Loading...

Skip to main content
Call us at +1-800-604-9114 for more information about our products or contact us online Need help? +1-800-604-9114 or contact us

Filters


Clonality

Type

Reactivity

Gene Name

Isotype

Host

Application

Clone

Active Proteins

AAA Biotech also known as AAA Bio or AAABio provides a variety of high-quality recombinant and natural/native proteins that are proven to work in a wide range of experiments. Explore our products to find the active protein that best fits your needs or experimental model.


Viewing 2450-2500 of 2583 product results


product-image-AAA161773_BIOACTIVITY13.jpg Bioactivity (PD-1 (Programmed Death-1 receptor), also known as CD279, is a receptor expressed on T cells responsible for modulating T cell activation. Like CTLA4, PD-1 is classified as an immune checkpoint inhibitory receptor. When PD-1 protein binds to PD-L1, it initiates a negative signaling cascade inhibiting activation of T cells. The cytoplasmic tail contains two tyrosine residues that form the immunoreceptor tyrosine-based inhibitory motif (ITIM) and immunoreceptor tyrosine-based switch motif (ITSM) that are important for mediating PD-1 signaling. Normally, PD-1 helps keep T cells from attacking other cells in the body. However, many cancers take advantage of this by expressing high amounts of PD-L1 allowing cancer cells to evade the body's own immune response. Blocking the PD-1:PD-L1 interaction has proven successful in treating many different cancer types. A functional binding ELISA assay was conducted to detect the interaction of recombinant cat PDCD1 and recombinant rat PDCD1LG2. Briefly, biotin-linked PDCD1 were diluted serially in PBS, with 0.01% BSA (pH 7.4). Duplicate samples of 100 ul were then transferred to PDCD1LG2-coated microtiter wells and incubated for 1h at 37 degree C. Wells were washed with PBST 3 times and incubation with Streptavidin-HRP for 30min, then wells were aspirated and washed 5 times. With the addition of substrate solution, wells were incubated 15-25 minutes at 37 degree C. Finally, add 50 ul stop solution to the wells and read at 450 nm immediately. The binding activity of PDCD1 and PDCD1LG2 was shown in Figure 1, and this effect was in a dose dependent manner.)

Programmed Cell Death Protein 1 (PD1), Active Protein (Cat# AAA161773)

Full Name
Active Programmed Cell Death Protein 1 (PD1)
Applications
Activity Assay, Cell Culture
Purity
Greater than 90% by SDS-PAGE
Pricing
product-image-AAA161781_BIOACTIVITY13.jpg Bioactivity (Reactive protein (CRP) is an annular (ring-shaped), pentameric protein found in blood plasma, whose levels rise in response to inflammation. It is an acute-phase protein of hepatic origin that increases following interleukin-6 secretion by macrophages and T cells. Its physiological role is to bind to lysophosphatidylcholine expressed on the surface of dead or dying cells (and some types of bacteria) in order to activate the complement system via C1q. Besides, Coagulation Factor II (F2) has been identified as an interactor of CRP, thus a functional binding ELISA assay was conducted to detect the interaction of recombinant chicken CRP and recombinant rat F2. Briefly, CRP was diluted serially in PBS with 0.01% BSA (pH 7.4). Duplicate samples of 100 ul were then transferred to F2-coated microtiter wells and incubated for 1h at 37 degree C. Wells were washed with PBST and incubated for 1h with anti-CRP pAb, then aspirated and washed 3 times. After incubation with HRP labelled secondary antibody for 1h at 37 degree C, wells were aspirated and washed 5 times. With the addition of substrate solution, wells were incubated 15-25 minutes at 37 degree C. Finally, add 50 uL stop solution to the wells and read at 450/630 nm immediately. The binding activity of recombinant chicken CRP and recombinant rat F2 was shown in Figure 1, the EC50 for this effect is 0.82 ug/mL.)

C ReProtein (CRP), Active Protein (Cat# AAA161781)

Full Name
Active C Reactive Protein (CRP)
Gene Names
CRP; APCS
Applications
Activity Assay, Cell Culture
Purity
Greater than 95% by SDS-PAGE
Pricing
product-image-AAA161785_BIOACTIVITY13.jpg Bioactivity (Reactive protein (CRP) is an annular (ring-shaped), pentameric protein found in blood plasma, whose levels rise in response to inflammation. It is an acute-phase protein of hepatic origin that increases following interleukin-6 secretion by macrophages and T cells. Its physiological role is to bind to lysophosphatidylcholine expressed on the surface of dead or dying cells (and some types of bacteria) in order to activate the complement system via C1q. Besides, Coagulation Factor II (F2) has been identified as an interactor of CRP, thus a functional binding ELISA assay was conducted to detect the interaction of recombinant rabit CRP and recombinant rat F2. Briefly, CRP was diluted serially in PBS with 0.01% BSA (pH 7.4). Duplicate samples of 100 ul were then transferred to F2-coated microtiter wells and incubated for 1h at 37 degree C. Wells were washed with PBST and incubated for 1h with anti-CRP pAb, then aspirated and washed 3 times. After incubation with HRP labelled secondary antibody for 1h at 37 degree C, wells were aspirated and washed 5 times. With the addition of substrate solution, wells were incubated 15-25 minutes at 37 degree C. Finally, add 50 uL stop solution to the wells and read at 450/630 nm immediately. The binding activity of recombinant rabbit CRP and recombinant rat F2 was shown in Figure 1, the EC50 for this effect is 0.02 ug/mL.)

C ReProtein (CRP), Active Protein (Cat# AAA161785)

Full Name
Active C Reactive Protein (CRP)
Gene Names
CRP; PTX1
Applications
Activity Assay, Cell Culture
Purity
Greater than 97% by SDS-PAGE
Pricing
product-image-AAA161790_BIOACTIVITY13.jpg Bioactivity (PRL (prolactin), also known as luteotropin, is a hormone secreted from the pituitary gland and is best known for its role in enabling mammals to produce milk. PRL plays an essential role in metabolism, regulation of the immune system through activating its specific membrane-anchored receptor (PRLR). PRL can bind to PRLR, inducing JAK2 association that leads to downstream activation of multiple pathways that include STAT3, STAT5, PI3K, AKT, and ERK. A functional binding ELISA assay was conducted to detect the interaction of recombinant zebrafish PRL and recombinant rat JAK2. Briefly, PRL was diluted serially in PBS with 0.01% BSA (pH 7.4). Duplicate samples of 100 ul were then transferred to JAK2 -coated microtiter wells and incubated for 1h at 37 degree C. Wells were washed with PBST and incubated for 1h with anti-PRL pAb, then aspirated and washed 3 times. After incubation with HRP labelled secondary antibody for 1h at 37 degree C, wells were aspirated and washed 5 times. With the addition of substrate solution, wells were incubated 15-25 minutes at 37 degree C. Finally, add 50 uL stop solution to the wells and read at 450/630 nm immediately. The binding activity of recombinant zebrafish PRL and recombinant rat JAK2 was shown in Figure 1, the EC50 for this effect is 0.95 ug/mL.)

