected by a Goat anti-rabbit IgG polymer labeled by HRP and visualized using 0.05% DAB.)

PARP1, Monoclonal Recombinant Antibody (Cat# AAA243814)

No reviews yet
Full Name
PARP1 Antibody
Gene Names
PARP1; PARP; PPOL; ADPRT; ARTD1; ADPRT1; PARP-1; ADPRT 1; pADPRT-1
Reactivity
Human
Applications
Immunohistochemistry, Western Blot
Purity
Affinity-chromatography
Pricing
product-image-AAA243822_IHC13.jpg IHC (Immunohiostchemistry) (IHC image diluted at 1:100 and staining in paraffin-embedded human kidney tissue performed on a Leica BondTM system. After dewaxing and hydration, antigen retrieval was mediated by high pressure in a citrate buffer (pH 6.0). Section was blocked with 10% normal goat serum 30min at RT. Then primary antibody (1% BSA) was incubated at 4 degree C overnight. The primary is detected by a Goat anti-rabbit IgG polymer labeled by HRP and visualized using 0.05% DAB.)

GSTP1, Monoclonal Recombinant Antibody (Cat# AAA243822)

No reviews yet
Full Name
GSTP1 Antibody
Gene Names
GSTP1; PI; DFN7; GST3; GSTP; FAEES3
Reactivity
Human, Mouse, Rat
Applications
Immunohistochemistry, Western Blot
Purity
Affinity-chromatography
Pricing
product-image-AAA243995_FCM13.jpg FCM/FACS (Flow Cytometry) (Overlay histogram showing Jurkat cells stained with (red line) at 1?50. The cells were fixed with 70% Ethylalcohol (18h) and then incubated in 10% normal goat serum to block non-specific protein-protein interactions followedby the antibody (1ug/1*106cells) for 1 h at 4?.The secondary antibody used was FITC-conjugated goat anti-rabbit IgG (H+L) at 1/200 dilution for 30min at 4?. Control antibody (green line) was Rabbit IgG (1ug/1*106cells) used under the same conditions. Acquisition of >10,000 events was performed.)

NR3C1, Monoclonal Recombinant Antibody (Cat# AAA243995)

No reviews yet
Full Name
NR3C1 Antibody
Gene Names
NR3C1; GR; GCR; GRL; GCCR
Reactivity
Human
Applications
Flow Cytometry, Western Blot
Purity
Affinity-chromatography
Pricing
product-image-AAA244005_IF13.jpg IF (Immunofluorescence) (Immunofluorescence staining of HepG2 Cells at 1?50, counter-stained with DAPI. The cells were fixed in 4% formaldehyde, permeated by 0.2% TritonX-100, and blocked in 10% normal Goat Serum. The cells were then incubated with the antibody overnight at 4 degree C. Nuclear DNA was labeled in blue with DAPI. The secondary antibody was FITC-conjugated AffiniPure Goat Anti-Rabbit IgG ?H+L?.)

MYBBP1A, Monoclonal Recombinant Antibody (Cat# AAA244005)

No reviews yet
Full Name
MYBBP1A Antibody
Gene Names
MYBBP1A; P160; PAP2
Reactivity
Human
Applications
Immunofluorescence, Immunohistochemistry
Purity
Affinity-chromatography
Pricing
product-image-AAA244019_IF13.jpg IF (Immunofluorescence) (Immunofluorescence staining of Hela Cells at 1?50, counter-stained with DAPI. The cells were fixed in 4% formaldehyde, permeated by 0.2% TritonX-100, and blocked in 10% normal Goat Serum. The cells were then incubated with the antibody overnight at 4 degree C. Nuclear DNA was labeled in blue with DAPI. The secondary antibody was FITC-conjugated AffiniPure Goat Anti-Rabbit IgG ?H+L?.)

APP, Monoclonal Recombinant Antibody (Cat# AAA244019)

No reviews yet
Full Name
APP Antibody
Gene Names
APP; AAA; AD1; PN2; ABPP; APPI; CVAP; ABETA; PN-II; CTFgamma
Reactivity
Human, Mouse, Rat
Applications
Immunofluorescence, Western Blot
Purity
Affinity-chromatography
Pricing
product-image-AAA72552_FCM13.png FCM/FACS (Flow Cytometry) (Flowcytrometryusinganti-IL-18antibodyABT-325(AAA72552). Humanbloodleucocyteswererestedfor4hat37°C,fixedwith2%PFA,permeabilizedwith0.5%Triton,andstainedwiththeanti-unknownspecificityantibodyortherabbitIgGversionofABT-325(AAA72552,left)atadilutionof1:100overnightat4°C.Afterwashing,theboundantibodywasdetectedusingagoatanti-rabbitIgGAlexaFluor488antibodyatadilutionof1:1000,andthecellswereanalyzedusingaFACSCantoflow-cytometer.)

IL-18, Monoclonal Recombinant Antibody (Cat# AAA72552)

No reviews yet
Full Name
Anti-IL-18 [ABT-325 (A-794722.0; 2.5(E))], Rabbit IgG, kappa
Gene Names
IL18; IGIF; IL-18; IL-1g; IL1F4
Reactivity
Human, cynomolgus monkey
Applications
Flow Cytometry, Immunoprecipitation
Purity
Protein A affinity purified
Pricing
product-image-AAA120735_SDS_PAGE13.jpg SDS-PAGE (Research Grade SDS PAGE for RSV F/Fusion glycoprotein F0 (hRSV90))

F/Fusion glycoprotein F0, Monoclonal Recombinant Antibody (Cat# AAA120735)

No reviews yet
Full Name
Research Grade Anti-RSV F/Fusion glycoprotein F0 (hRSV90)
Reactivity
Human respiratory syncytial virus A (strain A2)
Purity
>95% as determined by SDS-PAGE.
Protein A/G purified from cell culture supernatant.
Pricing
product-image-AAA120724_SDS_PAGE13.jpg SDS-PAGE (SDS PAGE for Human TNFSF15/TL1A antibody)

TNFSF15/TL1A, Monoclonal Recombinant Antibody (Cat# AAA120724)

No reviews yet
Full Name
Research Grade Anti-Human TNFSF15/TL1A (PRA023)
Gene Names
TNFSF15; TL1; TL1A; VEGI; VEGI192A
Reactivity
Human
Purity
>95% as determined by SDS-PAGE.
Protein A/G purified from cell culture supernatant.
Pricing
product-image-AAA210713_WB10.jpg WB (Western Blot) (Detection of Myc-tagged protein by western blot of lysate from non-transfected human HEK293 cells, HEK293 transfected with Met-Myc-IDO1, HEK293 transfected with IDO1-Myc (C-terminal Tag), and HEK293 transfected with IDO1-Myc-HIS (Internal Tag). Antibody: Rabbit anti-Myc Tag recombinant monoclonal antibody (AAA210713 lot 1) used at 1:1000. Secondary: HRP-conjugated goat anti-rabbit IgG . Detection: Chemiluminescence with an exposure time of 3 seconds.)

Myc Tag, Monoclonal Recombinant Antibody (Cat# AAA210713)

No reviews yet
Full Name
Rabbit anti-Myc Tag Recombinant Monoclonal Antibody [BLRE01G]
Applications
Immunocytochemistry, Immunoprecipitation, Western Blot
Purity
Purified
Pricing
product-image-AAA213502_IHC8.jpg IHC (Immunohistochemistry) (Detection of human CD68 by immunohistochemistry. Sample: FFPE section of human tonsil. Antibody: Mouse monoclonal anti-CD68 antibody [KP-1] (AAA213502) used at 1:100. Secondary: DyLight 594-conjugated goat anti-mouse IgG .)

CD68, Monoclonal Recombinant Antibody (Cat# AAA213502)

No reviews yet
Full Name
Mouse anti-CD68 Recombinant Monoclonal Antibody, Purified [KP-1]
Gene Names
CD68; GP110; LAMP4; SCARD1
Reactivity
Human
Applications
Flow Cytometry, Immunohistochemistry, Immunohistochemistry
Purity
Purified
Pricing
product-image-AAA213530_WB8.jpg WB (Western Blot) (Detection of human HIF1-alpha by western blot of HeLa and Hep-G2 cell lysate treated with 200 uM CoCl2 (+) or mock treated (-). Antibody: Rabbit anti-HIF1-alpha recombinant monoclonal antibody [BL-124-3F7] (AAA213530 lot 3) used at 1:1000. Secondary: HRP-conjugated goat anti-rabbit IgG . Detection: Chemiluminescence with an exposure time of 30 seconds. Lower Panel: Rabbit anti-COPB2 antibody .)

HIF1-alpha, Monoclonal Recombinant Antibody (Cat# AAA213530)

No reviews yet
Full Name
Rabbit anti-HIF1-alpha Recombinant Monoclonal Antibody [BL-124-3F7]
Gene Names
HIF1A; HIF1; MOP1; PASD8; HIF-1A; bHLHe78; HIF-1alpha; HIF1-ALPHA; HIF-1-alpha
Reactivity
Human
Applications
Chromatin immunoprecipitation, Immunocytochemistry, Immunohistochemistry, Immunoprecipitation, Western Blot
Purity
Purified
Pricing
product-image-AAA213533_WB8.jpg WB (Western Blot) (Detection of human Phospho-RPA32 (S4/8) by western blot. Samples: Whole cell lysate (50 ug) from HeLa cells prepared using NETN lysis buffer. Antibody: Rabbit anti-Phospho-RPA32 (S4/8) recombinant monoclonal antibody [BL-165-5F1] (AAA213533 lot 3) used at 1:1000. Secondary: HRP-conjugated goat anti-rabbit IgG . Detection: Chemiluminescence with an exposure time of 10 seconds. Lower Panel: Rabbit anti-Actin antibody .)

RPA32, Monoclonal Recombinant Antibody (Cat# AAA213533)

No reviews yet
Full Name
Rabbit anti-Phospho RPA32 (S4/S8) Recombinant Monoclonal Antibody [BL-165-5F1]
Gene Names
RPA2; REPA2; RPA32
Reactivity
Human
Applications
Flow Cytometry, Immunocytochemistry, Immunocytochemistry, Immunoprecipitation, Western Blot
Purity
Purified
Pricing
product-image-AAA213535_WB10.jpg WB (Western Blot) (Detection of human CD4 by western blot. Samples: Whole cell lysate (10 ug) from U-937, HEK293T, MOLT-4, HeLa, and Jurkat cells prepared using NETN lysis buffer. Antibody: Rabbit anti-CD4 recombinant monoclonal antibody [BL-155-1C11] (AAA213535 lot 2) used at 1:1000. Secondary: HRP-conjugated goat anti-rabbit IgG . Detection: Chemiluminescence with an exposure time of 75 seconds. Lower Panel: Rabbit anti-Actin recombinant monoclonal antibody .)

CD4, Monoclonal Recombinant Antibody (Cat# AAA213535)

No reviews yet
Full Name
Rabbit anti-CD4 Recombinant Monoclonal Antibody [BL-155-1C11]
Gene Names
CD4; CD4mut
Reactivity
Human
Applications
Multipleximmunofluorescence, Flow Cytometry, Immunohistochemistry, Immunoprecipitation, Western Blot
Purity
Purified
Pricing
product-image-AAA213542_WB8.jpg WB (Western Blot) (Detection of human IRF1 by western blot. Samples: Whole cell lysate (10 ug) from HeLa treated with interferon gamma, HeLa, MOLT-4, MCF-7, and RPMI-8226 cells prepared using NETN lysis buffer. Antibody: Rabbit anti-IRF1 recombinant monoclonal antibody [BL-418-3E8] (AAA213542A lot 2) used at 1:1000. Secondary: HRP-conjugated goat anti-rabbit IgG . Detection: Chemiluminescence with an exposure time of 10 seconds. Lower Panel: Rabbit anti-Actin recombinant monoclonal antibody .)

IRF1, Monoclonal Recombinant Antibody (Cat# AAA213542)

No reviews yet
Full Name
Rabbit anti-IRF1 Recombinant Monoclonal Antibody [BLR039F]
Gene Names
IRF1; MAR; IRF-1
Reactivity
Human
Applications
Flow Cytometry, Immunocytochemistry, Immunohistochemistry, Immunoprecipitation, Western Blot
Purity
Purified
Pricing
product-image-AAA213556_WB11.jpg WB (Western Blot) (Detection of human CD33 by western blot. Samples: Whole cell lysate (50 ug) from HEL 92.1.7, Jurkat, My-La CD4+, HEK293T, HeLa, and THP-1 cells prepared using NETN lysis buffer. Antibody: Rabbit anti-CD33 recombinant monoclonal antibody (AAA213556 lot 1) used at 1:1000. Secondary: HRP-conjugated goat anti-rabbit IgG . Detection: Chemiluminescence with an exposure time of 30 seconds. Lower Panel: Rabbit anti-GAPDH .)

CD33, Monoclonal Recombinant Antibody (Cat# AAA213556)

No reviews yet
Full Name
Rabbit anti-CD33 Recombinant Monoclonal Antibody [BLR061G]
Gene Names
CD33; p67; SIGLEC3; FLJ00391; SIGLEC-3
Reactivity
Human
Applications
Immunohistochemistry, Immunoprecipitation, Western Blot
Purity
Purified
Pricing
product-image-AAA213557_WB8.jpg WB (Western Blot) (Detection of human DNAM-1/CD226 by western blot. Samples: Whole cell lysate (10 ug) from SUP-M2, HEK293T, HH, HeLa, and Jurkat cells prepared using NETN lysis buffer. Antibody: Rabbit anti-DNAM-1/CD226 recombinant monoclonal antibody [BL-1060-1D2] (AAA213557 lot 3) used at 1:1000. Secondary: HRP-conjugated goat anti-rabbit IgG . Detection: Chemiluminescence with an exposure time of 10 seconds. Lower Panel: Rabbit anti-Actin recombinant monoclonal antibody .)