Prolactin (PRL), Active Protein (Cat# AAA161790)

Full Name
Active Prolactin (PRL)
Applications
Activity Assay, Cell Culture
Purity
Greater than 90% by SDS-PAGE
Pricing
product-image-AAA161791_BIOACTIVITY13.jpg Bioactivity (PRL (prolactin), also known as luteotropin, is a hormone secreted from the pituitary gland and is best known for its role in enabling mammals to produce milk. PRL plays an essential role in metabolism, regulation of the immune system through activating its specific membrane-anchored receptor (PRLR). A functional ELISA assay was conducted to detect the interaction of recombinant chicken PRL and recombinant human PRLR. Briefly, PRL was diluted serially in PBS with 0.01% BSA (pH 7.4). Duplicate samples of 100 ul were then transferred to PRLR-coated microtiter wells and incubated for 1h at 37 degree C. Wells were washed with PBST and incubated for 1h with anti-PRL pAb, then aspirated and washed 3 times. After incubation with HRP labelled secondary antibody for 1h at 37 degree C, wells were aspirated and washed 5 times. With the addition of substrate solution, wells were incubated 15-25 minutes at 37 degree C. Finally, add 50 uL stop solution to the wells and read at 450/630 nm immediately. The binding activity of recombinant chicken PRL and recombinant human PRLR was shown in Figure 1, the EC50 for this effect is 0.34 ug/mL.)

Prolactin (PRL), Active Protein (Cat# AAA161791)

Full Name
Active Prolactin (PRL)
Applications
Activity Assay, Cell Culture
Purity
Greater than 90% by SDS-PAGE
Pricing
product-image-AAA161792_BIOACTIVITY13.jpg Bioactivity (PRL (prolactin), also known as luteotropin, is a hormone secreted from the pituitary gland and is best known for its role in enabling mammals to produce milk. PRL plays an essential role in metabolism, regulation of the immune system through activating its specific membrane-anchored receptor (PRLR). A functional ELISA assay was conducted to detect the interaction of recombinant human PRL and recombinant human PRLR. Briefly, PRL was diluted serially in PBS with 0.01% BSA (pH 7.4). Duplicate samples of 100 ul were then transferred to PRLR-coated microtiter wells and incubated for 1h at 37 degree C. Wells were washed with PBST and incubated for 1h with anti-PRL pAb, then aspirated and washed 3 times. After incubation with HRP labelled secondary antibody for 1h at 37 degree C, wells were aspirated and washed 5 times. With the addition of substrate solution, wells were incubated 15-25 minutes at 37 degree C. Finally, add 50 uL stop solution to the wells and read at 450/630 nm immediately. The binding activity of recombinant human PRL and recombinant human PRLR was shown in Figure 1, the EC50 for this effect is 0.05 ug/mL.)

Prolactin (PRL), Active Protein (Cat# AAA161792)

Full Name
Active Prolactin (PRL)
Applications
Activity Assay, Cell Culture
Purity
Greater than 95% by SDS-PAGE
Pricing
product-image-AAA161797_BIOACTIVITY13.jpg Bioactivity (Carbonic Anhydrase (CA) catalyzes the reversible reaction of CO2  H2O = HCO3-  H, which is fundamental to many processes such as respiration, renal tubular acidification and bone resorption. CA1 is a cytosolic enzyme with the highest levels in erythrocytes and is a very early marker for erythroid differentiation. The activity of recombinant mouse CA1 was measured by its ability to hydrolyze 4-Nitrophenyl acetate (4-NPA) to 4-Nitrophenol. The reaction was performed in 12.5 mM Tris, 75 mM NaCl, pH 7.5 (assay buffer), initiated by addition 50 uL of various concentrations of CA1 (diluted by assay buffer) to 50 uL of 2 mM substrate 4-NPA (100 mM stock in Acetone, diluted by assay buffer). Incubated at 37 degree C for 5min, then read at a wavelength of 400 nm.)

Carbonic Anhydrase I (CA1), Active Protein (Cat# AAA161797)

Full Name
Active Carbonic Anhydrase I (CA1)
Gene Names
Car1; Ca1; Car-1; AW555628
Applications
Activity Assay, Cell Culture
Purity
Greater than 95% by SDS-PAGE
Pricing
product-image-AAA161798_BIOACTIVITY13.jpg Bioactivity (Calcitonin gene-related peptide (CGRP) is a highly potent vasoactive peptide released from sensory nerves. CGRP is a 37-amino acid and it has two major forms (alpha and beta). It belongs to a group of peptides that all act on an unusual receptor family. These receptors consist of calcitonin receptor-like receptor (CLR) linked to an essential receptor activity modifying protein (RAMP) that is necessary for full functionality. Thus a functional binding ELISA assay was conducted to detect the interaction of recombinant rat CGRP and recombinant human RAMP2. Briefly, CGRP was diluted serially in PBS with 0.01% BSA (pH 7.4). Duplicate samples of 100 ul were then transferred to RAMP2-coated microtiter wells and incubated for 1h at 37 degree C. Wells were washed with PBST and incubated for 1h with anti-CGRP pAb, then aspirated and washed 3 times. After incubation with HRP labelled secondary antibody for 1h at 37 degree C, wells were aspirated and washed 5 times. With the addition of substrate solution, wells were incubated 15-25 minutes at 37 degree C. Finally, add 50 uL stop solution to the wells and read at 450/630 nm immediately. The binding activity of recombinant rat CGRP and recombinant human RAMP2 was shown in Figure 1, the EC50 for this effect is 0.06 ug/mL.)