DNAM-1/CD226, Monoclonal Recombinant Antibody (Cat# AAA213557)

No reviews yet
Full Name
Rabbit anti-DNAM-1/CD226 Recombinant Monoclonal Antibody [BLR063G]
Gene Names
CD226; PTA1; DNAM1; DNAM-1; TLiSA1
Reactivity
Human
Applications
Immunocytochemistry, Immunohistochemistry, Immunoprecipitation, Western Blot
Purity
Purified
Pricing
product-image-AAA213568_IHC11.jpg IHC (Immunohistochemisry) (Detection of human CD163 in FFPE liver carcinoma by IHC. Antibody: Rabbit anti-CD163 recombinant monoclonal antibody (AAA213568 lot 1). Secondary: HRP-conjugated goat anti-rabbit IgG . Substrate: DAB.)

CD163, Monoclonal Recombinant Antibody (Cat# AAA213568)

No reviews yet
Full Name
Rabbit anti-CD163 Recombinant Monoclonal Antibody [BLR087G]
Gene Names
CD163; M130; MM130
Reactivity
Human
Applications
Immunohistochemistry
Purity
Purified
Pricing
product-image-AAA213653_WB11.jpg WB (Western Blot) (Detection of mouse CD80 by western blot. Samples: Whole cell lysate (50 ug) from C2C12, NIH 3T3, CH27, TCMK-1, and CT26 cells prepared using NETN lysis buffer. Antibody: Rabbit anti-CD80 recombinant monoclonal antibody (AAA213653 lot 1) used at 1:1000. Secondary: HRP-conjugated goat anti-rabbit IgG . Detection: Chemiluminescence with an exposure time of 3 minutes. Lower Panel: Rabbit anti-Actin recombinant monoclonal antibody .)

CD80, Monoclonal Recombinant Antibody (Cat# AAA213653)

No reviews yet
Full Name
Rabbit anti-CD80 Recombinant Monoclonal Antibody [BLR237K]
Gene Names
Cd80; B71; Ly53; TSA1; Cd28l; Ly-53; MIC17
Reactivity
Mouse
Applications
Flow Cytometry, Immunocytochemistry, Western Blot
Purity
Purified
Pricing
product-image-AAA213655_WB8.jpg WB (Western Blot) (Detection of mouse VE-Cadherin by western blot. Samples: Whole cell lysate (2 ug) from NIH 3T3, CT26, bEnd.3, TCMK-1, and BW5147.3 cells prepared using NETN lysis buffer. Antibody: Rabbit anti-VE-Cadherin recombinant monoclonal antibody (AAA213655 lot 1) used at 1:1000. Secondary: HRP-conjugated goat anti-rabbit IgG . Detection: Chemiluminescence with an exposure time of 3 seconds. Lower Panel: Rabbit anti-Actin recombinant monoclonal antibody .)

VE-Cadherin, Monoclonal Recombinant Antibody (Cat# AAA213655)

No reviews yet
Full Name
Rabbit anti-VE-Cadherin Recombinant Monoclonal Antibody [BLR239K]
Gene Names
Cdh5; 7B4; Vec; VECD; Cd144; VEcad; VE-Cad; AA408225
Reactivity
Mouse
Applications
Immunocytochemistry, Immunohistochemistry, Immunoprecipitation, Western Blot
Purity
Purified
Pricing
product-image-AAA213664_WB13.jpg WB (Western Blot) (Detection of human EGFR by western blot. Samples: Whole cell lysate (50 ug) from GaMG, HeLa, OVCAR-8, MCF-7, and A-549 cells prepared using NETN lysis buffer. Antibody: Rabbit anti-EGFR recombinant monoclonal antibody (AAA213664 lot 1) used at 1:1000. Secondary: HRP-conjugated goat anti-rabbit IgG . Detection: Chemiluminescence with an exposure time of 1 second. Lower Panel: Rabbit anti-Actin recombinant monoclonal antibody .)

EGFR, Monoclonal Recombinant Antibody (Cat# AAA213664)

No reviews yet
Full Name
Rabbit anti-EGFR Recombinant Monoclonal Antibody [BLR251L]
Gene Names
EGFR; ERBB; HER1; mENA; ERBB1; PIG61; NISBD2
Reactivity
Human
Applications
Immunocytochemistry, Immunohistochemistry, Immunoprecipitation, Western Blot
Purity
Purified
Pricing
product-image-AAA213665_WB8.jpg WB (Western Blot) (Detection of mouse EGFR by western blot. Samples: Whole cell lysate (10 ug) from AML12, NIH 3T3, and mIMCD-3 cells prepared using NETN lysis buffer. Antibody: Rabbit anti-EGFR recombinant monoclonal antibody (AAA213665 lot 1) used at 1:1000. Secondary: HRP-conjugated goat anti-rabbit IgG . Detection: Chemiluminescence with an exposure time of 30 seconds. Lower Panel: Rabbit anti-Actin recombinant monoclonal antibody .)

EGFR, Monoclonal Recombinant Antibody (Cat# AAA213665)

No reviews yet
Full Name
Rabbit anti-EGFR Recombinant Monoclonal Antibody [BLR252L]
Gene Names
EGFR; ERBB; HER1; mENA; ERBB1; PIG61
Reactivity
Human, Mouse
Applications
Flow Cytometry, Immunocytochemistry, Immunohistochemistry, Immunoprecipitation, Western Blot
Purity
Purified
Pricing
product-image-AAA213668_WB11.jpg WB (Western Blot) (Detection of mouse CD86 by western blot. Samples: Whole cell lysate (10 ug) from A20, CH27, WEHI-231, J774A1, and Ba/F3 cells prepared using NETN lysis buffer. Antibody: Rabbit anti-CD86 recombinant monoclonal antibody (AAA213668 lot 1) used at 1:1000. Secondary: HRP-conjugated goat anti-rabbit IgG . Detection: Chemiluminescence with an exposure time of 30 seconds. Lower Panel: Rabbit anti-Actin recombinant monoclonal antibody .)

CD86, Monoclonal Recombinant Antibody (Cat# AAA213668)

No reviews yet
Full Name
Rabbit anti-CD86 Recombinant Monoclonal Antibody [BLR255L]
Gene Names
Cd86; B7; B70; MB7; B7-2; B7.2; CLS1; Ly58; ETC-1; Ly-58; MB7-2; Cd28l2; TS/A-2
Reactivity
Mouse
Applications
Flow Cytometry, Immunocytochemistry, Immunoprecipitation, Western Blot
Purity
Purified
Pricing
product-image-AAA213669_WB13.jpg WB (Western Blot) (Detection of human GLI1 by western blot. Samples: Whole cell lysate (50 ug) from Hep-G2, PC-3, RMS-13, MCF-7, and TOV-112D cells prepared using NETN lysis buffer. Antibody: Rabbit anti-GLI1 recombinant monoclonal antibody (AAA213669 lot 1) used at 1:1000. Secondary: HRP-conjugated goat anti-rabbit IgG . Detection: Chemiluminescence with an exposure time of 30 seconds. Lower Panel: Rabbit anti-COPB2 antibody .)

GLI1, Monoclonal Recombinant Antibody (Cat# AAA213669)

No reviews yet
Full Name
Rabbit anti-GLI1 Recombinant Monoclonal Antibody [BLR256L]
Gene Names
GLI1; GLI
Reactivity
Human
Applications
Immunoprecipitation, Western Blot
Purity
Purified
Pricing
product-image-AAA213677_WB13.jpg WB (Western Blot) (Detection of human INSM1 by western blot. Samples: Whole cell lysate (25 ug) from HEK293T, NCI-H1155, HeLa, SHP-77, and Jurkat cells prepared using NETN lysis buffer. Antibody: Rabbit anti-INSM1 recombinant monoclonal antibody (AAA213677 lot 1) used at 1:1000. Secondary: HRP-conjugated goat anti-rabbit IgG . Detection: Chemiluminescence with an exposure time of 10 seconds. Lower Panel: Rabbit anti-Actin recombinant monoclonal antibody .)

INSM1, Monoclonal Recombinant Antibody (Cat# AAA213677)

No reviews yet
Full Name
Rabbit anti-INSM1 Recombinant Monoclonal Antibody [BLR272L]
Gene Names
INSM1; IA1; IA-1
Reactivity
Human, Mouse
Applications
Immunocytochemistry, Immunohistochemistry, Western Blot
Purity
Purified
Pricing
product-image-AAA213679_WB10.jpg WB (Western Blot) (Detection of human PD-L2 by western blot. Samples: Whole cell lysate (50 ug) from MDA-MB-231, Jurkat, HDLM-2 (10 ug), HEK293T, and NCI-H226 cells prepared using NETN lysis buffer. Antibody: Rabbit anti-PD-L2 recombinant monoclonal antibody (AAA213679 lot 1) used at 1:1000. Secondary: HRP-conjugated goat anti-rabbit IgG . Detection: Chemiluminescence with an exposure time of 30 seconds.)

PD-L2, Monoclonal Recombinant Antibody (Cat# AAA213679)

No reviews yet
Full Name
Rabbit anti-PD-L2 Recombinant Monoclonal Antibody [BLR277L]
Gene Names
PDCD1LG2; B7DC; Btdc; PDL2; CD273; PD-L2; PDCD1L2; bA574F11.2
Reactivity
Human
Applications
Immunocytochemistry, Immunohistochemistry, Immunoprecipitation, Western Blot
Purity
Purified
Pricing
product-image-AAA213686_WB11.jpg WB (Western Blot) (Detection of human CD48 by western blot. Samples: Whole cell lysate (10 ug) from Raji, Jurkat, Ramos, CAL-27, and NK-92 cells prepared using NETN lysis buffer. Antibody: Rabbit anti-CD48 recombinant monoclonal antibody (AAA213686 lot 1) used at 1:1000. Secondary: HRP-conjugated goat anti-rabbit IgG . Detection: Chemiluminescence with an exposure time of 75 seconds. Lower Panel: Rabbit anti-Actin recombinant monoclonal antibody .)

CD48, Monoclonal Recombinant Antibody (Cat# AAA213686)

No reviews yet
Full Name
Rabbit anti-CD48 Recombinant Monoclonal Antibody [BLR286L]
Gene Names
CD48; BCM1; BLAST; hCD48; mCD48; BLAST1; SLAMF2; MEM-102
Reactivity
Human
Applications
Flow Cytometry, Immunoprecipitation, Western Blot
Purity
Purified
Pricing
product-image-AAA213703_WB8.jpg WB (Western Blot) (Detection of human Nectin-3 by western blot. Samples: Whole cell lysate (50 ug) from U2OS, HeLa, MCF-7, HEK293T, and HCT 116 cells prepared using NETN lysis buffer. Antibody: Rabbit anti-Nectin-3 recombinant monoclonal antibody (AAA213703 lot 1) used at 1:1000. Secondary: HRP-conjugated goat anti-rabbit IgG . Detection: Chemiluminescence with an exposure time of 30 seconds. Lower Panel: Rabbit anti-Actin recombinant monoclonal antibody .)

Nectin-3, Monoclonal Recombinant Antibody (Cat# AAA213703)

No reviews yet
Full Name
Rabbit anti-Nectin-3 Recombinant Monoclonal Antibody [BLR307M]
Gene Names
PVRL3; PPR3; PRR3; CD113; PVRR3; CDW113; NECTIN-3
Reactivity
Human
Applications
Flow Cytometry, Immunocytochemistry, Immunoprecipitation, Western Blot
Purity
Purified
Pricing
product-image-AAA213705_WB13.jpg WB (Western Blot) (Detection of human NCR1/NKp46 by western blot. Samples: Whole cell lysate (50 ug) from SU-DHL-1, SUP-M2, and NK-92 cells prepared using NETN lysis buffer. Antibody: Rabbit anti-NCR1/NKp46 recombinant monoclonal antibody (AAA213705 lot 1) used at 1:1000. Secondary: HRP-conjugated goat anti-rabbit IgG . Detection: Chemiluminescence with an exposure time of 3 minutes.)

NCR1/NKp46, Monoclonal Recombinant Antibody (Cat# AAA213705)

No reviews yet
Full Name
Rabbit anti-NCR1/NKp46 Recombinant Monoclonal Antibody [BLR309M]
Gene Names
NCR1; LY94; CD335; NKP46; NK-p46
Reactivity
Human
Applications
Immunoprecipitation, Western Blot
Purity
Purified
Pricing
product-image-AAA213709_WB11.jpg WB (Western Blot) (Detection of human IL-12B by western blot. Samples: Human recombinant IL-12B protein (0.01 ug). Antibody: Rabbit anti-IL-12B recombinant monoclonal antibody (AAA213709 lot 1) used at 1:1000. Secondary: HRP-conjugated goat anti-rabbit IgG . Detection: Chemiluminescence with an exposure time of 1 second.)