Calcitonin Gene Related Peptide (CGRP), Active Protein (Cat# AAA161798)

Full Name
Active Calcitonin Gene Related Peptide (CGRP)
Applications
Activity Assay, Cell Culture
Purity
Greater than 95% by SDS-PAGE
Pricing
product-image-AAA161799_BIOACTIVITY13.jpg Bioactivity (Cluster Of Differentiation 200 (CD200), also known as OX-2 or MOX1/MOX2, is a membrane glycoprotein belonging to the immunoglobulin superfamily. This protein is widely expressed in various cell types, including neurons, endothelial cells, certain immune cells (such as B cells, dendritic cells, T cell subsets), and various tumor cells. CD200 is a multifaceted protein with important roles in immune regulation, neuronal function, and disease pathogenesis. Besides, Cluster Of Differentiation 8a (CD8a) has been identified as an interactor of CD200, thus a functional binding ELISA assay was conducted to detect the interaction of recombinant human CD200 and recombinant human CD8a. Briefly, CD200 was diluted serially in PBS with 0.01% BSA (pH 7.4). Duplicate samples of 100 ul were then transferred to CD8a-coated microtiter wells and incubated for 1h at 37 degree C. Wells were washed with PBST and incubated for 1h with anti-CD200 pAb, then aspirated and washed 3 times. After incubation with HRP labelled secondary antibody for 1h at 37 degree C, wells were aspirated and washed 5 times. With the addition of substrate solution, wells were incubated 15-25 minutes at 37 degree C. Finally, add 50 uL stop solution to the wells and read at 450/630 nm immediately. The binding activity of recombinant recombinant human CD200 and recombinant human CD8a was shown in Figure 1, the EC50 for this effect is 0.44 ug/mL.)

Cluster Of Differentiation 200 (CD200), Active Protein (Cat# AAA161799)

Full Name
Active Cluster Of Differentiation 200 (CD200)
Gene Names
CD200; MRC; MOX1; MOX2; OX-2
Applications
Activity Assay, Cell Culture
Purity
Greater than 90% by SDS-PAGE
Pricing
product-image-AAA161809_BIOACTIVITY13.jpg Bioactivity (Procollagen I N-Terminal Propeptide is specific for cartilaginous tissues. It is essential for the normal embryonic development of the skeleton, for linear growth and for the ability of cartilage to resist compressive forces, which was are associated with achondrogenesis, chondrodysplasia, early onset familial osteoarthritis, Langer-Saldino achondrogenesis, SED congenita, Kniest dysplasia, Stickler syndrome type I, and spondyloepimetaphyseal dysplasia Strudwick type. A functional binding ELISA assay was conducted to detect the interaction of recombinant rat PINP with recombinant human COL5a2. Briefly, biotin-linked PINP were diluted serially in PBS, with 0.01% BSA (pH 7.4). Duplicate samples of 100 ul were then transferred to COL5a2-coated microtiter wells and incubated for 1h at 37 degree C. Wells were washed with PBST 3 times and incubation with Streptavidin-HRP for 30 min, then wells were aspirated and washed 5 times. With the addition of substrate solution, wells were incubated 15-25 minutes at 37 degree C. Finally, add 50 ul stop solution to the wells and read at 450 nm immediately. The binding activity of recombinant rat PINP with recombinant human COL5a2 was shown in Figure 1, the EC50 for this effect is 9.18 ug/mL.)

Procollagen I N-Terminal Propeptide (PINP), Active Protein (Cat# AAA161809)

Full Name
Active Procollagen I N-Terminal Propeptide (PINP)
Gene Names
Col1a1; COLIA1
Applications
Activity Assay, Cell Culture
Purity
Greater than 90% by SDS-PAGE
Pricing
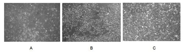
product-image-AAA161694_BIOACTIVITY13.jpg Bioactivity (Stem cell factor (SCF), also known as mast cell growth factor (MGF), and steel factor (SLF), plays an important role in hematopoiesis, spermatogenesis and melanogenesis. SCF has been shown to  stimulate the proliferation of TF-1 cells. To test this effect, TF-1 cells were seeded into triplicate wells of 96-well plates at a density of 2 x 104 cells/well and incubated for 72h in the presence or absence of various concentrations of SCF at 37 degree C. The growth of cells were observed by inverted microscope and cell proliferation was measured by Cell Counting Kit-8(CCK-8). Briefly, 10 ul of CCK-8 solution was added to each well of the plate, then measure the absorbance at 450 nm using a microplate reader after incubating the plate for 1-4 hours at 37 degree C. Cell proliferation of TF-1 cells after incubation with SCF for 72h observed by inverted microscope was shown in Figure 1. The dose-effect curve of SCF was shown in Figure 2. It was obvious that it significantly promoted cell proliferation of TF-1 cells.The ED50 for this effect is typically 2.9 ng/ml.)

Stem Cell Factor (SCF), Active Protein (Cat# AAA161694)

Full Name
Active Stem Cell Factor (SCF)
Gene Names
Kitlg; Mgf; SCF; Kitl
Applications
Activity Assay, Cell Culture
Purity
Greater than 90% by SDS-PAGE
Pricing
product-image-AAA161698_BIOACTIVITY13.jpg Bioactivity (Tissue inhibitors of metalloproteinases or TIMPs are a family of proteins that regulate the activation and proteolytic activity of the zinc enzymes known as matrix metalloproteinases (MMPs). There are four members of the family, TIMP-1, TIMP-2, TIMP-3, and TIMP-4. TIMP-2 is a non N-glycosylated protein with a molecular mass of 22 kDa produced by a wide range of cell types, which inhibits MMPs non-covalently by the formation of binary complexes. TIMP-2 also has erythroidpotentiating and cell growth promoting activities. The activity of recombinant human TIMP2 was measured by its ability to inhibit rhMMP2 cleavage of a fluorogenic peptide substrate MCA-Pro-Leu-Gly-Leu-DPA-Ala-Arg-NH2 in the assay buffer 50 mM Tris, 10 mM CaCl2, 150 mM NaCl, 0.05% (w/v) Brij-35, pH 7.5. rhMMP2 was diluted to 100 ug/ml and activated with 1 mM APMA at 37 degree C for 1 hour and rhTIMP2 (MW: 51.75 KD) was diluted to different concentrations with the assay buffer. Mix 8 ul of rhTIMP2 curve dilutions, 12.8 ul of activated rhMMP-2, and 59.2 ul of assay buffer, including a control containing assay buffer and the diluted rhMMP-2 and incubate the reactions for 2 hours at 37 degree C. Loading 50 ul of the incubated mixtures which were diluted five-fold in assay buffer into empty wells of a plate, and start the reaction by adding 50 ul of 20 uM substrate. Include a substrate blank containing 50 ul of assay buffer and 50 ul of 20 uM substrate. Then read at excitiation and emission wavelengths of 320 nm and 405 nm, respectively, in kinetic mode for 5 minutes. The result was shown in Figure 1 and it was obvious that recombinant human TIMP2 significantly decreased rhMMP2 activity. The inhibition IC50 was )

Tissue Inhibitors Of Metalloproteinase 2 (TIMP2), Active Protein (Cat# AAA161698)