IL-12B, Monoclonal Recombinant Antibody (Cat# AAA213709)

No reviews yet
Full Name
Rabbit anti-IL-12B Recombinant Monoclonal Antibody [BLR322M]
Gene Names
IL12B; CLMF; NKSF; CLMF2; NKSF2; IL-12B
Reactivity
Human
Applications
Immunoprecipitation, Western Blot
Purity
Purified
Pricing
product-image-AAA213586_WB10.jpg WB (Western Blot) (Detection of human ZEB2/SIP by western blot. Samples: Whole cell lysate (50 ug) from Hep-G2, MDA-MB-435, HeLa, MOLT-4, HEK293T, RKO, UACC-257, and Jurkat cells prepared using NETN lysis buffer. Antibody: Rabbit anti-ZEB2 recombinant monoclonal antibody (AAA213586 lot 1) used at 1:1000. Secondary: HRP-conjugated goat anti-rabbit IgG . Detection: Chemiluminescence with an exposure time of 3 minutes. Lower Panel: Rabbit anti-COPB2 .)

ZEB2/SIP, Monoclonal Recombinant Antibody (Cat# AAA213586)

No reviews yet
Full Name
Rabbit anti-ZEB2/SIP Recombinant Monoclonal Antibody [BLR115H]
Gene Names
ZEB2; SIP1; SIP-1; ZFHX1B; HSPC082; SMADIP1
Reactivity
Human
Applications
Immunocytochemistry, Immunohistochemistry, Immunoprecipitation, Western Blot
Purity
Purified
Pricing
product-image-AAA213588_WB8.jpg WB (Western Blot) (Detection of human MSH6 by western blot. Samples: Whole cell lysate (10 ug) from MOLT-4, GaMG, A-549, MCF-7, HeLa, RKO, and HEK293T cells prepared using NETN lysis buffer. Antibody: Rabbit anti-MSH6 recombinant monoclonal antibody (AAA213588 Lot 1) used at 1:1000. Secondary: HRP-conjugated goat anti-rabbit IgG . Detection: Chemiluminescence with an exposure time of 10 seconds.)

MSH6, Monoclonal Recombinant Antibody (Cat# AAA213588)

No reviews yet
Full Name
Rabbit anti-MSH6 Recombinant Monoclonal Antibody [BLR117H]
Gene Names
MSH6; GTBP; HSAP; p160; GTMBP; HNPCC5
Reactivity
Human
Applications
Flow Cytometry, Immunocytochemistry, Immunohistochemistry, Immunoprecipitation, Western Blot
Purity
Purified
Pricing
product-image-AAA213596_WB10.jpg WB (Western Blot) (Detection of human MACC1 by western blot. Samples: Whole cell lysate (10 ug) from SW620, HT-29, K-562, HeLa, KM12, MCF-7, HCT 116, and DLD-1 cells prepared using NETN lysis buffer. Antibody: Rabbit anti-MACC1 recombinant monoclonal antibody (AAA213596 Lot 1) used at 1:1000. Secondary: HRP-conjugated goat anti-rabbit IgG . Detection: Chemiluminescence with an exposure time of 10 seconds. Lower Panel: Rabbit anti-COPB2 antibody .)

MACC1, Monoclonal Recombinant Antibody (Cat# AAA213596)

No reviews yet
Full Name
Rabbit anti-MACC1 Recombinant Monoclonal Antibody [BLR135H]
Gene Names
MACC1; 7A5; SH3BP4L
Reactivity
Human
Applications
Immunocytochemistry, Immunohistochemistry, Immunoprecipitation, Western Blot
Purity
Purified
Pricing
product-image-AAA213597_WB13.jpg WB (Western Blot) (Detection of human EphA2 by western blot. Samples: Whole cell lysate (10 ug) from A-549, U2OS, OVCAR-8, HEK293T, Hep-G2, GaMG, MCF-7, and HeLa cells prepared using NETN lysis buffer. Antibody: Rabbit anti-EphA2 recombinant monoclonal antibody (AAA213597 lot 1) used at 1:1000. Secondary: HRP-conjugated goat anti-rabbit IgG . Detection: Chemiluminescence with an exposure time of 3 minutes.)

EphA2, Monoclonal Recombinant Antibody (Cat# AAA213597)

No reviews yet
Full Name
Rabbit anti-EphA2 Recombinant Monoclonal Antibody [BLR136H]
Gene Names
EPHA2; ECK; CTPA; ARCC2; CTPP1; CTRCT6
Reactivity
Human
Applications
Immunoprecipitation, Western Blot
Purity
Purified
Pricing
product-image-AAA213604_WB8.jpg WB (Western Blot) (Detection of human Bcl6 by western blot. Samples: Whole cell lysate (5 ug) from Ramos, Daudi, Raji, HEK293T, and HeLa cells prepared using NETN lysis buffer. Antibody: Rabbit anti-Bcl6 recombinant monoclonal antibody (AAA213604 Lot 1) used at 1:1000. Secondary: HRP-conjugated goat anti-rabbit IgG . Detection: Chemiluminescence with an exposure time of 30 seconds. Lower Panel: Rabbit anti-COPB2 antibody .)

Bcl6, Monoclonal Recombinant Antibody (Cat# AAA213604)

No reviews yet
Full Name
Rabbit anti-Bcl6 Recombinant Monoclonal Antibody [BLR143H]
Gene Names
BCL6; BCL5; LAZ3; BCL6A; ZNF51; ZBTB27
Reactivity
Human
Applications
Flow Cytometry, Immunocytochemistry, Immunohistochemistry, Immunoprecipitation, Western Blot
Purity
Purified
Pricing
product-image-AAA213607_WB13.jpg WB (Western Blot) (Detection of human 4-1BBL/CD137L/TNFSF9 by western blot. Samples: Whole cell lysate (25 ug) from HEK293T, Jurkat, Raji, NCI-H460, and HeLa cells prepared using NETN lysis buffer. Antibody: Rabbit anti-4-1BBL/CD137L/TNFSF9 recombinant monoclonal antibody (AAA213607 lot 1) used at 1:1000. Secondary: HRP-conjugated goat anti-rabbit IgG . Detection: Chemiluminescence with an exposure time of 3 minutes. Lower Panel: Rabbit anti-COPB2 antibody .)

4-1BBL/CD137L/TNFSF9, Monoclonal Recombinant Antibody (Cat# AAA213607)

No reviews yet
Full Name
Rabbit anti-4-1BBL/CD137L/TNFSF9 Recombinant Monoclonal Antibody [BLR148J]
Gene Names
TNFSF9; CD137L; 4-1BB-L
Reactivity
Human
Applications
Flow Cytometry, Western Blot
Purity
Purified
Pricing
product-image-AAA213608_WB10.jpg WB (Western Blot) (Detection of human Fibroblast Activation Protein alpha/FAP by western blot. Samples: Whole cell lysate (50 ug) from SNB-75, HeLa, IMR-90, HEK293T, and U2OS cells prepared using NETN lysis buffer. Antibody: Rabbit anti-FAP recombinant monoclonal antibody (AAA213608 lot 1) used at 1:1000. Secondary: HRP-conjugated goat anti-rabbit IgG . Detection: Chemiluminescence with an exposure time of 30 seconds. Lower Panel: Rabbit anti-COPB2 antibody .)