Full Name
Active Tissue Inhibitors Of Metalloproteinase 2 (TIMP2)
Gene Names
TIMP2; DDC8; CSC-21K
Applications
Activity Assay, Cell Culture
Purity
Greater than 80% by SDS-PAGE
Pricing
product-image-AAA161699_BIOACTIVITY13.jpg Bioactivity (Tissue inhibitors of metalloproteinases or TIMPs are a family of proteins that regulate the activation and proteolytic activity of the zinc enzymes known as matrix metalloproteinases (MMPs). There are four members of the family, TIMP-1, TIMP-2, TIMP-3, and TIMP-4. TIMP-2 is a non N-glycosylated protein with a molecular mass of 22 kDa produced by a wide range of cell types, which inhibits MMPs non-covalently by the formation of binary complexes. TIMP-2 also has erythroidpotentiating and cell growth promoting activities. The activity of recombinant rat TIMP2 was measured by its ability to inhibit rhMMP2 cleavage of a fluorogenic peptide substrate MCA-Pro-Leu-Gly-Leu-DPA-Ala-Arg-NH2 in the assay buffer 50 mM Tris, 10 mM CaCl2, 150 mM NaCl, 0.05% (w/v) Brij-35, pH 7.5. rhMMP2 was diluted to 100 ug/ml and activated with 1 mM APMA at 37 degree C for 1 hour and rrTIMP2 (MW: 22.98 KD) was diluted to different concentrations with the assay buffer. Mix 8 ul of rrTIMP2 curve dilutions, 12.8 ul of activated rhMMP-2, and 59.2 ul of assay buffer, including a control containing assay buffer and the diluted rhMMP-2 and incubate the reactions for 2 hours at 37 degree C. Loading 50 ul of the incubated mixtures which were diluted five-fold in assay buffer into empty wells of a plate, and start the reaction by adding 50 ul of 20 uM substrate. Include a substrate blank containing 50 ul of assay buffer and 50 ul of 20 uM substrate. Then read at excitiation and emission wavelengths of 320 nm and 405 nm, respectively, in kinetic mode for 5 minutes. The result was shown in Figure 1 and it was obvious that recombinant rat TIMP2 significantly decreased rhMMP2 activity. The inhibition IC50 was )

Tissue Inhibitors Of Metalloproteinase 2 (TIMP2), Active Protein (Cat# AAA161699)

Full Name
Active Tissue Inhibitors Of Metalloproteinase 2 (TIMP2)
Applications
Activity Assay, Cell Culture
Purity
Greater than 90% by SDS-PAGE
Pricing
product-image-AAA161703_BIOACTIVITY13.jpg Bioactivity (Tissue Inhibitors of Metalloproteinase 4 (TIMP4) is an enzyme that in humans is encoded by the TIMP4 gene. This gene belongs to the tissue inhibitor of metalloproteinases gene family. The proteins encoded by this gene family are inhibitors of the matrix metalloproteinases, a group of peptidases involved in degradation of the extracellular matrix. The secreted, netrin domain-containing protein encoded by this gene is involved in regulation of platelet aggregation and recruitment and may play role in hormonal regulation and endometrial tissue remodeling. The activity of recombinant rat TIMP4 was measured by its ability to inhibit rhMMP2 cleavage of a fluorogenic peptide substrate MCA-Pro-Leu-Gly-Leu-DPA-Ala-Arg-NH2 in the assay buffer 50 mM Tris, 10 mM CaCl2, 150 mM NaCl, 0.05% (w/v) Brij-35, pH 7.5. rhMMP2 was diluted to 100 ug/ml and activated with 1 mM APMA at 37 degree C for 1 hour and rrTIMP4 (MW: 22.79 KD) was diluted to different concentrations with the assay buffer. Mix 8 ul of rrTIMP4 curve dilutions, 12.8 ul of activated rhMMP-2, and 59.2 ul of assay buffer, including a control containing assay buffer and the diluted rhMMP-2 and incubate the reactions for 2 hours at 37 degree C. Loading 50 ul of the incubated mixtures which were diluted five-fold in assay buffer into empty wells of a plate, and start the reaction by adding 50 ul of 20 uM substrate. Include a substrate blank containing 50 ul of assay buffer and 50 ul of 20 uM substrate. Then read at excitiation and emission wavelengths of 320 nm and 405 nm, respectively, in kinetic mode for 5 minutes. The result was shown in Figure 1 and it was obvious that recombinant rat TIMP4 significantly decreased rhMMP2 activity. The inhibition IC50 was )

Tissue Inhibitors Of Metalloproteinase 4 (TIMP4), Active Protein (Cat# AAA161703)

Full Name
Active Tissue Inhibitors Of Metalloproteinase 4 (TIMP4)
Applications
Activity Assay, Cell Culture
Purity
Greater than 95% by SDS-PAGE
Pricing
product-image-AAA161709_BIOACTIVITY13.jpg Bioactivity (Collagen Type IV Alpha 1 (COL4a1), a secreted glycoprotein,is a  member of the type IV collagen family. COL4a1 is the major structural component of glomerular basement membranes (GBM), forming a 'chicken-wire' meshwork together with laminins, proteoglycans and entactin/nidogen. It can inhibit angiogenesis and tumor formation, and specifically inhibit endothelial cell proliferation, migration and tubule formation. COL4A1 mutations can remain asymptomatic or cause devastating disease. Neonates and children may present with porencephaly, intracerebral hemorrhage, or hemiparesis, whereas adults tend to develop intracranial aneurysms or retinal arteriolar tortuosities. Glycoprotein VI (GP6) has been identified as an interactor of COL4a1, thus a functional binding ELISA assay was conducted to detect the interaction of recombinant human COL4a1 and recombinant human GP6. Briefly, COL4a1 was diluted serially in PBS with 0.01% BSA (pH 7.4). Duplicate samples of 100 ul were then transferred to GP6-coated microtiter wells and incubated for 1h at 37 degree C. Wells were washed with PBST and incubated for 1h with anti-COL4a1 pAb, then aspirated and washed 3 times. After incubation with HRP labelled secondary antibody for 1h at 37 degree C, wells were aspirated and washed 5 times. With the addition of substrate solution, wells were incubated 15-25 minutes at 37 degree C. Finally, add 50 uL stop solution to the wells and read at 450/630 nm immediately. The binding activity of recombinant human COL4a1 and recombinant human GP6 was shown in Figure 1, the EC50 for this effect is 0.05 ug/mL.)

Collagen Type IV Alpha 1 (COL4a1), Active Protein (Cat# AAA161709)

Full Name
Active Collagen Type IV Alpha 1 (COL4a1)
Gene Names
COL4A1; ICH; HANAC; POREN1; arresten
Applications
Activity Assay, Cell Culture
Purity
Greater than 80% by SDS-PAGE
Pricing
product-image-AAA161710_BIOACTIVITY13.jpg Bioactivity (Carcinoembryonic antigen (CEA), as one of the common tumor markers, is a human glycoprotein involved in cell adhesion and is expressed during human fetal development. Since the birth of human, CEA expression is largely inhibited, with only low levels in the plasma of healthy adults. Generally, CEA will overexpressed in many cancers, including gastric, breast, ovarian, lung, and pancreatic cancers, especially colorectal cancer. The lectin galactoside-binding soluble 3 binding protein (LGALS3BP) is also a secreted, which was first identified as cancer and metastasis associated protein. LGALS3BP has been identified as an interactor of CEA, thus a functional binding ELISA assay was conducted to detect the interaction of recombinant human CEA and recombinant human LGALS3BP. Briefly, biotin-linked CEA were diluted serially in PBS, with 0.01% BSA (pH 7.4). Duplicate samples of 100 ul were then transferred to LGALS3BP-coated microtiter wells and incubated for 1h at 37 degree C. Wells were washed with PBST 3 times and incubation with Streptavidin-HRP for 30min, then wells were aspirated and washed 5 times. With the addition of substrate solution, wells were incubated 15-25 minutes at 37 degree C. Finally, add 50 ul stop solution to the wells and read at 450 nm immediately. The binding activity of CEA and LGALS3BP was shown in Figure 1, and this effect was in a dose dependent manner.)

Carcinoembryonic Antigen (CEA), Active Protein (Cat# AAA161710)

Full Name
Active Carcinoembryonic Antigen (CEA)
Gene Names
CEACAM5; CEA; CD66e
Applications
Activity Assay, Cell Culture
Purity
Greater than 95% by SDS-PAGE
Pricing
product-image-AAA161656_BIOACTIVITY13.jpg Bioactivity (Bone Morphogenetic Protein Receptor 2 (BMPR2) is a member of the bone morphogenetic protein (BMP) receptor family of transmembrane serine/threonine kinases. BMPR2 is a TGFbeta type II receptor expressed on cumulus cells. Growth Differentiation Factor 9 (GDF9) can bind to BMPR2 through different type I receptors, thereby regulating downstream metabolic reactions. Thus a functional binding ELISA assay was conducted to detect the interaction of recombinant human BMPR2 and recombinant human GDF9. Briefly, biotin-linked BMPR2 were diluted serially in PBS, with 0.01% BSA (pH 7.4). Duplicate samples of 100 ul were then transferred to GDF9-coated microtiter wells and incubated for 1h at 37 degree C. Wells were washed with PBST 3 times and incubation with Streptavidin-HRP for 30min, then wells were aspirated and washed 5 times. With the addition of substrate solution, wells were incubated 15-25 minutes at 37 degree C. Finally, add 50 ul stop solution to the wells and read at 450 nm immediately. The binding activity of recombinant human BMPR2 and recombinant human GDF9 was shown in Figure 1, the EC50 for this effect is 42.87 ng/mL.)

Bone Morphogenetic Protein Receptor 2 (BMPR2), Active Protein (Cat# AAA161656)

Full Name
Active Bone Morphogenetic Protein Receptor 2 (BMPR2)
Gene Names
BMPR2; BMR2; PPH1; BMPR3; BRK-3; T-ALK; BMPR-II
Applications
Activity Assay, Cell Culture
Purity
Greater than 90% by SDS-PAGE
Pricing
product-image-AAA161675_BIOACTIVITY13.jpg Bioactivity (Interleukin 16 (IL-16), formerly known as lymphocyte chemoattractant factor or LCF, is a pro-inflammatory cytokine that is chemotactic for CD4  T lymphocytes, monocytes, and eosinophils. In addition to inducing chemotaxis, IL-16 can upregulate IL-2 receptor and HLA-DR4 expression, inhibit T cell receptor (TcR)/CD3-dependent activation, and promote repression of HIV-1 transcription.Besides,Interleukin 1 Alpha (IL1a) has been identified as an interactor of IL-16, thus a functional binding ELISA assay was conducted to detect the interaction of recombinant mouse IL-16 and recombinant dog IL1a. Briefly, IL-16 was diluted serially in PBS with 0.01% BSA (pH 7.4). Duplicate samples of 100 ul were then transferred to IL1a-coated microtiter wells and incubated for 1h at 37 degree C. Wells were washed with PBST and incubated for 1h with anti-IL-16 pAb, then aspirated and washed 3 times. After incubation with HRP labelled secondary antibody for 1h at 37 degree C, wells were aspirated and washed 5 times. With the addition of substrate solution, wells were incubated 15-25 minutes at 37 degree C. Finally, add 50 uL stop solution to the wells and read at 450/630 nm immediately. The binding activity of recombinant mouse IL-16 and recombinant dog IL1a was shown in Figure 1, the EC50 for this effect is 1.9 ug/mL.)

Interleukin 16 (IL16), Active Protein (Cat# AAA161675)

Full Name
Active Interleukin 16 (IL16)
Gene Names
Il16; mKIAA4048
Applications
Activity Assay, Cell Culture
Purity
Greater than 90% by SDS-PAGE
Pricing
product-image-AAA161680_BIOACTIVITY13.jpg Bioactivity (Interleukin 6 (IL-6) is an interleukin that acts as both a pro-inflammatory cytokine and an anti-inflammatory myokine. Interleukin 6 is secreted by T cells and macrophages to stimulate immune response and also plays a role in fighting infection. It supports the growth of B cells and is antagonistic to regulatory T cells. To test the effect of IL6 on cell proliferation, TF-1 cells were seeded into triplicate wells of 96-well plates at a density of 20,000 cells/well with 10% serum standard 1640 which contains various concentrations of recombinant human IL6. After incubated for 3 days, cells were observed by inverted microscope and cell proliferation was measured by Cell Counting Kit-8 (CCK-8). Briefly, 10 ul of CCK-8 solution was added to each well of the plate, then the absorbance at 450 nm was measured using a microplate reader after incubating the plate for 1-4 hours at 37 degree C. Proliferation of TF-1 cells after incubation with rhIL6 for 3 days observed by inverted microscope was shown in Figure 1. Cell viability was assessed by CCK-8 (Cell Counting Kit-8) assay after incubation with recombinant human IL6 for 3 days. The result was shown in Figure 2. It was obvious that recombinant human IL6 significantly increased cell viability of TF-1 cells, the EC50 was 0.016 ug/ml.)