Fibroblast Activation Protein alpha/FAP, Monoclonal Recombinant Antibody (Cat# AAA213608)

No reviews yet
Full Name
Rabbit anti-Fibroblast Activation Protein alpha/FAP Recombinant Monoclonal Antibody [BLR150J]
Gene Names
FAP; FAPA; DPPIV
Reactivity
Human
Applications
Immunocytochemistry, Immunohistochemistry, Immunoprecipitation, Western Blot
Purity
Purified
Pricing
product-image-AAA213611_WB11.jpg WB (Western Blot) (Detection of human CD8 alpha by western blot. Samples: Whole cell lysate CD4+ T-cells, CD8+ T-cells, RPMI-8226, Jurkat, and C5/MJ cells. Antibody: Rabbit anti-CD8 alpha recombinant monoclonal antibody (AAA213611 lot 1) used at 1:1000. Secondary: HRP-conjugated goat anti-rabbit IgG . Detection: Chemiluminescence with an exposure time of 10 seconds. Lower Panel: Rabbit anti-CD3e recombinant monoclonal antibody [BL-298-5D12] and Rabbit anti-CD4 recombinant monoclonal antibody [BL-155-1C11] .)

CD8 alpha, Monoclonal Recombinant Antibody (Cat# AAA213611)

No reviews yet
Full Name
Rabbit anti-CD8 alpha Recombinant Monoclonal Antibody [BLR154J]
Reactivity
Human
Applications
Flow Cytometry, Immunohistochemistry, Western Blot
Purity
Purified
Pricing
product-image-AAA213612_WB8.jpg WB (Western Blot) (Detection of human Tyrosine Hydroxylase by western blot. Samples: Whole cell lysate (10 ug) from HEK293T, SK-N-SH, SK-N-BE(2), Jurkat, and SK-N-MC cells prepared using NETN lysis buffer. Antibody: Rabbit anti-Tyrosine Hydroxylase recombinant monoclonal antibody (AAA213612 lot 1) used at 1:1000. Secondary: HRP-conjugated goat anti-rabbit IgG . Detection: Chemiluminescence with an exposure time of 30 seconds. Lower Panel: Rabbit anti-COPB2 antibody .)

Tyrosine Hydroxylase, Monoclonal Recombinant Antibody (Cat# AAA213612)

No reviews yet
Full Name
Rabbit anti-Tyrosine Hydroxylase Recombinant Monoclonal Antibody [BLR155J]
Gene Names
TH; TYH; DYT14; DYT5b
Reactivity
Human, Mouse
Applications
Immunocytochemistry, Immunohistochemistry, Western Blot
Purity
Purified
Pricing
product-image-AAA213614_WB10.jpg WB (Western Blot) (Detection of human CD25/IL-2R alpha by western blot. Samples: Whole cell lysate (25 ug) from MJ, SR, SU-DHL-1, HEK293T, and C5/MJ cells prepared using NETN lysis buffer. Antibody: Rabbit anti-CD25/IL-2R alpha recombinant monoclonal antibody (AAA213614 lot 1) used at 1:1000. Secondary: HRP-conjugated goat anti-rabbit IgG . Detection: Chemiluminescence with an exposure time of 30 seconds. Lower Panel: Rabbit anti-Actin recombinant monoclonal antibody .)

CD25/IL-2R alpha, Monoclonal Recombinant Antibody (Cat# AAA213614)

No reviews yet
Full Name
Rabbit anti-CD25/IL-2R alpha Recombinant Monoclonal Antibody [BLR157J]
Gene Names
IL2RA; CD25; IL2R; TCGFR; IDDM10
Reactivity
Human
Applications
Flow Cytometry, Immunocytochemistry, Immunoprecipitation, Western Blot
Purity
Purified
Pricing
product-image-AAA213616_WB13.jpg WB (Western Blot) (Detection of mouse CGRP by western blot. Samples: Whole cell lysate (50 ug) from NIH 3T3, CT26, NIH 3T3 + 1 ug purified mouse CGRP, TCMK-1, and BW5147.3 cells prepared using NETN lysis buffer. Antibody: Rabbit anti-CGRP recombinant monoclonal antibody (AAA213616 lot 1) used at 1:1000. Secondary: HRP-conjugated goat anti-rabbit IgG . Detection: Chemiluminescence with an exposure time of 30 seconds. Lower Panel: Rabbit anti-Actin recombinant monoclonal antibody .)

CGRP, Monoclonal Recombinant Antibody (Cat# AAA213616)

No reviews yet
Full Name
Rabbit anti-CGRP Recombinant Monoclonal Antibody [BLR159J]
Gene Names
Calca; CA; Ct; Ctn; Calc; Cgrp; CGRP1; Calc1; CGRP-1
Reactivity
Mouse
Applications
Immunohistochemistry, Western Blot
Purity
Purified
Pricing
product-image-AAA213617_WB13.jpg WB (Western Blot) (Detection of human Phospho STAT3 (S727) by western blot. Samples: Whole cell lysate (50 ug) from HeLa, HeLa (IFNalpha), Jurkat, Jurkat (IFNalpha), and NCI-H226 cells prepared using NETN lysis buffer. Antibody: Rabbit anti-Phospho STAT3 (S727) recombinant monoclonal antibody (AAA213617 lot 1) used at 1:1000. Secondary: HRP-conjugated goat anti-rabbit IgG . Detection: Chemiluminescence with an exposure time of 10 seconds. Lower Panel: Rabbit anti-COPB2 antibody .)

STAT3, Monoclonal Recombinant Antibody (Cat# AAA213617)

No reviews yet
Full Name
Rabbit anti-Phospho STAT3 (S727) Recombinant Monoclonal Antibody [BLR160J]
Gene Names
STAT3; APRF; HIES
Reactivity
Human
Applications
Immunoprecipitation, Western Blot
Purity
Purified
Pricing
product-image-AAA213621_WB13.jpg WB (Western Blot) (Detection of mouse CD4 by western blot. Samples: Whole cell lysate (10 ug) from NIH 3T3, BW5147.3, thymus, 70Z/3, and EL4 cells prepared using NETN lysis buffer. Antibody: Rabbit anti-CD4 recombinant monoclonal antibody (AAA213621 lot 2) used at 1:1000. Secondary: HRP-conjugated goat anti-rabbit IgG . Detection: Chemiluminescence with an exposure time of 75 seconds. Lower Panel: Rabbit anti-Actin recombinant monoclonal antibody .)