Interleukin 6 (IL6), Active Protein (Cat# AAA161680)

Full Name
Active Interleukin 6 (IL6)
Gene Names
IL6; HGF; HSF; BSF2; IL-6; IFNB2
Applications
Activity Assay, Cell Culture
Purity
Greater than 90% by SDS-PAGE
Pricing
product-image-AAA161683_BIOACTIVITY13.jpg Bioactivity (Macrophage Colony Stimulating Factor (M-CSF), also known as CSF-1, is a secreted cytokine which influences hematopoietic stem cells to differentiate into macrophages or other related cell types. M-CSF (or CSF-1) is a hematopoietic growth factor that is involved in the proliferation, differentiation, and survival of monocytes, macrophages, and bone marrow progenitor cells. It can also affects macrophages and monocytes in several ways, including stimulating increased phagocytic and chemotactic activity, and increased tumour cell cytotoxicity. By interacting with its membrane receptor (CSF1R or M-CSF-R encoded by the c-fms proto-oncogene), M-CSF also modulates the proliferation of earlier hematopoietic progenitors and influence numerous physiological processes involved in immunology, metabolism, fertility and pregnancy. Thus a functional binding ELISA assay was conducted to detect the interaction of recombinant human M-CSF and recombinant human Colony Stimulating Factor 2 Receptor Alpha (CSF2Ra). Briefly, biotin-linked M-CSF were diluted serially in PBS, with 0.01% BSA (pH 7.4). Duplicate samples of 100 ul were then transferred to CSF2Ra-coated microtiter wells and incubated for 1h at 37 degree C. Wells were washed with PBST 3 times and incubation with Streptavidin-HRP for 30min, then wells were aspirated and washed 5 times. With the addition of substrate solution, wells were incubated 15-25 minutes at 37 degree C. Finally, add 50 ul stop solution to the wells and read at 450/630 nm immediately. The binding activity of recombinant human M-CSF and recombinant human CSF2Ra was shown in Figure 1, the EC50 for this effect is 0.02 ug/mL.)

Colony Stimulating Factor 1, Macrophage (MCSF), Active Protein (Cat# AAA161683)

Full Name
Active Colony Stimulating Factor 1, Macrophage (MCSF)
Gene Names
CSF1; MCSF; CSF-1
Applications
Activity Assay, Cell Culture
Purity
Greater than 95% by SDS-PAGE
Pricing
product-image-AAA161692_BIOACTIVITY13.jpg Bioactivity (Stem cell factor (SCF), also known as mast cell growth factor (MGF), and steel factor (SLF), plays an important role in hematopoiesis, spermatogenesis and melanogenesis. SCF has been shown to  stimulate the proliferation of TF-1 cells. To test this effect, TF-1 cells were seeded into triplicate wells of 96-well plates at a density of 2 x 104 cells/well and incubated for 72h in the presence or absence of various concentrations of SCF at 37 degree C. The growth of cells were observed by inverted microscope and cell proliferation was measured by Cell Counting Kit-8(CCK-8). Briefly, 10 ul of CCK-8 solution was added to each well of the plate, then measure the absorbance at 450 nm using a microplate reader after incubating the plate for 1-4 hours at 37 degree C. Cell proliferation of TF-1 cells after incubation with SCF for 72h observed by inverted microscope was shown in Figure 1. The dose-effect curve of SCF was shown in Figure 2. It was obvious that it significantly promoted cell proliferation of TF-1 cells.The ED50 for this effect is typically 0.54 ng/ml.)

Stem Cell Factor (SCF), Active Protein (Cat# AAA161692)

Full Name
Active Stem Cell Factor (SCF)
Gene Names
KITLG; CSF; MGF; 710-712
Applications
Activity Assay, Cell Culture
Purity
Greater than 90% by SDS-PAGE
Pricing
product-image-AAA244029_BIOACTIVITY13.jpg Bioactivity

Leukocyte surface antigen CD47, Active Protein (Cat# AAA244029)

Full Name
Recombinant Human Leukocyte surface antigen CD47 (CD47), partial
Gene Names
CD47; IAP; OA3; MER6
Purity
Greater or equal to 85% purity as determined by SDS-PAGE.
Pricing
product-image-AAA243730_BIOACTIVITY13.jpg Bioactivity

Somatotropin (GH1), Active Protein (Cat# AAA243730)

Full Name
Recombinant Human Somatotropin (GH1) (Active)
Gene Names
GH1; GH; GHN; GH-N; GHB5; IGHD2; hGH-N; IGHD1A; IGHD1B
Purity
Greater or equal to 85% purity as determined by SDS-PAGE.
Pricing
product-image-AAA243732_BIOACTIVITY13.jpg Bioactivity

Mesothelin (MSLN), Active Protein (Cat# AAA243732)

Full Name
Recombinant Human Mesothelin (MSLN), Partial (Active)
Gene Names
MSLN; MPF; SMRP
Purity
Greater or equal to 85% purity as determined by SDS-PAGE.
Pricing

COVID 19 Spike Protein (S1) Coronavirus, Active Protein (Cat# AAA243739)

Full Name
Recombinant Human Novel Coronavirus Spike glycoprotein (S), partial
Purity
Greater or equal to 85% purity as determined by SDS-PAGE.
Pricing

Brain-Derived Neurotrophic Factor (BDNF), Active Protein (Cat# AAA235614)

Full Name
Recombinant Human Brain-Derived Neurotrophic Factor (BDNF) Active
Gene Names
BDNF; ANON2; BULN2
Purity
Greater or equal to 85% purity as determined by SDS-PAGE.
Pricing
product-image-AAA174591_SDS_PAGE15.jpg SDS-PAGE

Cytosolic Sulfotransferase Family 1B Member 1, Active Protein (Cat# AAA174591)

Full Name
Recombinant Human Cytosolic Sulfotransferase Family 1B Member 1 Protein
Gene Names
SULT1B1; ST1B1; ST1B2; SULT1B2
Purity
>95% as determined by reducing SDS-PAGE.
Pricing
product-image-AAA174592_SDS_PAGE15.jpg SDS-PAGE

Cytosolic Sulfotransferase Family 1A Member 3, Active Protein (Cat# AAA174592)

Full Name
Recombinant Human Cytosolic Sulfotransferase Family 1A Member 3 Protein
Gene Names
SULT1A3; STM; HAST; HAST3; M-PST; ST1A3; ST1A4; ST1A5; TL-PST; ST1A3/ST1A4
Purity
>95% as determined by SDS-PAGE.
Pricing
product-image-AAA173554_SDS_PAGE15.jpg SDS-PAGE