CD4, Monoclonal Recombinant Antibody (Cat# AAA213621)

No reviews yet
Full Name
Rabbit anti-CD4 Recombinant Monoclonal Antibody [BLR167J]
Gene Names
Cd4; L3T4; Ly-4
Reactivity
Mouse
Applications
Immunohistochemistry, Immunoprecipitation, Western Blot
Purity
Purified
Pricing
product-image-AAA213624_WB11.jpg WB (Western Blot) (Detection of human CD69 by western blot. Samples: Whole cell lysate (10 ug) from MUTZ-3, Jurkat, HEK293T, MOLT-4, and U-937 cells prepared using NETN lysis buffer. Antibody: Rabbit anti-CD69 recombinant monoclonal antibody (AAA213624 lot 1) used at 1:1000. Secondary: HRP-conjugated goat anti-rabbit IgG . Detection: Chemiluminescence with an exposure time of 30 seconds. Lower Panel: Rabbit anti-Actin recombinant monoclonal antibody .)

CD69, Monoclonal Recombinant Antibody (Cat# AAA213624)

No reviews yet
Full Name
Rabbit anti-CD69 Recombinant Monoclonal Antibody [BLR170J]
Gene Names
CD69; AIM; EA1; MLR-3; CLEC2C; GP32/28; BL-AC/P26
Reactivity
Human
Applications
Flow Cytometry, Immunocytochemistry, Western Blot
Purity
Purified
Pricing
product-image-AAA213625_WB8.jpg WB (Western Blot) (Detection of human CD103/ITGAE by western blot. Samples: Whole cell lysate (50 ug) from C5/MJ, HeLa, CCRF-CEM, HEK293T, and MJ cells prepared using NETN lysis buffer. Antibody: Rabbit anti-CD103/ITGAE recombinant monoclonal antibody (AAA213625 lot 1) used at 1:1000. Secondary: HRP-conjugated goat anti-rabbit IgG . Detection: Chemiluminescence with an exposure time of 75 seconds. Lower Panel: Rabbit anti-COPB2 antibody .)

CD103/ITGAE, Monoclonal Recombinant Antibody (Cat# AAA213625)

No reviews yet
Full Name
Rabbit anti-CD103/ITGAE Recombinant Monoclonal Antibody [BLR171J]
Gene Names
ITGAE; CD103; HUMINAE
Reactivity
Human
Applications
Immunocytochemistry, Immunohistochemistry, Immunoprecipitation, Western Blot
Purity
Purified
Pricing
product-image-AAA213626_WB13.jpg WB (Western Blot) (Detection of human IL18R1 by western blot. Samples: Whole cell lysate (25 ug) from NK-92, HEK293T, HDLM-2, NCI-H226, and NCI-H460 cells prepared using NETN lysis buffer. Antibody: Rabbit anti-IL18R1 recombinant monoclonal antibody (AAA213626 lot 1) used at 1:1000. Secondary: HRP-conjugated goat anti-rabbit IgG . Detection: Chemiluminescence with an exposure time of 75 seconds. Lower Panel: Rabbit anti-Actin recombinant monoclonal antibody .)

IL18R1, Monoclonal Recombinant Antibody (Cat# AAA213626)

No reviews yet
Full Name
Rabbit anti-IL18R1 Recombinant Monoclonal Antibody [BLR172J]
Gene Names
IL18R1; CD218a; IL18RA; IL1RRP; CDw218a; IL-1Rrp
Reactivity
Human
Applications
Flow Cytometry, Western Blot
Purity
Purified
Pricing
product-image-AAA213627_WB13.jpg WB (Western Blot) (Detection of human CD70 by western blot. Samples: Whole cell lysate from HEK293F empty vector cells (10 ug) and CD70 overexpressing HEK293F cells (1 ug). Antibody: Rabbit anti-CD70 recombinant monoclonal antibody (AAA213627 lot 1) used at 1:1000. Secondary: HRP-conjugated goat anti-rabbit IgG . Detection: Chemiluminescence with an exposure time of 10 seconds. Lower Panel: Rabbit anti-Actin recombinant monoclonal antibody .)

CD70, Monoclonal Recombinant Antibody (Cat# AAA213627)

No reviews yet
Full Name
CD70 Recombinant Monoclonal Antibody [BLR176J]
Gene Names
CD70; CD27L; CD27LG; TNFSF7
Reactivity
Human
Applications
Western Blot
Purity
Purified
Pricing
product-image-AAA213651_WB10.jpg WB (Western Blot) (Detection of human CD79A by western blot. Samples: Whole cell lysate (10 ug) from Daudi, HeLa, Raji (50 ug), HEK293T, and Ramos cells prepared using NETN lysis buffer. Antibody: Rabbit anti-CD79A recombinant monoclonal antibody (AAA213651 lot 1) used at 1:1000. Secondary: HRP-conjugated goat anti-rabbit IgG . Detection: Chemiluminescence with an exposure time of 10 seconds. Lower Panel: Rabbit anti-Actin recombinant monoclonal antibody .)

CD79A, Monoclonal Recombinant Antibody (Cat# AAA213651)

No reviews yet
Full Name
Rabbit anti-CD79A Recombinant Monoclonal Antibody [BLR232K]
Gene Names
CD79A; IGA; MB-1
Reactivity
Human
Applications
Immunocytochemistry, Immunohistochemistry, Immunoprecipitation, Western Blot
Purity
Purified
Pricing

Haemophilus influenzae ompP1, Monoclonal Recombinant Antibody (Cat# AAA120278)

No reviews yet
Full Name
Anti-Haemophilus influenzae ompP1 Antibody
Reactivity
Haemophilus influenzae
Applications
ELISA
Purity
>95% by SDS-PAGE. Protein A or G purified from cell culture supernatant.
Pricing
product-image-AAA120325_WB13.jpg WB (Western Blot) (Various lysates were subjected to SDS PAGE followed by western blot with FABP4/aP2 antibody (RHD08602) at 1?ug/ml.Lane 1: Human FABP4 transfected HEK293 cell lysateLane 2: Non-transfected HEK293 cell lysateSecond Ab: Goat Anti-Mouse IgG H&L Polyclonal antibody, HRP (PMB96431) at 0.1 ug/mL.Predict MW: 16 kDa)

FABP4/aP2, Monoclonal Recombinant Antibody (Cat# AAA120325)

No reviews yet
Full Name
Anti-Human FABP4/aP2 Antibody (HA3)
Gene Names
FABP4; aP2; ALBP; AFABP; A-FABP; HEL-S-104
Reactivity
Human, Mouse
Applications
ELISA, Blocking
Purity
>95% by SDS-PAGE
Protein A or G purified from cell culture supernatant.
Pricing

ANTXR1/TEM8, Monoclonal Recombinant Antibody (Cat# AAA120365)

No reviews yet
Full Name
Anti-Human ANTXR1/TEM8 Antibody (SAA1962)
Gene Names
ANTXR1; ATR; TEM8
Reactivity
Human
Applications
ELISA
Purity
>95% by SDS-PAGE
Protein A/G purified from cell culture supernatant.
Pricing

What are recombinant antibodies?


Recombinant antibodies are produced in the lab by utilizing a known genetic sequence (an amino acid and nucleotide sequence). This allows for high consistency in how each new lot will perform and how specific they will be for the target, regardless of how many times they are produced/reproduced.


They help solve of the problems observed when traditional non-recombinant techniques are utilized, such as changes in cell behavior over time, differences between production batches, and accuracy in complex biological systems.


A powerful feature of recombinant antibodies is that they can also be modified through progressive genetic engineering and subsequent testing in order to make them perform better and/or more reliably.


Applications For Recombinant Antibodies


1. Basic Research


Recombinant antibodies are primarily utilized in laboratory experiments to study the function of various proteins in cells. They are helpful in finding and tracking specific molecules through their use in techniques such as ELISA, Western blotting, immunofluorescence, and flow cytometry.


2. Diagnostics


They are also key components in diagnostic tests used to detect diseases and infections. As recombinant antibodies are produced in a consistent and controlled way, they are able to provide highly reliable results across batches. Though recombinant antibodies are indeed quite useful in diagnostic applications, all of the products listed in AAA Biotech’s also known as AAA Bio or AAABio catalog are strictly for research-use only (RUO).


3. Therapeutics (Medical Treatments)


Please note that all of the products listed in AAA Biotech’s catalog are strictly for research-use only (RUO).


  • Chimeric Antibodies: Commonly used in therapeutic treatment. They combine different pieces of mouse and human antibodies in order to reduce immune reactions.

  • Humanized Antibodies: Modified non-human antibodies that are made to look the same as actual native human antibodies, making them safer and more effective.

  • Antibody Fragments (Fab, scFv, VHH): Smaller pieces of antibodies that can reach deep into tissues and tumors. They are useful in cancer treatments and imaging.

  • Bispecific Antibodies: Specially-engineered antibodies that can bind to two different target molecules at once. Each antibody has two “arms” that allow for two places where the target antigen can bind (both “arms” will recognize the same exact epitope). These bispecific antibodies are engineered so that each arm can detect a completely different epitope than the other. Used in many of the treatments for cancer, diabetes, Alzheimer’s disease, and more.

  • Fc-Fusion Proteins: Used as drugs and research tools. They combine parts of antibodies with other proteins to improve stability and effectiveness.


4. Imaging and Detection


Small antibody fragments are also used as imaging agents in medical scans. Their small size helps them reach and report on the status of tumors quickly.


5. Drug Development and Delivery


Please note that all of the products listed in AAA Biotech’s catalog are strictly for research-use only (RUO).


Recombinant antibodies are can also be designed and be made to deliver drugs directly to diseased cells, especially in targeted cancer therapy.


6. Immunotherapy


Please note that all of the products listed in AAA Biotech’s catalog are strictly for research-use only (RUO).


These antibodies can aid the immune system recognize and fight diseases more effectively, which is often their role in cancer treatment.


Advantages of Recombinant Antibodies


  • Reliable Results Every Time: Recombinant antibodies are exceptionally consistent from batch to batch. This means researchers can trust that results will remain the same each time they purchase and use them.

  • More Specific and Accurate: Compared to polyclonal antibodies, recombinant antibodies are significantly less likely to exhibit non-specific binding, which promotes more accurate and clearer results.

  • Easier to Develop: Making recombinant antibodies is simpler and quicker than the traditional method of producing monoclonal antibodies via hybridomas.

  • No Genetic Drift: Over time, hybridoma cells can change or become unstable, which can result in the antibodies progressively losing their function/specificity. Recombinant antibodies avoid this problem because they are produced from a fixed template DNA sequence.

  • Truly Monoclonal: Studies have shown that many hybridomas thought to be monoclonal actually are not so, which can lead to, in some cases, unreliable results. Recombinant antibodies are made using precise genetic sequence templates, ensuring they are truly specific to one target.

  • Long-Term Stability and Safety: Since their amino acid and genetic sequences are known and stored, recombinant antibodies can be reproduced any time with the same quality. This method protects against contamination, genetic changes over time, or even accidental loss/deterioration of cell lines.


Why Buy Recombinant Antibody from AAA Biotech?


  • Highly Validated: The vast majority of our antibodies are thoroughly tested to ensure they work reliably across different applications and experimental platforms.

  • Versatile Applications: Our antibodies can be used in a wide range of research techniques, including (but not limited to) immunocytochemistry (ICC), ELISA, immunofluorescence (IF), immunohistochemistry (IHC), flow cytometry (FC), immunoprecipitation (IP), and Western blotting (WB).

  • Support for Rare Species: We offer antibodies specifically designed for rare or less commonly used laboratory species — something many other suppliers do not provide.

  • Wide Selection of Conjugated and Recombinant Forms: Choose from various labeled (conjugated) options and browse our high-quality recombinant antibodies – we are confident that we will have materials to meet your research needs.


FAQ


1. What are recombinant antibodies used for?


Research (e.g., ELISA, Western blot, flow cytometry)
Disease diagnostics
Therapeutic treatments (e.g., cancer, autoimmune diseases)
Medical imaging
Targeted drug delivery
Vaccine development
Please note that all of the products listed in AAA Biotech’s catalog are strictly for research-use only (RUO).


2. What is the difference between traditional and recombinant antibodies?


Traditional antibodies: Produced using animal hosts (hybridomas are typically made from an original animal inoculation), slower, less consistent, risk of genetic drift
Recombinant antibodies: Produced using DNA template sequences via laboratory cell lines, faster, highly consistent, animal-free, easily customizable


3. What are antibodies used to treat?


Please note that all of the products listed in AAA Biotech’s catalog are strictly for research-use only (RUO).
Antibodies are proteins that your body makes to protect you from infections, allergies, and other potentially harmful substances. Scientists have used the intrinsic properties of antibodies to develop them into tools for scientific advancement, and can now create special lab-grown antibodies that aid in the treatment of diseases such as cancer, heart-related issues, and arthritis.


4. Why do we need recombinant proteins?


Recombinant proteins are lab-made proteins that have become essential in the advancement of science and medicine. They’re used in the lab for innumerable purposes, such as to help grow and support cells, especially for tasks like expanding cell colonies, helping them develop into other types, or turning them into stem cells.


Submit a Question

Please complete the form below and a representative will contact you as soon as possible.

Request more Information

Please complete the form below and a representative will contact you as soon as possible.

Request a Manual

Please complete the form below and a representative will contact you as soon as possible.

Request a Quote

Please complete the form below and a representative will contact you as soon as possible.