IL22BP / IL22RA2, Active Protein (Cat# AAA173554)

Full Name
Recombinant Human IL22BP / IL22RA2 Protein (His tag)
Gene Names
IL22RA2; CRF2X; CRF2-10; CRF2-S1; IL-22BP; IL-22RA2; ZCYTOR16; IL-22R-alpha-2
Purity
> 95 % as determined by reducing SDS-PAGE
Pricing
product-image-AAA173572_SDS_PAGE15.jpg SDS-PAGE

HER3 / ErbB3, Active Protein (Cat# AAA173572)

Full Name
Recombinant Human HER3 / ErbB3 Protein (His tag)
Gene Names
ERBB3; HER3; LCCS2; ErbB-3; c-erbB3; erbB3-S; MDA-BF-1; c-erbB-3; p180-ErbB3; p45-sErbB3; p85-sErbB3
Purity
> 95 % as determined by SDS-PAGE
Pricing
product-image-AAA173506_SDS_PAGE15.jpg SDS-PAGE

CD32a / FCGR2A, Active Protein (Cat# AAA173506)

Full Name
Recombinant Human CD32a/FCGR2A Protein (167 His) (His & AVI Tag)
Gene Names
FCGR2A; CD32; FCG2; FcGR; CD32A; CDw32; FCGR2; IGFR2; FCGR2A1
Purity
> 98 % as determined by SDS-PAGE
Pricing
product-image-AAA173510_SDS_PAGE15.jpg SDS-PAGE

EGFR / HER1 / ErbB1, Active Protein (Cat# AAA173510)

Full Name
Recombinant Human EGFR / HER1 / ErbB1 (aa 668-1210) Protein (His & GST tag)
Gene Names
EGFR; ERBB; HER1; mENA; ERBB1; PIG61; NISBD2
Purity
> 85 % as determined by SDS-PAGE
Pricing
product-image-AAA190412_BIOACTIVITY11.jpg Bioactivity

Glypican 3 (GPC3), Active Protein (Cat# AAA190412)

Full Name
Recombinant Human Glypican 3 (GPC3) Protein
Pricing
product-image-AAA150053_AD8.png Bioactivity (Figure. Cell proliferation of MCF-7 cells after stimulated with IGF1.)

Insulin Like Growth Factor 1, Active Protein (Cat# AAA150053)

Full Name
Active Insulin Like Growth Factor 1 (IGF1)
Gene Names
IGF1; IGF; MGF; IGFI; IGF-I
Applications
Activity Assay, Cell Culture
Purity
>95%
Pricing
product-image-AAA150081_BIOACTIVITY11.png Bioactivity (Figure. The binding activity of IFN2 with IFNa/bR2.)

Interferon Alpha 2, Active Protein (Cat# AAA150081)

Full Name
Active Interferon Alpha 2 (IFNa2)
Gene Names
IFNA2; IFNA; IFNA2B; leIF A; IFN-alphaA; IFN-alpha-2
Applications
Activity Assay, Cell Culture
Purity
>95%
Pricing
product-image-AAA146613_AD10.jpg Application Data

Nerve Growth Factor (NGF), Active Protein (Cat# AAA146613)

Full Name
Active Nerve Growth Factor (NGF)
Gene Names
MMP8; HNC; CLG1; MMP-8; PMNL-CL
Applications
Activity Assay, Cell Culture
Purity
> 97%
Pricing
product-image-AAA146614_AD8.jpg Application Data

Tumor Necrosis Factor Alpha (TNFa), Active Protein (Cat# AAA146614)

Full Name
Active Tumor Necrosis Factor Alpha (TNFa)
Gene Names
Tnf; DIF; Tnfa; TNF-a; TNFSF2; Tnlg1f; Tnfsf1a; TNFalpha; TNF-alpha
Applications
Activity Assay, Cell Culture
Purity
> 95%
Pricing
product-image-AAA149222_WB10.jpg WB (Western Blot) (Western BlotSample: Recombinant BMP2, Human;Antibody: Rabbit Anti-Human BMP2 Ab)

Bone Morphogenetic Protein 2 (BMP2), Active Protein (Cat# AAA149222)

Full Name
Active Bone Morphogenetic Protein 2 (BMP2)
Gene Names
BMP2; BDA2; BMP2A; SSFSC
Applications
Activity Assay, Cell Culture
Purity
>92%
Pricing
product-image-AAA149224_SDS_PAGE13.jpg SDS-PAGE

Chemokine C-X3-C-Motif Ligand 1 (CX3CL1), Active Protein (Cat# AAA149224)

Full Name
Active Chemokine C-X3-C-Motif Ligand 1 (CX3CL1)
Gene Names
Cx3cl1; Cx3c; Scyd1
Applications
Activity Assay, Cell Culture
Purity
> 95%
Pricing
product-image-AAA149225_SDS_PAGE13.jpg SDS-PAGE

Glial Cell Line Derived Neurotrophic Factor (GDNF), Active Protein (Cat# AAA149225)

Full Name
Active Glial Cell Line Derived Neurotrophic Factor (GDNF)
Gene Names
Gdnf; ATF; AI385739
Applications
Activity Assay, Cell Culture
Purity
> 97%
Pricing
product-image-AAA149227_WB8.jpg WB (Western Blot) (Western BlotSample: Recombinant PK2, Human;Antibody: Rabbit Anti-Human PK2 Ab)

Prokineticin 2 (PK2), Active Protein (Cat# AAA149227)

Full Name
Active Prokineticin 2 (PK2)
Gene Names
PROK2; BV8; HH4; PK2; KAL4; MIT1
Reactivity
Homo sapiens (Human)
Applications
Activity Assay, Cell Culture
Purity
>95%
Pricing
product-image-AAA149229_WB10.jpg WB (Western Blot) (Western BlotSample: Recombinant CEA, HumanAntibody: Rabbit Anti-Human CEA Ab)

Carcinoembryonic Antigen (CEA), Active Protein (Cat# AAA149229)

Full Name
Active Carcinoembryonic Antigen (CEA)
Gene Names
CEACAM5; CEA; CD66e
Applications
Activity Assay, Cell Culture
Purity
>95%
Pricing
product-image-AAA149232_SDS_PAGE13.jpg SDS-PAGE

High Mobility Group Protein 1 (HMGB1), Active Protein (Cat# AAA149232)

Full Name
Active High Mobility Group Protein 1 (HMGB1)
Gene Names
Hmgb1; p30; Hmg1; HMG-1; SBP-1
Applications
Activity Assay, Cell Culture
Purity
> 90%
Pricing
product-image-AAA149233_SDS_PAGE13.jpg SDS-PAGE

Plasminogen Activator, Tissue (tPA), Active Protein (Cat# AAA149233)

Full Name
Active Plasminogen Activator, Tissue (tPA)
Gene Names
Plat; tPA; AU020998; AW212668; D8Ertd2e
Applications
Activity Assay, Cell Culture
Purity
> 95%
Pricing
product-image-AAA149240_SDS_PAGE13.jpg SDS-PAGE

Pregnancy Associated Plasma Protein A (PAPPA), Active Protein (Cat# AAA149240)

Full Name
Active Pregnancy Associated Plasma Protein A (PAPPA)
Gene Names
PAPPA; PAPA; DIPLA1; PAPP-A; PAPPA1; ASBABP2; IGFBP-4ase
Applications
Activity Assay, Cell Culture
Purity
> 95%
Pricing
product-image-AAA149242_SC15.jpg Standard Curve (Sample)

C ReProtein (CRP), Active Protein (Cat# AAA149242)

Full Name
Active C Reactive Protein (CRP)
Gene Names
CRP; PTX1
Reactivity
Homo sapiens (Human)
Applications
Western Blot
Purity
Purity: >98% as determined by SDS-PAGE.
Purification Methods: Salt co-precipitation and ionic-Exchange chromatography.
Pricing
product-image-AAA149243_SDS_PAGE13.jpg SDS-PAGE

Nitric Oxide Synthase 2, Inducible (NOS2), Active Protein (Cat# AAA149243)

Full Name
Active Nitric Oxide Synthase 2, Inducible (NOS2)
Gene Names
Nos2; iNOS; Nos-2; Nos2a; i-NOS; NOS-II; MAC-NOS
Applications
Activity Assay, Cell Culture
Purity
> 97%
Pricing
product-image-AAA149246_SDS_PAGE11.jpg SDS-PAGE (Sample: Avtive recombinant CFL1, Human)

Cofilin 1, Non Muscle (CFL1), Active Protein (Cat# AAA149246)

Full Name
Active Cofilin 1, Non Muscle (CFL1)
Gene Names
CFL1; CFL; cofilin; HEL-S-15
Reactivity
Homo sapiens (Human)
Applications
Activity Assay, Cell Culture
Purity
>90%
Pricing
product-image-AAA149248_WB8.jpg WB (Western Blot) (Figure 4. Western BlotSample: Recombinant MSTN, Mouse;Antibody: Rabbit Anti-Mouse MSTN Ab)

Myostatin (MSTN), Active Protein (Cat# AAA149248)

Full Name
Active Myostatin (MSTN)
Gene Names
Mstn; Cmpt; Gdf8
Applications
Activity Assay, Cell Culture
Purity
> 95%
Pricing
product-image-AAA149251_SDS_PAGE13.jpg SDS-PAGE

S100 Calcium Binding Protein A8 (S100A8), Active Protein (Cat# AAA149251)

Full Name
Active S100 Calcium Binding Protein A8 (S100A8)
Gene Names
S100a8; Mrp8
Applications
Activity Assay, Cell Culture
Purity
> 95%
Pricing

What Are Active Proteins?


Proteins are large molecules made up of long chains of amino acids.
They will typically fold into a very particular 3-dimensional shape/conformation, that is sometimes referred to as their “native” form, which allows them to work properly in the body. For the purposes of product categorization, AAA Biotech will typically refer to proteins purified from their original animal host as being “native” proteins (this is to signify their difference compared to their “recombinant” or “synthetic” protein counterparts).


If a protein successfully folds into the correct shape, it is will typically display high fidelity characteristics to its original protein in its original animal host, and be classified as an active protein, as it will be able to function “normally” in most enzymatic or binding capacities. If it loses this shape, due to factors such as heat or strong chemicals (such as detergents), it becomes inactive and is no longer able to perform its basic functions. All of the proteins in this category are made under strict quality control, and they are active, pure, low in contaminants, and stable.
Most are stored as freeze-dried powders and come without extra tags, so they’re very close to the actual natural/native form.


Key Applications of Active Proteins


1. Scientific Research


  • Aid in the study of how proteins function in the body

  • Aid in understanding various disease processes


2. Drug Development


  • Powerful tools to investigate how potential drugs interact with specific proteins

  • Ideal for identifying drug targets


3. Cell Culture


  • Are routinely utilized to support cell growth and function (e.g., using exogenous growth factors)

  • Can be used to promote cellular development into specific types (differentiation)


4. Diagnostics


  • Regularly utilized in tests to detect diseases or infections (e.g., COVID-19, cancer)

  • Note: All products are strictly for research-use only (RUO).


5. Therapeutics


  • Some active proteins are used directly as treatments (e.g., insulin, enzymes)

  • Note: All products are strictly for research-use only (RUO).


6. Vaccine Development


  • Used to create or test vaccines by mimicking parts of viruses or bacteria


7. Biochemical Assays


  • They can facilitate the characterization of enzyme activity, binding strength, or protein interactions in lab tests


Why Buy Active Proteins from AAA Biotech?


  • High biological activity – Verified to perform as expected or indicated on datasheet

  • Strict quality control – We are confident in our active proteins’ reliability and consistency

  • High purity & low endotoxin – Ideal for applications involving sensitive or precious samples/components

  • Freeze-dried for stability – Long shelf life and straightforward storage

  • Mostly tag-free – Closer to natural/native protein form


FAQ


1. What are active proteins used for in research?


Active proteins are used primarily in the study of how proteins function, in characterizing/discovering drug interactions, supporting cell growth, running biochemical assays, and in development of diagnostics or therapeutics.


2. How are AAA Biotech's active proteins validated?


AAA Biotech’s active proteins are validated through strict quality control and functional assays to ensure they are properly folded and active. “Active”, though, can be an ambiguous term, so if a specific “activity” or “binding” capability of a protein is of crucial interest to you, please inquire with us prior to purchase, and we will provide further details on how the “Active” modifier was determined to be applicable.


3. Are these proteins tested for biological activity?


Yes, all active proteins from AAA Biotech are tested to confirm they have the expected biological activity before being offered for use. Though, said “biological activity” can be either “enzymatic”, “binding”, or both.


Submit a Question

Please complete the form below and a representative will contact you as soon as possible.

Request more Information

Please complete the form below and a representative will contact you as soon as possible.

Request a Manual

Please complete the form below and a representative will contact you as soon as possible.

Request a Quote

Please complete the form below and a representative will contact you as soon as possible.